Normal Tissue Gallery- GTX642297

ATP5J antibody [HMV3971] HistoMAX™

 

Go to Cancer Tissue Gallery
  
 Go back to product page
  

Go to HistoMAX page

 

Adrenal gland – Cytoplasmic ATP5J staining occurs in all cell types. It is particularly strong in adrenocortical cells

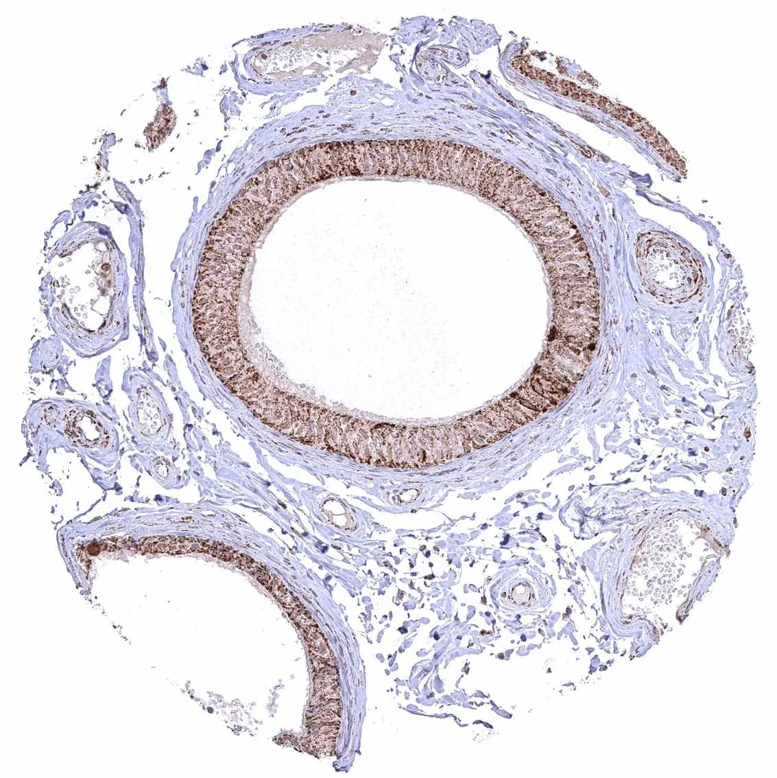
Aorta, media

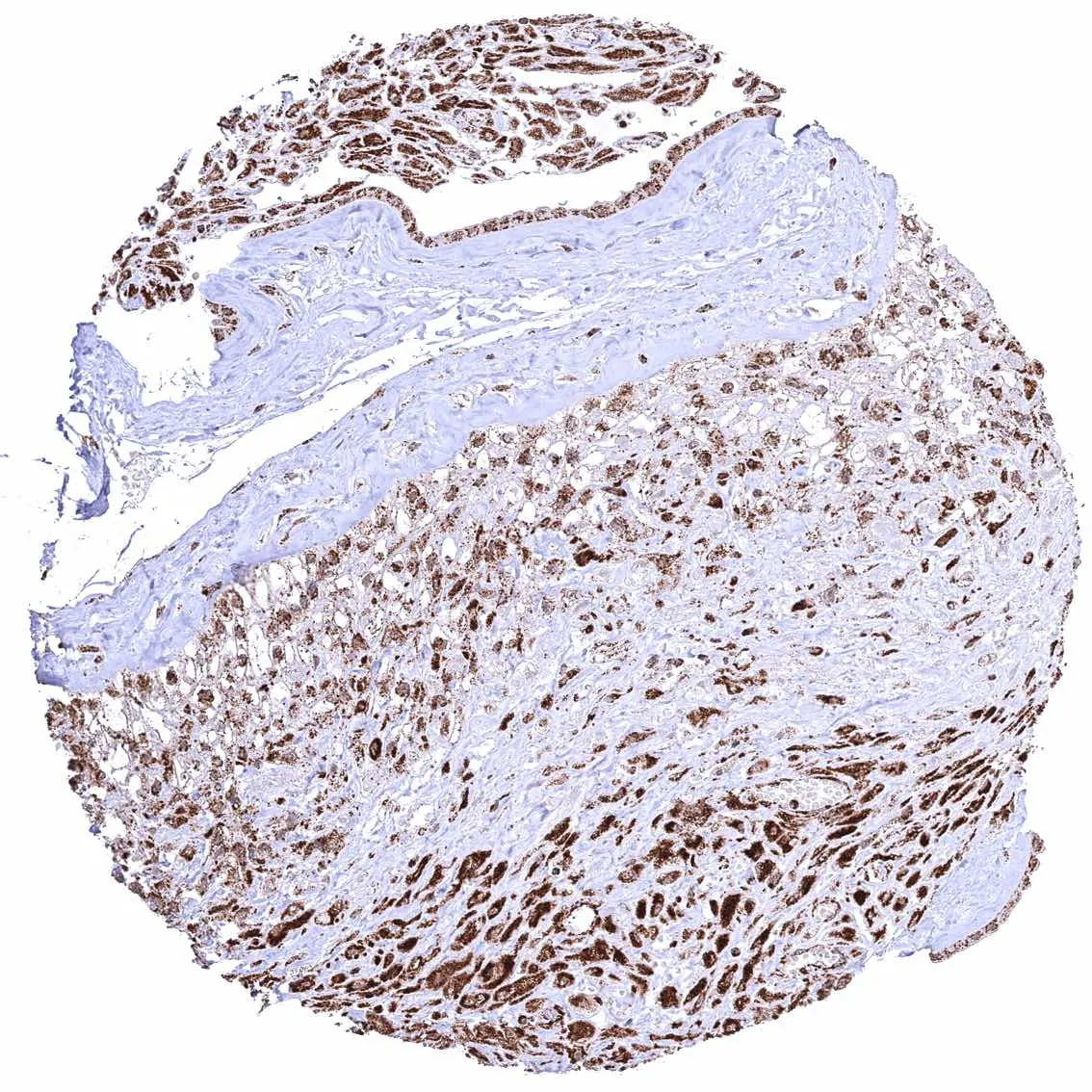
Appendix, mucosa

Appendix, muscular wall

       

Bone marrow – Cytoplasmic ATP5J staining of variable intensity in all cell types.

Breast

Bronchus, mucosa – Cytoplasmic ATP5J staining occurs in all cell types. A characteristic granular cytoplasmic staining is seen below the apical membranes.

Bronchus, mucosa

       

Cerebellum (molecular layer, Purkinje cell layer, granule cell layer, white matter)

Cerebellum (white matter)

Cerebrum, grey matter

Cerebrum, white matter

       

Colon descendens, mucosa

Colon descendens, muscular wall

Duodenum, Brunner gland

Duodenum, mucosa

       

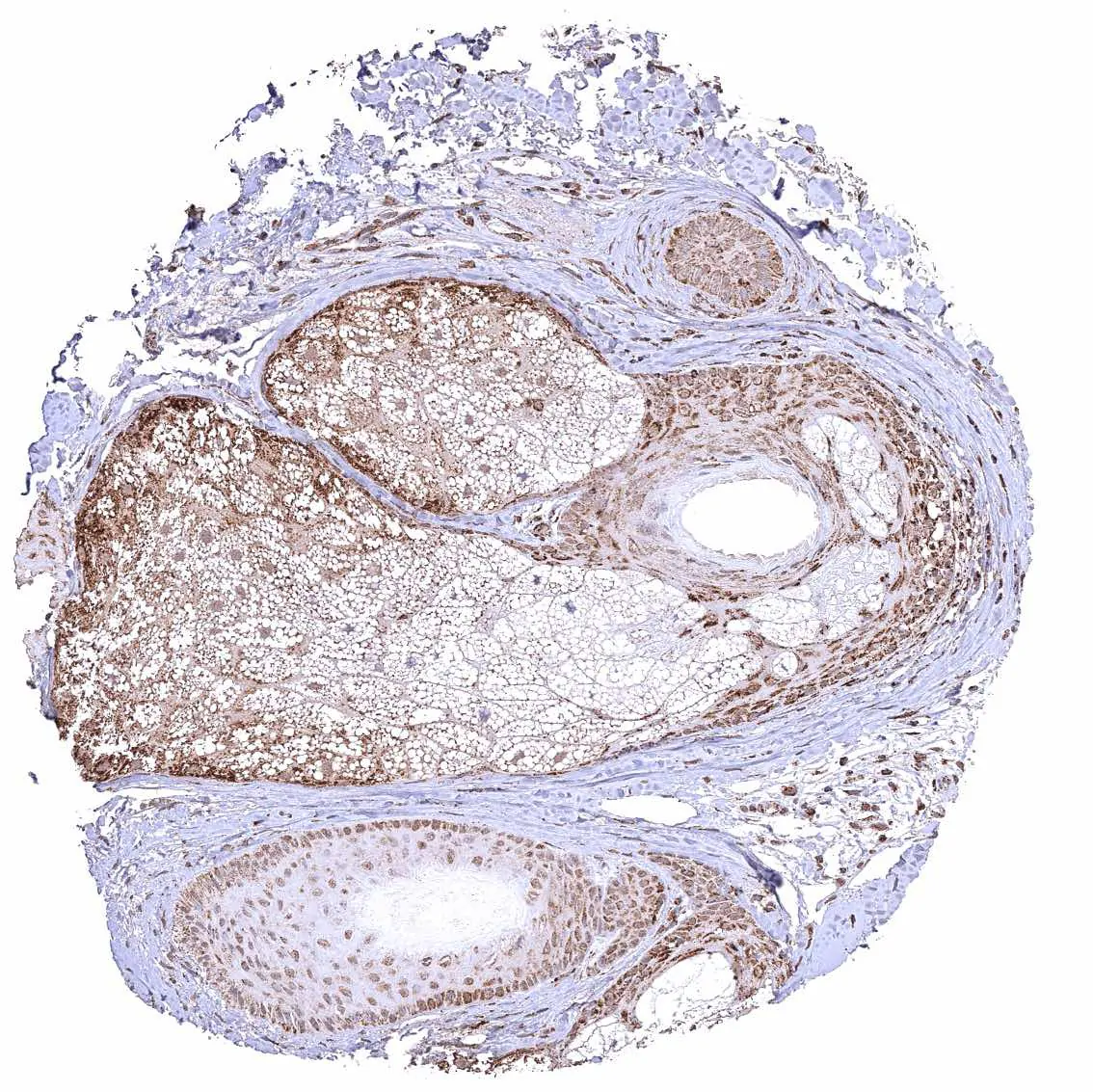
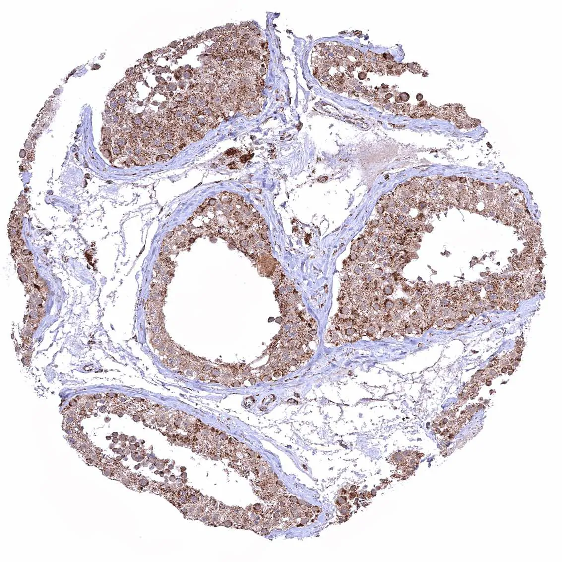
Epididymis (Cauda)

Epididymis (Corpus)

Esophagus, squamous epithelium – Strong granular cytoplasmic ATP5J staining of all cell types. The staining is least intense in superficial cell layers of squamous epithelium.

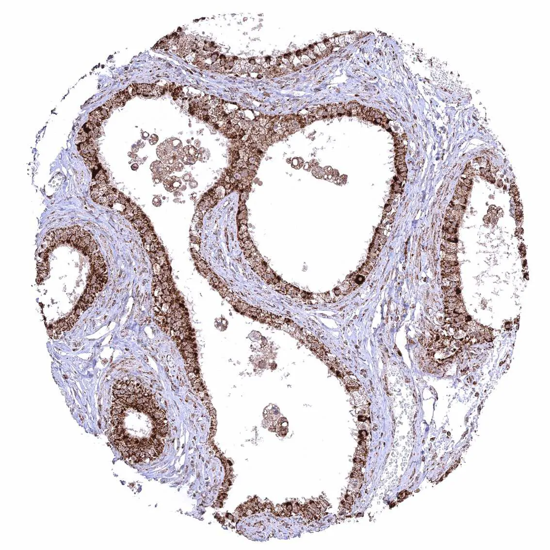
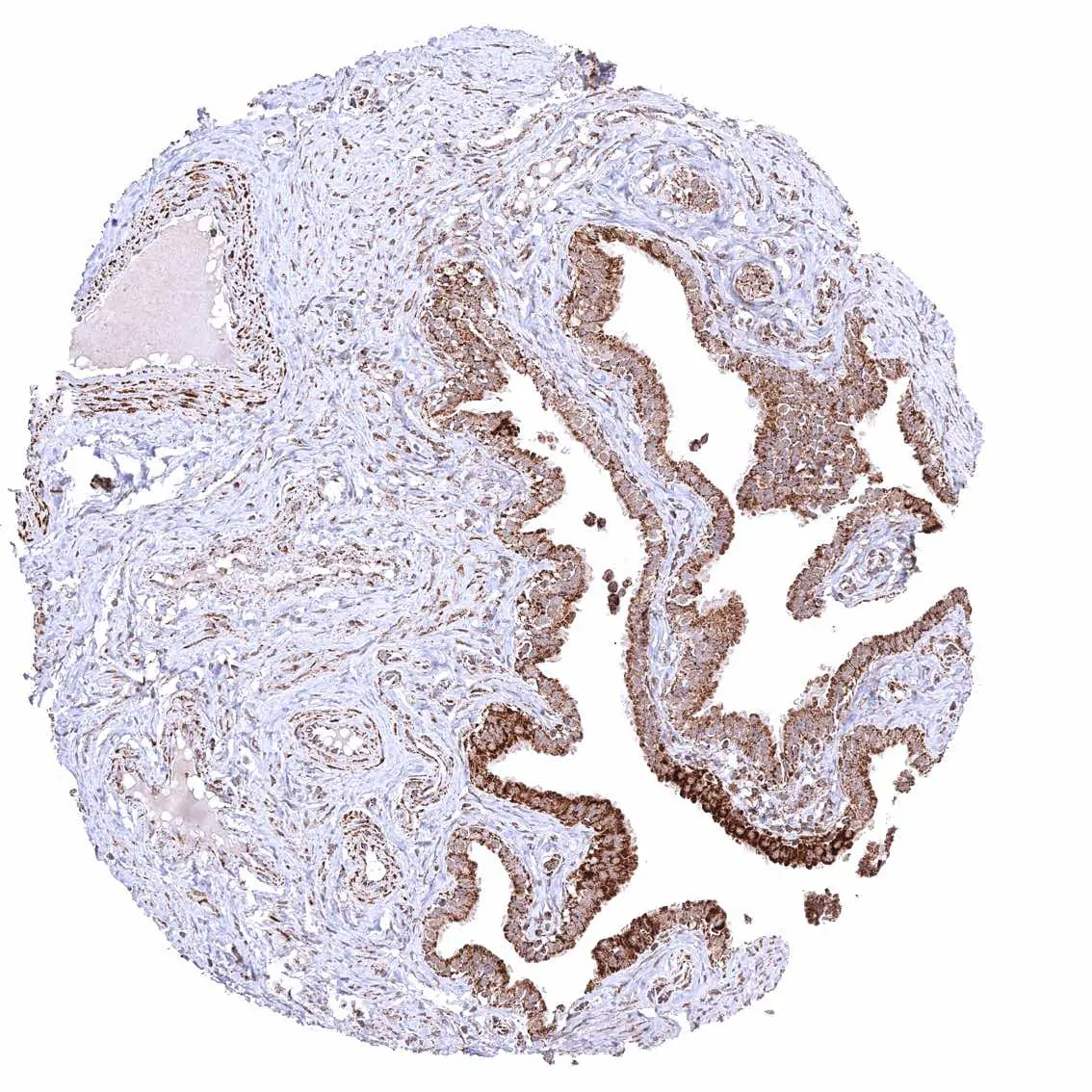
Fallopian tube, mucosa

       

Fat

Gallbladder, epithelium

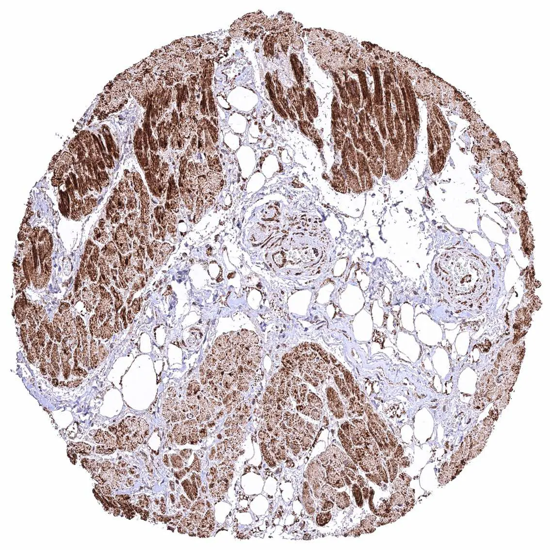
Heart muscle

Ileum, mucosa

       

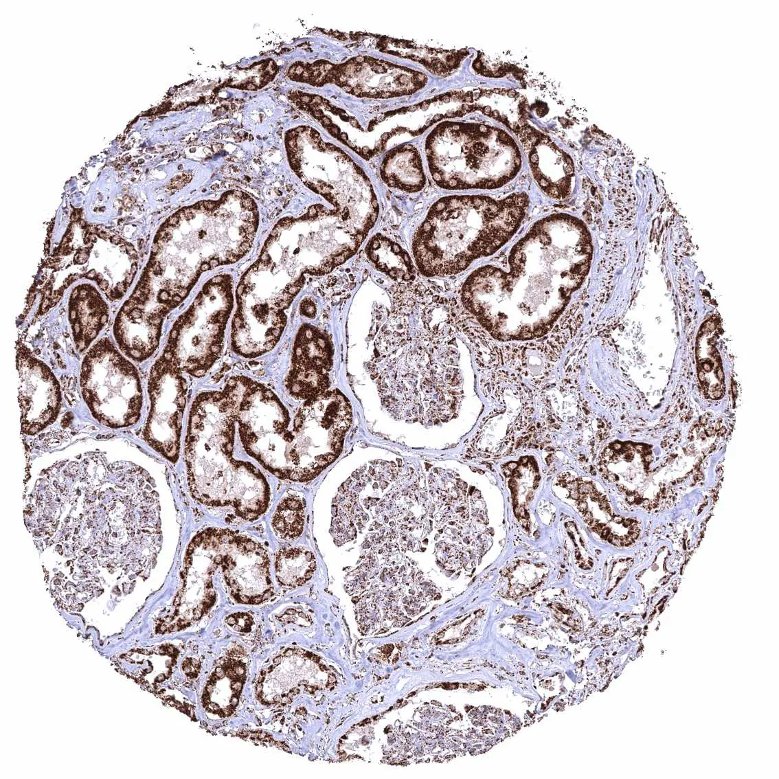
Kidney, cortex – Cytoplasmic ATP5J staining occurs in all cell types. It is intense in all tubuli, moderate in collecting ducts, and least intense in glomeruli.

Kidney, medulla

Liver – Cytoplasmic ATP5J staining is particularly intense in hepatocytes.

Lung

       

Lymph node

Ovary, corpus luteum

Ovary, stroma

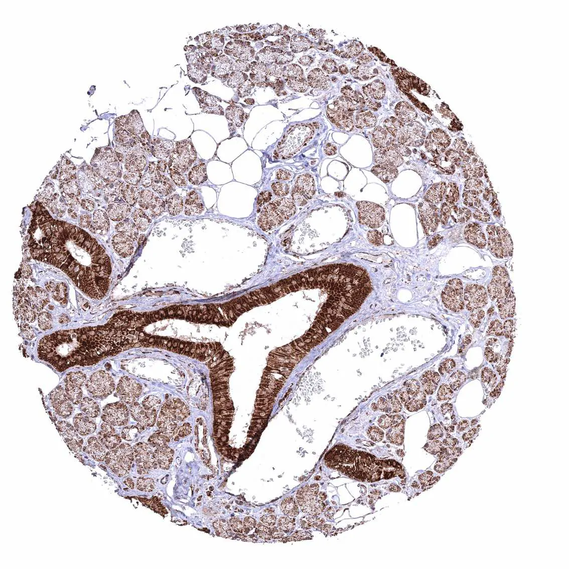
Pancreas – Distinct granular, perinuclear, cytoplasmic ATP5J staining in all cell types. Some cells with higher staining intensity may be related to the excretory system.

       

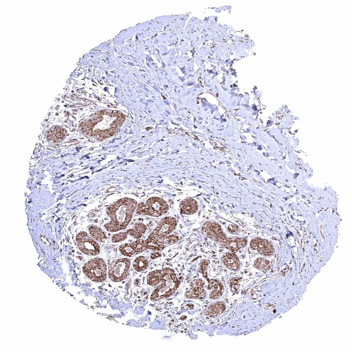
Parathyroid gland

Parotid gland – Cytoplasmic ATP5J staining occurs in all cell types. It is very intense in excretory ducts but rather weak in glandular cells.

Pituitary gland, anterior lobe

Pituitary gland, posterior lobe

       

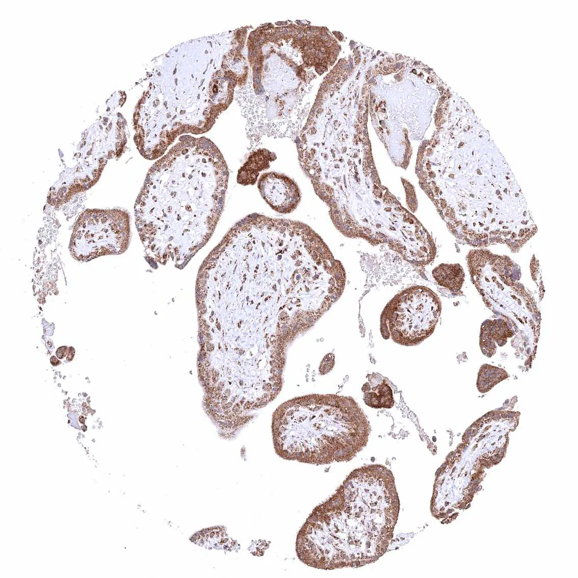
Placenta (amnion and chorion) – Distinct cytoplasmic ATP5J staining of amnion and chorion cells.

Placenta, early

Placenta, mature

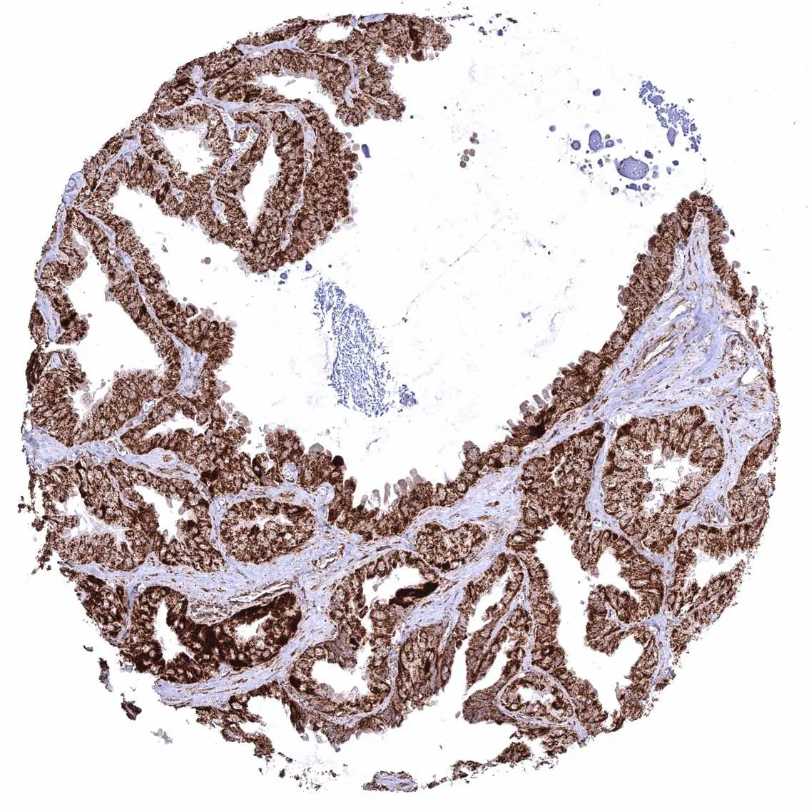
Prostate

       

Rectum, mucosa

Seminal vesicle

Sinus paranasales – Cytoplasmic ATP5J staining occurs in all cell types. A characteristic granular cytoplasmic staining is seen below the apical membranes.

Skeletal muscle

       

Skin, hairfollicel and sebaceous glands – Distinct cytoplasmic ATP5J staining of all cell types of hair follicles but staining is particularly weak in sebaceous glandular cells.

Skin

Spleen

Stomach, corpus – Cytoplasmic ATP5J staining occurs in all cell types. It is most intense in parietal cells and least intense in superficial epithelial cells.

       

Testis

Testis

Thymus

Thyroid gland

       

Tonsil – Strong granular cytoplasmic ATP5J staining of all cell types. The staining is least intense in superficial cell layers of squamous epithelium.

Tonsil, surface epithelium – Strong granular cytoplasmic ATP5J staining of all cell types. The staining is least intense in superficial cell layers of squamous epithelium.

Urinary bladder, muscular wall

Urinary bladder, urothelium

       

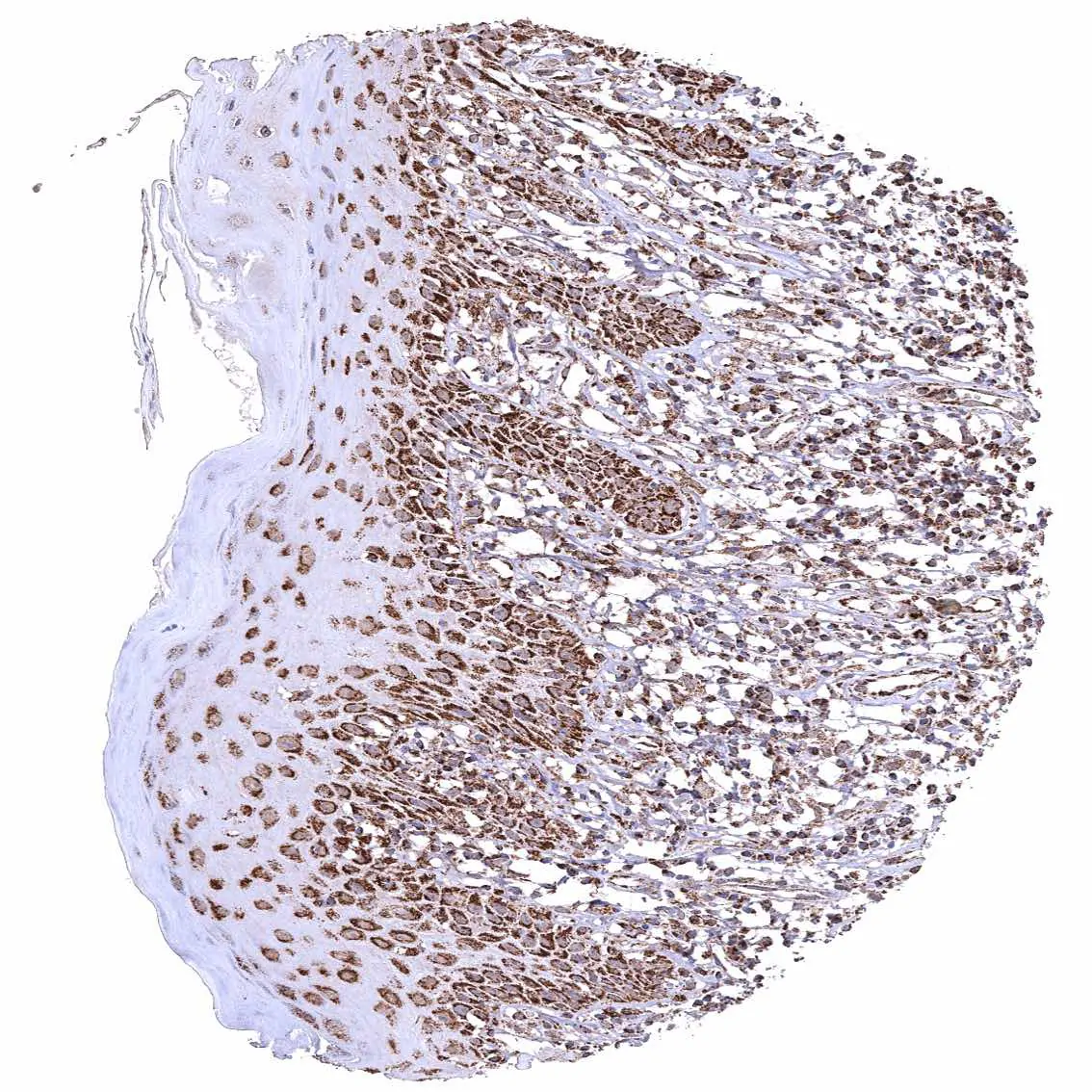
Uterus, ectocervix – Distinct granular, perinuclear, cytoplasmic ATP5J staining in all cell types. The staining is least intense in superficial cell layers of non-keratinizing squamous epithelium.

Uterus, endocervix

Uterus, endometrium (pregnancy)

Uterus, endometrium (proliferation)

       

Uterus, endometrium (secretion)

Uterus, myometrium

   

 

| TOP |