4 Search results for
AAH00871
Product
Images
Description
Applications
Reactivity
Price
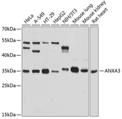
KO/KD
Overexpression