Cancer Tissue Gallery- GTX04394

CD27 antibody [MSVA-027M] HistoMAX

 

Go to Normal Tissue Gallery
  
 Go back to product page
  

Go to HistoMAX page

 

Parotid gland - A high proportion of lymphocytes in a Warthin tumor shows CD27 positivity.

Parotid gland - Warthin tumor showing CD27 positivity of most lymphocytes.

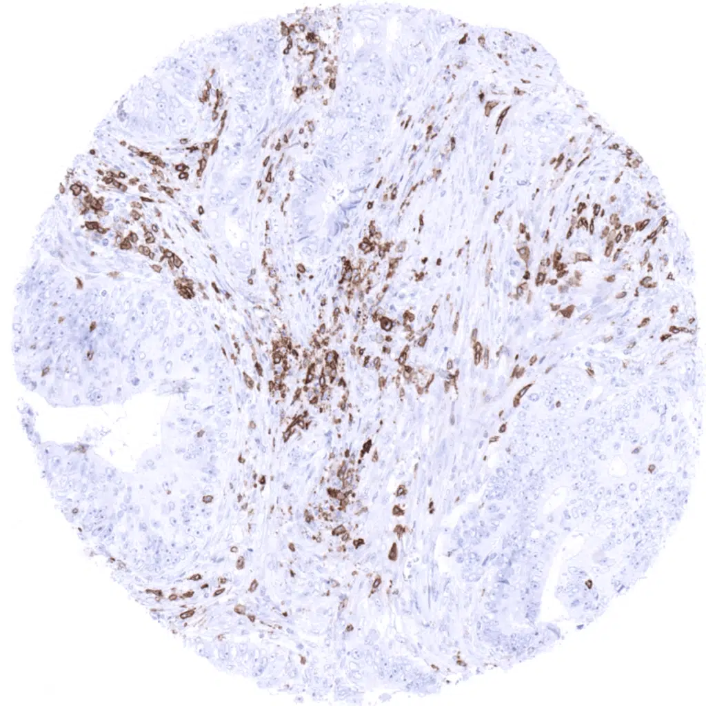
Pancreas - Ductal adenocarcinoma with a large number of CD27 positive tumor infiltrating lymphocytes.

Prostate - Adenocarcinoma containing CD27 positive tumor infiltrating lymphocytes.

       

Lymph node - CD27 immunostaining of most non-neoplastic lymphocytes in a Hodgkin's lymphoma. Hodgkin and Reed-Sternberg cells remain CD27 negative.

Testis - Diffuse large B-cell lymphoma with CD27 positivity in non-neoplastic lymphocytes.

Testis - Embryonal carcinoma containing few CD27 positive tumor infiltrating lymphocytes.

Testis - Seminoma showing CD27 positivity in a high proportion of tumor infiltrating lymphocytes.

       

Testis - Seminoma showing CD27 positivity in the majoritiy of tumor infiltrating lymphocytes.

Lymph node -Strong diffuse CD27 expression in a diffuse large B-cell lymphoma.

Lymph node - Strong diffuse CD27 expression in a follicular lymphoma.

Lymph node - Strong diffuse CD27 expression in a marginal zone lymphoma.

       

 

| TOP |