SMARCA2 antibody [HMV337] HistoMAX™

Cat. No. GTX640917
Cat. No.  GTX640917
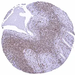
Anti-SMARCA2 antibody [HMV337] HistoMAX™ used in IHC (Paraffin sections) (IHC-P). GTX640917
GTX640917 IHC-P Image

IHC-P analysis of human anal canal squamous cell carcinoma (SCC) tissue using GTX640917 SMARCA2 antibody [HMV337] HistoMAX™.
Squamous cell carcinoma with strong SMARCA2 immunostaining of tumor cells.

1 / 6
Anti-SMARCA2 antibody [HMV337] HistoMAX™ used in IHC (Paraffin sections) (IHC-P). GTX640917
GTX640917 IHC-P Image

IHC-P analysis of human malignant melanoma from skin tissue using GTX640917 SMARCA2 antibody [HMV337] HistoMAX™.
Malignant melanoma showing a faint SMARCA2 staining in only about 60% of tumor cells.

2 / 6
Anti-SMARCA2 antibody [HMV337] HistoMAX™ used in IHC (Paraffin sections) (IHC-P). GTX640917
GTX640917 IHC-P Image

IHC-P analysis of human warthin tumor (WT) from salivary gland tissue using GTX640917 SMARCA2 antibody [HMV337] HistoMAX™.
Warthin tumor  showing a strong SMARCA2 immunostaining of tumor cells.

3 / 6
Anti-SMARCA2 antibody [HMV337] HistoMAX™ used in IHC (Paraffin sections) (IHC-P). GTX640917
GTX640917 IHC-P Image

IHC-P analysis of human high-grade serous ovarian cancer (HGSOC) tissue using GTX640917 SMARCA2 antibody [HMV337] HistoMAX™.
A complete loss of SMARCA2 expression.

4 / 6
Anti-SMARCA2 antibody [HMV337] HistoMAX™ used in IHC (Paraffin sections) (IHC-P). GTX640917
GTX640917 IHC-P Image

IHC-P analysis of human muscle-invasive bladder cancer (MIBC) tissue using GTX640917 SMARCA2 antibody [HMV337] HistoMAX™.
A strong SMARCA2 positivity of tumor cells.

5 / 6
Anti-SMARCA2 antibody [HMV337] HistoMAX™ used in IHC (Paraffin sections) (IHC-P). GTX640917
GTX640917 IHC-P Image

IHC-P analysis of human testis tissue using GTX640917 SMARCA2 antibody [HMV337] HistoMAX™.
A distinct nuclear SMARCA2 staining in all intratubular cells except Sertoli cells.

6 / 6
Anti-SMARCA2 antibody [HMV337] HistoMAX™ used in IHC (Paraffin sections) (IHC-P). GTX640917
Anti-SMARCA2 antibody [HMV337] HistoMAX™ used in IHC (Paraffin sections) (IHC-P). GTX640917
Anti-SMARCA2 antibody [HMV337] HistoMAX™ used in IHC (Paraffin sections) (IHC-P). GTX640917
Anti-SMARCA2 antibody [HMV337] HistoMAX™ used in IHC (Paraffin sections) (IHC-P). GTX640917
Anti-SMARCA2 antibody [HMV337] HistoMAX™ used in IHC (Paraffin sections) (IHC-P). GTX640917
Anti-SMARCA2 antibody [HMV337] HistoMAX™ used in IHC (Paraffin sections) (IHC-P). GTX640917
  • Host
    Rabbit
  • Clonality
    Monoclonal
  • Clone Name
    HMV337
  • Isotype
    IgG
  • Applications
    IHC-P
  • Reactivity
    Human
Summary
This antibody was validated on 76 different Normal Tissues by IHC-P.

Go to Normal Tissue GalleryGo to Cancer Tissue Gallery

See all SMARCA2 products