Cancer Tissue Gallery- GTX04429

HLA-DRA antibody [MSVA-470R] HistoMAX

 

Go to Normal Tissue Gallery
  
 Go back to product page
  

Go to HistoMAX page

 

Adrenal gland- Adrenocortical adenoma showing moderate to strong focal HLA-DRa immunostaining in tumor cells.

Colon- Colorectal adenocarcinoma showing diffuse strong HLA-DRa positivity of tumor cells and tumor associated inflammatory cells.

Colon- HLA-DR negative colorectal adenocarcinoma showing strong HLA-DRa positivity of capillaries and tumor associated inflammatory cells.

Esophagus- HLA-DR negative esophageal squamous cell carcinoma with strong HLA-DRa positivity of capillaries and tumor associated inflammatory cells.

       

Kidney- Clear cell renal cell carcinoma showing strong HLA-DRa immunostaining in tumor cells.

Kidney- HLA-DR negative clear cell renal cell carcinoma showing strong HLA-DRa immunostaining in small blood vessels.

Kidney- HLA-DR negative oncocytoma exhibiting strong HLA-DRa immunostaining in capillaries.

Kidney- HLA-DR negative papillary renal cell carcinoma showing strong HLA-DRa immunostaining in small blood vessels and macrophages.

       

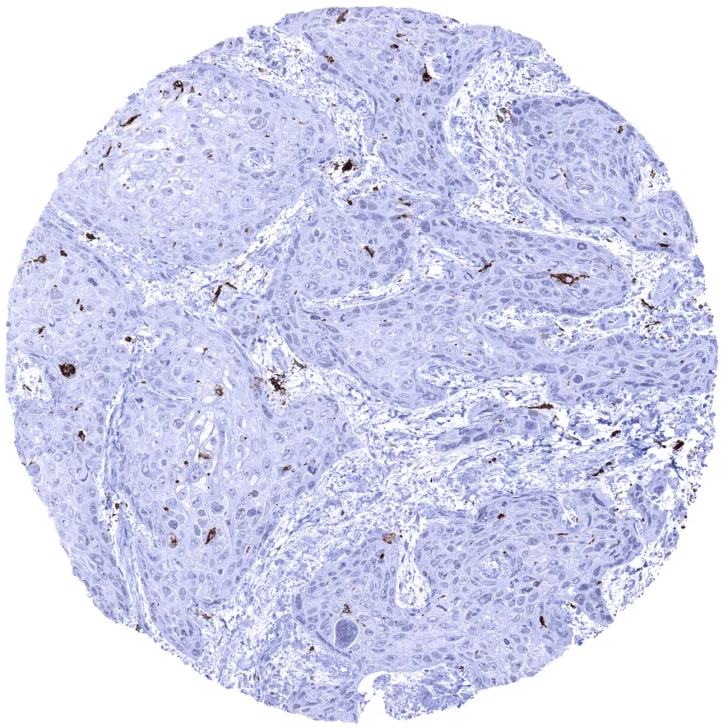
Larynx- HLA-DR negative squamous cell carcinoma showing HLA-DRa immunostaining of capillaries and tumor associated inflammatory cells.

Liver- Hepatocellular carcinoma with strong HLA-DRa positivity of tumor cells.

Lung- Adenocarcinoma showing strong HLA-DRa immunostaining in tumor cells.

Lung- HLA-DR negative adenocarcinoma containing numerous HLA-DRa positive macrophages and blood vessels.

       

Lymph node- Follicular B-cell lymphoma showing strong HLA-DRa immunostaining in tumor cells.

Lymph node- Hodgkin's lymphoma showing strong HLA-DRa immunostaining in tumor cells.

Lymph node- Hodgkin's lymphoma with strong HLA-DRa immunostaining of tumor cells.

Lymph node- Strong HLA-DRa immunostaining in all tumor cells of a diffuse large B-cell lymphoma.

       

Pancreas- Ductal adenocarcinoma showing diffuse strong HLA-DRa positivity of tumor cells, tumor associated inflammatory cells and capillaries.

Pancreas- HLA-DR negative adenocarcinoma of the ampulla Vaterii showing HLA-DRa positivity of tumor associated capillaries and inflammatory cells.

Pancreas- HLA-DR negative ductal adenocarcinoma showing strong HLA-DRa positivity of tumor associated inflammatory cells.

Pancreas- HLA-DR negative neuroendocrine tumor showing HLA-DRa immunostaining of capillaries and inflammatory cells.

       

Penis- HLA-DR negative squamous cell carcinoma containing HLA-DRa positive macrophages.

Prostate- Adenocarcinoma (Gleason 3+3=6) with HLA-DRa positivity of capillaries and tumor associated inflammatory cells.

Stomach- Gastric adenocarcinoma showing diffuse strong HLA-DRa positivity of tumor cells.

Stomach- Gastric adenocarcinoma showing moderate to strong focal HLA-DRa immunostaining in tumor cells.

       

Stomach- Gastrointestinal stromal tumor (GIST) showing strong HLA-DRa immunostaining of tumor cells.

Stomach- HLA-DR negative gastric adenocarcinoma with HLA-DRa positivity of capillaries and tumor associated inflammatory cells.

Stomach- HLA-DRa negative gastrointestinal stromal tumor (GIST) showing HLA-DR immunostaining of tumor associated capillaries.

Testis- HLA-DR negative seminoma with strong HLA-DRa immunostaining in capillaries and inflammatory cells.

       

Thyroid- HLA-DR negative papillary carcinoma showing HLA-DRa immunostaining of capillaries and inflammatory cells.

Urinary bladder- Muscle-invasive urothelial carcinoma showing strong HLA-DRa immunostaining in tumor cells.

Vulva- Squamous cell carcinoma showing strong HLA-DRa immunostaining in tumor cells.

     

 

| TOP |