Cancer Tissue Gallery- GTX04393

CD22 antibody [MSVA-022R] HistoMAX

 

Go to Normal Tissue Gallery
  
 Go back to product page
  

Go to HistoMAX page

 

Adrenal gland- Pheochromocytoma lacking CD22 positive lymphocytes

Colon- Colorectal adenocarcinoma without any CD22 positive lymphocytes

Kidney- Clear cell renal cell carcinoma containing one CD22 positive lymphocyte

Liver- Hepatocellular carcinoma lacking CD22 positive lymphocytes

       

Lymph node- B-CLL exhibiting strong CD22 staining of tumor cells

Lymph node- CD22 immunostaining is only weak in tumor cells of a Burkitt's lymphoma

Lymph node- CD22 negative peripheral T-cell lymphoma containing interspersed non-neoplastic CD22 positive B-cells

Lymph node- Diffuse large B-cell lymphoma with strong CD22 immunostaining of all tumor cells

       

Lymph node- Follicular B-cell lymphoma showing strong CD22 staining of neoplastic cells

Lymph node- Hodgkin's lymphoma lacking CD22 staining of Hodgkin and Reed-Sternberg cells. CD22 staining is limited to non-neoplastic B-cells

Lymph node- Hodgkin's lymphoma with moderate intensity CD22 staining of Hodgkin and Reed-Sternberg cells

Lymph node- Mantle cell lymphoma with strong CD22 immunostaining of tumor cells

       

Lymph node- Marginal zone lymphoma showing only weak CD22 staining of tumor cells. CD22 staining is stronger in few interspersed non-neoplastic B-cells

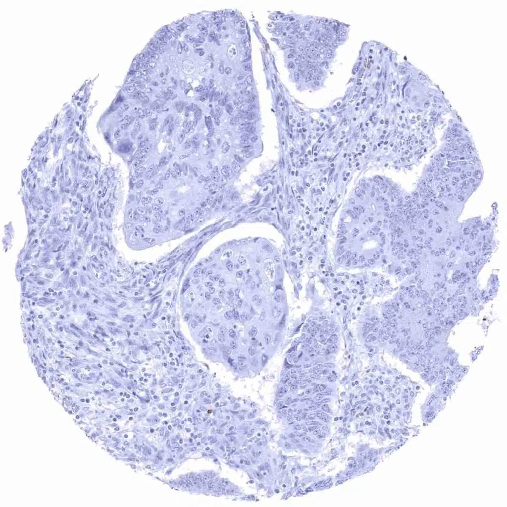
Oral cavity- CD22 negative squamous cell carcinoma containing numerous CD22 positive lymphocytes

Ovary- Serous high-grade carcinoma containing multiple CD22 positive lymphocytes

Prostate- Adenocarcinoma (Gleason 3+3=6) containing multiple CD22 positive lymphocytes

       

Prostate- Adenocarcinoma (Gleason 3+3=6) lacking CD22 positive lymphocytes

Salivary gland- Warthin tumor showing strong CD22 staining of most tumor-associated lymphocytes

Stomach- Gastric adenocarcinoma lacking CD22 positive lymphocytes

Stomach- Gastrointestinal stromal tumor (GIST) lacking CD22 positive lymphocytes

       

Testis- Seminoma containing many CD22 positive lymphocytes

Thyroid- Medullary carcinoma lacking CD22 positive lymphocytes

Urinary bladder- Small cell carcinoma lacking CD22 positive lymphocytes

Vagina- Squamous cell carcinoma including numerous CD22 positive lymphocytes

       

 

| TOP |