Cancer Tissue Gallery- GTX04468

Desmoglein 3 antibody [MSVA-543M] HistoMAX

 

Go to Normal Tissue Gallery
  
 Go back to product page
  

Go to HistoMAX page

 

Adrenal gland- Dsg3 negative adrenocortical adenoma.

Anal canal- Squamous cell carcinoma with strong Dsg3 immunostaining of tumor cells.

Breast- Dsg3 negative invasive breast cancer of no special type (NST).

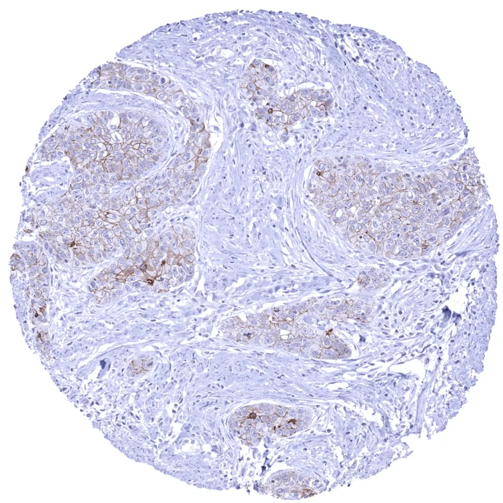
Breast- Invasive breast cancer of no special type (NST) exhibiting a strong membranous Dsg3 immunostaining of tumor cells.

       

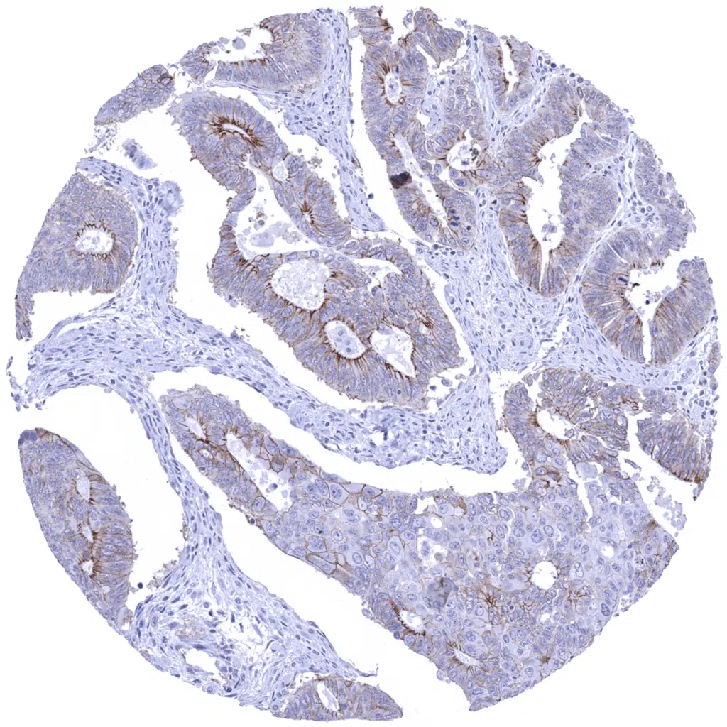
Colon- Colorectal adenocarcinoma with weak to moderate membranous Dsg3 immunostaining of tumor cells.

Colon- Dsg3 negative colorectal adenocarcinoma.

Esophagus- Squamous cell carcinoma with strong Dsg3 positivity of tumor cells.

Kidney- Dsg3 negative clear cell renal cell carcinoma.

       

Liver- Dsg3 negative hepatocellular carcinoma.

Lung- Dsg3 negative adenocarcinoma.

Lung- Squamous cell carcinoma with strong membranous Dsg3 immunostaining of all tumor cells.

Lymph node- Dsg3 negative Hodgkin's lymphoma.

       

Oral cavity- Squamous cell carcinoma with strong predominantly membranous Dsg3 immunostaining of tumor cells.

Ovary- Dsg3 negative clear cell carcinoma.

Ovary- Dsg3 negative endometroid carcinoma.

Ovary- Dsg3 negative serous high-grade carcinoma.

       

Pancreas- Dsg3 negative ductal adenocarcinoma.

Penis- Squamous cell carcinoma with intense membranous Dsg3 immunostaining of tumor cells.

Prostate- Dsg3 negative adenocarcinoma (Gleason 3+3=6).

Salivary gland- Warthin tumor with strong Dsg3 immunostaining of tumor cells.

       

Skin- Basal cell carcinoma showing a weak Dsg3 immunostaining of tumor cells.

Skin- Dsg3 negative basal cell carcinoma.

Skin- Dsg3 negative malignant melanoma.

Skin- Dsg3 negative Merkel cell carcinoma.

       

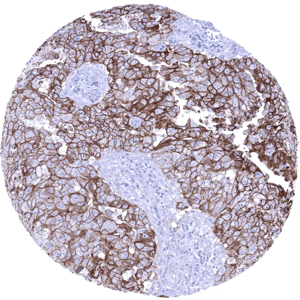
Skin- Squamous cell carcinoma with strong Dsg3 immunostaining of tumor cells.

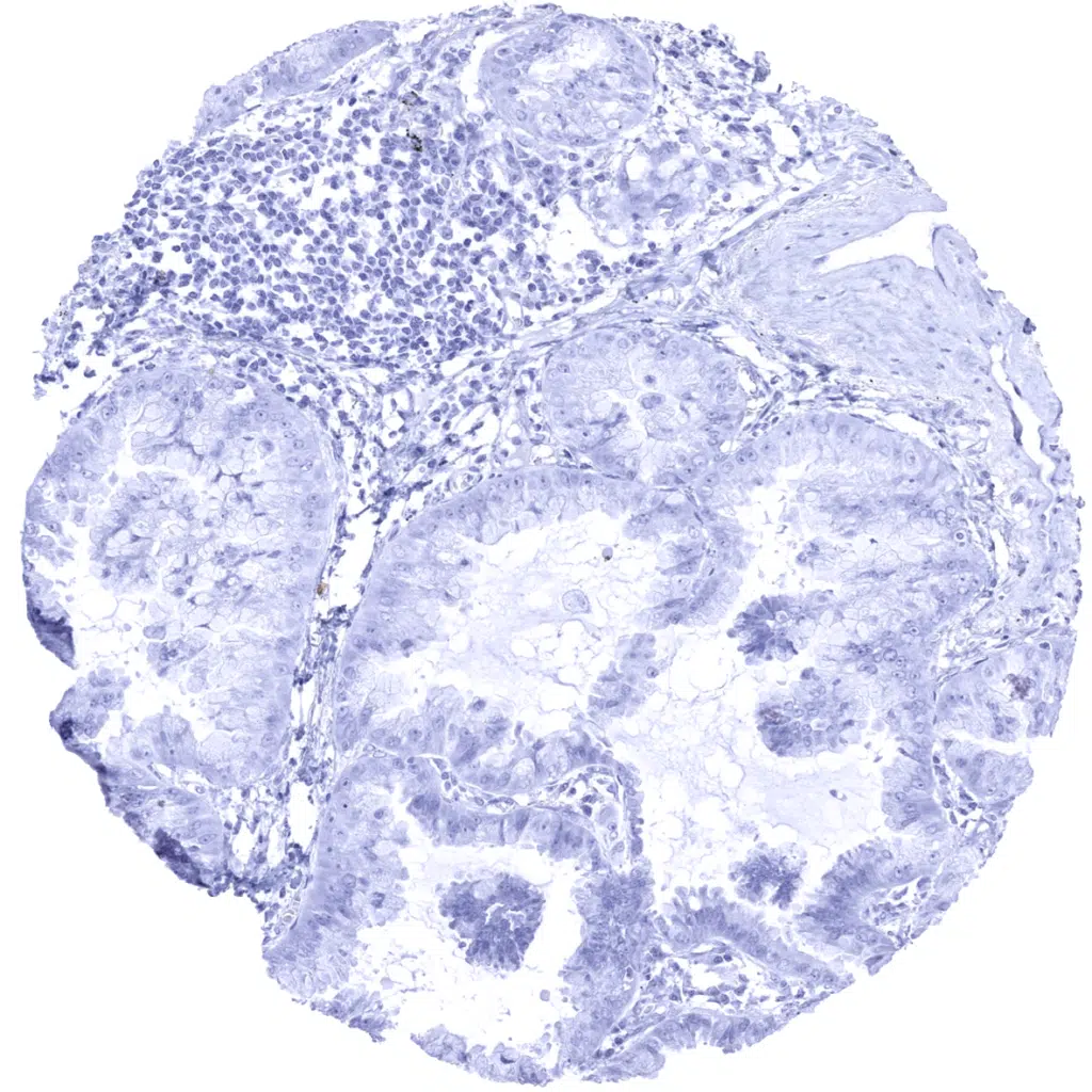
Stomach- Dsg3 negative gastric adenocarcinoma.

Stomach- Dsg3 negative gastrointestinal stromal tumor (GIST).

Stomach- Gastric adenocarcinoma (intestinal type) showing focal weak to moderate membranous Dsg3 immunostaining of tumor cells.

       

Testis- Dsg3 negative seminoma.

Thymus- Thymoma with moderate to strong membranous Dsg3 immunostaining of epithelial tumor cells.

Thyroid- Dsg3 negative papillary carcinoma.

Urinary bladder- Dsg3 negative muscle-invasive urothelial carcinoma.

       

Urinary bladder- Squamous cell carcinoma showing strong membranous Dsg3 immunostaining.

Uterus, cervix- Squamous cell carcinoma with variable membranous Dsg3 immunostaining of tumor cells. Staining is only weak in basal tumor cells.

Vagina- Squamous cell carcinoma with weak to moderate Dsg3 immunostaining of tumor cells.

Vulva- Squamous cell carcinoma showing a strong, predominantly membranous Dsg3 immunostaining of tumor cells.

       

 

| TOP |