Cancer Tissue Gallery- GTX04403

Cytokeratin 6 antibody [MSVA-606R] HistoMAX

 

Go to Normal Tissue Gallery
  
 Go back to product page
  

Go to HistoMAX page

 

Adenocarcinoma of the pancreas with moderate Cytokeratin 6 immunostaining.

Basal cell carcinoma of the skin with only few scattered cytokeratin 6 positive cells.

Breast cancer of no special type (NST) showing strong diffuse Cytokeratin 6 positivity.

Breast cancer of no special type (NST) showing strong Cytokeratin 6 expression in a small fraction of tumor cells.

       

Cholangiocellular carcinoma of the liver with strong Cytokeratin 6 immunostaining in 90% of cells.

Colorectal adenocarcinoma with Cytokeratin 6 immunostaining in about 20% of tumor cells.

Colorectal adenocarcinoma with strong Cytokeratin 6 positivity in about 50% of tumor cells.

Cytokeratin 6 staining is only focally seen in a basal cell carcinoma while the overlying skin stains positive.

       

Focal Cytokeratin 6 immunostaining in an adenocarcinoma of the pancreas.

Gastric adenocarcinoma with strong Cytokeratin 6 expression.

Cytokeratin 6 negative breast cancer.

Cytokeratin 6 positivity in a breast cancer of no special type (NST).

       

Laryngeal squamous cell carcinoma with intense Cytokeratin 6 immunostaining.

Squamous cell carcinoma of larynx with strong cytokeratin 6 immunostaining.

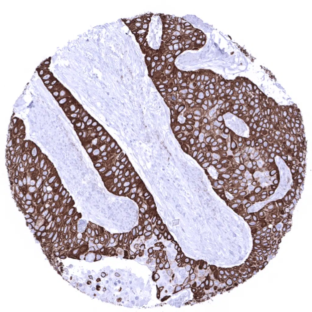
Squamous cell carcinoma of the oral cavity with strong cytokeratin 6 immunostaining.

Squamous cell carcinoma of the uterine cervix with strong Cytokeratin 6 positivity.

       

Strong Cytokeratin 6 immunostaining in a squamous cell carcinoma of the penis.

Strong Cytokeratin 6 immunostaining in a squamous cell carcinoma of the vulva.

Strong Cytokeratin 6 immunostaining in a colorectal adenocarcinoma.

Strong Cytokeratin 6 immunostaining in an adenocarcinoma of the stomach (diffuse type).

       

 

| TOP |