Cancer Tissue Gallery- GTX04377

Cytokeratin 14 antibody [MSVA-614R] HistoMAX

 

Go to Normal Tissue Gallery
  
 Go back to product page
  

Go to HistoMAX page

 

Breast - Cytokeratin 14 negative lobular carcinoma.

Colon - Cytokeratin 14 negative colorectal adenocarcinoma.

Esophagus - Squamous cell carcinoma with stronger Cytokeratin 14 staining in basal than in maturing cell layers.

Esophagus - Strong Cytokeratin 14 immunostaining in all cells of a squamous cell carcinoma.

       

Kidney - Cytokeratin 14 negative clear cell renal cell carcinoma.

Kidney - Cytokeratin 14 negative oncocytoma.

Kidney - Cytokeratin 14 negative papillary renal cell carcinoma.

Oral cavity - Squamous cell carcinoma with strong Cytokeratin 14 positivity in all tumor cells.

       

Oral cavity - Strong Cytokeratin 14 immunostaining in all cells of a squamous cell carcinoma.

Ovary - Cytokeratin 14 negative high-grade serous carcinoma.

Pharynx - Cytokeratin 14 positive squamous cell carcinoma.

Pharynx - Squamous cell carcinoma with a moderate to strong Cytokeratin 14 immunostaining limited to basal cell layers.

       

Pharynx - Squamous cell carcinoma with strong Cytokeratin 14 immunostaining in all tumor cells.

Pharynx - Squamous cell carcinoma with stronger Cytokeratin 14 staining in basal than in maturing cell layers.

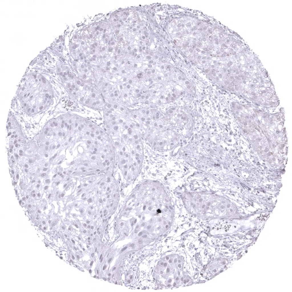
Prostate - Cytokeratin 14 negative adenocarcinoma (Gleason 3+3=6). Few remnant Cytokeratin 14 positive basal cells are visible.

Thyroid - Cytokeratin 14 negative follicular carcinoma.

       

Urinary bladder - Cytokeratin 14 negative urothelial carcinoma.

 

 

| TOP |