Cancer Tissue Gallery- GTX642029

EGFRvIII antibody [HMV3805] HistoMAX™

 

Go to Normal Tissue Gallery
  
 Go back to product page
  

Go to HistoMAX page

 

Brain – Glioblastoma multiforma (tumor periphery) with distinct EGFRvIII positity of tumor cells.

Brain – Glioblastoma multiforma showing a strong EGFRvIII positivity of all tumor cells.

Brain – Glioblastoma multiforma with moderate intensity EGFRvIII staining of tumor cells

Colon – EGFRvIII negative colorectal adenocarcinoma.

       

Colon – EGFRvIII negative colorectal adenocarcinoma.

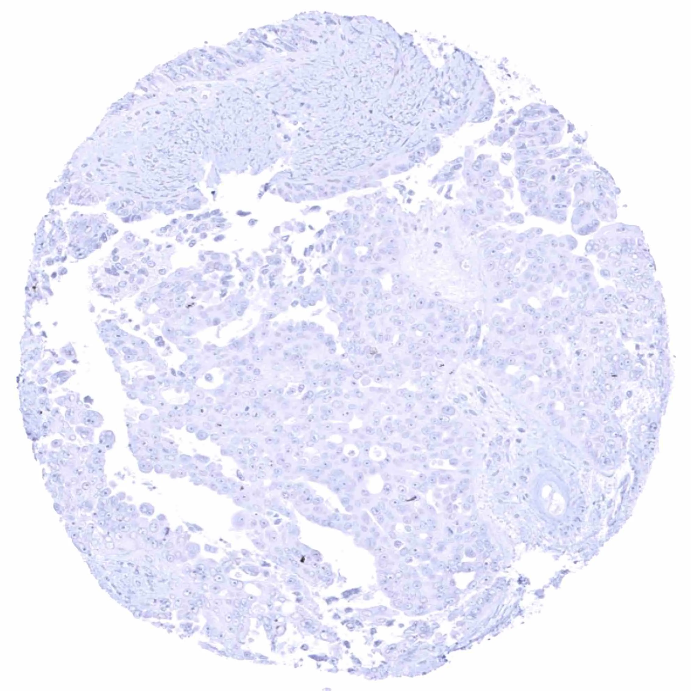
Kidney – EGFRvIII negative clear cell carcinoma.

Kidney – EGFRvIII negative oncocytoma.

Kidney – EGFRvIII negative papillary renal cell carcinoma.

       

Lung – EGFRvIII negative malignant mesothelioma (epitheloid).

Lung – EGFRvIII negative adenocarcinoma.

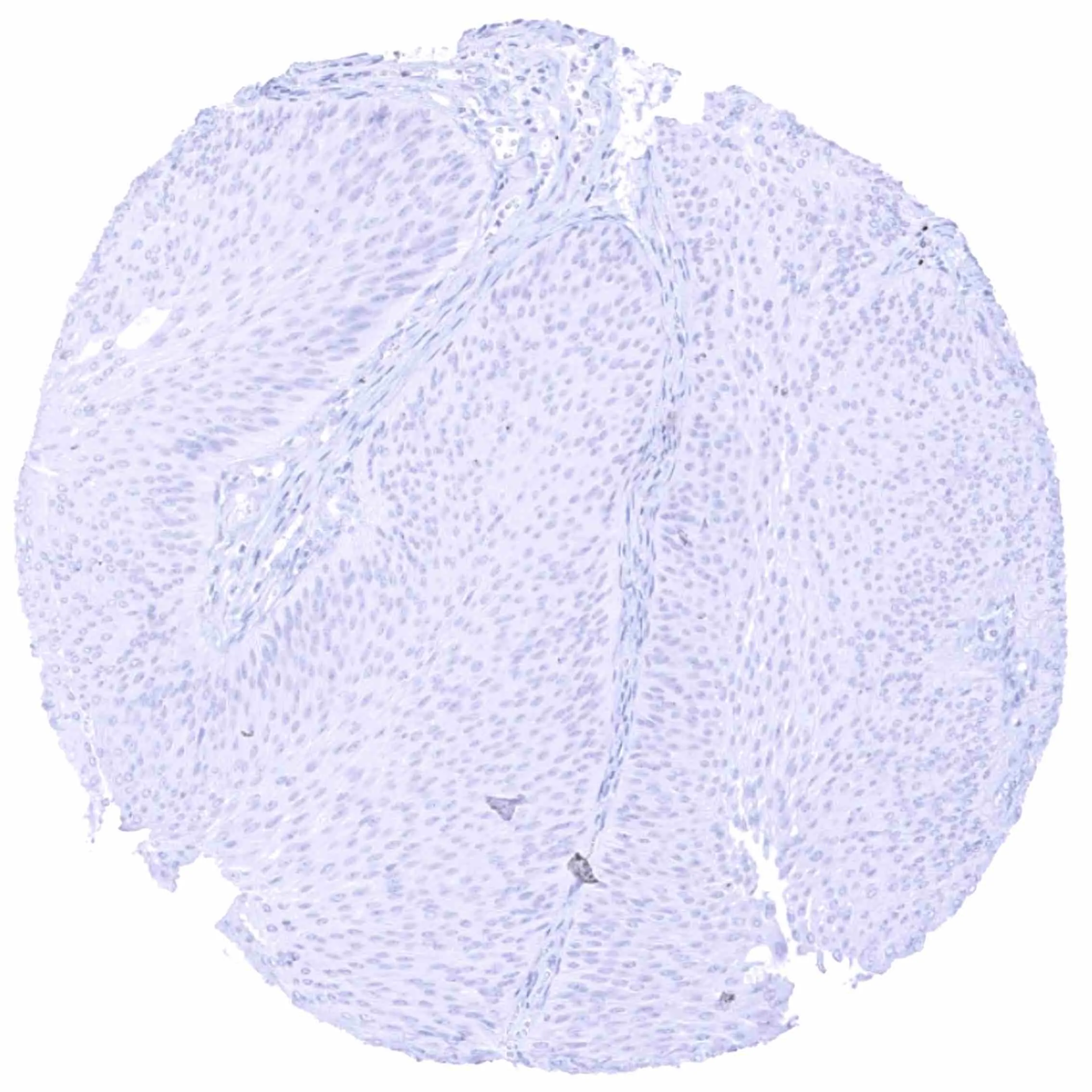
Oral cavity – EGFRvIII negative squamous cell carcinoma (low grade).

Oral cavity – EGFRvIII negative squamous cell carcinoma.

       

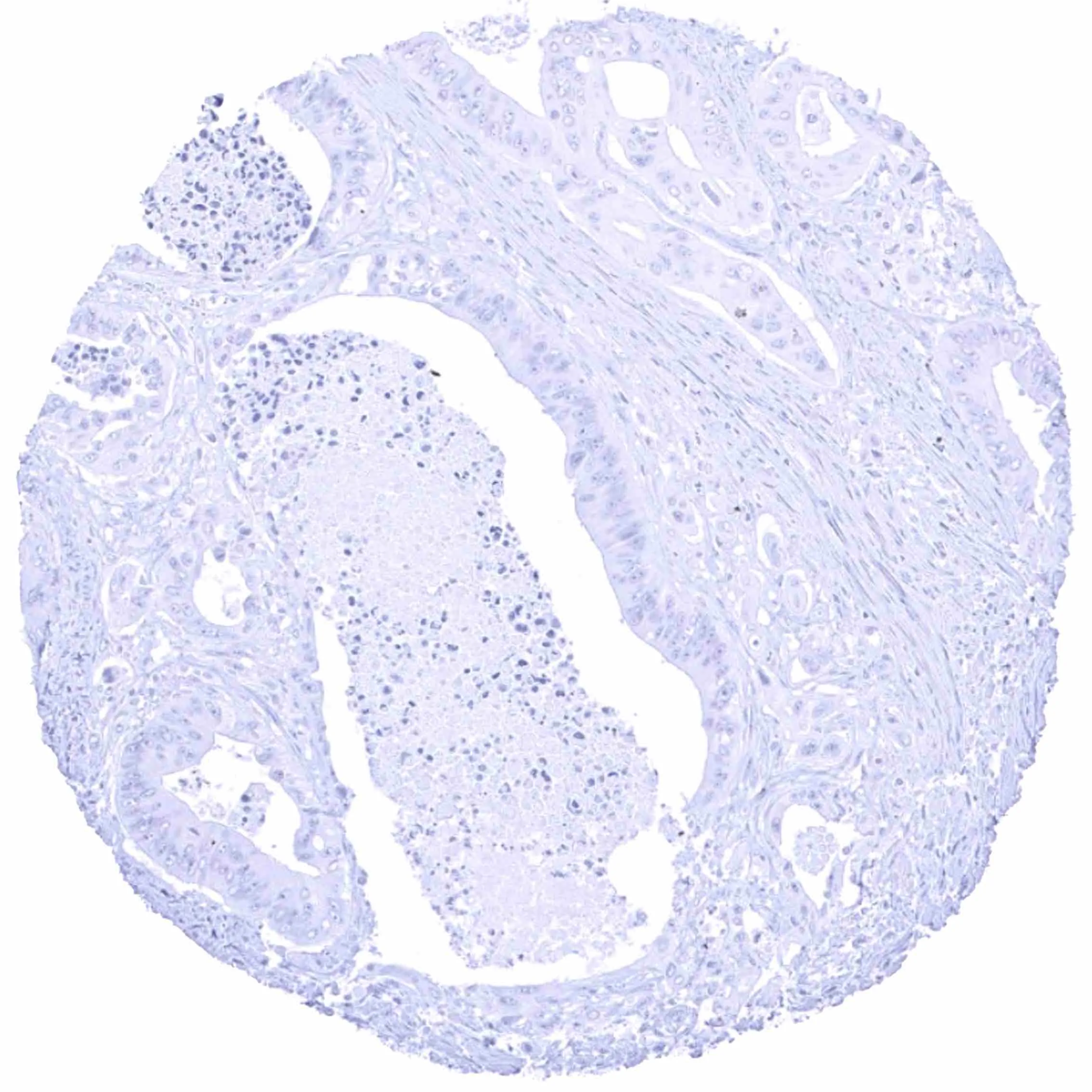
Ovary – EGFRvIII negative clear cell carcinoma.

Ovary – EGFRvIII negative serous high-grade carcinoma.

Ovary – EGFRvIII negative endometroid carcinoma.

Pharynx – EGFRvIII negative squamous cell carcinoma (high grade). A

       

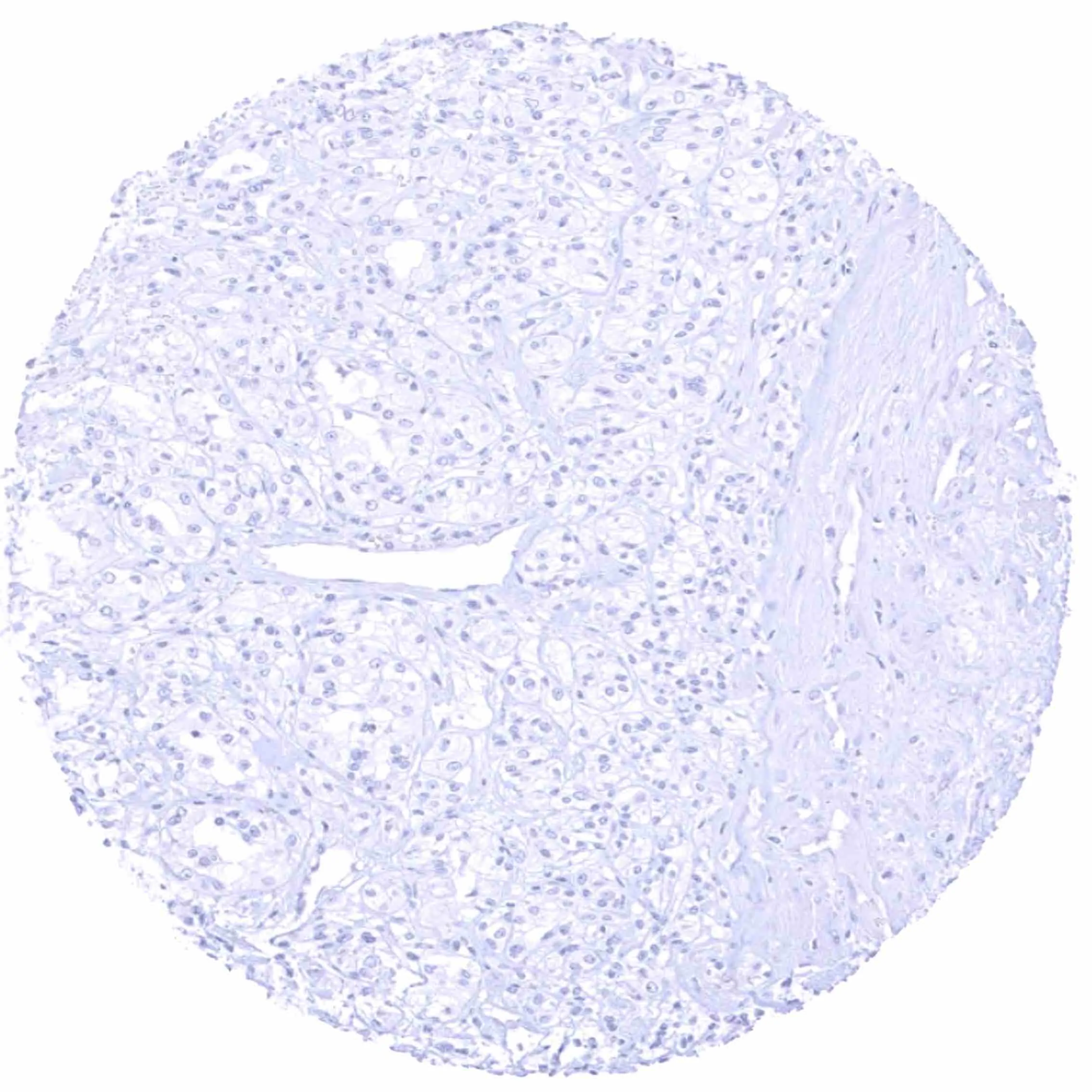
Prostate – EGFRvIII negative adenocarcinoma (Gleason 4+3=7).

Testis – EGFRvIII negative seminoma.

Thyroid – EGFRvIII negative papillary carcinoma.

Urinary bladder – EGFRvIII negative muscle-invasive urothelial carcinoma.

       

Urinary bladder – EGFRvIII negative non-invasive papillary urothelial carcinoma (pTa).

 

| TOP |