Cancer Tissue Gallery- GTX04466

Elastin antibody [MSVA-648R] HistoMAX

 

Go to Normal Tissue Gallery
  
 Go back to product page
  

Go to HistoMAX page

 

Breast- Invasive lobular breast cancer containing few elastin positive fibres in the stroma.

Colon- Colorectal adenocarcinoma containing few elastin positive fibres in the stroma.

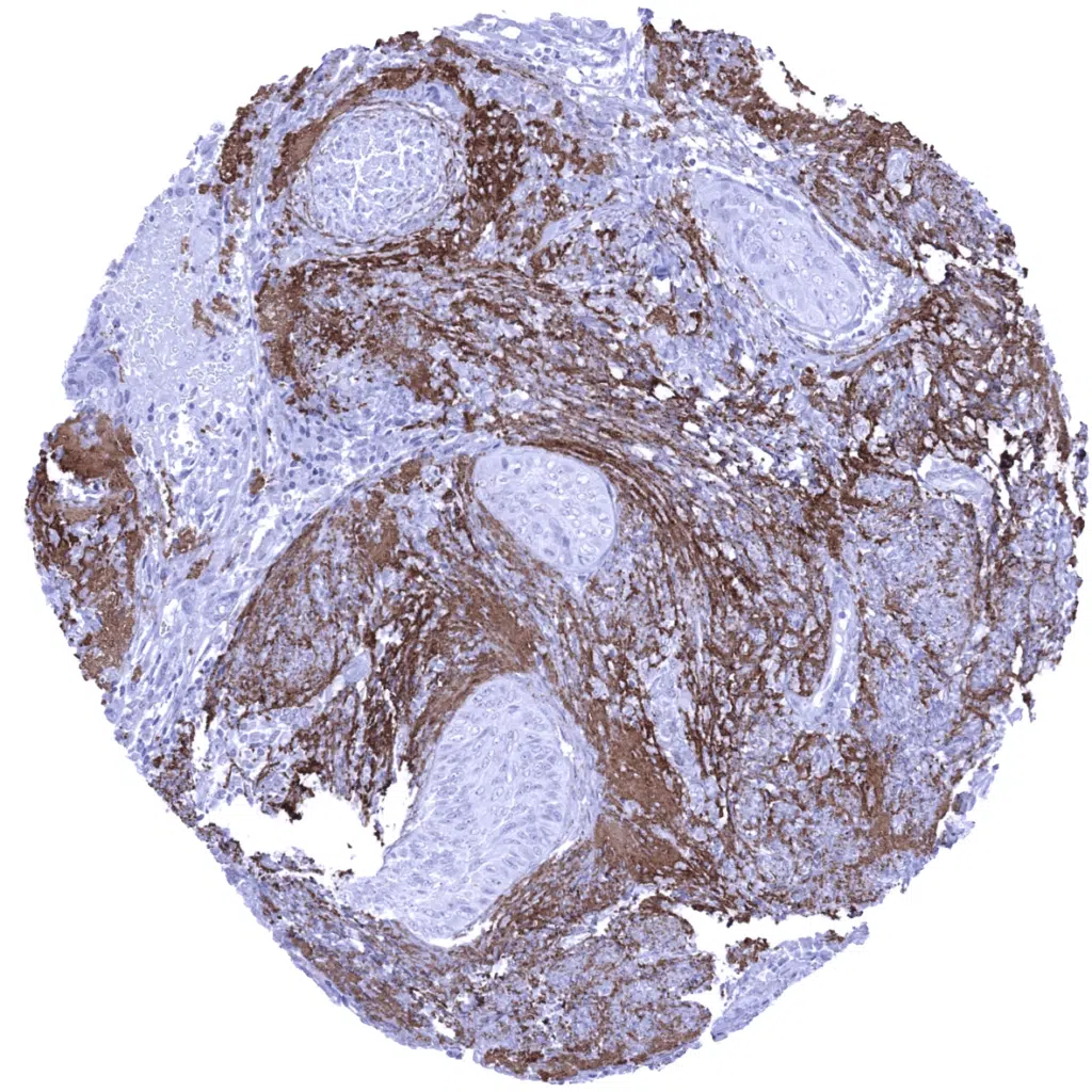
Colon- Colorectal adenocarcinoma displaying abundant elastin positive fibres in the stroma.

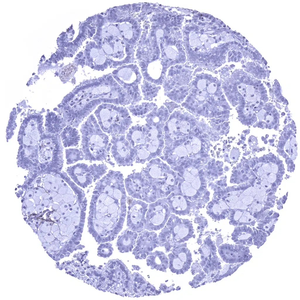
Colon- Colorectal adenocarcinoma lacking elastin immunostaining.

       

Esophagus- Adenocarcinoma containing only very few elastin positive fibres in the stroma.

Esophagus- Elastin positive fibres are absent in the stroma of a squamous cell carcinoma.

Kidney- Clear cell renal cell carcinoma showing focal elastin immunostaining in a tumor adjacent mesenchymal structure.

Kidney- Elastin immunostaining is the wall of a blood vessel of an oncocytoma.

       

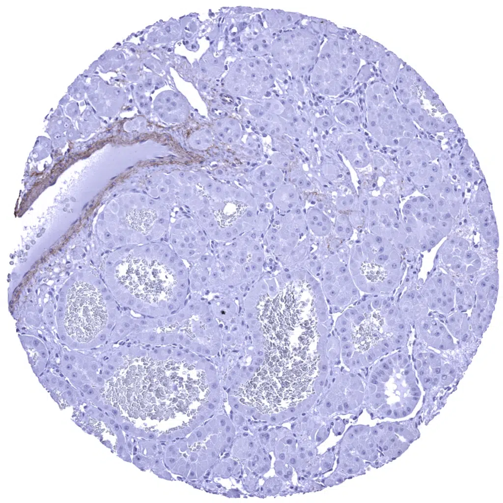
Kidney- Papillary renal cell carcinoma showing few elastin positive fibres associated with small blood vessels.

Oral cavity- Focal abundance of elastin positive fibres at the invasive margin of a squamous cell carcinoma.

Ovary- Brenner tumor displaying few elastin positive fibres in the stroma.

Ovary- Clear cell carcinoma lacking elastin positive fibres in the stroma.

       

Ovary- Elastin immunostaining is only seen around small blood vessels in an endometroid carcinoma.

Ovary- Mucinous carcinoma not showing any elastin positive fibres in the stroma.

Ovary- Serous high-grade carcinoma containing only few elastin positive fibres in the stroma.

Pharynx- Elastin positive fibres are absent in a squamous cell carcinoma.

       

Prostate- Abundant elastin positive fibres in the stroma of an adenocarcinoma (Gleason 3+3=6).

Prostate- Adenocarcinoma (Gleason 3+3=6) showing abundant elastin positive fibres in the stroma.

Thyroid- Elastin positive fibres are absent in a papillary carcinoma.

Thyroid- Follicular carcinoma lacking elastin immunostaining.

       

Urinary bladder- Elastin positive fibres are focally seen in a muscle-invasive urothelial carcinoma.

Urinary bladder- Non-invasive papillary urothelial carcinoma (pTa) lacking elastin immunostaining in the stroma.

Uterus, cervix- Intense elastin immunostaining in muscular structures invaded by a squamous cell carcinoma.

Uterus, cervix- Squamous cell carcinoma.

       

Vulva- Squamous cell carcinoma lacking elastin positive fibres in the stroma.

 

 

| TOP |