2 Search results for
NP_660333
Product
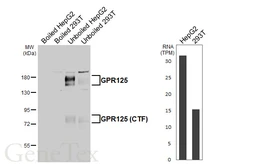
Images
Description
Applications
Reactivity
Price
Recombinant antibody
Orthogonal
Overexpression