 |
| Oral cavity – Squamous cell carcinoma with collagen IV staining of cancer associated vessels, and of basement membranes around invasive sheets of tumor cells |
|
 |
| Ovary – Clear cell carcinoma with distinct collagen IV staining of basement membranes around tumor glands and of vessels |
|
 |
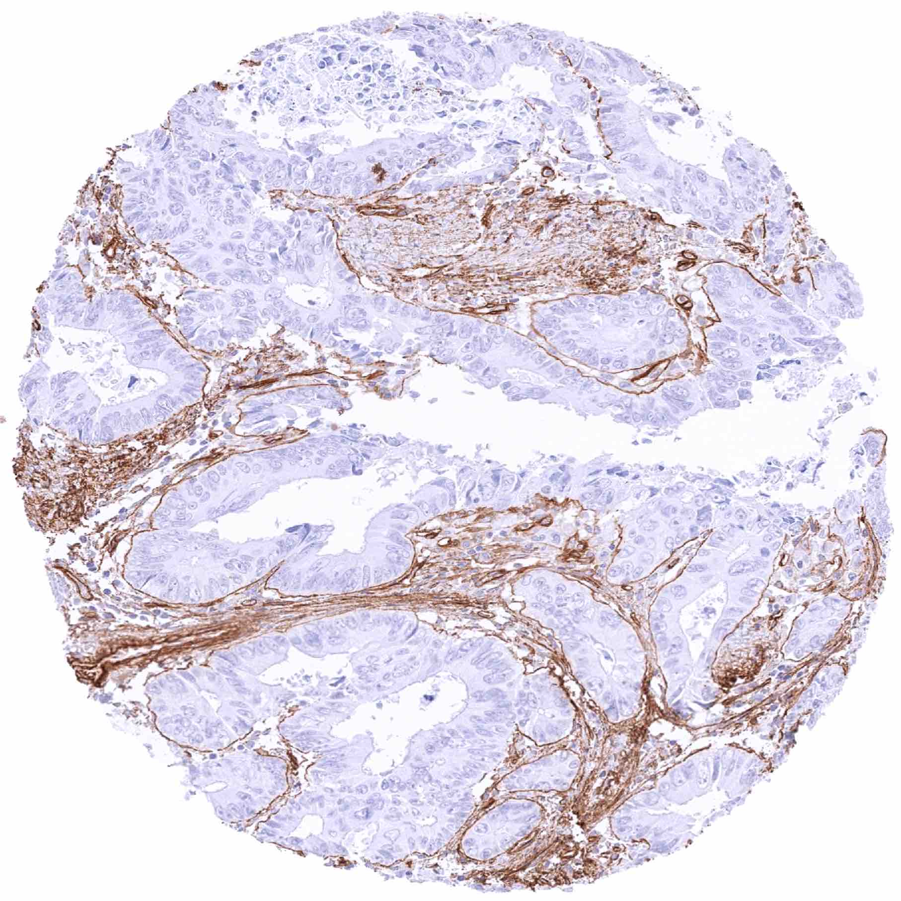
| Ovary – Endometroid carcinoma with distinct collagen IV staining of basement membranes of tumor glands, vessels, and in the stroma |
|
 |
| Prostate – Adenocarcinoma (Gleason 3+3=6) with distinct collagen IV staining of basement membranes around tumor glands, vessels, and around prostatic smooth muscle cells |
|