Cancer Tissue Gallery- GTX04420

GATA3 antibody [MSVA-450M] HistoMAX

 

Go to Normal Tissue Gallery
  
 Go back to product page
  

Go to HistoMAX page

 

Breast – Breast cancer of no special type (NST) showing moderate to strong GATA3 immunostaining. (GATA3 immunohistochemistry)

Breast – Invasive lobular breast cancer showing moderate to strong GATA3 immunostaining. (GATA3 immunohistochemistry)

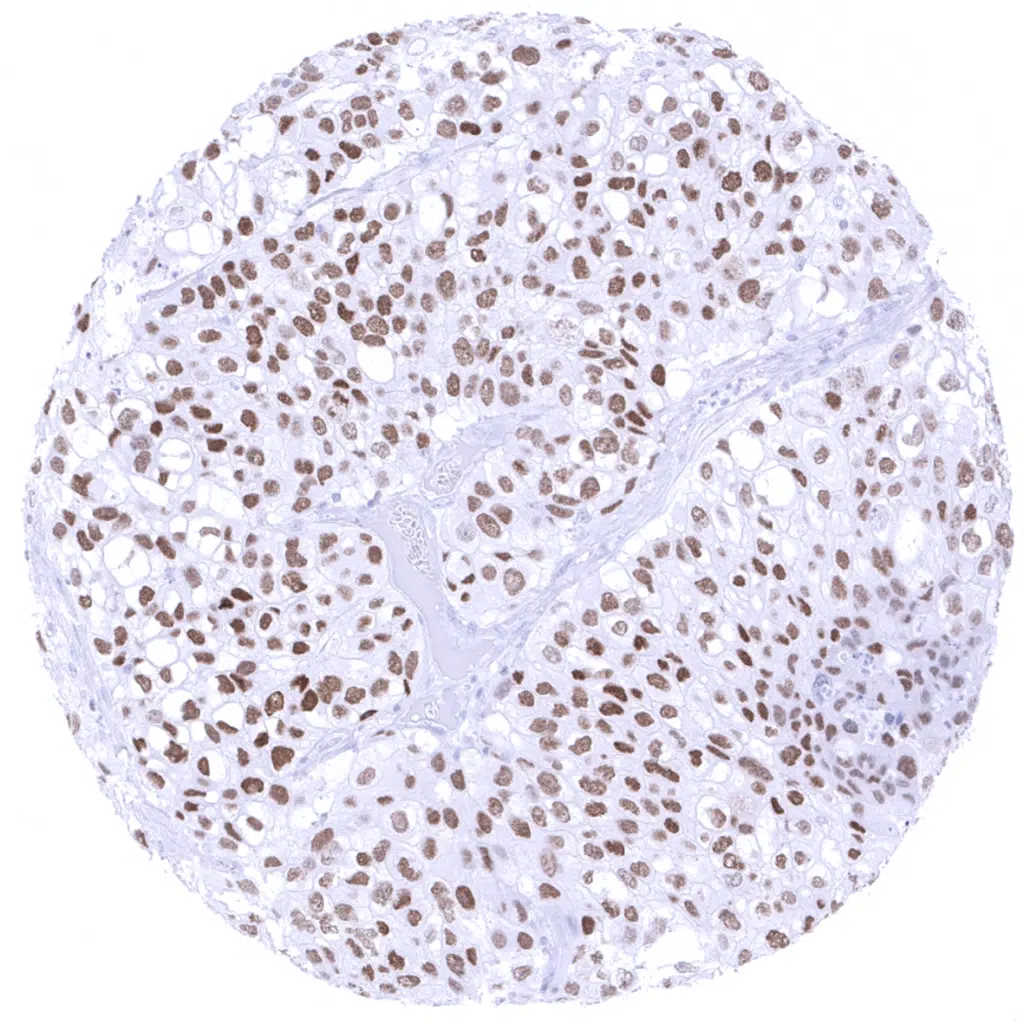
Breast – Strong GATA3 immunostaining in a breast cancer of no special type (NST). (GATA3 immunohistochemistry)

Colon – Neuroendocrine carcinoma with weak to moderate GATA3 immunostaining in most tumor cells.

       

Kidney – GATA3 negative clear cell renal cell carcinoma. (GATA3 immunohistochemistry)

Kidney – GATA3 negative papillary renal cell carcinoma. (GATA3 immunohistochemistry)

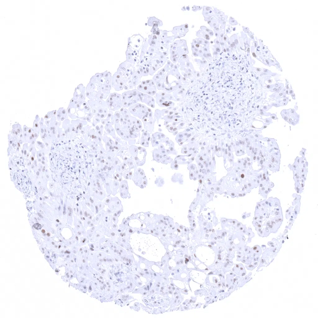
Liver – GATA3 negative hepatocellular carcinoma.

Lung – GATA3 negative small cell carcinoma. (GATA3 immunohistochemistry)

       

Lymph node – Weak to moderate GATA3 immunostaining of lymphocytes in a case of T-ALL. (GATA3 immunohistochemistry)

Lymph node – Weak to moderate GATA3 immunostaining of lymphocytes in an angioimmunoblasic T-cell lymphoma. (GATA3 immunohistochemistry)

Ovary – GATA3 negative serous high-grade carcinoma. (GATA3 immunohistochemistry)

Pleura – Weak GATA3 immunostaining in a fraction of cells in a malignant (epitheloid) mesothelioma. (GATA3 immunohistochemistry)

       

Prostate – GATA3 negative adenocarcinoma of the prostate (Gleason 5+5=10). (GATA3 immunohistochemistry)

Skin – Squamous cell carcinoma with weak GATA3 immunostaining in a fraction of tumor cells. (GATA3 immunohistochemistry)

Testis – Teratoma showing a weak to moderate GATA3 immunostaining in sebaceous and ekkrine glands. (GATA3 immunohistochemistry)

Urinary bladder – Muscle-invasive urothelial carcinoma with moderate to strong GATA3 immunostaining of tumor cells. (GATA3 immunohistochemistry)

       

Urinary bladder – Muscle-invasive urothelial carcinoma with moderate to strong GATA3 positivity of tumor cells. (GATA3 immunohistochemistry)

Urinary bladder – Non-invasive papillary urothelial carcinoma (pTa, low grade) with strong GATA3 positivity of all tumor cells. (GATA3 immunohistochemistry)

Uterine cervix – Squamous cell carcinoma showing a weak GATA3 immunostaining in most tumor cells. (GATA3 immunohistochemistry)

Uterus – GATA3 negative serous endometrium carcinoma. (GATA3 immunohistochemistry)

       

 

| TOP |