5 Search results for

NP_005345

Product
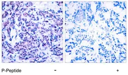
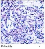
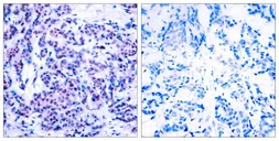
Images
Description
Applications
Reactivity
Price
prev next