Cancer Tissue Gallery- GTX04967

CD38 antibody [MSVA-038R] HistoMAX™

 

Go to Normal Tissue Gallery
  
 Go back to product page
  

Go to HistoMAX page

 

Adrenal gland – CD38 negative adrenocortical adenoma

Adrenal gland – CD38 negative pheochromocytoma

Breast – CD38 negative invasive breast cancer of no special type (NST)

Breast – CD38 negative invasive lobular breast cancer

       

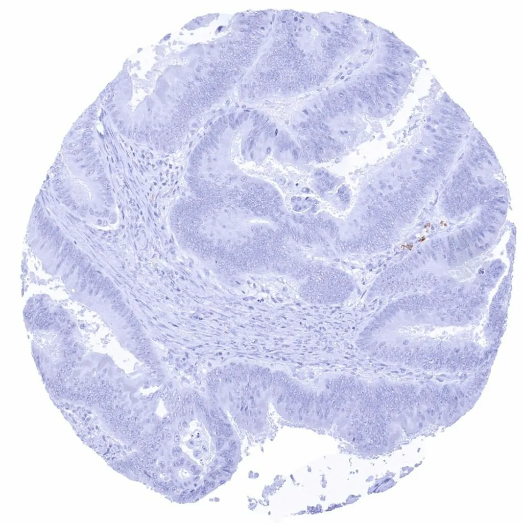
Colon – CD38 negative colorectal adenocarcinoma

Esophagus – CD38 negative adenocarcinoma containing numerous CD38 positive inflammatory cells

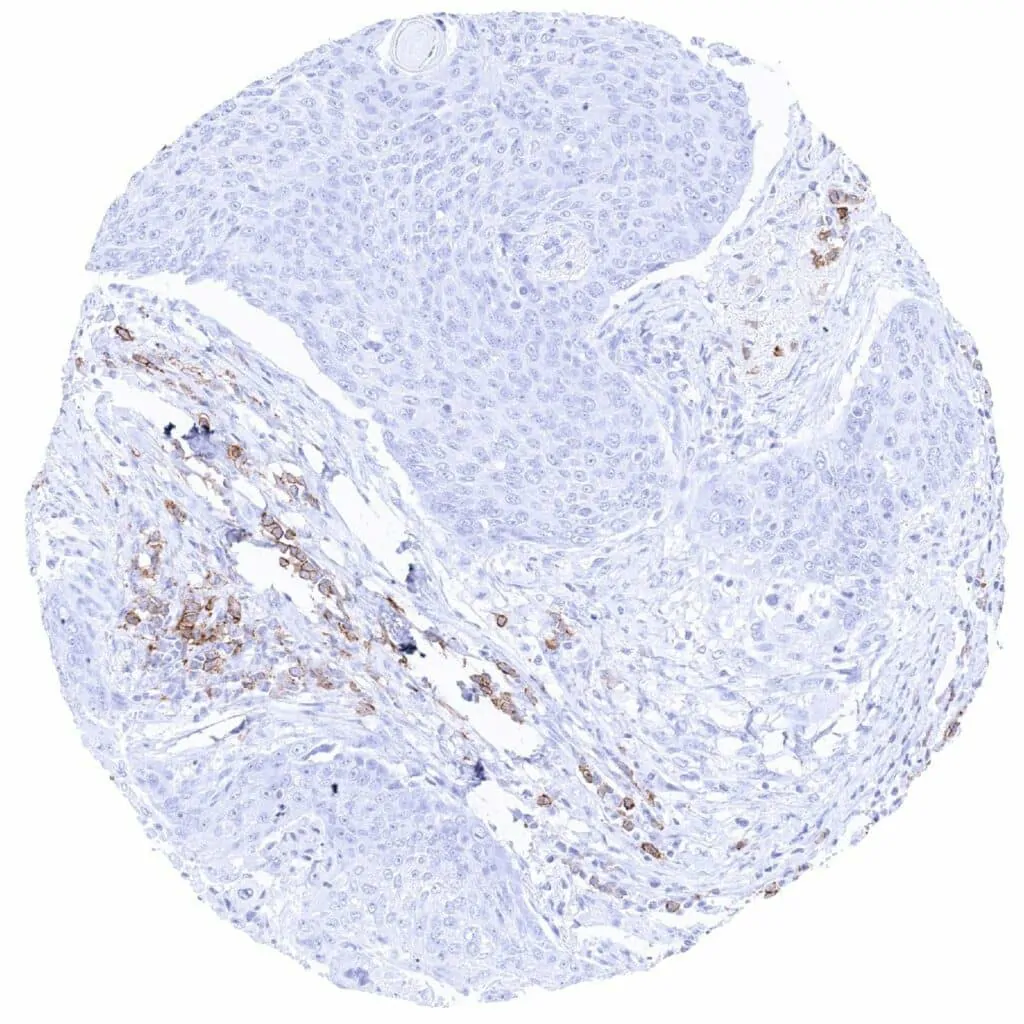
Esophagus – CD38 negative squamous cell carcinoma containing many CD38 positive inflammatory cells

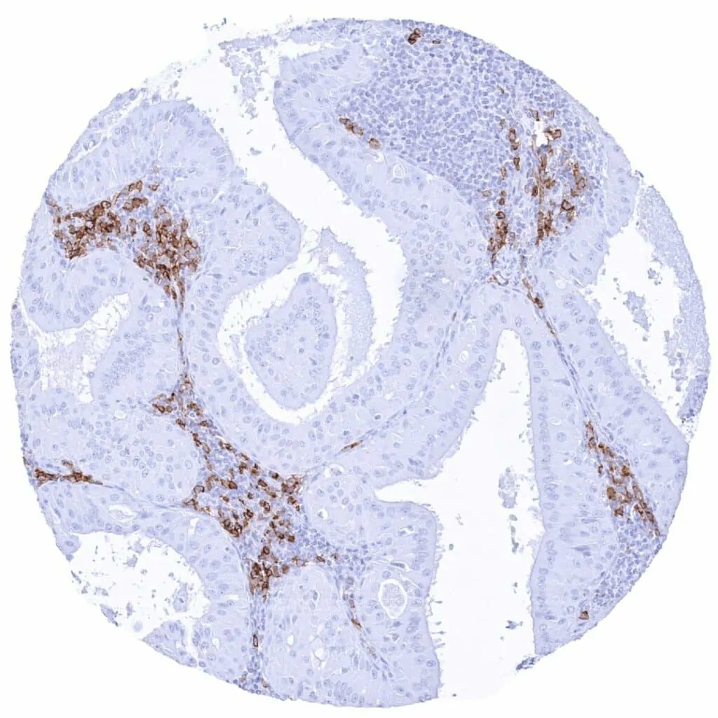
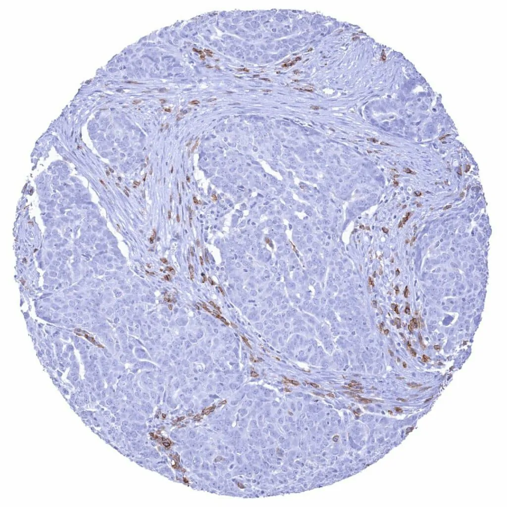
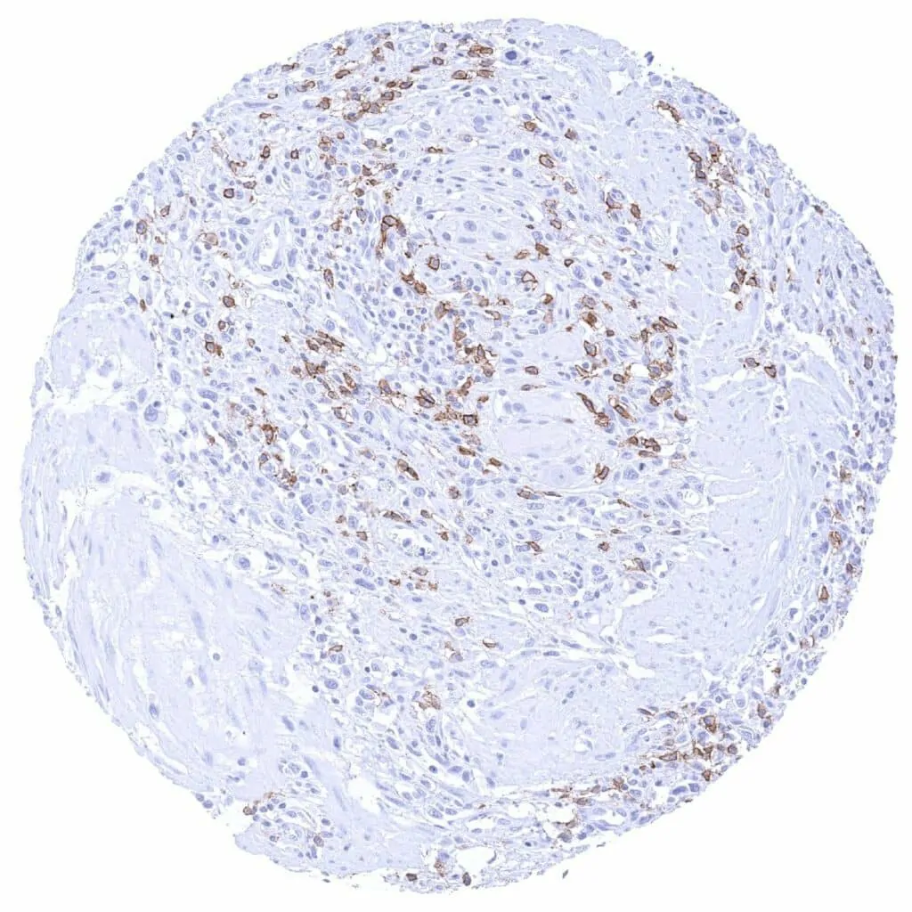
Esophagus – CD38 negative squamous cell carcinoma. Strong CD38 staining of many inflammatory cells

       

Kidney – CD38 negative clear cell carcinoma. A fraction of associated inflammatory cells are CD38 positive.

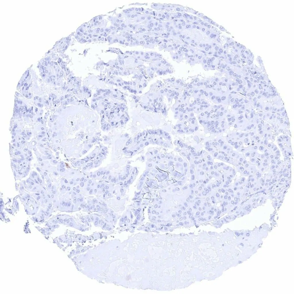
Kidney – CD38 negative papillary renal cell carcinoma

Kidney, pelvis – CD38 negative invasive urothelial carcinoma containing a large number of CD38 positive inflammatory cells

Larynx – CD38 negative squamous cell carcinoma

       

Liver – CD38 negative cholangiocellular carcinoma

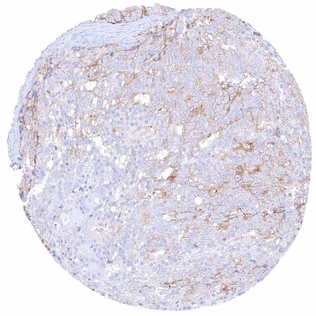
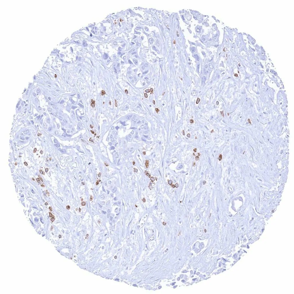
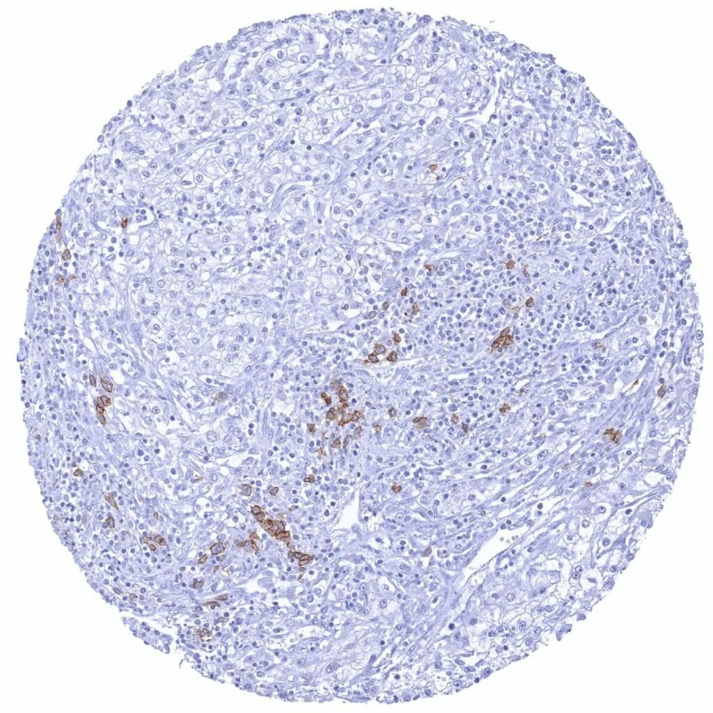
Liver – CD38 negative hepatocellular carcinoma containing few CD38 positive inflammatory cells.

Lymph node – CD38 negative diffuse large B-cell lymphoma containing many CD38 positive non-neoplastic cells

Lymph node – CD38 negative follicular B-cell lymphoma containing multiple CD38 positive non-neoplastic cells

       

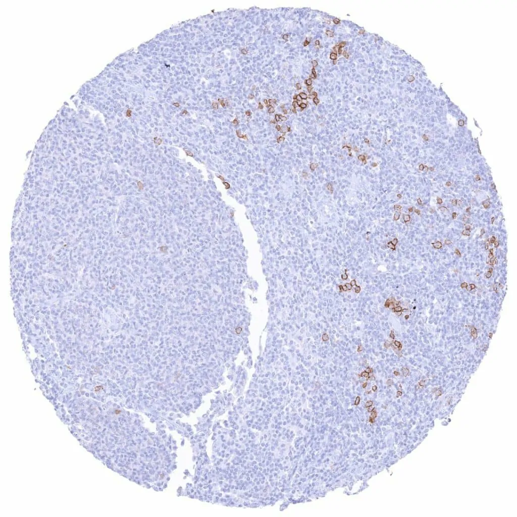
Lymph node – CD38 negative Hodgkin’s lymphoma. A fraction of associated inflammatory cells are CD38 positive

Lymph node – Marginal zone lymphoma with strong CD38 staining of all tumor cells

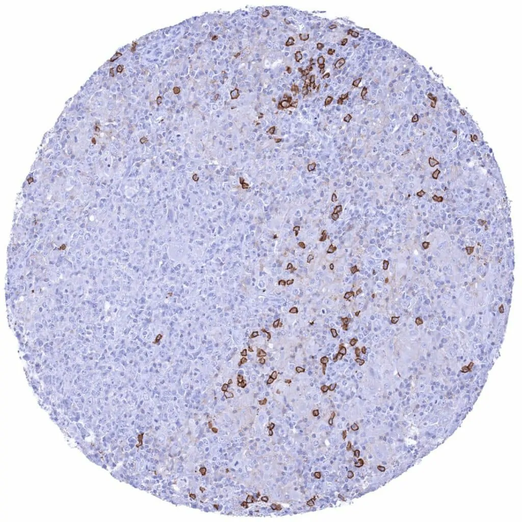
Ovary – CD38 negative serous high-grade carcinoma. Strong CD38 staining of many inflammatory cells

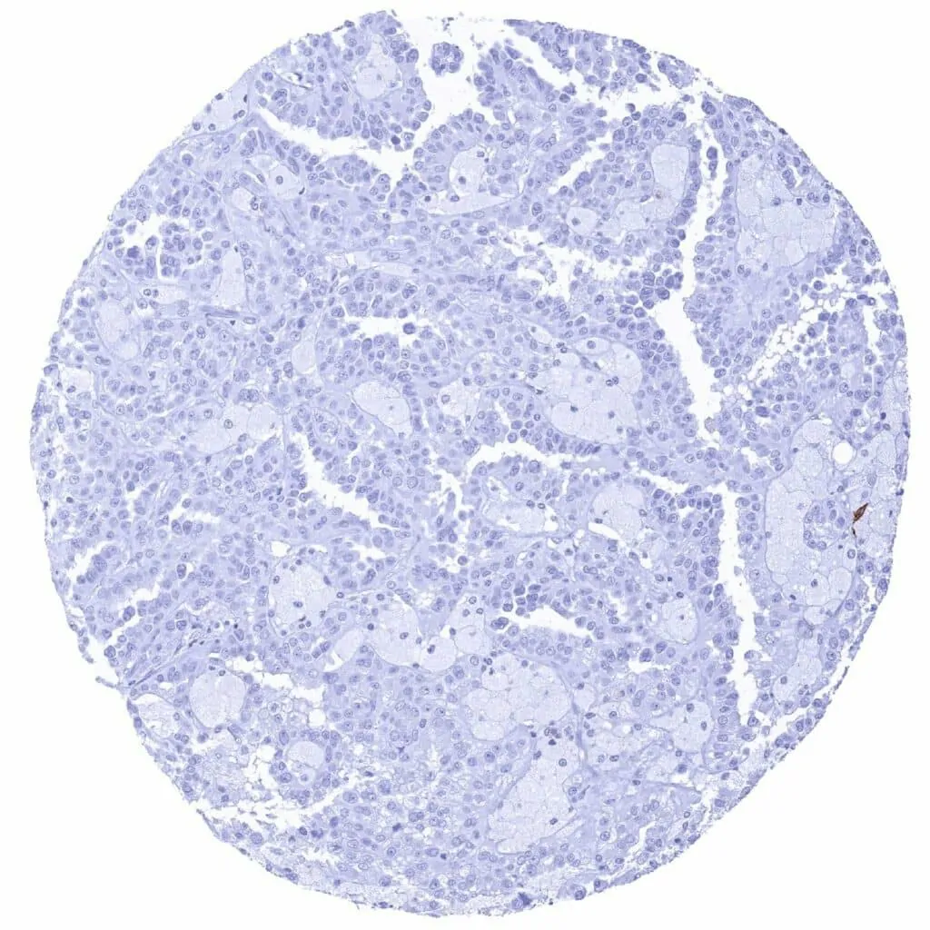
Pancreas – CD38 negative ductal adenocarcinoma

       

Pancreas – CD38 negative neuroendocrine tumor

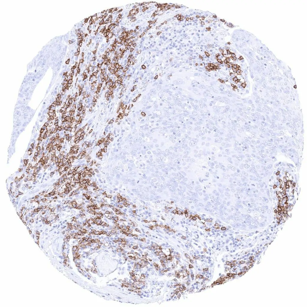
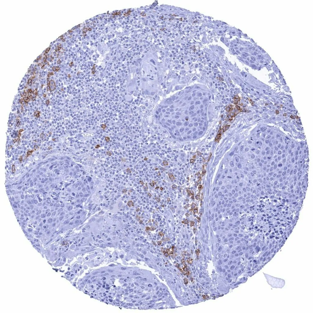
Penis – CD38 negative squamous cell carcinoma. Numerous tumor-adjacent many inflammatory cells show a strong CD38 staining

Prostate – Adenocarcinoma (Gleason 5+5=10) with a weak to moderate membranous CD38 staining of a fraction of tumor cells

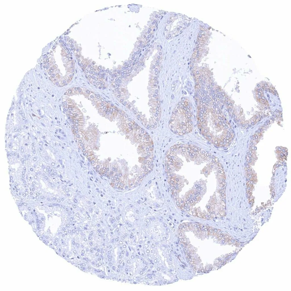
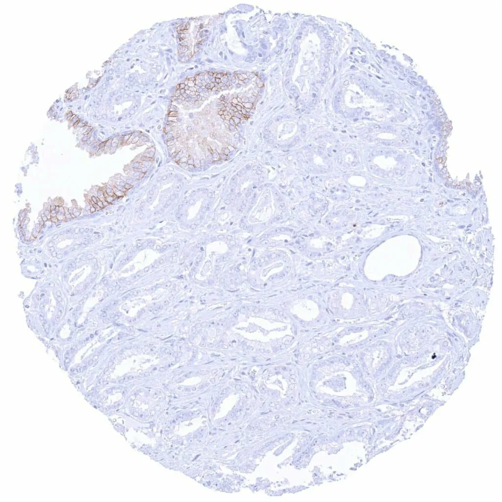
Prostate – CD38 negative adenocarcinoma (Gleason 3+3=6) adjacent to CD38 positive normal epithelium

       

Prostate – CD38 negative adenocarcinoma (Gleason 3+3=6). Tumor-adjacent normal prostate epithelial cells show a weak membranous CD38 positivity

Salivary gland – CD38 negative Warthin tumor including numerous CD38 positive inflammatory cells

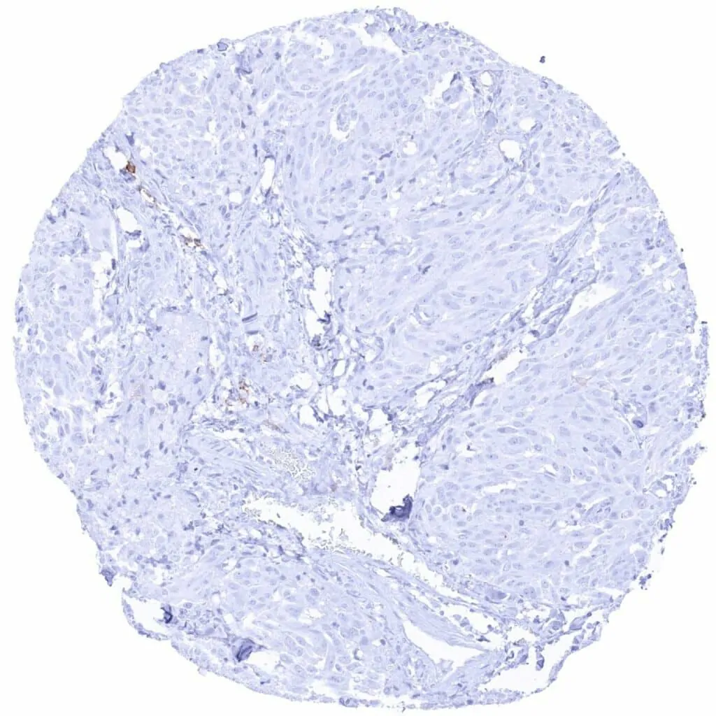
Soft tissue – CD38 negative leiomyosarcoma

Stomach – CD38 negative gastric adenocarcinoma (diffuse type) containing numerous CD38 positive inflammatory cells

       

Stomach – CD38 negative gastric adenocarcinoma containing a large number of CD38 positive inflammatory cells

Stomach – CD38 negative gastrointestinal stromal tumor (GIST)

Testis – CD38 negative Leydig cell tumor

Testis – CD38 negative seminoma. Strong CD38 staining of many inflammatory cells

       

Thyroid – CD38 negative medullary carcinoma

Thyroid – CD38 negative papillary carcinoma

Urinary bladder – CD38 negative muscle-invasive urothelial carcinoma containing multiple CD38 positive inflammatory cells

Uterus, cervix – CD38 negative squamous cell carcinoma containing many CD38 positive inflammatory cells

       

 

| TOP |