Cancer Tissue Gallery- GTX642297

ATP5J antibody [HMV3971] HistoMAX™

 

Go to Normal Tissue Gallery
  
 Go back to product page
  

Go to HistoMAX page

 

Adrenal gland – Adrenocortical carcinoma with intense cytoplasmic ATP5J positivity of all tumor cells.

Adrenal gland – Pheochromocytoma with moderate to strong cytoplasmic ATP5J staining of tumor cells.

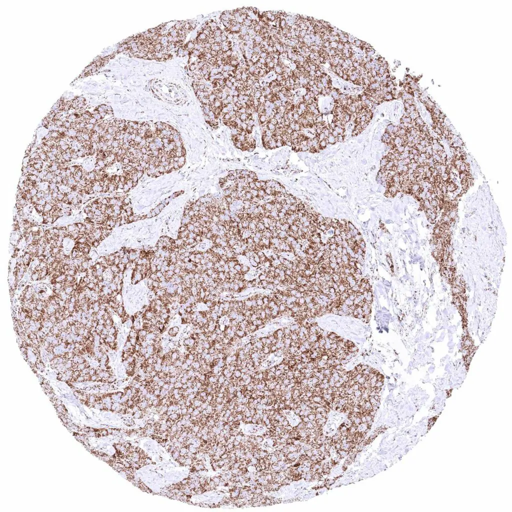
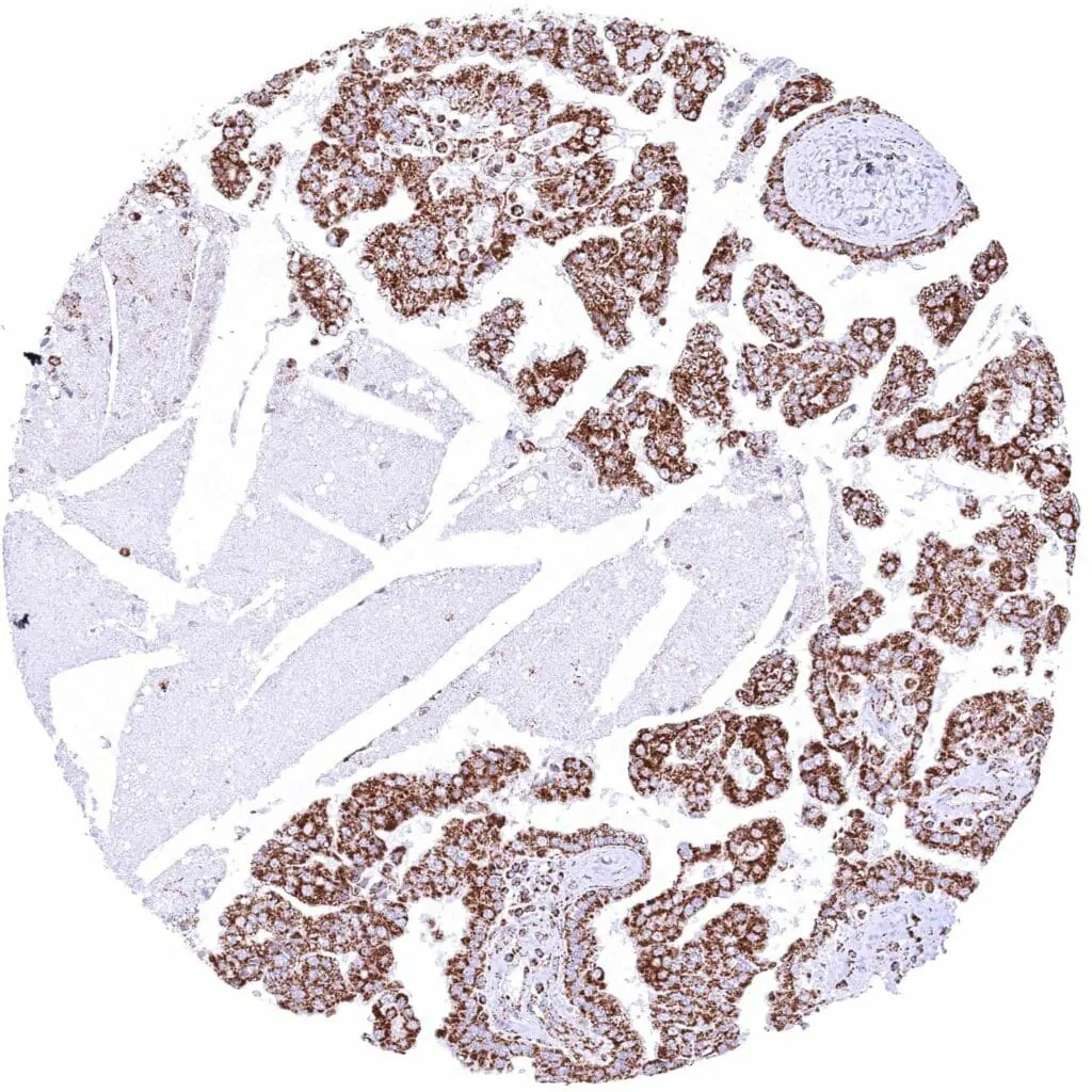
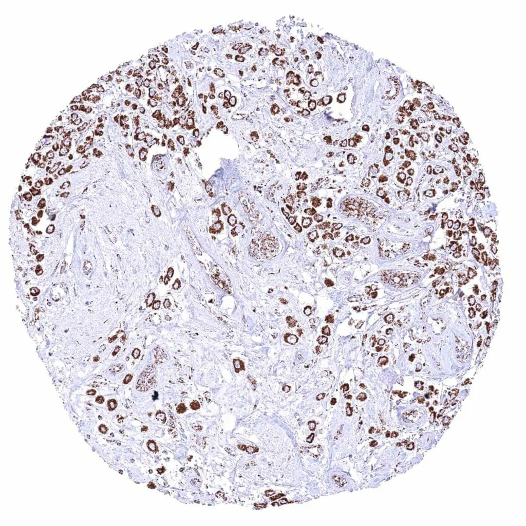
Breast – Invasive breast cancer of no special type (NST) with strong cytoplasmic ATP5J positivity of tumor cells.

Breast – Invasive lobular breast cancer with strong cytoplasmic ATP5J staining of all tumor cells.

       

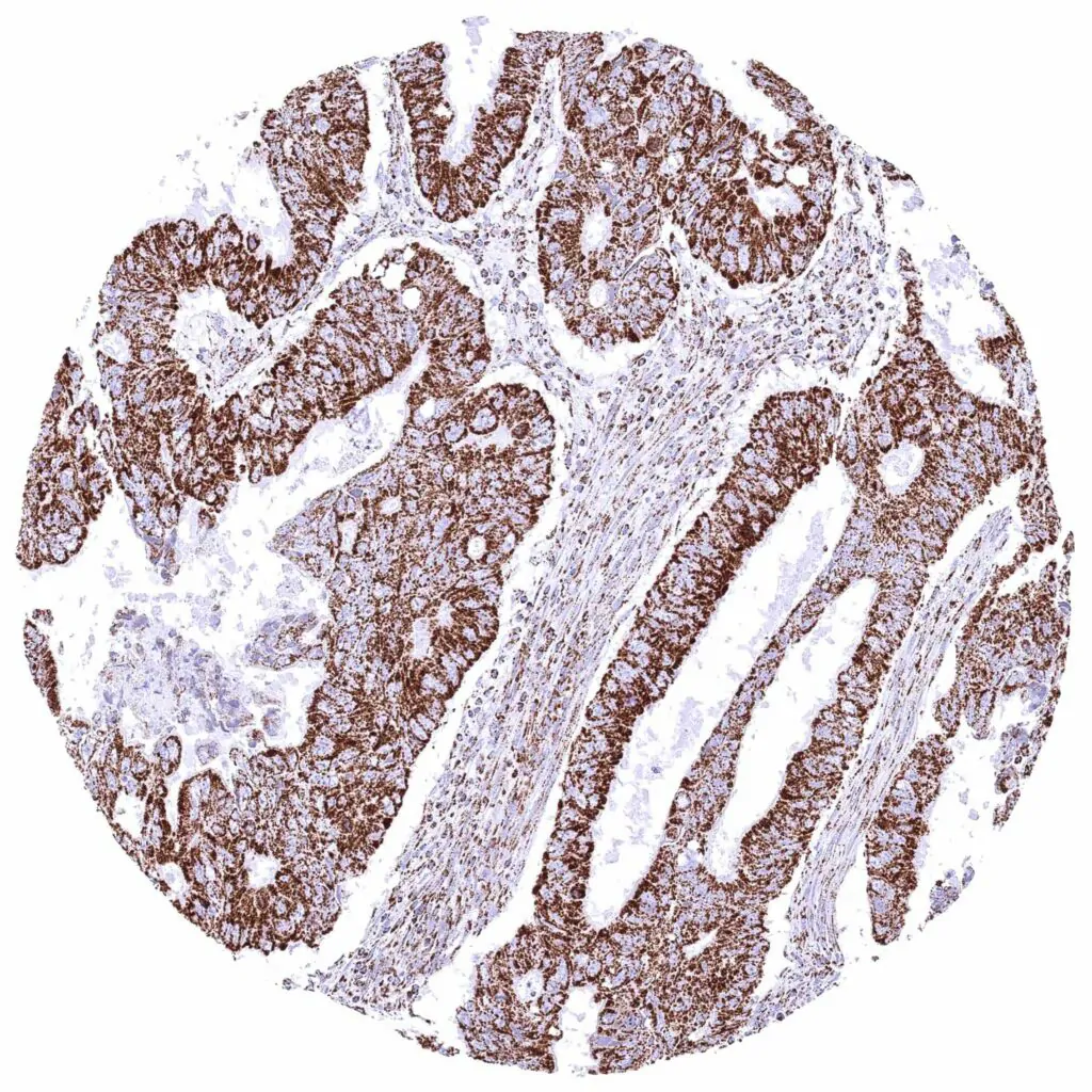
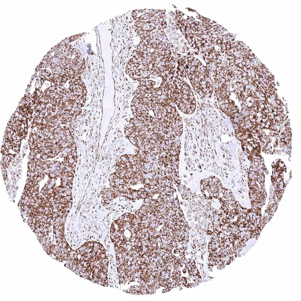
Colon – Colorectal adenocarcinoma with strong cytoplasmic ATP5J staining of all tumor cells.

Esophagus – Adenocarcinoma with intense cytoplasmic ATP5J immunostaining of all tumor cells.

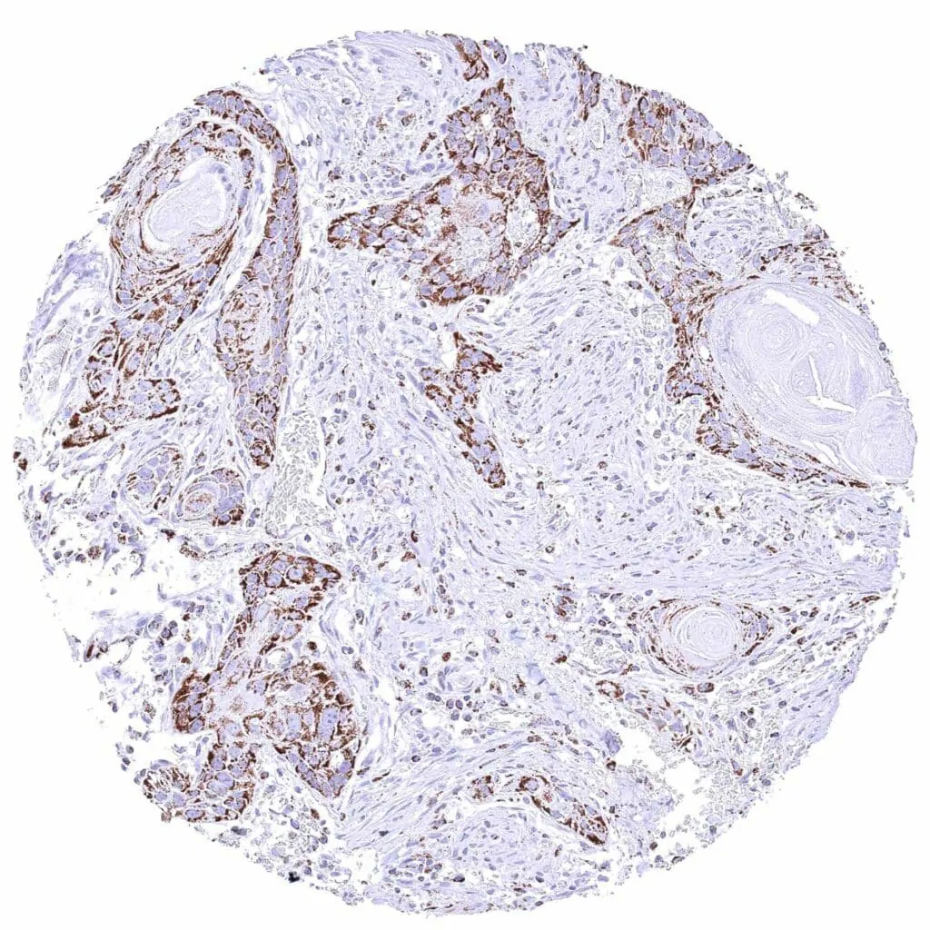
Esophagus – Squamous cell carcinoma with weak to moderate ATP5J immunostaining of tumor cells.

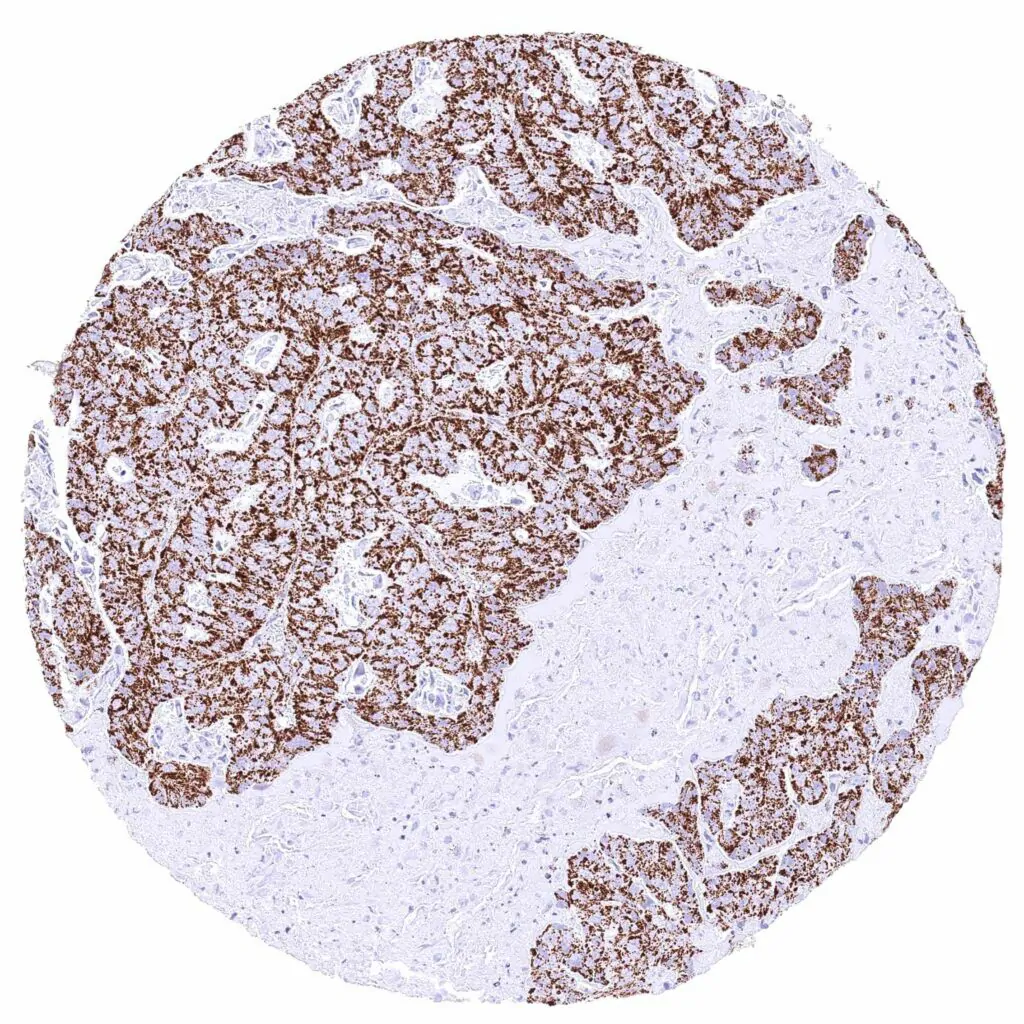
Kidney – Chromophobe renal cell carcinoma with strong cytoplasmic ATP5J immunostaining of tumor cells.

       

Kidney – Clear cell renal cell carcinoma with weak to moderate cytoplasmic ATP5J immunostaining of tumor cells.

Kidney – Oncocytoma with strong cytoplasmic ATP5J immunostaining of tumor cells.

Kidney – Papillary renal cell carcinoma with moderate cytoplasmic ATP5J staining of tumor cells.

Liver – Cholangiocellular carcinoma with weak to moderate cytoplasmic ATP5J positivity of all tumor cells.

       

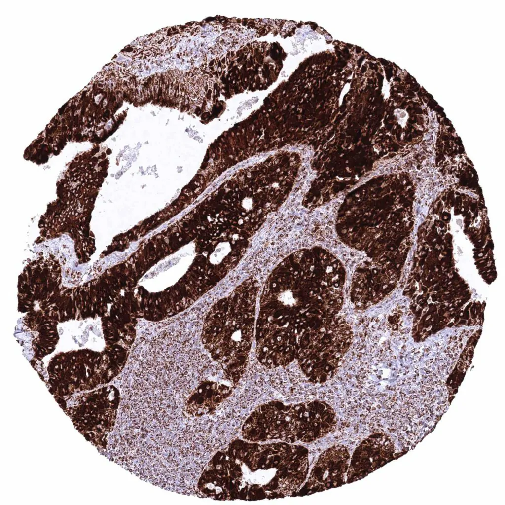
Liver – Hepatocellular carcinoma with intense cytoplasmic ATP5J staining of tumor cells.

Lymph node – B-CLL with moderate cytoplasmic ATP5J immunostaining of tumor cells.

Lymph node – B-CLL with strong cytoplasmic ATP5J positivity of tumor cells.

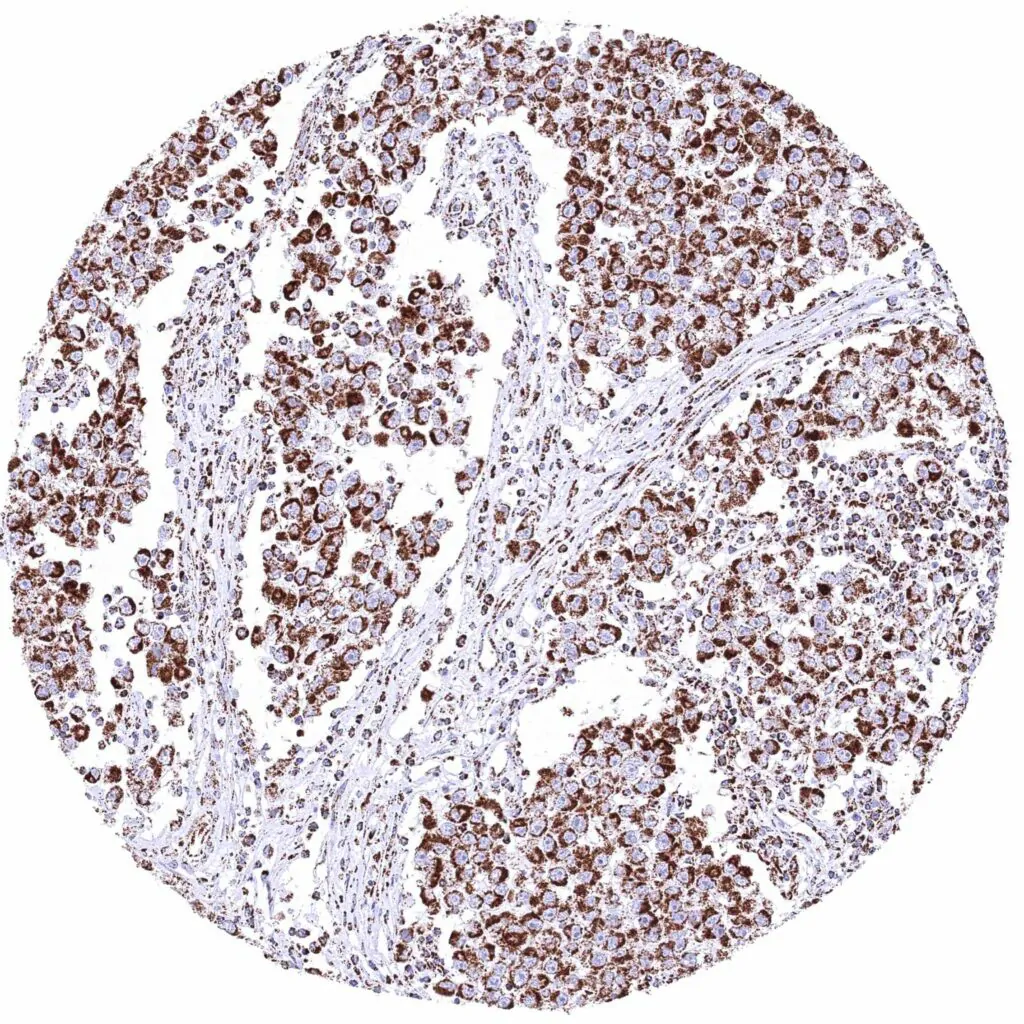
Lymph node – Diffuse large B-cell lymphoma with intense cytoplasmic ATP5J positivity of all tumor cells.

       

Lymph node – Diffuse large B-cell lymphoma with moderate to strong cytoplasmic ATP5J staining of tumor cells.

Lymph node – Hodgkin’s lymphoma with strong cytoplasmic ATP5J positivity of tumor cells. ATP5J staining is less intense in non-neoplastic inflammatory cells.

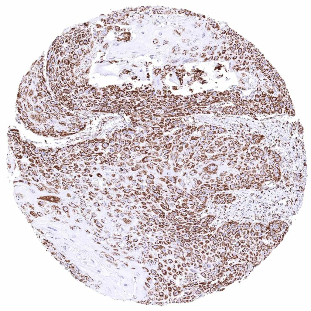
Oral cavity – Squamous cell carcinoma with moderate to strong ATP5J staining of tumor cells.

Ovary – Clear cell carcinoma with strong cytoplasmic ATP5J staining of tumor cells.

       

Ovary – Endometroid carcinoma with strong cytoplasmic ATP5J staining of tumor cells.

Ovary – Mucinous carcinoma with strong cytoplasmic ATP5J staining of tumor cells.

Ovary – Serous high-grade carcinoma with strong cytoplasmic ATP5J positivity of tumor cells.

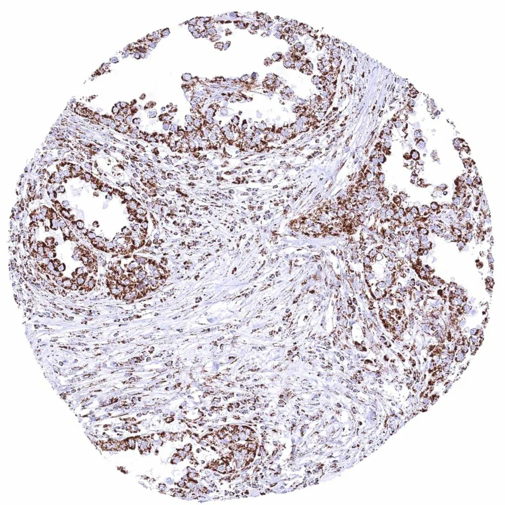
Pancreas – Acinar cell carcinoma showing moderate ATP5J staining of all tumor cells

       

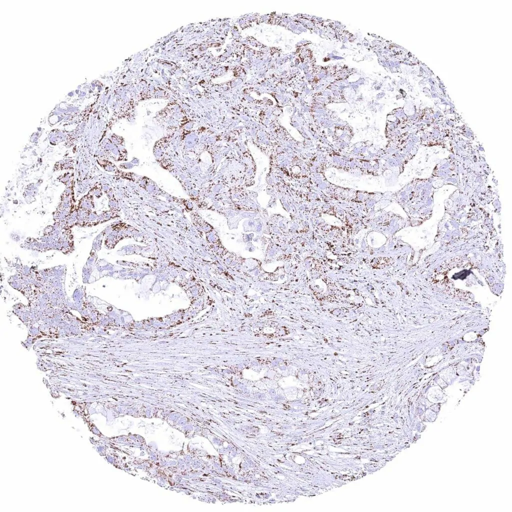
Pancreas – Ductal adenocarcinoma with weak cytoplasmic ATP5J immunostaining of tumor cells.

Pancreas – Neuroendocrine tumor with moderate to strong cytoplasmic ATP5J staining of all tumor cells.

Parathyroid gland – Adenoma with intense cytoplasmic ATP5J staining of all tumor cells.

Prostate – Adenocarcinoma (Gleason 3+3=6) with moderate cytoplasmic ATP5J staining of tumor cells.

       

Prostate – Adenocarcinoma (Gleason 4+4=8) with moderate to strong cytoplasmic ATP5J positivity of tumor cells.

Prostate – Adenocarcinoma (Gleason 5+5=10) with intense cytoplasmic ATP5J positivity of all tumor cells.

Salivary gland – Warthin tumor with intense ATP5J staining of tumor cells.

Skin – Malignant melanoma with weak to moderate cytoplasmic ATP5J staining of tumor cells.

       

Soft tissue – Leiomyosarcoma with weak ATP5J staining of tumor cells.

Stomach – Gastric adenocarcinoma (diffuse type) with moderate to strong cytoplasmic ATP5J staining of tumor cells.

Stomach – Gastric adenocarcinoma (intestinal type) with strong cytoplasmic ATP5J staining of all tumor cells.

Stomach – Gastrointestinal stromal tumor (GIST) with weak to moderate cytoplasmic ATP5J immunostaining of tumor cells.

       

Testis – Leydig cell tumor with strong cytoplasmic ATP5J immunostaining of tumor cells.

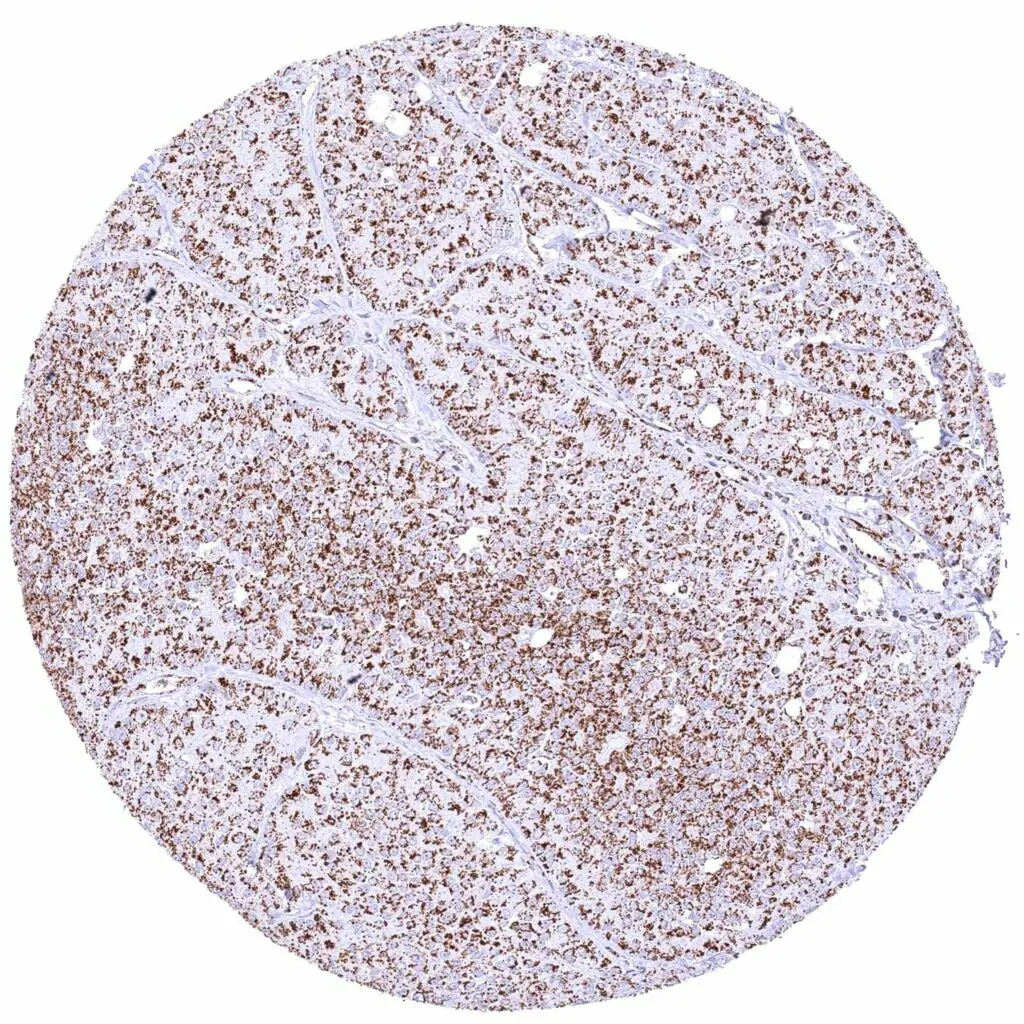
Testis – Seminoma with moderate cytoplasmic ATP5J immunostaining of tumor cells.

Urinary bladder – Muscle-invasive urothelial carcinoma with moderate cytoplasmic ATP5J staining of all tumor cells.

Uterus, cervix – Squamous cell carcinoma with moderate to strong cytoplasmic ATP5J staining of tumor cells.

       

Vulva – Squamous cell carcinoma with strong cytoplasmic ATP5J staining of tumor cells.

 

 

| TOP |