Cancer Tissue Gallery- GTX04402

Cytokeratin 5 antibody [MSVA-605M] HistoMAX

 

Go to Normal Tissue Gallery
  
 Go back to product page
  

Go to HistoMAX page

 

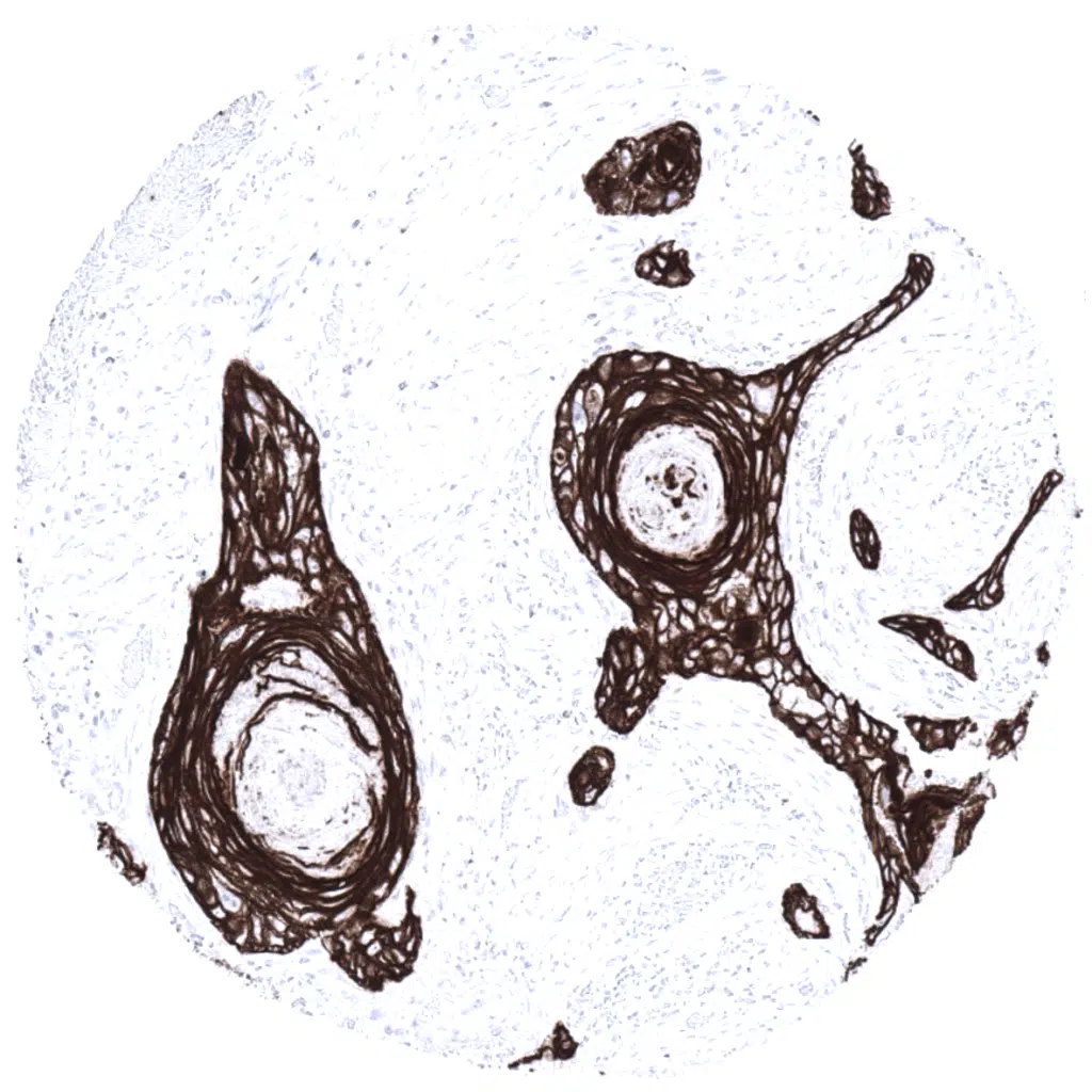
Adenocarcinoma of the pancreas with strong Cytokeratin 5 expression in all cells.

Breast cancer of no special type with strong Cytokeratin 5 expression in 100% of tumor cells.

Cervical squamous cell carcinoma with strong Cytokeratin 5 immunostaining.

Cholangiocellular carcinoma of the liver with moderate to strong Cytokeratin 5 expression.

       

Malignant mesothelioma exhibiting a strong Cytokeratin 5 expression in all epitheloid cells.

Malignant mesothelioma showing Cytokeratin 5 immunostaining of variable intensity in most epitheloid cells.

Poorly differentiated cervical squamous cell carcinoma with strong Cytokeratin 5 immunostaining.

Poorly differentiated squamous cell carcinoma of the esophagus with strong Cytokeratin 5 immunostaining.

       

Squamous cell carcinoma of the esophagus showing strong Cytokeratin 5 immunostaining.

Squamous cell carcinoma of the lung showing strong Cytokeratin 5 immunostaining.

Squamous cell carcinoma of the lung with strong Cytokeratin 5 immunostaining.

Squamous cell carcinoma of the uterine cervix showing strong Cytokeratin 5 immunostaining.

       

Strong Cytokeratin 5 expression in all cells of a breast cancer of no special type (NST).

Strong Cytokeratin 5 expression in all cells of a lobular breast cancer.

Strong Cytokeratin 5 expression in all cells of a squamous cell carcinoma of the esophagus.

Strong Cytokeratin 5 expression in all cells of a thymoma.

       

Strong Cytokeratin 5 expression in all cells of a urothelial carcinoma of the urinary bladder.

Strong Cytokeratin 5 expression in all epitheloid cells of a malignant mesothelioma.

Strong Cytokeratin 5 immunostaining in a squamous cell carcinoma of the esophagus.

Strong Cytokeratin 5 immunostaining in a squamous cell carcinoma of the lung.

       

Urothelial carcinoma of the urinary bladder with moderate intensity Cytokeratin 5 immunostaining.

 

 

| TOP |