Cancer Tissue Gallery- GTX04367

E-Cadherin antibody [MSVA-035R] HistoMAX

 

Go to Normal Tissue Gallery
  
 Go back to product page
  

Go to HistoMAX page

 

Breast- Absence of E-cadherin staining in a lobular breast cancer.

Breast- Absence of E-cadherin staining in an invasive lobular breast cancer. Normal breast gland with strong E-cadherin staining serves as an internal staining control.

Breast- E-Cadherin negative invasive lobular breast cancer. Normal breast tissue with strong E-Cadherin staining serves as an internal control.

Breast- E-cadherin negative invasive lobular breast cancer. Normal breast tissue with strong E-cadherin staining serves as an internal staining control

       

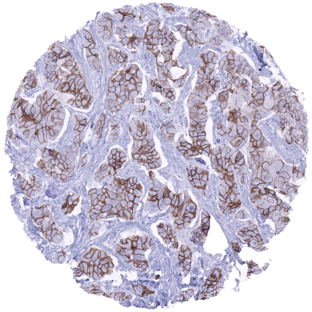
Breast- Invasive breast cancer of no special type (NST) exhibiting strong E-Cadherin staining of tumor cells.

Breast- Invasive breast cancer of no special type (NST) showing an intense E-Cadherin immunostaining of all tumor cells.

Breast- Invasive breast cancer of no special type (NST) with strong E-Cadherin immunostaining of tumor cells.

Breast- Strong diffuse E-cadherin positivity in a breast cancer of no special type (NST).

       

Kidney- Chromophobe renal cell carcinoma with strong membranous E-cadherin immunostaining.

Kidney- E-Cadherin negative clear cell carcinoma.

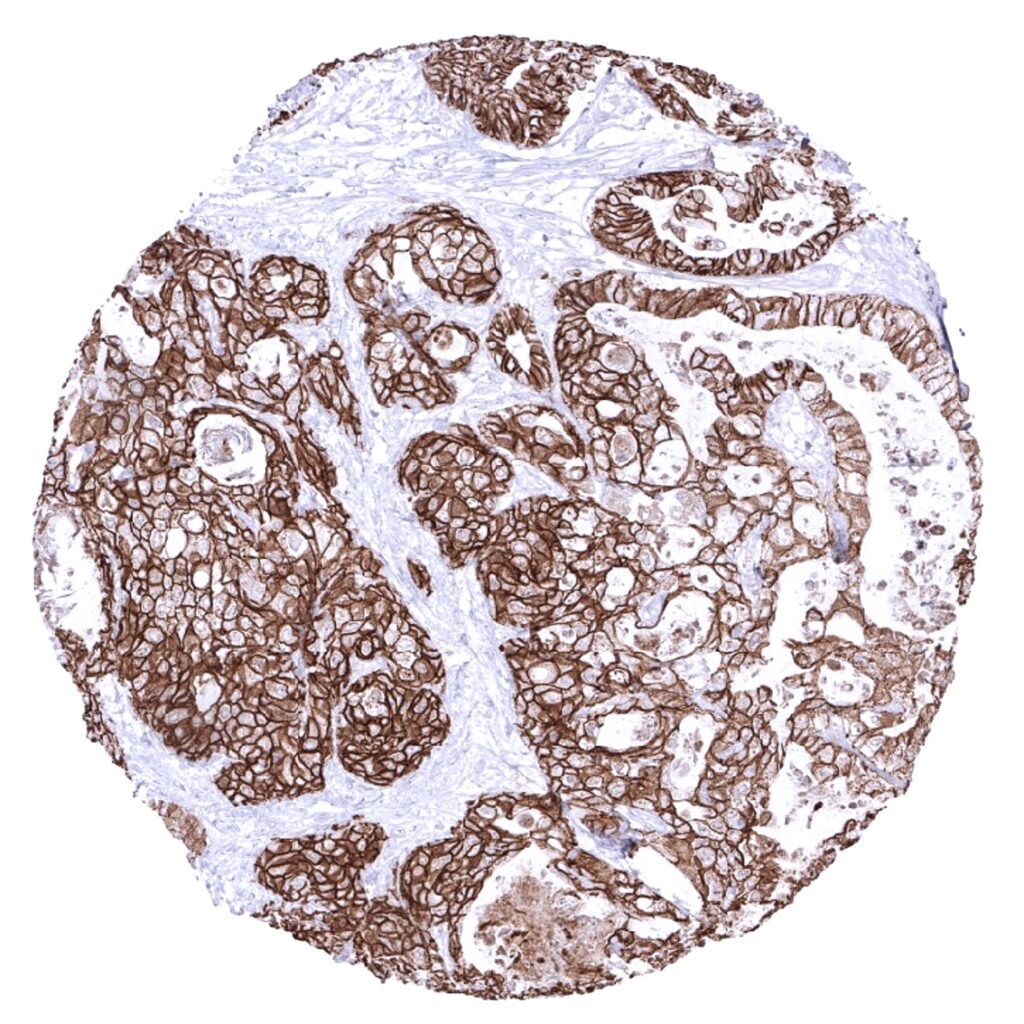
Pancreas- Ductal adenocarcinoma with strong E-Cadherin immunostaining of tumor cells.

Prostate- Absence of E-cadherin immunostaining in a recurrent prostate cancer showing a discohesive growth pattern

       

Stomach- Largely reduced E-cadherin staining in a gastric adenocarcinoma (diffuse type)

Testis- Seminoma with a weak to moderate E-cadherin immunostaining in tumor cells.

Thyroid- Follicular cancer with strong E-Cadherin immunostaining of tumor cells.

Thyroid- Medullary thyroid cancer with strong E-cadherin immunostaining in all tumor cells.

       

Urinary Bladder- Complete lack of E-cadherin staining in a urothelial bladder cancer with discohesive growth pattern.

Urinary Bladder- Muscle-invasive urothelial carcinoma with discohesive growth pattern and decreased E-cadherin expression.

Urinary bladder- Muscle-invasive urothelial carcinoma with strong E-Cadherin immunostaining of tumor cells.

Urinary Bladder- Small cell carcinoma with aberrant pattern of E-cadherin staining. Staining shows perinuclear dots instead of a circumferential membrane staining.

       

Uterus- Strong E-Cadherin immunostaining in all cells of a serous endometrium carcinoma.

 

 

| TOP |