Cancer Tissue Gallery- GTX640917

SMARCA2 antibody [HMV337] HistoMAXTM

 

Go to Normal Tissue Gallery Go back to product page Go to HistoMAX page

 

Adrenal gland – Adrenocortical adenoma with a moderate SMARCA2 staining of tumor cells
Anal canal – Squamous cell carcinoma with strong SMARCA2 immunostaining of tumor cells
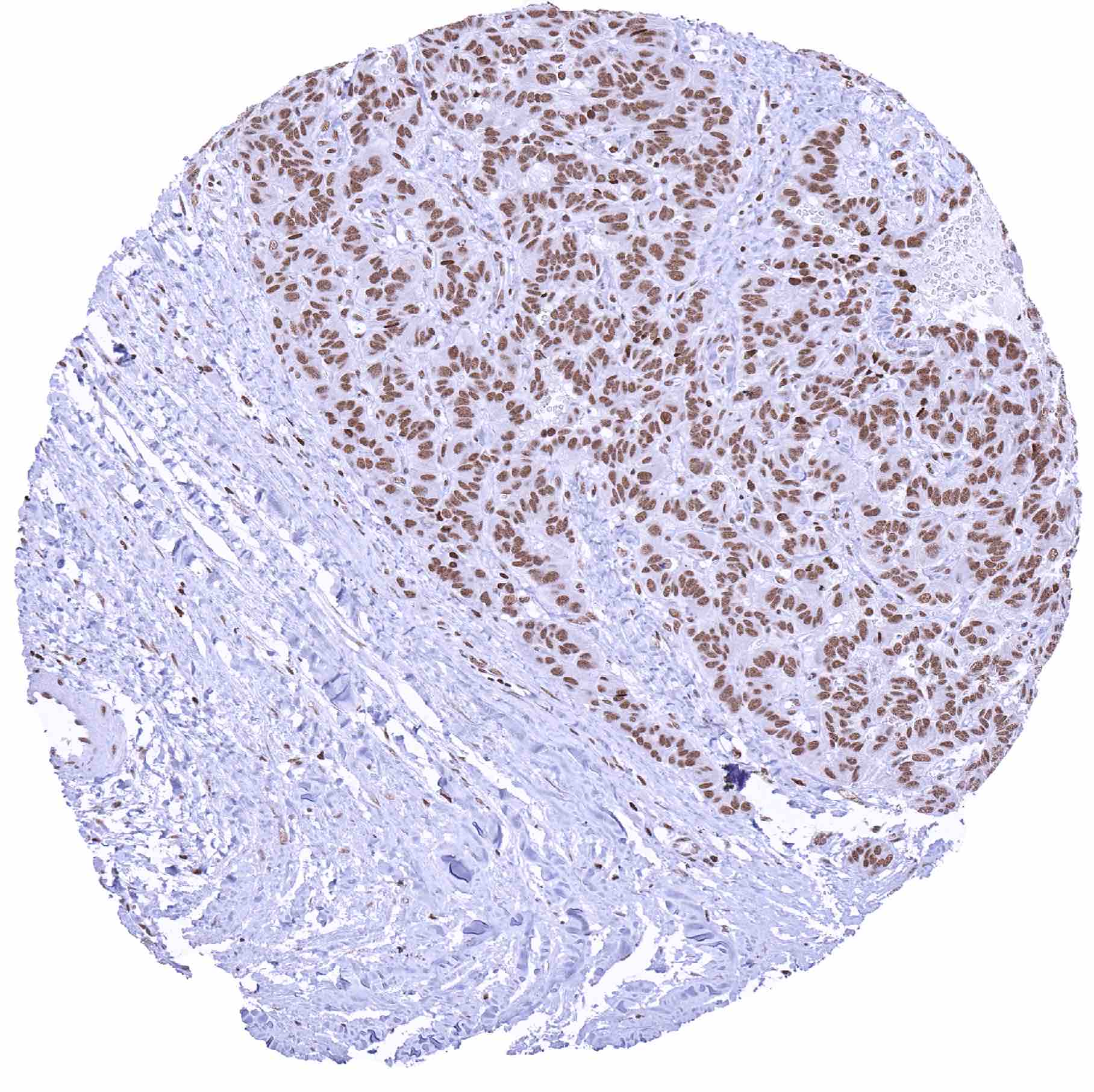
Breast – Invasive breast cancer of no special type (NST) with strong SMARCA2 staining of tumor cells
Breast – Invasive lobular breast cancer with strong SMARCA2 immunostaining of tumor cells
Colon – Colorectal adenocarcinoma with strong SMARCA2 immunostaining of tumor cells
Colon – Neuroendocrine carcinoma with a reduced SMARCA2 expression in tumor cells. Only about 10_ of tumor cells show a weak SMARCA2 positivity while stroma cells display a strong staining
Colon – SMARCA2 negative neuroendocrine carcinoma
Esophagus – Adenocarcinoma with moderate SMARCA2 immunostaining of tumor cells
Esophagus – SMARCA2 deficient neuroendocrine carcinoma
Esophagus – SMARCA2 negative neuroendocrine carcinoma
Esophagus – Squamous cell carcinoma with strong SMARCA2 staining of tumor cells
Kidney – Chromophobe renal cell carcinoma with weak SMARCA2 staining of tumor cells
Kidney – Clear cell renal cell carcinoma with strong SMARCA2 positivity of tumor cells
Kidney – Papillary renal cell carcinoma with moderate to strong SMARCA2 immunostaining of tumor cells
Liver – Cholangiocellular carcinoma with strong SMARCA2 staining of tumor cells
Liver – Hepatocellular carcinoma with a reduced SMARCA2 expression in tumor cells. Only about 50_ of tumor cells show a weak SMARCA2 positivity while stroma cells show a clearly stronger staining
Lung – Adenocarcinoma with a reduced SMARCA2 expression in tumor cells. About 10_ of tumor cells show a weak SMARCA2 positivity while stroma cells show a strong staining
Lung – Adenocarcinoma with a reduced SMARCA2 expression in tumor cells. About 30_ of tumor cells show a weak SMARCA2 positivity while stroma cells show a strong staining
Lung – SMARCA2 deficient adenocarcinoma
Lung – SMARCA2 negative squamous cell carcinoma
Lymph node – SMARCA2 negative diffuse large B-cell lymphoma. Only non-neoplastic cells show SMARCA2 staining
Lymph node – SMARCA2 negative follicular B-cell lymphoma. Only non-neoplastic cells show SMARCA2 staining
Oral cavity – Squamous cell carcinoma with strong SMARCA2 immunostaining of tumor cells
Ovary – Serous high-grade carcinoma with strong SMARCA2 positivity of all tumor cells
Ovary – Clear cell carcinoma carcinoma with only faint SMARCA2 staining of few tumor cells while stroma cells are strongly positive
Ovary – Clear cell carcinoma with strong SMARCA2 staining of tumor cells
Ovary – Malignant mixed Mullerian tumor showing a strong SMARCA2 immunostaining of sarcomatoid tumor cells while staining is largely lacking in epithelial tumor cells
Ovary – Serous high-grade carcinoma with only faint SMARCA2 staining of few tumor cells while stroma cells are strongly positive
Ovary – SMARCA2 deficient serous high-grade carcinoma
Pancreas – Neuroendocrine tumor displaying a strong SMARCA2 staining of all tumor cells
Pancreas – SMARCA2 negative adenocarcinoma of the papilla Vaterii
Pancreas – SMARCA2 negative neuroendocrine tumor
Prostate – Adenocarcinoma (Gleason 3+3=6) with strong SMARCA2 positivity of tumor cells
Prostate – Adenocarcinoma (Gleason 5+5=10) with strong SMARCA2 staining of all cancer cells
Salivary gland – Warthin tumor showing a strong SMARCA2 immunostaining of tumor cells
Skin – Basal cell carcinoma with strong SMARCA2 immunostaining of tumor cells
Skin – Malignant melanoma showing a faint SMARCA2 staining in only about 60_ of tumor cells
Skin – Malignant melanoma with strong SMARCA2 positivity of tumor cells
Skin – SMARCA2 negative malignant melanoma
Soft tissue – Leiomyosarcoma with strong SMARCA2 positivity of tumor cells
Stomach – Gastrointestinal stromal tumor (GIST) with strong SMARCA2 positivity of all tumor cells
Testis – Seminoma with strong SMARCA2 immunostaining of tumor cells
Testis – SMARCA2 deficient embryonal carcinoma
Urinary bladder – Muscle-invasive urothelial carcinoma showing a strong SMARCA2 positivity of tumor cells

| TOP |