Cancer Tissue Gallery- GTX04464

Desmoglein 1 antibody [MSVA-544M] HistoMAX

 

Go to Normal Tissue Gallery
  
 Go back to product page
  

Go to HistoMAX page

 

Esophagus- Dsg1 negative adenocarcinoma

Adrenal gland- Dsg1 negative adrenocortical adenoma

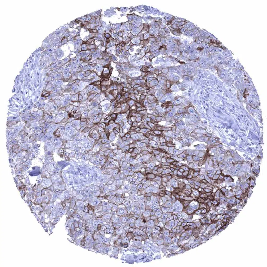
Breast- Invasive breast cancer of no special type (NST) with strong Dsg1 immunostaining of most tumor cells

Colon- Dsg1 negative colorectal adenocarcinoma

       

Esophagus- Squamous cell carcinoma with focal Dsg1 staining of tumor cells

Kidney- Dsg1 negative chromophobe renal cell carcinoma

Kidney- Dsg1 negative clear cell renal cell carcinoma

Kidney, pelvis- Invasive urothelial carcinoma with weak membranous Dsg1 immunostaining of tumor cells

       

Larynx- Squamous cell carcinoma with intense Dsg1 immunostaining of tumor cells

Larynx- Squamous cell carcinoma with intense Dsg1 immunostaining of tumor cells. Staining is weaker at the periphery of tumor cell nests

Liver- Dsg1 negative cholangiocellular carcinoma

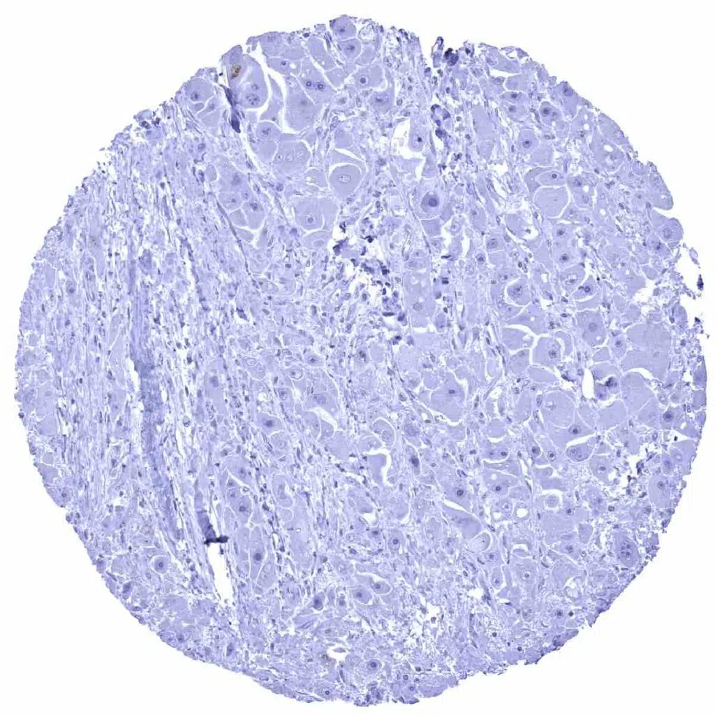
Liver- Dsg1 negative hepatocellular carcinoma

       

Lung- Dsg1 negative adenocarcinoma

Lung- Dsg1 negative small cell carcinoma

Lung- Squamous cell carcinoma with Dsg1 staining of a fraction of tumor cells

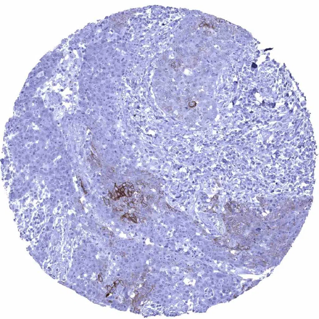
Lymph node- Dsg1 negative Hodgkin's lymphoma

       

Lymph node- Dsg1 negative Hodgkin's lymphoma

Oral cavity- Squamous cell carcinoma showing strong Dsg1 immunostaining of all tumor cells

Ovary- Dsg1 negative clear cell carcinoma

Ovary- Dsg1 negative endometroid carcinoma

       

Pancreas- Dsg1 negative ductal adenocarcinoma

Pancreas- Dsg1 negative neuroendocrine tumor

Penis- Squamous cell carcinoma with variable Dsg1 staining of tumor cells. Staining is weaker or absent at the periphery of tumor cell nests

Prostate- Dsg1 negative adenocarcinoma (Gleason 3+3=6)

       

Salivary gland- Dsg1 negative Warthin tumor

Skin- Dsg1 negative basal cell carcinoma

Skin- Dsg1 negative basal cell carcinoma. Dsg 1 staining of retained ekkrine glands

Skin- Dsg1 negative malignant melanoma

       

Skin- Dsg1 negative Merkel cell carcinoma

Skin- Squamous cell carcinoma with strong membranous Dsg1 immunostaining of tumor cells

Soft tissue- Dsg1 negative leiomyosarcoma

Stomach- Dsg1 negative gastric adenocarcinoma

       

Stomach- Dsg1 negative gastrointestinal stromal tumor (GIST)

Testis- Dsg1 negative seminoma

Thyroid- Dsg1 negative papillary carcinoma

Urinary bladder- Muscle-invasive urothelial carcinoma with Dsg1 staining of tumor cells

       

Urinary bladder- Squamous cell carcinoma with strong Dsg1 immunostaining of most tumor cells

Uterus, cervix- Squamous cell carcinoma with moderate to strong Dsg1 staining of most tumor cells

Vulva- Squamous cell carcinoma with strong Dsg1 immunostaining of most tumor cells. Decrease of the staining intensity at the periphery of tumor cell nests

     

 

| TOP |