UPK3B antibody [MSVA-736M] HistoMAX™

Cat. No. GTX04476
Cat. No.  GTX04476
Anti-UPK3B antibody [MSVA-736M] HistoMAX™ used in IHC (Paraffin sections) (IHC-P). GTX04476
GTX04476 IHC-P Image

IHC-P analysis of human urinary bladder tissue using GTX04476 UPK3B antibody [MSVA-736M] HistoMAX™.
Urothelium with distinct UPK3B immunostaining of the apical membranes of umbrella cells.

1 / 3
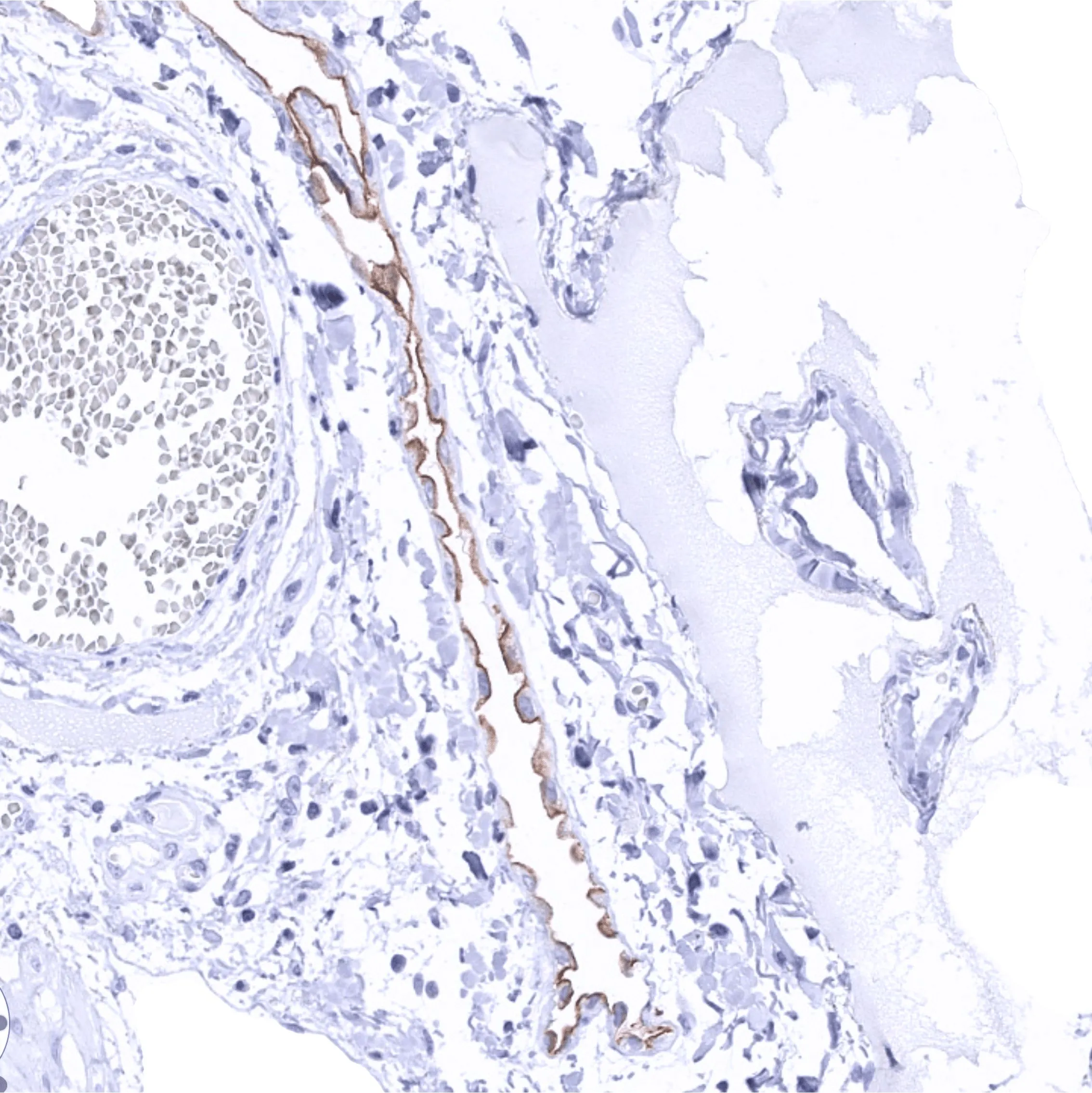
Anti-UPK3B antibody [MSVA-736M] HistoMAX™ used in IHC (Paraffin sections) (IHC-P). GTX04476
GTX04476 IHC-P Image

IHC-P analysis of human peritoneal mesothelium tissue using GTX04476 UPK3B antibody [MSVA-736M] HistoMAX™.
Distinct Upk3b immunostaining of apical membranes of peritoneal mesothelial cells.

2 / 3
Anti-UPK3B antibody [MSVA-736M] HistoMAX™ used in IHC (Paraffin sections) (IHC-P). GTX04476
GTX04476 IHC-P Image

IHC-P analysis of human epithelioid mesothelioma tissue using GTX04476 UPK3B antibody [MSVA-736M] HistoMAX™.
Epitheloid mesothelioma with membranous UPK3B staining of variable intensity in most tumor cells.

3 / 3
Anti-UPK3B antibody [MSVA-736M] HistoMAX™ used in IHC (Paraffin sections) (IHC-P). GTX04476
Anti-UPK3B antibody [MSVA-736M] HistoMAX™ used in IHC (Paraffin sections) (IHC-P). GTX04476
Anti-UPK3B antibody [MSVA-736M] HistoMAX™ used in IHC (Paraffin sections) (IHC-P). GTX04476
  • Host
    Mouse
  • Clonality
    Monoclonal
  • Clone Name
    MSVA-736M
  • Isotype
    IgG
  • Applications
    IHC-P
  • Reactivity
    Human
Summary
This antibody was validated on 76 different Normal Tissues by IHC-P.

Go to Normal Tissue GalleryGo to Cancer Tissue Gallery

See all UPK3B products