Cancer Tissue Gallery- GTX04451

Caldesmon antibody [MSVA-538R] HistoMAX

 

Go to Normal Tissue Gallery
  
 Go back to product page
  

Go to HistoMAX page

 

Colon- Caldesmon negative colorectal adenocarcinoma.

Esophagus- Caldesmon negative squamous cell carcinoma adjacent to caldesmon positive smooth muscle cells (Caldesmon immunohistochemistry).

Kidney- Angiomyolipoma with strong caldesmon immunostaining of muscular tumor cells (Caldesmon immunohistochemistry).

Kidney- Caldesmon negative clear cell carcinoma containing numerous caldesmon positive small blood vessels (Caldesmon immunohistochemistry).

       

Kidney- Strong caldesmon staining of muscular tumor cells of an angiomyolipoma (Caldesmon immunohistochemistry).

Ovary- Caldesmon negative endometroid carcinoma.

Prostate- Caldesmon negative adenocarcinoma (Gleason 3+3=6) surrounded by prostatic stroma rich in caldesmon positive smooth muscle cells (Caldesmon immunohistochemistry).

Soft tissue- Caldesmon negative liposarcoma.

       

Soft tissue- Caldesmon negative malignant peripheral nerve sheath tumor (MPNST) containing one small caldesmon positive blood vessel (Caldesmon immunohistochemistry).

Soft tissue- Caldesmon negative neurofibroma containing three small caldesmon positive blood vessels (Caldesmon immunohistochemistry).

Soft tissue- Caldesmon negative sarcoma NOS.

Soft tissue- Caldesmon negative Schwannoma.

       

Soft tissue- Myopericytoma with strong Caldesmon immunostaining of tumor cells (Caldesmon immunohistochemistry).

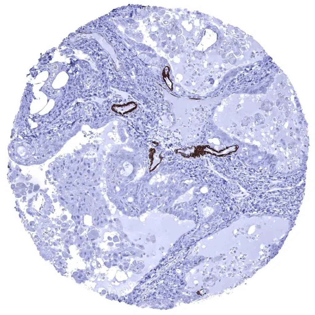
Thyroid- Caldesmon negative papillary carcinoma including several caldesmon positive small blood vessels (Caldesmon immunohistochemistry).

Urinary bladder- Caldesmon negative muscle-invasive urothelial carcinoma adjacent to contains caldesmon positive smooth muscle and a large blood vessel (Caldesmon immunohistochemistry).

Uterus- Caldesmon negative endometroid endometrium carcinoma adjacent to caldesmon positive smooth muscle cells (Caldesmon immunohistochemistry).

       

Uterus- Leiomyosarcoma showing intense Caldesmon immunostaining of tumor cells (Caldesmon immunohistochemistry).

Uterus- Leiomyosarcoma with strong Caldesmon immunostaining of tumor cells (Caldesmon immunohistochemistry).

Uterus, cervix- Caldesmon negative adenocarcinoma next to caldesmon positive smooth muscle cells and small blood vessels (Caldesmon immunohistochemistry).

Uterus, cervix- Caldesmon negative squamous cell carcinoma adjacent to caldesmon positive smooth muscle and small blood vessels (Caldesmon immunohistochemistry).

       

 

| TOP |