Cancer Tissue Gallery- GTX04425

ACE2 antibody [MSVA-919R] HistoMAX

 

Go to Normal Tissue Gallery
  
 Go back to product page
  

Go to HistoMAX page

 

Adrenal gland- Adrenocortical adenoma showing a moderate to strong cytoplasmic ACE2 positivity (may represent antibody cross-reactivity). (ACE2 immunohistochemistry)

Breast- ACE2 negative invasive breast cancer of no special type (NST). (ACE2 immunohistochemistry)

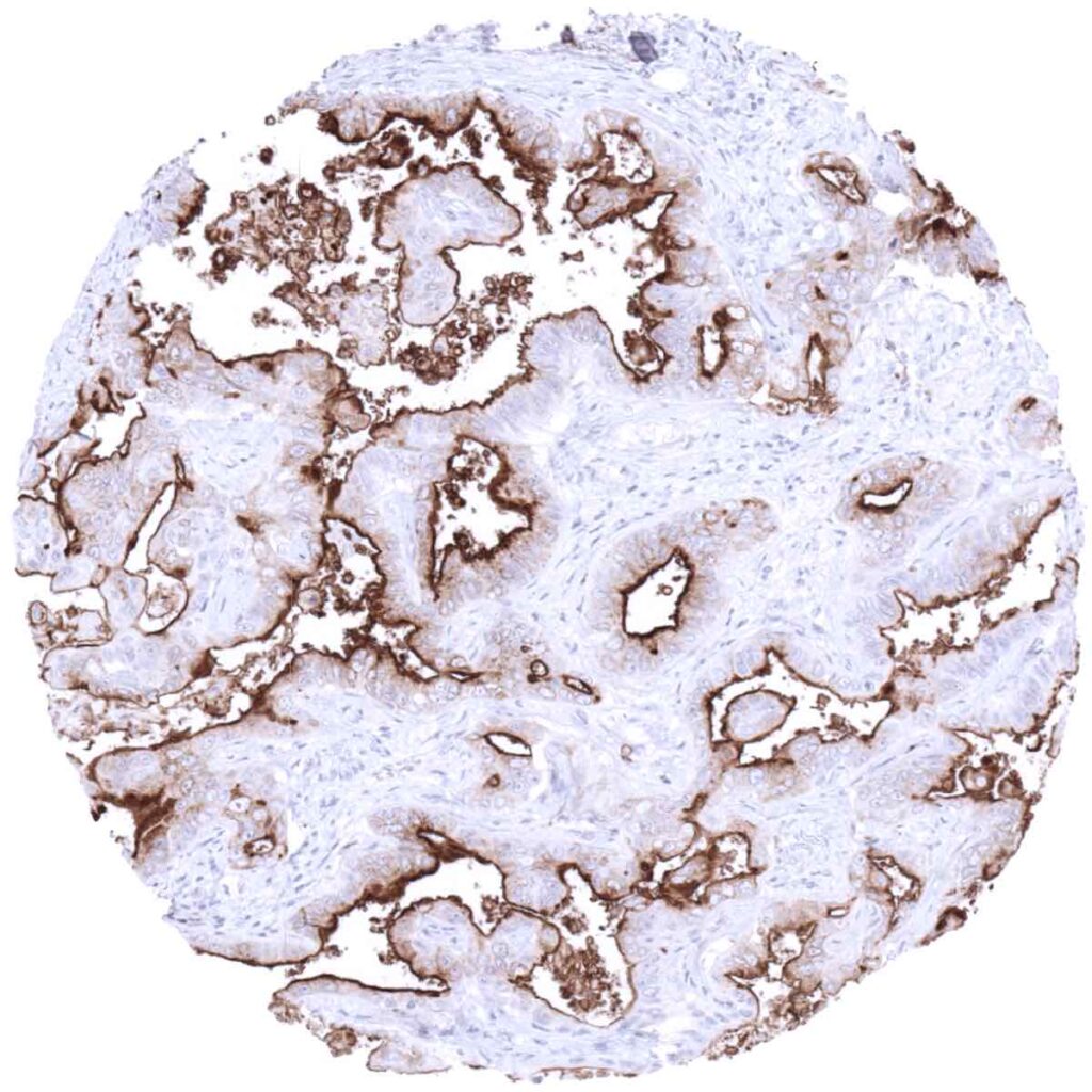
Colon- Colorectal adenocarcinoma with moderate to strong ACE2 immunostaining showing apical membrane predominance. (ACE2 immunohistochemistry)

Colon- Colorectal adenocarcinoma with strong ACE2 immunostaining, predominantly at the apical membranes. (ACE2 immunohistochemistry)

       

Esophagus- Esophageal adenocarcinoma with moderate to strong ACE2 immunostaining showing apical membrane predominance. (ACE2 immunohistochemistry)

Kidney- ACE2 negative chromophobe carcinoma. (ACE2 immunohistochemistry)

Kidney- ACE2 negative oncocytoma. (ACE2 immunohistochemistry)

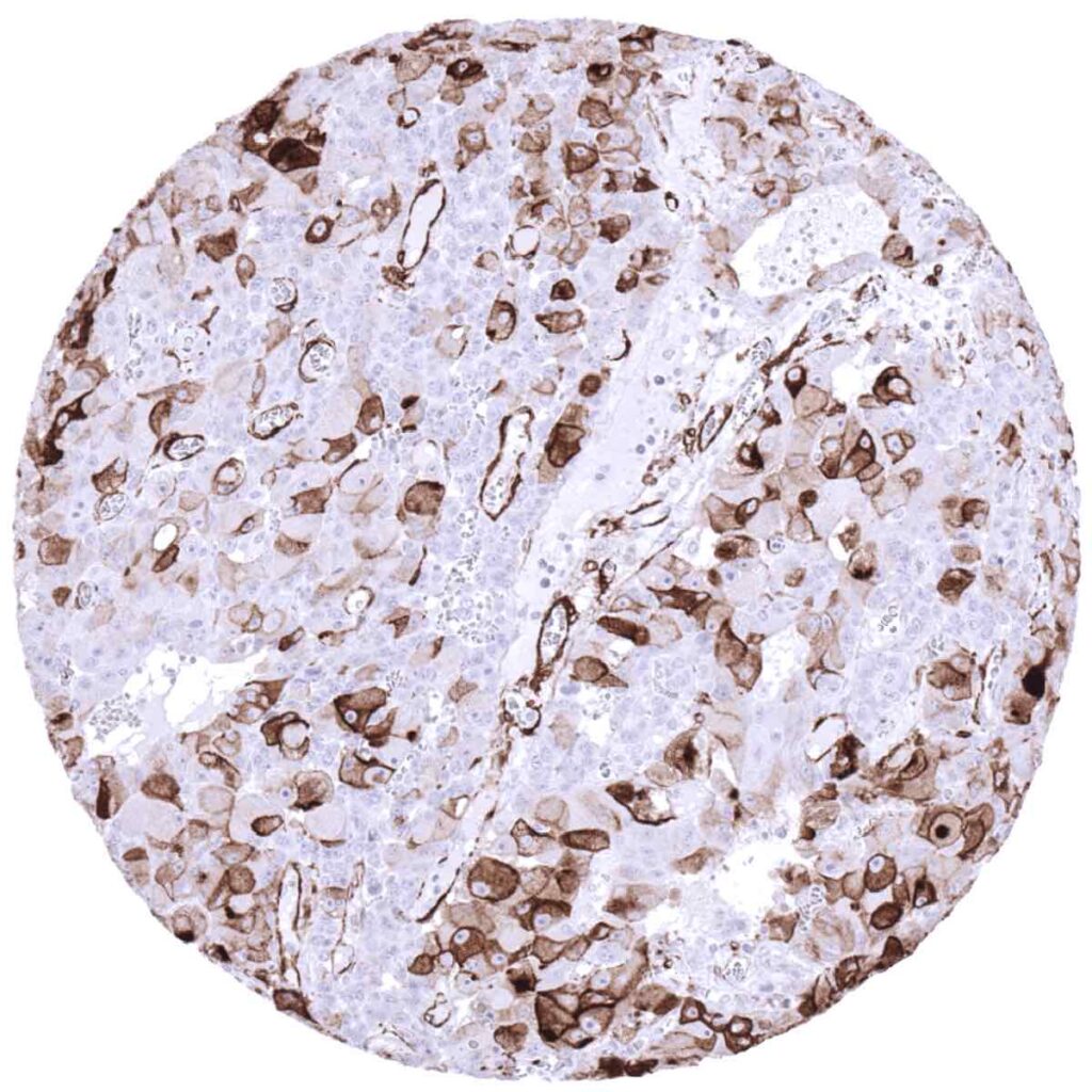
Kidney- Clear cell renal cell carcinoma showing strong membraous ACE2 positivity. (ACE2 immunohistochemistry)

       

Kidney- Papillary renal cell carcinoma showing moderate to strong ACE2 immunostaining with apical membrane predominance. (ACE2 immunohistochemistry)

Kidney- Papillary renal cell carcinoma showing strong ACE2 immunostaining of all tumor cells. (ACE2 immunohistochemistry)

Liver- Cholangiocellular carcinoma with a moderate to strong ACE2 immunostaining with apical predominance. (ACE2 immunohistochemistry)

Liver- Cholangiocellular carcinoma with a weak to moderate focal ACE2 positivity. (ACE2 immunohistochemistry)

       

Ovary- ACE2 negative serous high-grade carcinoma. (ACE2 immunohistochemistry)

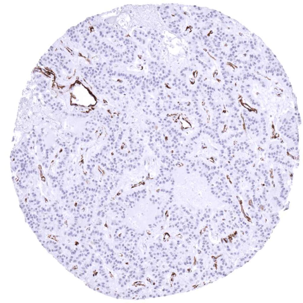
Pancreas- ACE2 negative neuroendocrine tumor containing numerous capillaries with strong ACE2 immunostaining. (ACE2 immunohistochemistry)

Pancreas- ACE2 negative neuroendocrine tumor containing numerous capillaries with strong ACE2 immunostaining. (ACE2 immunohistochemistry)

Pancreas- ACE2 negative neuroendocrine tumor with intratumoral capillaries showing strong ACE2 immunostaining. (ACE2 immunohistochemistry)

       

Pancreas- Neuroendocrine tumor with ACE2 immunostaining of a fraction of tumor cells (mosaic pattern). In addition, there are numerous ACE2 positive capillaries. (ACE2 immunohistochemistry)

Prostate- ACE2 negative prostatic adenocarcinoma (Gleason 3+3=6). (ACE2 immunohistochemistry)

Prostate- Prostatic adenocarcinoma (Gleason 5+5=10) with weak ACE2 immunostaining of a small fraction of tumor cells. (ACE2 immunohistochemistry)

Stomach- Gastric adenocarcinoma (diffuse type) with moderate to strong ACE2 immunostaining of most tumor cells. (ACE2 immunohistochemistry)

       

Testis- ACE2 negative seminoma. (ACE2 immunohistochemistry)

Thyroid- ACE2 negative medullary carcinoma with intratumoral capillaries showing strong ACE2 immunostaining. (ACE2 immunohistochemistry)

Urinary bladder- Muscle-invasive urothelial carcinoma with a focal weak ACE2 positivity. (ACE2 immunohistochemistry)

Vulva- ACE2 negative squamous cell carcinoma. (ACE2 immunohistochemistry)

       

Vulva- Squamous cell carcinoma with moderate ACE2 immunostaining in all tumor cells. (ACE2 immunohistochemistry)

 

 

| TOP |