Cancer Tissue Gallery- GTX04389

CD3 epsilon antibody [MSVA-003R] HistoMAX

 

Go to Normal Tissue Gallery
  
 Go back to product page
  

Go to HistoMAX page

 

Breast- Invasive breast cancer of no special type (NST) infiltrated by a significant number of CD3 positive T-cells

Breast- Invasive lobular breast cancer infiltrated by a significant number of CD3 positive lymphocytes

Colon- Colorectal adenocarcinoma containing numerous CD3 positive lymphocytes

Esophagus- Adenocarcinoma including a substantial number of CD3 positive T-lymphocytes

       

Kidney- Clear cell renal cell carcinoma containing a significant number of CD3 positive lymphocytes

Kidney- Clear cell renal cell carcinoma infiltrated by a significant number of CD3 positive lymphocytes

Kidney- Oncocytoma including only a few CD3 positive lymphocytes

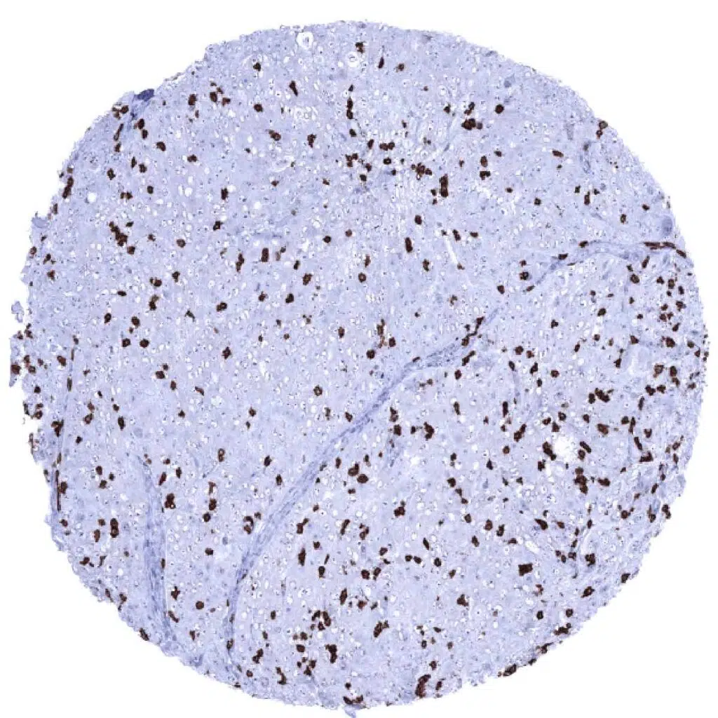
Lymph node- Angioimmunoblastic T-cell lymphoma showing strong CD3 positivity of tumor cells

       

Lymph node- CD3 negative diffuse large B-cell lymphoma containing a good number of non-neoplastic CD3 positive lymphocytes

Lymph node- CD3 negative diffuse large B-cell lymphoma showing a dense infiltrate of non-neoplastic CD3 positive lymphocytes

Lymph node- CD3 negative follicular B-cell lymphoma containing numerous CD3 positive lymphocytes

Lymph node- CD3 negative follicular B-cell lymphoma containing numerous non-neoplastic CD3 positive lymphocytes

       

Lymph node- CD3 negative large cell anaplastic T-cell lymphoma containing few CD3 positive non-neoplastic T-lymphocytes

Lymph node- Diffuse large B-cell lymphoma containing multiple CD3 positive lymphocytes

Lymph node- Hodgkin’s lymphoma containing numerous CD3 positive lymphocytes. Interspersed Hodgkin and Reed-Sternberg cells are CD3 negative

Lymph node- Hodgkin’s lymphoma predominantly composed of non-neoplastic CD3 positive T-lymphocytes. Interspersed Hodgkin and Reed-Sternberg cells are CD3 negative

       

Lymph node- Hodgkin’s lymphoma showing a dense infiltrate of non-neoplastic CD3 positive lymphocytes. Interspersed Hodgkin and Reed-Sternberg cells are CD3 negative

Lymph node- Large cell anaplastic T-cell lymphoma showing a moderate to strong CD3 positivity of tumor cells

Oral cavity- Squamous cell carcinoma with a moderate number of tumor infiltrating CD3 positive T-lymphocytes

Ovary- Endometroid carcinoma containing few CD3 positive lymphocytes

       

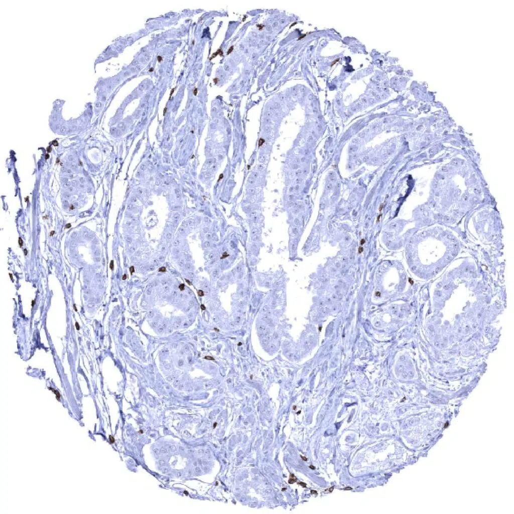
Prostate- CD3 negative adenocarcinoma (Gleason 3+3=6) showing only few CD3 positive lymphocytes

Thyroid- Follicular carcinoma containing only a small number of CD3 positive T-lymphocytes

Uterus, cervix- Adenocarcinoma containing numerous CD3 positive lymphocytes

Uterus, cervix- Squamous cell carcinoma containing numerous CD3 positive lymphocytes

       

Vagina- CD3 negative squamous cell carcinoma containing a small number of CD3 positive lymphocytes-1

Vagina- CD3 negative squamous cell carcinoma containing a small number of CD3 positive lymphocytes

   

 

| TOP |