Normal Tissue Gallery- GTX639943

CBP antibody [HMV319] HistoMAXTM

 

Go to Cancer Tissue Gallery
  
 Go back to product page
  

Go to HistoMAX page

 

Adrenal gland

Adrenal gland

Aorta, media

Appendix, mucosa

       

Appendix, muscular wall

Bone marrow

Breast

Bronchus, mucosa

       

Cerebellum (white matter) – Weak staining may be related to prolonged fixation of ths sample

Cerebellum, cortex (molecular layer, Purkinje cell layer, granule cell layer, white matter) – Weak staining may be related to prolonged fixation of ths sample

Cerebellum, cortex (molecular layer, Purkinje cell layer, granule cell layer, white matter) – Weak staining may be related to prolonged fixation of ths sample

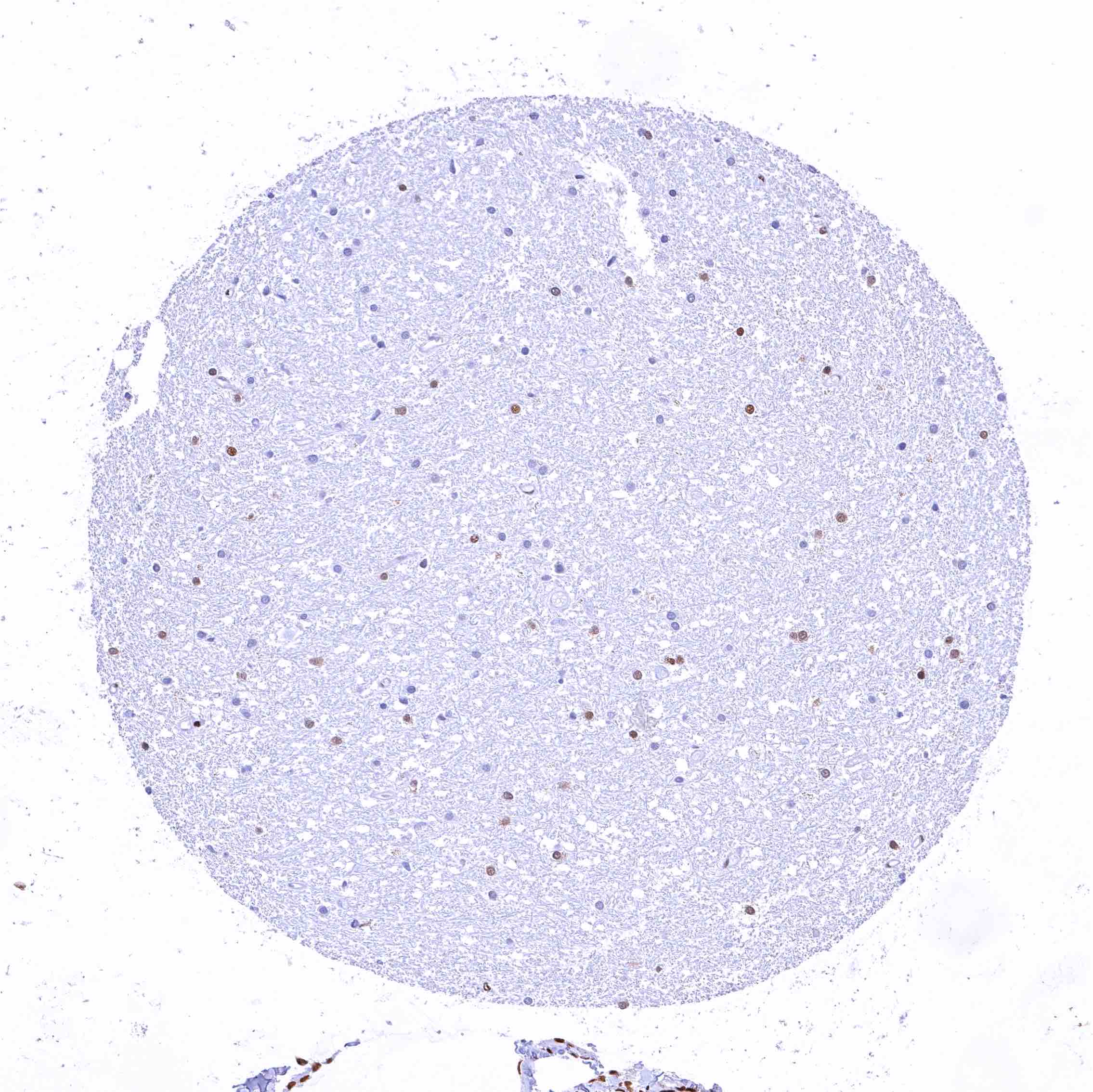
Cerebrum, grey matter – CBP staining is weak or absent in neuronal cells (weak staining may be related to prolonged fixation of ths sample)

       

Cerebrum, white matter – Weak staining may be related to prolonged fixation of ths sample

Colon descendens, muscular wall

Duodenum, mucosa

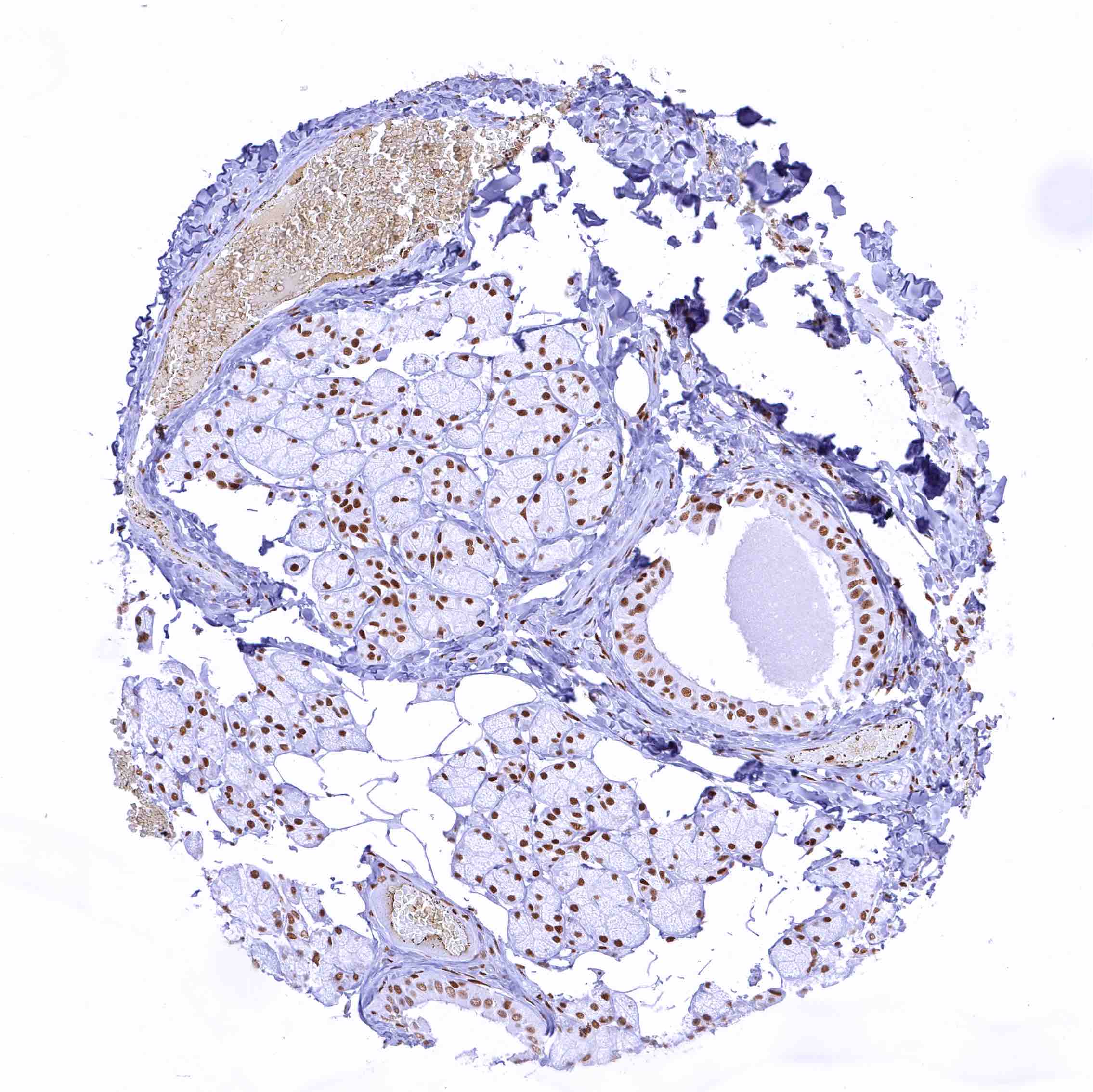
Epididymis (Caput)

       

Epididymis

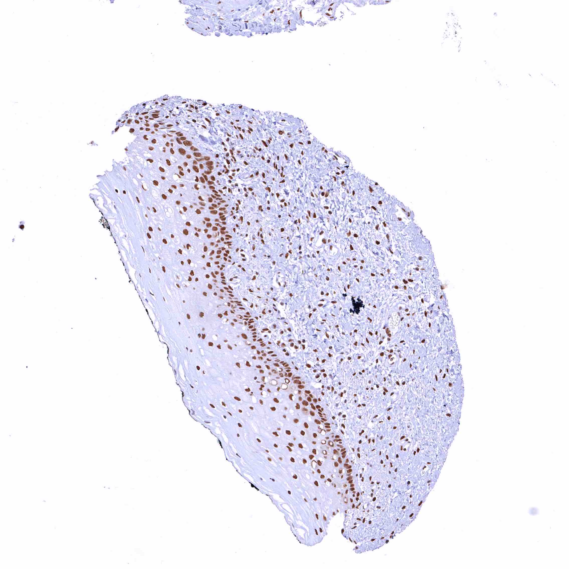
Esophagus, squamous epithelium – In squamous epithelium, the CBP staining intensity decreases slightly from the basal to the superficial cell layers

Fallopian tube, mucosa

Fat

       

Gallbladder, epithelium

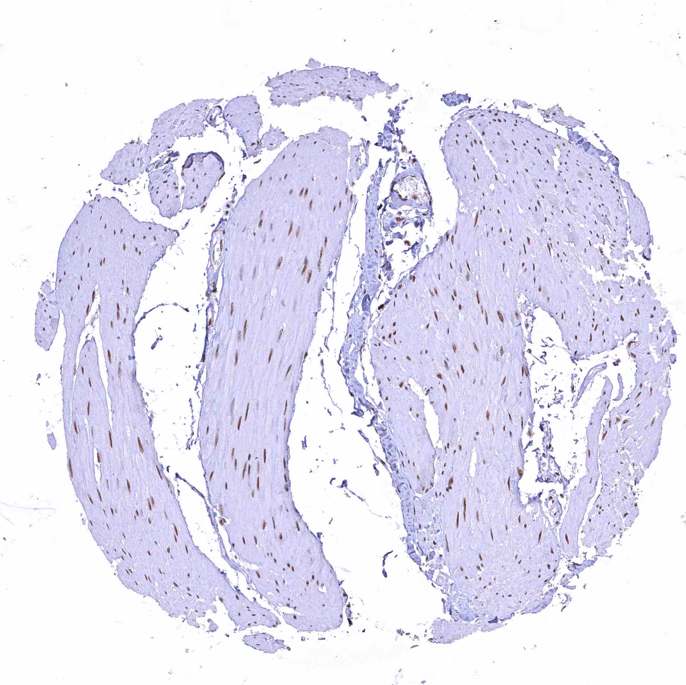
Heart muscle

Heart muscle

Ileum, mucosa

       

Kidney, cortex – Only weak CBP staining intensity of some tubular cells

Kidney, cortex – Only weak CBP staining intensity of some tubular cells

Kidney, cortex – Only weak CBP staining intensity of some tubular cells

Kidney, medulla

       

Liver – Only weak CBP staining intensity in hepatocytes in this sample

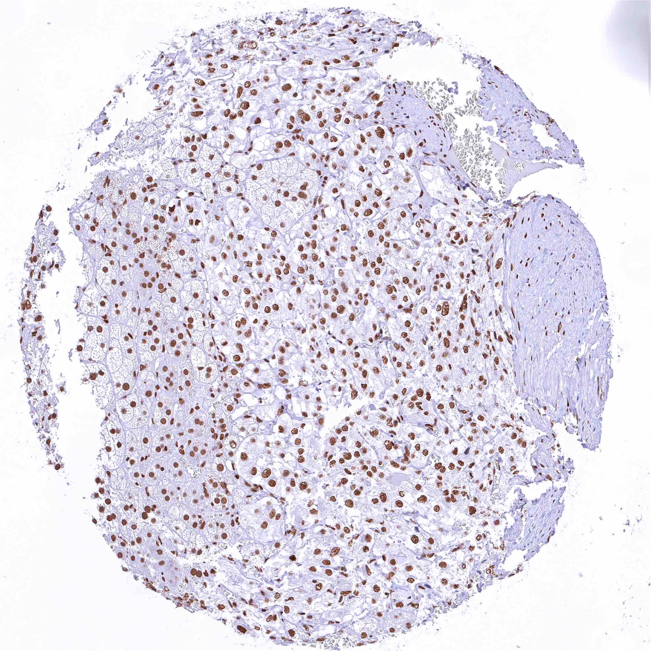
Liver – Strong nuclear CBP positivity of hepatocytes in this sample

Lung

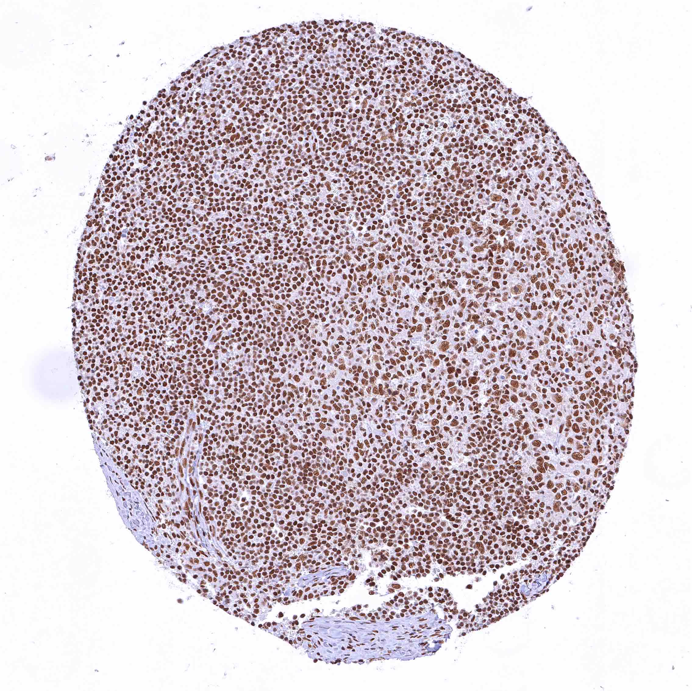
Lymph node

       

Ovary, corpus luteum

Ovary, stroma

Pancreas

Parathyroid gland

       

Parathyroid gland

Parotid gland

Pituitary gland, anterior lobe – CBP staining is weak or absent in epithelial cells

Pituitary gland, posterior lobe

       

Placenta (amnion and chorion)

Placenta, early

Placenta, mature – CBP staining is weak or absent in trophoblastic cells

Placenta, mature – CBP staining is weak or absent in trophoblastic cells

       

Prostate

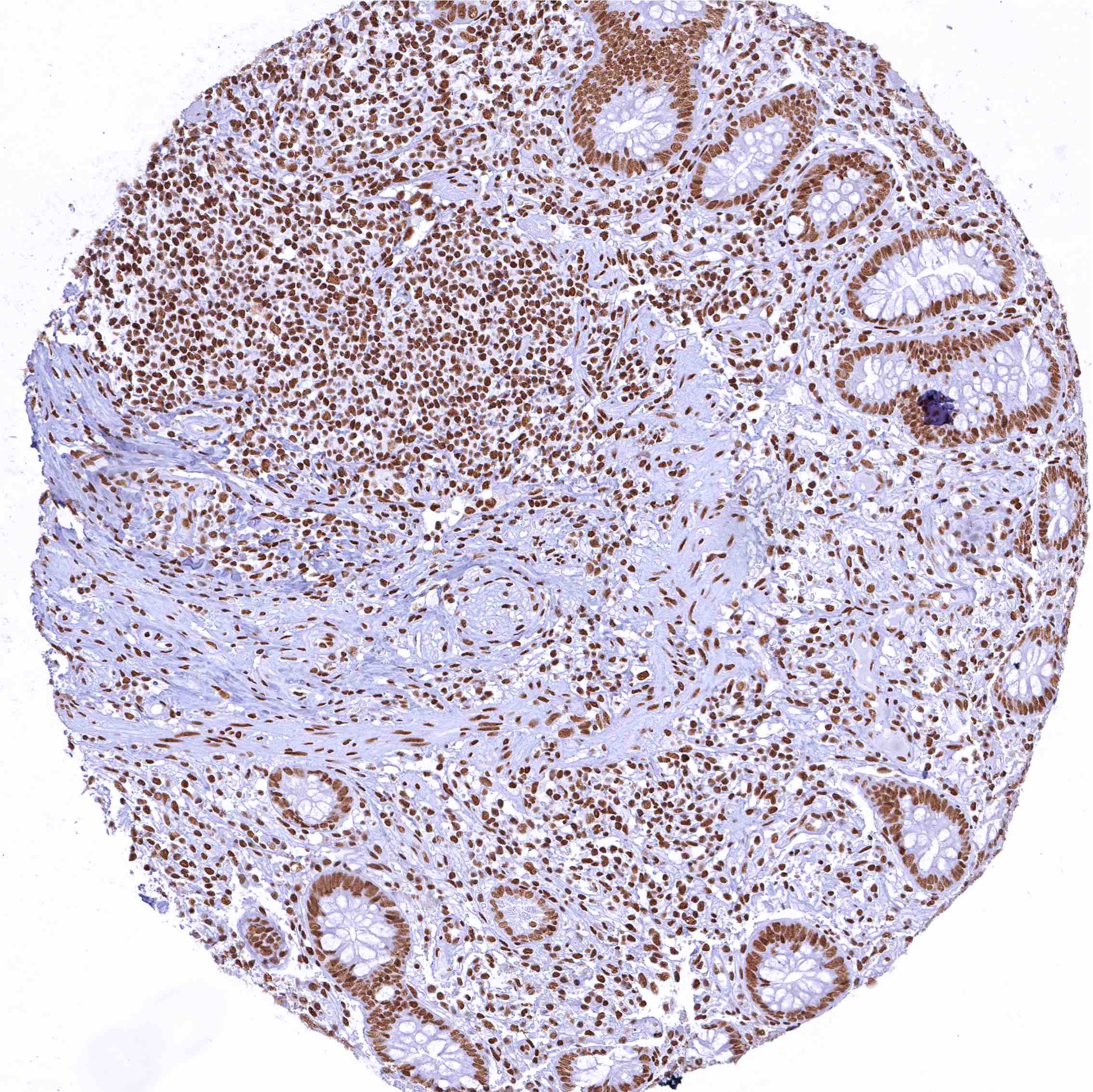
Rectum, mucosa – In colonic epithelium, the CBP staining intensity decreases slightly from the crypt base to the surface epithelium

Rectum, mucosa – In colonic epithelium, the CBP staining intensity decreases slightly from the crypt base to the surface epithelium

Seminal vesicle

       

Sinus paranasales

Skeletal muscle

Skin – In squamous epithelium, the CBP staining intensity decreases slightly from the basal to the superficial cell layers

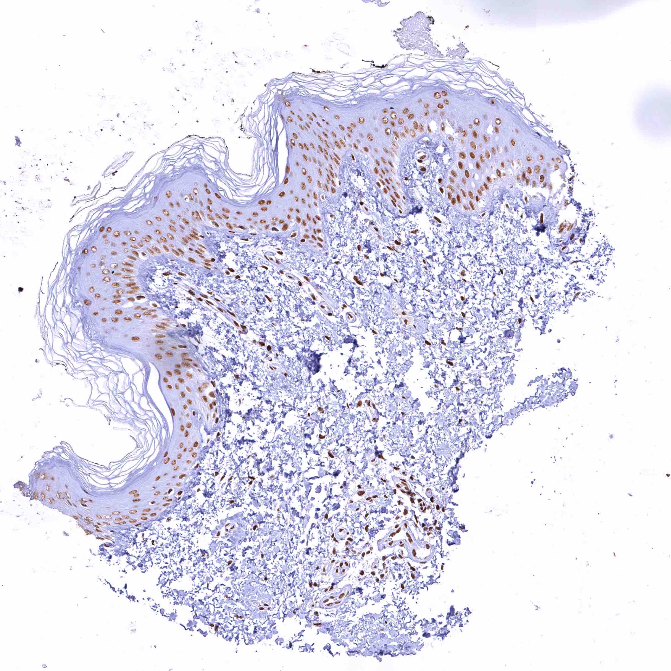
Skin, hairfollicel and sebaceous glands

       

Skin, hairfollicel and sebaceous glands

Spleen

Stomach, antrum – Faint CBP staining of gastric glands

Stomach, antrum – Rather weak CBP staining of gastric epithelial cells

       

Sublingual gland

Testis – CBP staining intensity decreases during the maturation of spermatocytes. Spermatids are CBP negative

Thymus

Thymus

       

Thyroid gland

Tonsil, surface epithelium – In squamous epithelium, the CBP staining intensity decreases slightly from the basal to the superficial cell layers

Tonsil

Urinary bladder, muscular wall

       

Urinary bladder, urothelium

Uterus, ectocervix – In squamous epithelium, the CBP staining intensity decreases slightly from the basal to the superficial cell layers

Uterus, ectocervix – In squamous epithelium, the CBP staining intensity decreases slightly from the basal to the superficial cell layers

Uterus, endocervix

       

Uterus, endometrium (pregnancy)

Uterus, endometrium (proliferation)

Uterus, endometrium (proliferation)

Uterus, endometrium (secretion) – Only weak CBP staining intensity of some glandular cells

       

 

| TOP |