Cancer Tissue Gallery- GTX04391

CD8 alpha antibody [MSVA-008R] HistoMAX

 

Go to Normal Tissue Gallery
  
 Go back to product page
  

Go to HistoMAX page

 

Esophagus - Adenocarcinoma containing numerous CD8 positive lymphocytes

Kidney - Clear cell renal cell carcinoma containing numerous CD8 positive lymphocytes

Lymph node - Angioimmunoblastic T-cell lymphoma showing strong CD8 positivity of tumor cells

Kidney - Papillary renal cell carcinoma showing a few CD8 positive lymphocytes

       

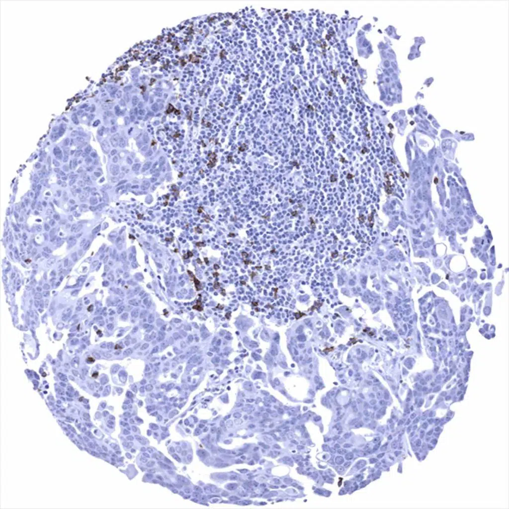
Lymph node - B-CLL containing many interspersed CD8 positive lymphocytes

Lymph node - CD8 negative diffuse large B-cell lymphoma showing a dense infiltrate of non-neoplastic CD8 positive lymphocytes

Lymph node - Follicular B-cell lymphoma containing numerous CD8 positive lymphocytes

Lymph node - Hodgkin’s lymphoma containing numerous CD8 positive lymphocytes. Hodgkin and Reed-Sternberg cells are CD8 negative

       

Lymph node - Numerous scattered CD8 positive lymphocytes are seen

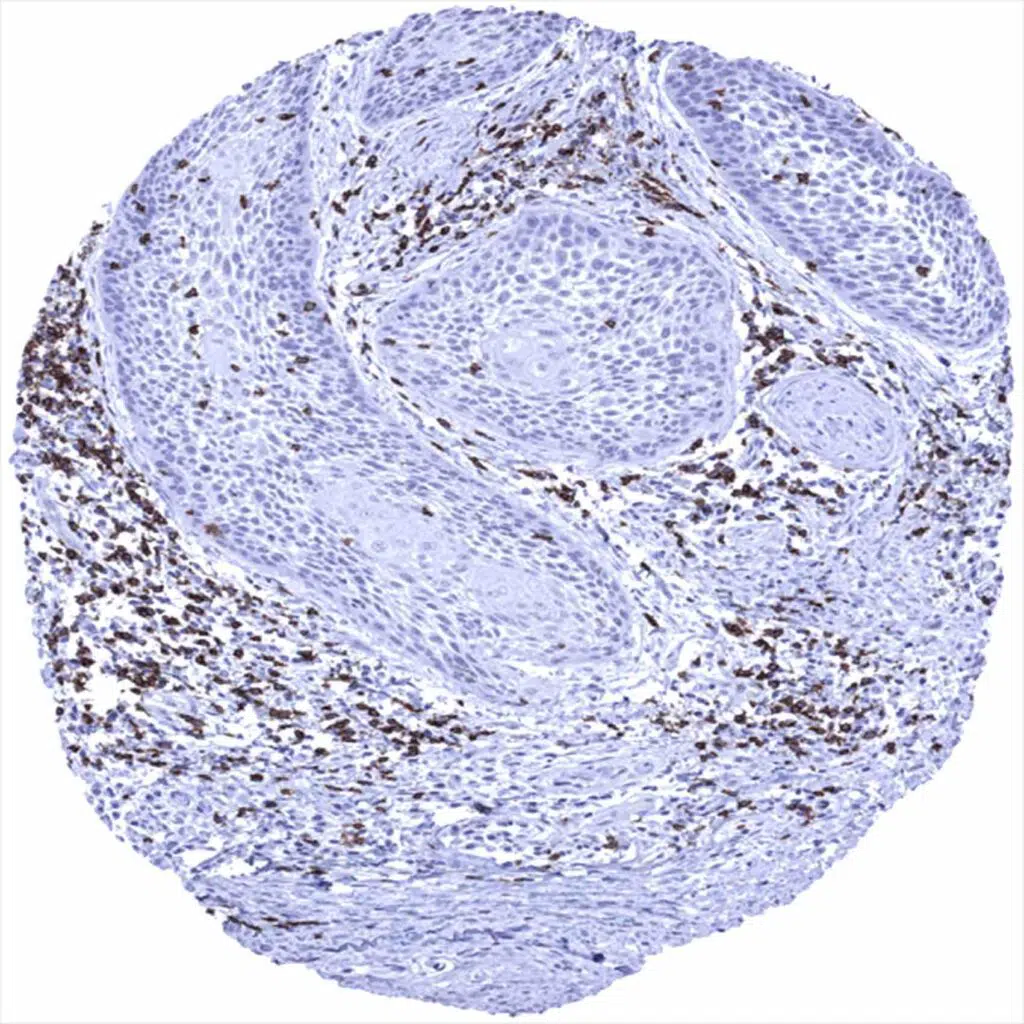
Oral cavity - Squamous cell carcinoma containing few CD8 positive lymphocytes

Ovary - Serous high-grade carcinoma containing a good number of CD8 positive lymphocytes

Prostate - Adenocarcinoma (Gleason 3+3=6) containing few CD8 positive lymphocytes

       

Thyroid - Follicular carcinoma containing a small number of CD8 positive lymphocytes

Urinary bladder - Muscle-invasive urothelial carcinoma containing only a few CD8 positive lymphocytes

Uterus, cervix - Squamous cell carcinoma containing numerous CD8 positive lymphocytes

Vagina - Squamous cell carcinoma containing numerous CD8 positive lymphocytes

       

Vulva - Squamous cell carcinoma containing numerous CD8 positive lymphocytes

 

 

| TOP |