Cancer Tissue Gallery- GTX04372

CD45RA antibody [MSVA-472M] HistoMAX

 

Go to Normal Tissue Gallery
  
 Go back to product page
  

Go to HistoMAX page

 

Esophagus - Adenocarcinoma containing CD45RA positive tumor infiltrating lymphocytes.

Larynx - Squamous cell carcinoma containing CD45RA positive reactive lymphocytes.

Lung - Adenocarcinoma containing aggregats of CD45RA positive lymphocytes.

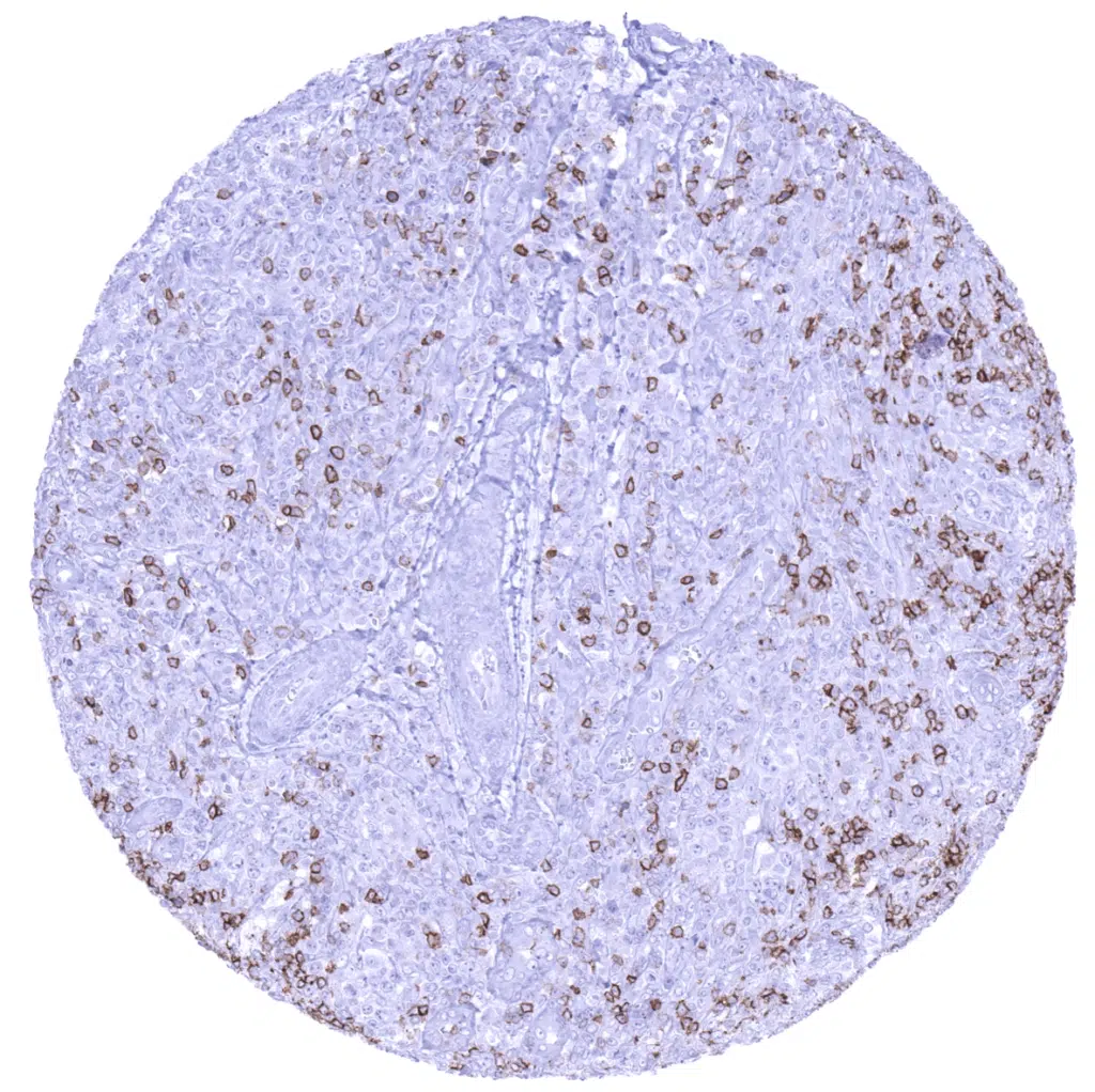
Lung - Large cell carcinoma containing numerous CD45RA positive lymphocytes.

       

Lymph node - CD45RA negative angioimmunoblastic T-cell lymphoma containing few CD45RA positive reactive lymphocytes.

Lymph node - CD45RA negative diffuse large B-cell lymphoma containing few CD45RA positive reactive lymphocytes.

Lymph node - CD45RA positive B-CLL.

Lymph node - CD45RA positive diffuse large B-cell lymphoma.

       

Lymph node - CD45RA positive follicular B-cell lymphoma.

Lymph node - CD45RA positive mantle cell lymphoma.

Lymph node - CD45RA positive marginal zone lymphoma.

Lymph node - Hodgkin's lymphoma containing few CD45RA positive reactive lymphocytes.

       

Oral cavity - Squamous cell carcinoma containing numerous CD45RA positive lymphocytes.

Salivary gland - Warthin tumor containing numerous CD45RA positive lymphocytes.

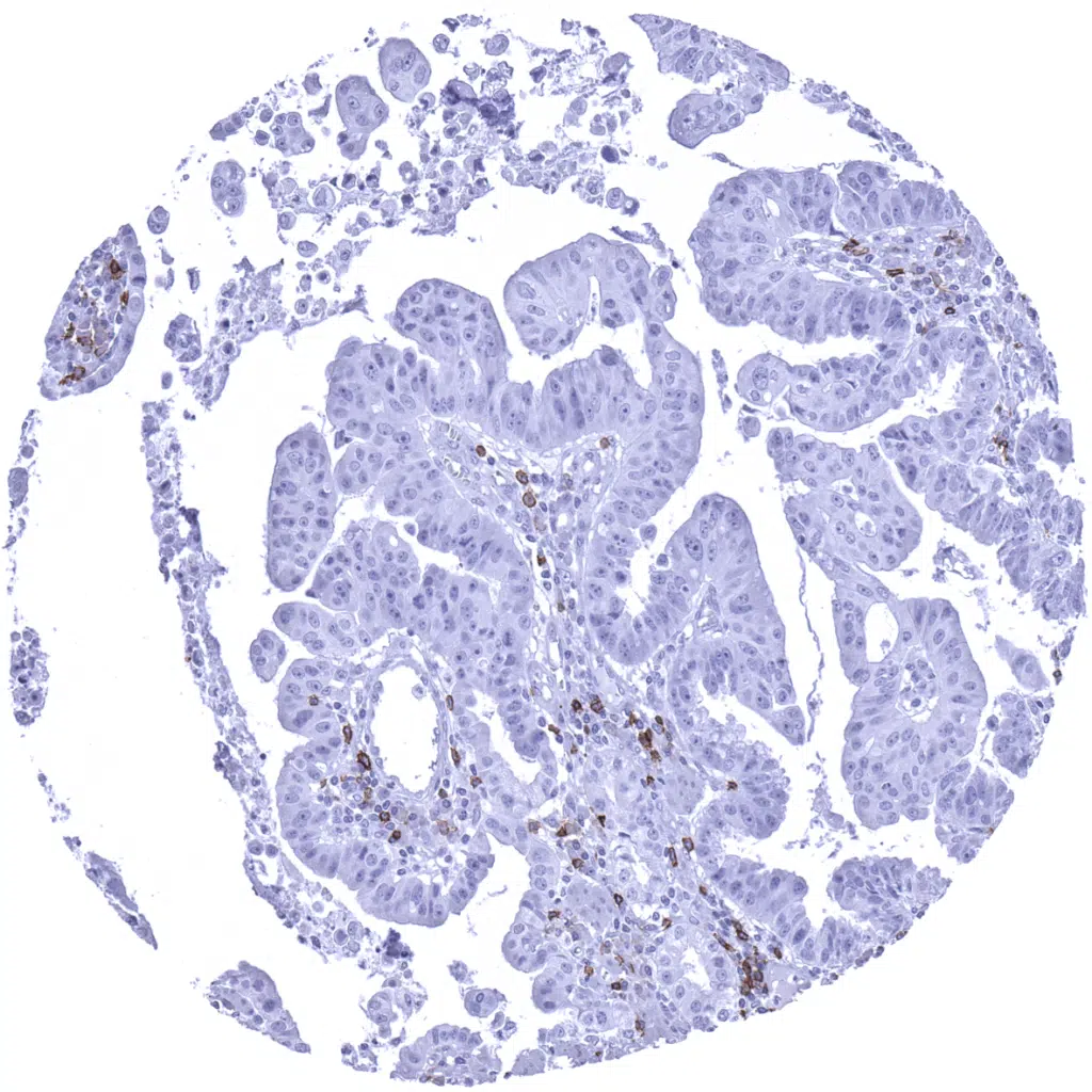
Stomach - Gastric adenocarcinoma (diffuse type) containing CD45RA positive tumor infiltrating lymphocytes.

Stomach - Gastric adenocarcinoma (intestinal type) containing few CD45RA positive lymphocytes.

       

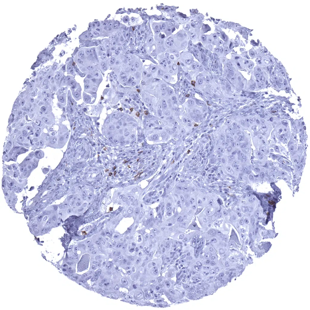
Uterus - Leiomyosarcoma containing few CD45RA positive lymphocytes.

 

 

| TOP |