Normal Tissue Gallery- GTX04367

E-Cadherin antibody [MSVA-035R] HistoMAX

 

Go to Cancer Tissue Gallery
  
 Go back to product page
  

Go to HistoMAX page

 

Adrenal gland – E-Cadherin staining is absent in adrenocortical cells.

Aorta, media

Appendix, mucosa

Appendix, muscular wall

       

Bone marrow

Breast

Bronchus, mucosa

Cerebellum (molecular layer, Purkinje cell layer, granule cell layer, white matter)

       

Cerebellum, grey (Stratum neuronorum)

Cerebrum, grey matter

Cerebrum, grey matter

Cerebrum, white matter

       

Colon descendens, mucosa

Colon descendens, muscular wall

Duodenum, Brunner gland

Duodenum, mucosa

       

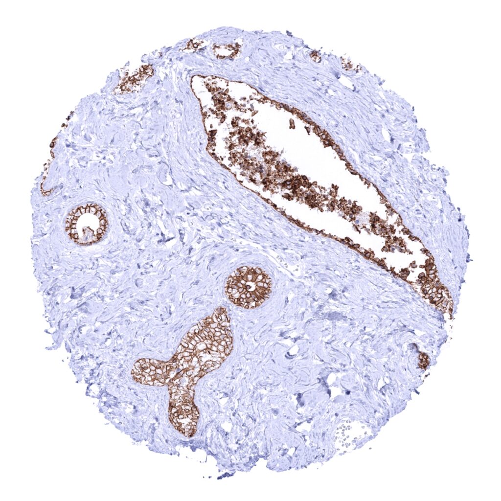
Epididymis

Epididymis

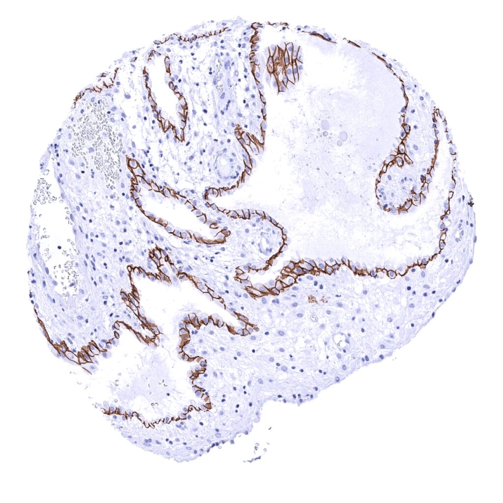
Esophagus, squamous epithelium

Fallopian tube, mucosa

       

Fat

Gallbladder, epithelium

Heart muscle

Ileum, mucosa

       

Kidney, cortex – E-Cadherin staining is only seen in collecting ducts and in distal tubuli but not in proximal tubuli.

Kidney, medulla

Liver – At least a moderate membranous staining is seen in hepatocytes while bile duct epithelia stain strongly.

Lung

       

Lymph node

Ovary, stroma

Pancreas – E-cadherin staining is strong in acinar cells but somehat weaker in islet cells.

Parathyroid gland

       

Parotid gland

Pituitary gland, anterior lobe – A fraction of epithelial cells shows E-cadherin staining in the adenohypophysis.

Pituitary gland, posterior lobe

Placenta (amnion and chorion) – Both amnion and chorion cells show E-Cadherin staining.

       

Placenta, early – The cytotrophoblast but not the syncytiotrophoblast shows membranous E-Cadherin staining.

Prostate

Rectum, mucosa

Seminal vesicle

       

Sinus paranasales

Skeletal muscle

Skin

Spleen – A fraction of small vessels stain E-Cadherin-positive in the spleen.

       

Stomach, antrum

Stomach, antrum

Stomach, corpus

Testis

       

Testis

Thyroid gland

Tonsil, surface epithelium

Tonsil

       

Urinary bladder, muscular wall

Urinary bladder, urothelium

Uterus, ectocervix

Uterus, endocervix

       

Uterus, endometrium (pregnancy)

Uterus, endometrium (proliferation)

Uterus, endometrium (secretion)

Uterus, myometrium

       

 

| TOP |