Cancer Tissue Gallery- GTX04395

CD31 antibody [MSVA-031M] HistoMAX

 

Go to Normal Tissue Gallery
  
 Go back to product page
  

Go to HistoMAX page

 

Adrenal gland - Pheochromocytoma. Strong endothelial CD31 staining of intratumoral blood vessels.

Colon - Colorectal adenocarcinoma. Strong CD31 immunostaining of intratumoral blood vessels, moderate staining of intraluminal macrophages and weak positivity of lymphocytes.

Esophagus - CD31 negative squamous cell carcinoma surrounded by CD31 positive inflammatory cells and blood vessels.

Kidney - Clear cell renal cell carcinoma. Strong endothelial CD31 staining of intratumoral blood vessels.

       

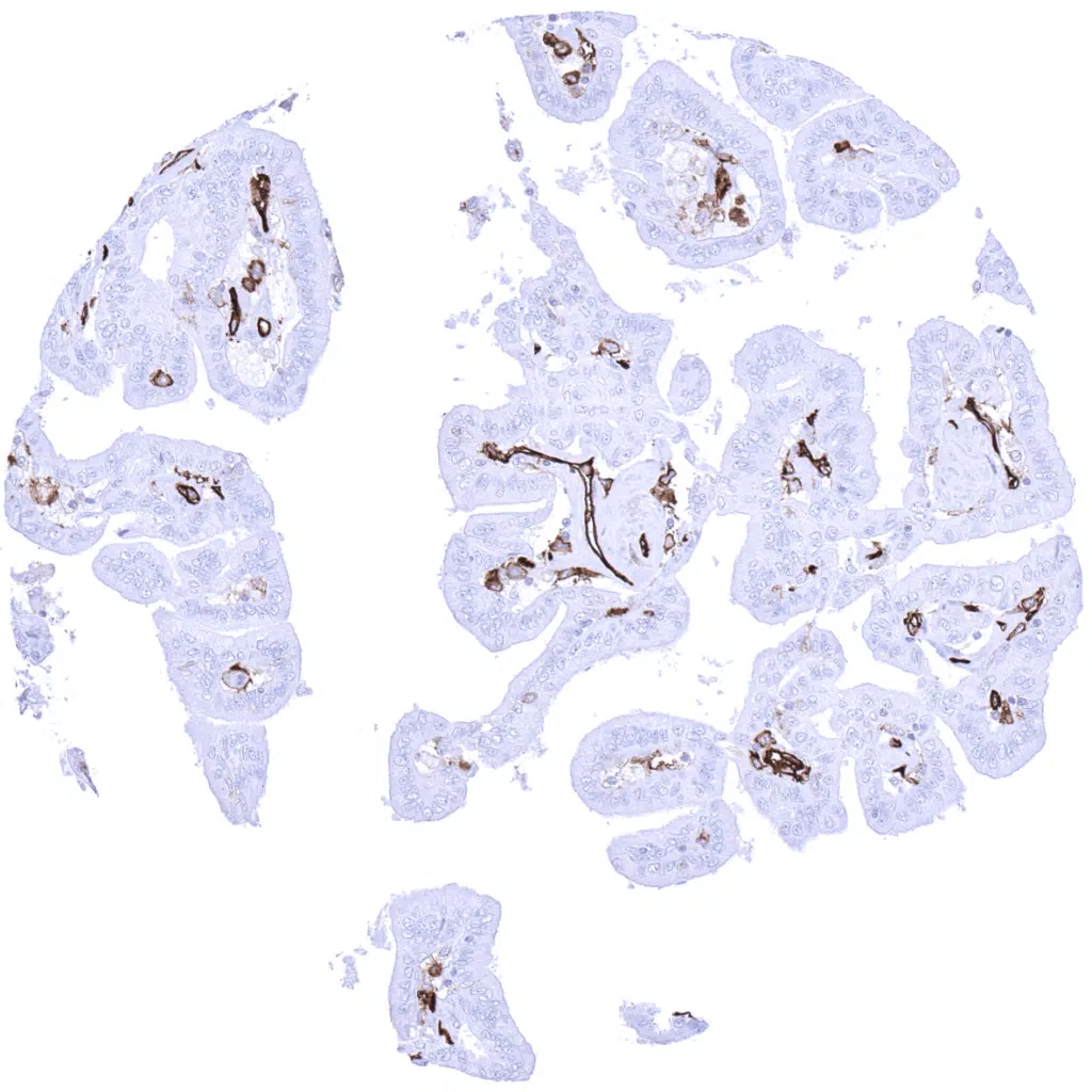
Kidney - Oncocytoma. Strong endothelial CD31 staining of intratumoral blood vessels.

Larynx - Squamous cell carcinoma showing strong CD31 staining of a subset of tumor cells. Intratumoral macrophages and blood vessels also stain CD31 positive.

Lymph node - Chronic lymphatic B-cell leukemia showing strong CD31 immunostaining of tumor cells.

Lymph node - Lymphoblastic B-cell lymphoma showing strong CD31 immunostaining of tumor cells.

       

Lymph node - Moderate CD31 immunostaining of all tumor cells of a diffuse large B-cell lymphoma.

Ovary - Mucinous carcinoma showing focal strong CD31 immunostaining of tumor cells.

Ovary - Serous high-grade carcinoma. Strong CD31 immunostaining of intratumoral macrophages and blood vessels.

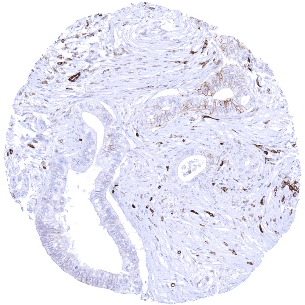
Pancreas - Adenocarcinoma of the papilla Vaterii showing a moderate CD31 immunostaining of a subset of tumor cells. A strong CD31 staining also occurs in blood vessels and inflammatory cells.

       

Pancreas - Neuroendocrine tumor. Strong endothelial CD31 staining of intratumoral blood vessels.

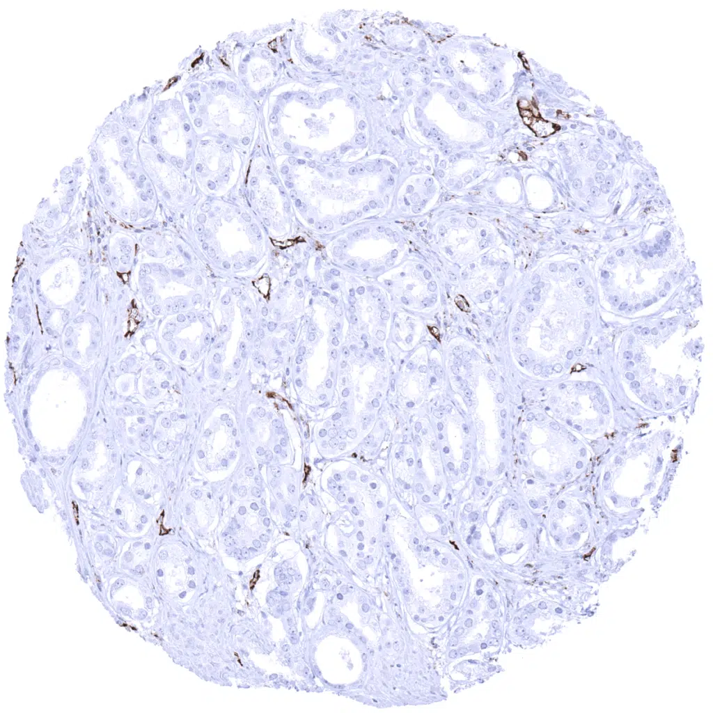
Prostate - Adenocarcinoma (Gleason 3+3=6). CD31 immunostaining of intratumoral blood vessels.

Skin - Kaposi sarcoma showing moderate CD31 immunostaining of tumor cells.

Soft tissue - Angiosarcoma showing strong CD31 immunostaining of tumor cells.

       

Soft tissue - Strong CD31 immunostaining of all tumor cells of an angiosarcoma.

Stomach - Gastric adenocarcinoma (intestinal type). CD31 immunostaining of intratumoral blood vessels, lymphocytes and macrophages.

Stomach - Gastrointestinal stromal tumor (GIST). CD31 immunostaining of intratumoral blood vessels and of few inflammatory cells.

Testis - Seminoma. Strong endothelial CD31 staining of intratumoral blood vessels. Moderate staining of some macrophages and lymphocytes.

       

Thyroid - Papillary carcinoma. Strong CD31 immunostaining of intratumoral blood vessels and macrophages.

Uterus - Cervical squamous cell carcinoma surrounded by CD31 positive inflammatory cells and blood vessels.

   

 

| TOP |