Normal Tissue Gallery- GTX04476

UPK3B antibody [MSVA-736M] HistoMAXTM

 

Go to Cancer Tissue Gallery
  
 Go back to product page
  

Go to HistoMAX page

 

Adrenal gland

Appendix, mucosa

Appendix, muscular wall

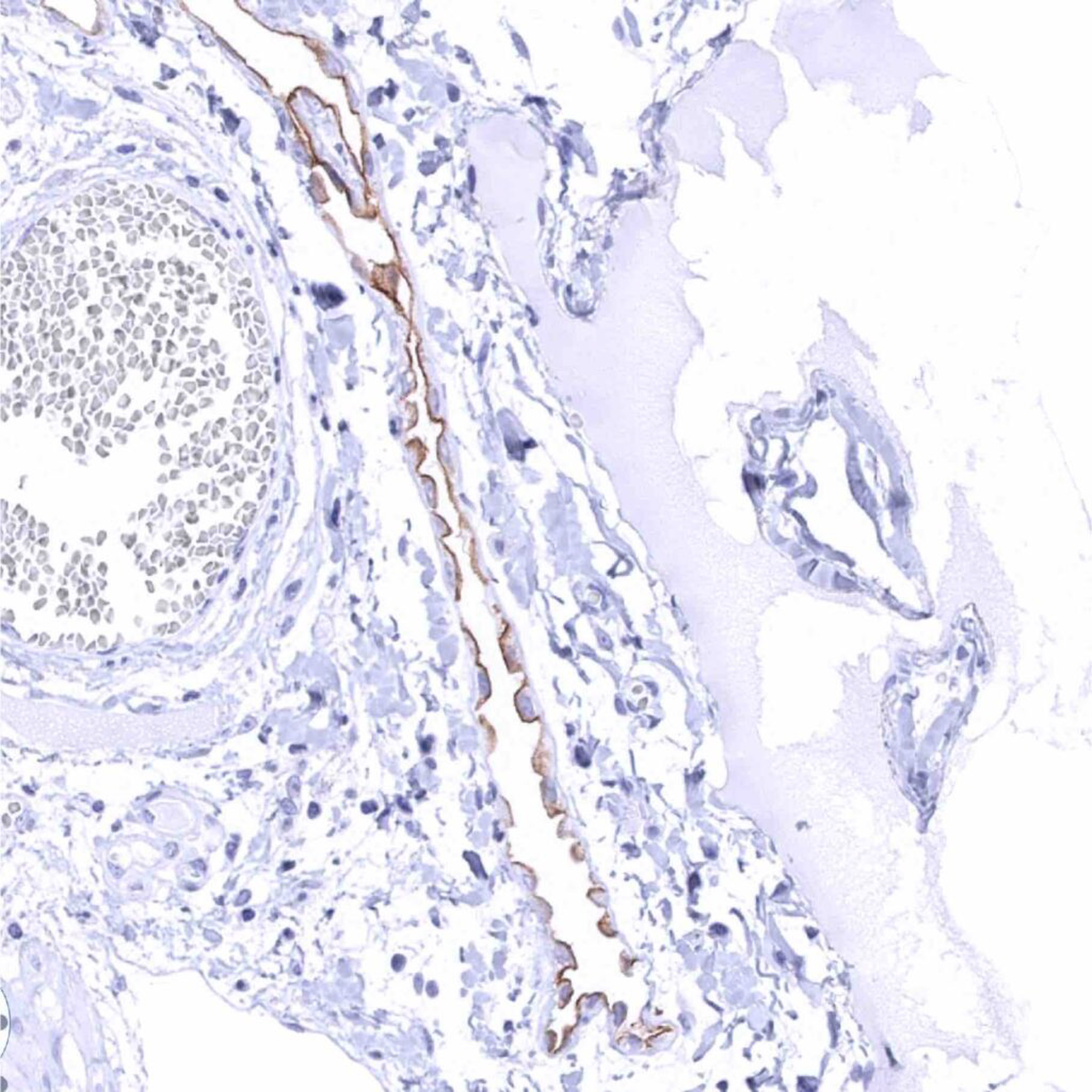
Appendix, peritoneal surface – Distinct UPK3B immunostaining of the apical membranes of mesothelial cells

       

Bone marrow

Breast

Bronchus, respiratory epithelium

Bronchus, respiratory epithelium

       

Cerebellum (white matter)

Cerebellum, cortex (molecular layer, Purkinje cell layer, granule cell layer, white matter)

Cerebrum, grey matter

Cerebrum, white matter

       

Colon descendens, mucosa

Colon descendens, muscular wall

Duodenum, Brunner gland

Duodenum, mucosa

       

Duodenum, mucosa

Epididymis

Epididymis

Esophagus, squamous epithelium

       

Fallopian tube, mucosa

Fat

Gallbladder, epithelium

Heart muscle

       

Ileum, mucosa

Kidney, cortex

Kidney, medulla

Liver

       

Lung

Lymph node

Ovary, stroma

Pancreas

       

Parathyroid gland

Parotid gland

Pituitary gland, anterior lobe

Pituitary gland, anterior lobe

       

Pituitary gland, posterior lobe

Placenta (amnion and chorion) – Distinct UPK3B immunostaining of the apical membranes of amnion cells

Placenta, early

Placenta, mature

       

Prostate

Rectum, mucosa

Seminal vesicle

Sinus paranasales

       

Skeletal muscle

Skin

Spleen

Spleen

       

Stomach, antrum

Stomach, corpus

Testis

Thymus

       

Thyroid gland

Tonsil, surface epithelium – Note- Surface is inked (no staining)

Tonsil

Urinary bladder, muscular wall

       

Urinary bladder, urothelium – Distinct UPK3B immunostaining of apical membranes of umbrella cells

Urinary bladder, urothelium – Distinct UPK3B immunostaining of the apical membranes of umbrella cells

Uterus, ectocervix

Uterus, endocervix

       

Uterus, endometrium (pregnancy)

Uterus, endometrium (proliferation)

Uterus, endometrium (secretion)

Uterus, myometrium

       

 

| TOP |