9 Search results for
NP_000691
Product
Images
Description
Applications
Reactivity
Price
-
$419100μl$16925μl
-
$419100μl$16925μl
-
$419100μl$16925μl
-
$519100μl
-
$419100μl
-
$529100μg
-
$25910μg
-
$529100μg
-
$38920μg
Recombinant antibody
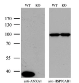
KO/KD
Orthogonal
Overexpression
Comparison