Normal Tissue Gallery- GTX642029

EGFRvIII antibody [HMV3805] HistoMAX™

 

Go to Cancer Tissue Gallery
  
 Go back to product page
  

Go to HistoMAX page

 

Adrenal gland

Aorta, media

Appendix, muscular wall

Bone marrow

       

Breast

Bronchus, mucosa

Cerebellum (molecular layer, Purkinje cell layer, granule cell layer)

Cerebellum (white matter)

       

Cerebrum, grey matter

Cerebrum, white matter

Colon descendens, mucosa

Colon descendens, muscular wall

       

Duodenum, Brunner gland

Duodenum, mucosa

Epididymis

Esophagus, squamous epithelium

       

Fallopian tube

Fat

Gallbladder

Heart

       

Ileum, mucosa

Kidney, cortex

Kidney, medulla

Kidney, pelvis (urothelium)

       

Liver

Lung

Lymph node

Ovary, corpus luteum

       

Pancreas

Parathyroid gland

Parotid gland

Pituitary gland, anterior lobe

       

Pituitary gland, posterior lobe

Placenta (amnion and chorion)

Placenta, early

Placenta, mature

       

Prostate

Seminal vesicle

Skeletal muscle

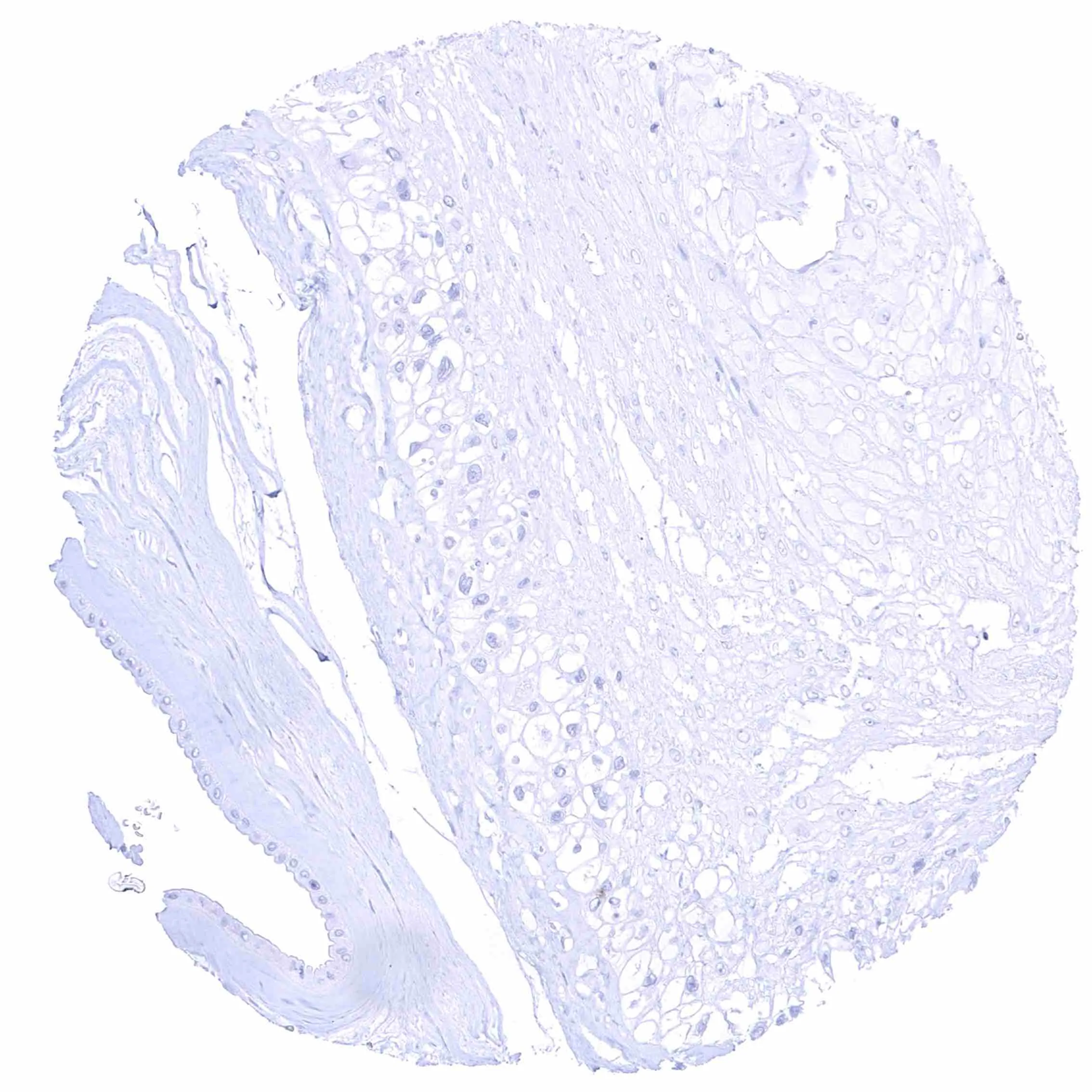
Skin – Distinct EGFRvIII staining of the granular layer of keratinizing squamous epithelium.

       

Skin – Distinct EGFRvIII staining of the granular layer of keratinizing squamous epithelium.

Skin, hairfollicel and sebaceous glands

Spleen

Stomach, antrum

       

Stomach, corpus

Stomach, corpus

Testis

Thymus

       

Thyroid gland

Tonsil, surface epithelium

Tonsil

Urinary bladder, muscular wall

       

Urinary bladder, urothelium

Uterus, ektocervix

Uterus, endocervix

Uterus, endometrium (pregnancy)

       

Uterus, endometrium (proliferation)

Uterus, endometrium (secretion)

Uterus, myometrium

     

 

| TOP |