Cancer Tissue Gallery- GTX04471

Glutamine synthetase antibody [MSVA-750M] HistoMAX

 

Go to Normal Tissue Gallery
  
 Go back to product page
  

Go to HistoMAX page

 

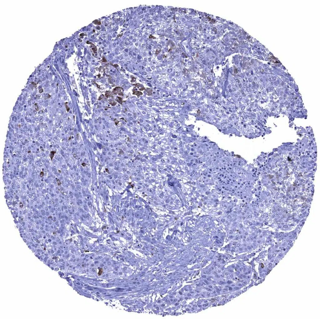
Anal canal- GS negative squamous cell carcinoma containing few inflammatory cells with GS expression

Breast- Invasive breast cancer of no special type (NST) exhibiting a GS immunostaining of variable intensity in tumor cells (mosaic pattern)

Breast- Invasive lobular breast cancer with diffuse strong GS positivity

Colon- GS negative colorectal adenocarcinoma containing many GS positive inflammatory cells

       

Esophagus- GS negative adenocarcinoma infiltrated by GS positive inflammatory cells

Esophagus- Squamous cell carcinoma with strong GS immunostaining of the majority of tumor cells

Kidney- GS negative clear cell renal cell carcinoma

Kidney- Oncocytoma with strong GS immunostaining of most tumor cells

       

Larynx- Squamous cell carcinoma with strong GS immunostaining of most tumor cells

Liver- GS negative cholangiocellular carcinoma containing numerous GS positive inflammatory cells

Liver- Hepatocellular carcinoma with excessive GS positivity of all tumor cells

Lung- GS negative small cell carcinoma containing few GS positive inflammatory cells

       

Lymph node- Diffuse large B-cell lymphoma with strong GS immunostaining of the majority of cells

Lymph node- GS negative B-CLL. GS staining is only seen in few associated macrophages.

Lymph node- GS negative B-CLL. GS staining is only seen in few associated macrophages

Lymph node- GS negative Hodgkin's lymphoma containing a large number of GS positive inflammatory cells

       

Lymph node- GS negative Hodgkin's lymphoma including numerous GS positive inflammatory cells

Ovary- Serous high-grade carcinoma with intense GS immunostaining of tumor cells

Pancreas- Ductal adenocarcinoma with focal weak to moderate GS positivity of tumor cells

Pancreas- GS negative neuroendocrine tumor

       

Prostate- GS negative adenocarcinoma (Gleason 3+3=6)

Prostate- GS negative adenocarcinoma (Gleason 4+4=8) containing numerous inflammatory cells with high level GS expression

Salivary gland- Warthin tumor with strong GS positivity of a small subset of epithelial tumor cells

Soft tissue- Giant cell tumor of the tendon with strong GS immunostaining of virtually all cells

       

Soft tissue- GS negative leiomyosarcoma containing GS positive inflammatory cells

Soft tissue- GS negative liposarcoma

Stomach- Gastric adenocarcinoma with strong GS immunostaining of tumor cells. Tumor infiltrating inflammatory cells also stain positive

Stomach- GS negative gastric adenocarcinoma containing GS positive inflammatory cells

       

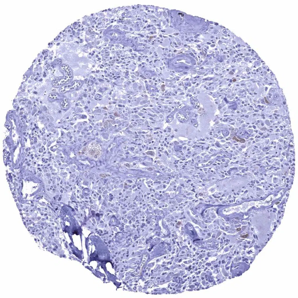
Stomach- GS negative gastrointestinal stromal tumor (GIST)

Testis- GS negative seminoma containing GS positive macrophages

Testis- Leydig cell tumor with excessive GS immunostaining of all tumor cells

Thymus- Thymoma with intense GS staining of epithelial tumor cells

       

Thyroid- Follicular adenoma exhibiting a very strong GS immunostaining of all cells

Thyroid- GS negative medullary carcinoma

Thyroid- Papillary cancer showing a weak GS immunostaining of tumor cells

Urinary bladder- GS negative muscle-invasive urothelial carcinoma containing few GS positive inflammatory cells

       

Urinary bladder- Muscle-invasive urothelial carcinoma with strong GS immunostaining of tumor cells

Urinary bladder- Small cell carcinoma with moderate to strong GS immunostaining of all tumor cells

Uterus, cervix- Adenocarcinoma exhibiting a strong GS positivity of tumor cells

Vulva- Strong GS immunostaining of _95_ of tumor cells of a squamous cell carcinoma

       

 

| TOP |