Cancer Tissue Gallery- GTX639943

CBP antibody [HMV319] HistoMAXTM

 

Go to Normal Tissue Gallery
  
 Go back to product page
  

Go to HistoMAX page

 

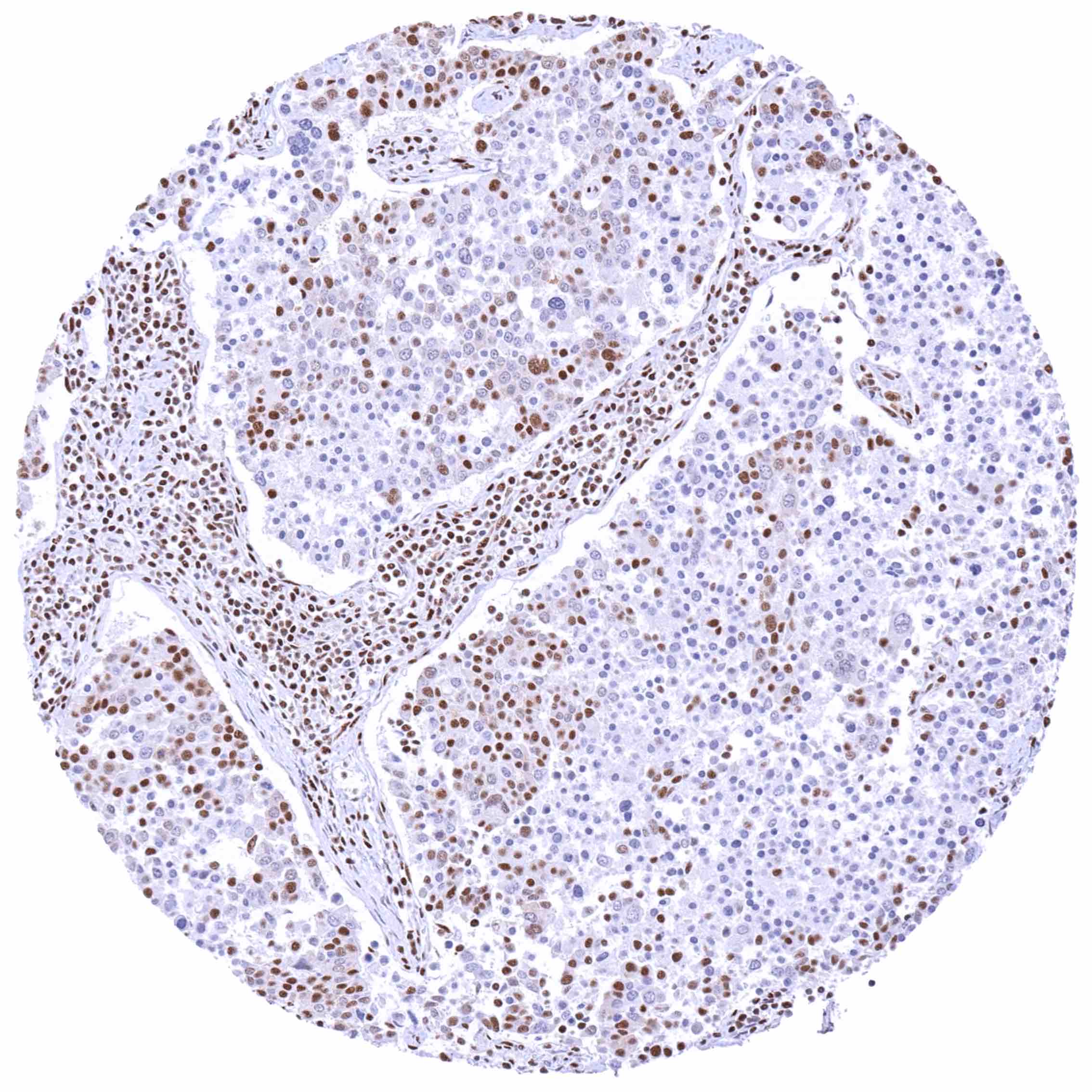
Adrenal gland – Adrenocortical adenoma with strong CBP immunostaining of tumor cells

Bone – Osteosarcoma with strong CBP staining of tumor cells

Esophagus – Adenocarcinoma with strong CBP staining of tumor cells

Esophagus – Squamous cell carcinoma with moderate to strong CBP positivity of tumor cells

       

Kidney – Clear cell renal cell carcinoma with moderate to strong CBP staining of tumor cells

Kidney – Papillary renal cell carcinoma with strong CBP immunostaining of tumor cells

Liver – Cholangiocellular carcinoma with strong CBP staining of all tumor cells

Liver – Hepatocellular carcinoma with strong CBP positivity of tumor cells

       

Lung – Adenocarcinoma with a complete lack of CBP staining in tumor cells

Lung – Adenocarcinoma with strong CBP staining of tumor cells

Lung – Squamous cell carcinoma with strong CBP immunostaining of tumor cells

Lung – Squamous cell carcinoma without CBP staining of tumor cells

       

Lymph node – Diffuse large B-cell lacking CBP staining of tumor cells

Lymph node – Diffuse large B-cell lymphoma with a complete lack of CBP staining in tumor cells

Lymph node – Diffuse large B-cell lymphoma with complete loss of CBP staining in tumor cells

Lymph node – Follicular B-cell lymphoma completely lacking CBP staining in tumor cells

       

Lymph node – Hodgkin’s lymphoma with strong CBP staining of tumor cells and also of non-neoplastic cells

Lymph node – Hodgkin’s lymphoma with strongest CBP immunostaining in tumor cells

Oral cavity – Squamous cell carcinoma with strong CBP immunostaining of tumor cells

Ovary – Serous high-grade carcinoma with only faint or absent CBP staining of most tumor cells

       

Ovary – Serous high-grade carcinoma with strong CBP immunostaining of tumor cells

Ovary- Serous high-grade carcinoma completely lacking CBP staining of tumor cells

Pancreas – Ductal adenocarcinoma with only faint or absent CBP staining of most tumor cells

Pancreas – Neuroendocrine tumor with only faint or absent CBP staining of most tumor cells

       

Prostate – Adenocarcinoma (Gleason 3+3=6) with only faint or absent CBP staining of most xanthomatous tumor cells

Salivary gland – Warthin tumor with strong CBP staining of epithelial tumor cells and of tumor-associated lymphocytes

Soft tissue – Liposarcoma with strong CBP staining of all tumor cells

Soft tissue – Malignant peripheral nerve sheath tumor (MPNST) with strong CBP positivity of tumor cells

       

Soft tissue – Primitive neuroektodermal tumor (PNET) with strong CBP staining of all tumor cells

Soft tissue – Leiomyosarcoma with strong CBP staining of tumor cells

Stomach – Gastric adenocarcinoma (intestinal type) showing strong CBP staining of tumor cells

Stomach – Gastrointestinal stromal tumor (GIST) with strong CBP immunostaining of tumor cells

       

Testis – Leydig cell tumor with strong CBP staining of tumor cells

Testis – Seminoma with only faint or absent CBP staining of most tumor cells

Testis – Seminoma with strong CBP positivity of tumor cells

Urinary bladder – Muscle-invasive urothelial carcinoma completely lacking CBP staining of tumor cells

       

Urinary bladder – Muscle-invasive urothelial carcinoma not showing any CBP immunostaining in tumor cells

Urinary bladder – Muscle-invasive urothelial carcinoma with strong CBP immunostaining of tumor cells

Urinary bladder – Muscle-invasive urothelial carcinoma with strong CBP staining of all tumor cells

Vulva – Squamous cell carcinoma with strong CBP staining of tumor cells

       

 

| TOP |