Cancer Tissue Gallery- GTX04453

Cystatin A antibody [MSVA-461M] HistoMAX

 

Go to Normal Tissue Gallery
  
 Go back to product page
  

Go to HistoMAX page

 

Adrenal gland- Cystatin A negative adrenocortical adenoma.

Anal canal- Squamous cell carcinoma with strong Cystatin A immunostaining of tumor cells. Cystatin A is also abundant in various cell types of the tumor stroma.

Colon- Cystatin A negative colorectal adenocarcinoma containing few Cystatin A positive inflammatory cells.

Esophagus- Squamous cell carcinoma with strong Cystatin A immunostaining of tumor cells.

       

Kidney- Cystatin A negative clear cell renal cell carcinoma.

Liver- Cystatin A negative hepatocellular carcinoma.

Lung- Cystatin A negative adenocarcinoma. A weak Cystatin A staining is seen in a fraction of associated inflammatory cells.

Lung- Cystatin A negative malignant mesothelioma (epitheloid).

       

Lung- Squamous cell carcinoma with strong Cystatin A immunostaining of tumor cells. Cystatin A is also abundant in various cell types of the tumor stroma.

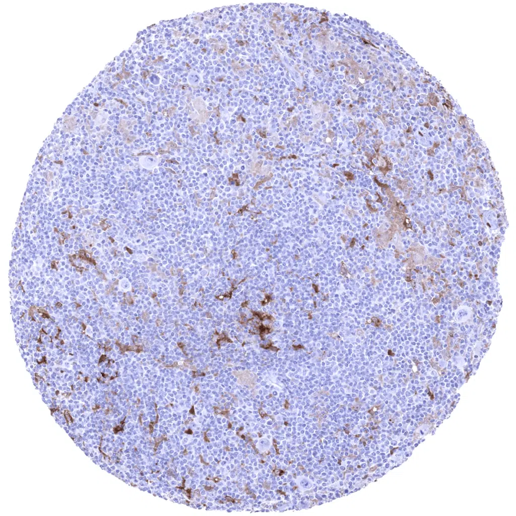
Lymph node- Cystatin A negative diffuse large B-cell lymphoma containing numerous Cystatin A positive reactive inflammatory cells.

Lymph node- Cystatin A negative follicular B-cell lymphoma showing abundant Cystatin A expression in dendritic cells.

Lymph node- Cystatin A negative Hodgkin’s lymphoma containing numerous Cystatin A positive reactive inflammatory cells.

       

Lymph node- Cystatin A negative mantle cell lymphoma containing numerous Cystatin A positive reactive inflammatory cells.

Oral cavity- Squamous cell carcinoma with strong Cystatin A immunostaining of tumor cells. Cystatin A is also abundant in various cell types of the tumor stroma.

Ovary- Cystatin A negative endometroid carcinoma.

Ovary- Cystatin A negative serous high-grade carcinoma.

       

Ovary- Serous high-grade carcinoma with moderate Cystatin A immunostaining of tumor cells.

Pancreas- Cystatin A negative neuroendocrine tumor.

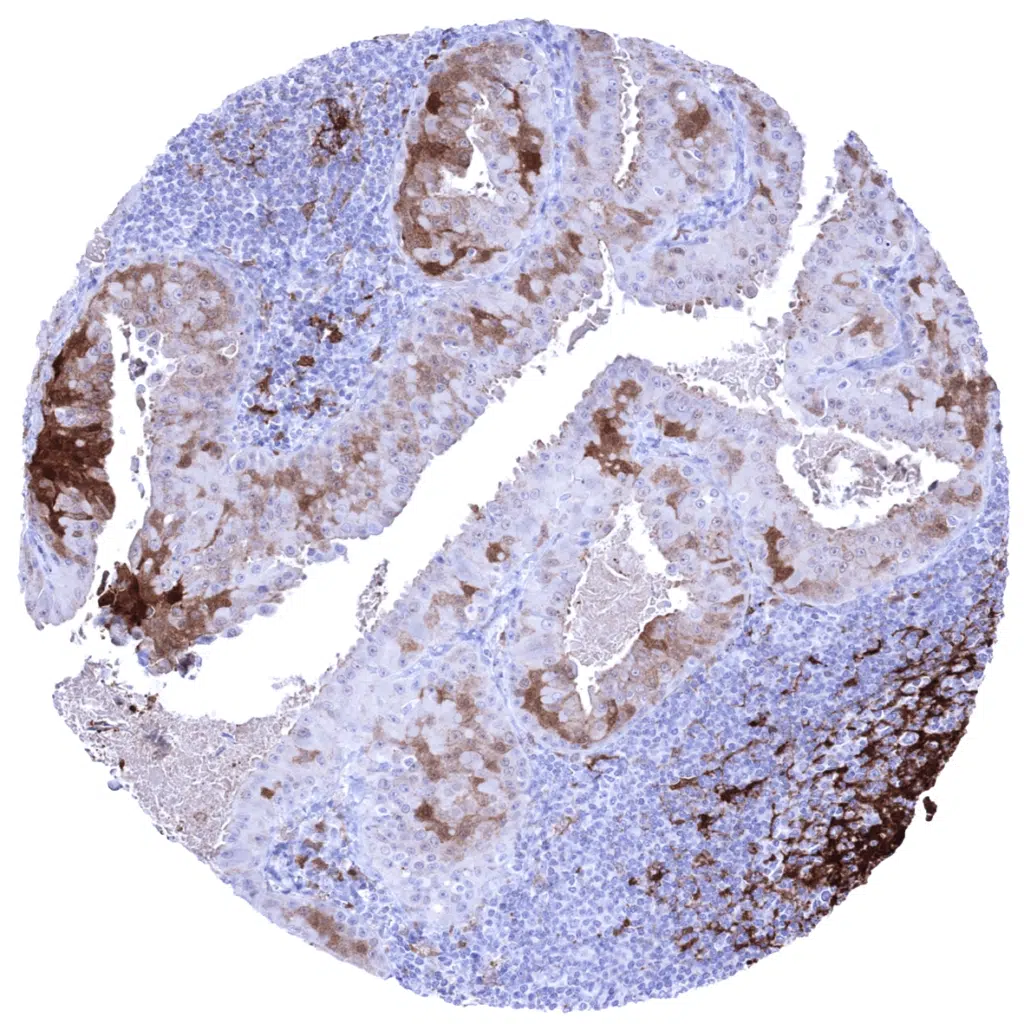
Pancreas- Ductal adenocarcinoma with moderate Cystatin A immunostaining of tumor cells. Cystatin A positive granulocytes are also present.

Penis- Squamous cell carcinoma with strong Cystatin A immunostaining of tumor cells.

       

Pharynx- Squamous cell carcinoma with strong Cystatin A immunostaining of tumor cells. Cystatin A is also abundant in the tumor stroma.

Prostate- Cystatin A negative adenocarcinoma (Gleason 3+3=6).

Salivary gland- Warthin tumor with variable intensity Cystatin A immunostaining of tumor cells. Cystatin A is also strongly expressed in tumor associated dendritic cells.

Skin- Cystatin A negative basal cell carcinoma.

       

Soft tissue- Cystatin A negative liposarcoma including numerous Cystatin A positive macrophages and granulocytes.

Stomach- Cystatin A negative gastric adenocarcinoma containing numerous Cystatin A positive granulocytes.

Stomach- Cystatin A negative gastrointestinal stromal tumor (GIST).

Testis- Cystatin A negative seminoma showing abundant Cystatin A expression in tumor associated macrophages.

       

Thyroid- Cystatin A negative papillary carcinoma.

Urinary bladder- Cystatin A negative small cell carcinoma.

Vagina- Squamous cell carcinoma with Cystatin A immunostaining of variable intensity in tumor cells.

Vulva- Squamous cell carcinoma with strong Cystatin A immunostaining of tumor cells. Cystatin A is also abundant in various cell types of the tumor stroma.

       

 

| TOP |