Cancer Tissue Gallery- GTX639938

HMGA2 antibody [HMV314] HistoMAXTM

 

Go to Normal Tissue Gallery
  
 Go back to product page
  

Go to HistoMAX page

 

Adrenal gland – Adrenocortical carcinoma with a weak HMGA2 staining of most tumor cells

Adrenal gland – HMGA2 negative pheochromocytoma

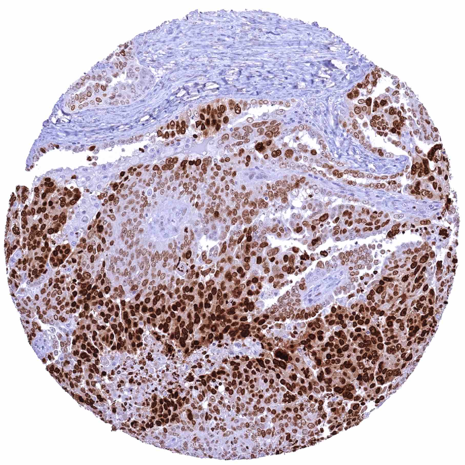
Anal canal – Squamous cell carcinoma with strong HMGA2 staining of tumor cells

Breast – HMGA2 negative invasive breast cancer of no special type (NST)

       

Breast – HMGA2 negative invasive lobular breast cancer

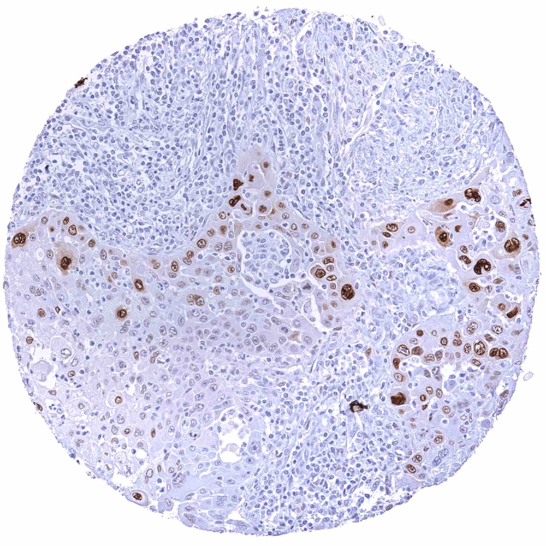
Colon – Colorectal adenocarcinoma showing a faint HMGA2 positivity a small set of tumor cells

Colon – Colorectal adenocarcinoma with strong HMGA2 staining of tumor cells

Colon – Colorectal adenoma (low-grade) with weak to moderate HMGA2 staining of neoplastic cells

       

Esophagus – Adenocarcinoma with strong HMGA2 positivity of tumor cells

Esophagus – HMGA2 negative squamous cell carcinoma

Esophagus – Squamous cell carcinoma with strong HMGA2 staining of tumor cells

Kidney – HMGA2 negative clear cell carcinoma

       

Kidney – Papillary renal cell carcinoma with strong HMGA2 immunostaining of all tumor cells

Liver – Cholangiocellular carcinoma with strong HMGA2 positivity of tumor cells

Liver – Hepatocellular carcinoma with exhibiting a strong HMGA2 staining of tumor cells

Liver – HMGA2 negative cholangiocellular carcinoma

       

Lung – Adenocarcinoma with strong HMGA2 staining of all tumor cells

Lung – HMGA2 negative malignant mesothelioma

Lung – Malignant mesothelioma with strong HMGA2 immunostaining of tumor cells

Lung – Squamous cell carcinoma with a variable (weak – strong) HMGA2 staining of tumor cells

       

Lymph node – HMGA2 negative B-CLL

Lymph node – HMGA2 negative diffuse large B-cell lymphoma

Lymph node – HMGA2 negative Hodgkin's lymphoma

Lymph node – Hodgkin's lymphoma exhibiting a strong HMGA2 staining of tumor cells

       

Lymph node – Hodgkin's lymphoma showing a strong HMGA2 staining of tumor cells

Lymph node – Hodgkin's lymphoma with strong HMGA2 immunostaining of tumor cells

Oral cavity – Squamous cell carcinoma with strong HMGA2 staining of tumor cells

Ovary – Granulosa cell tumor with a moderate intensity HMGA2 staining of tumor cells

       

Ovary – HMGA2 negative serous high-grade carcinoma

Ovary – Malignant mixed Mullerian tumor with strong HMGA2 staining of all epithelial and mesenchymal tumor cells

Ovary – Serous high-grade carcinoma with a variable (weak – strong) HMGA2 staining of tumor cells

Ovary – Serous high-grade carcinoma with strong HMGA2 staining of all tumor cells

       

Pancreas – Ductal adenocarcinoma with moderate intensity HMGA2 staining of tumor cells

Pancreas – Ductal adenocarcinoma with strong HMGA2 immunostaining of tumor cells

Pancreas – HMGA2 negative adenocarcinoma of the papilla Vaterii exhibiting a moderate intensity HMGA2 staining of stroma cells

Pancreas – HMGA2 negative neuroendocrine tumor

       

Parathyroid – Adenoma with weak to moderate HMGA2 staining of tumor cells

Penis – HMGA2 negative squamous cell carcinoma

Prostate – HMGA2 negative adenocarcinoma (Gleason 3+3=6)

Salivary gland – HMGA2 negative Warthin tumor

       

Salivary gland – Pleomorphic adenoma with strong HMGA2 staining of tumor cells

Skin – Merkel cell carcinoma with intense HMGA2 staining of all tumor cells

Soft tissue – Angiosarcoma with strong HMGA2 staining of tumor cells

Soft tissue – Chondrosarcoma with strong HMGA2 staining of tumor cells

       

Soft tissue – HMGA2 negative leiomyosarcoma

Soft tissue – Liposarcoma with a strong HMGA2 staining of tumor cells

Soft tissue – Liposarcoma with strong HMGA2 staining of all tumor cells

Soft tissue – Myxofibrosarcoma showing a strong HMGA2 staining of tumor cells

       

Soft tissue – Rhabdoid tumor with strong HMGA2 positivity of tumor cells

Stomach – Gastric adenocarcinoma (intestinal type) with strong HMGA2 staining of tumor cells

Stomach – Gastric adenocarcinoma (intestinal type) with weak to moderate HMGA2 staining of most tumor cells

Stomach – Gastrointestinal stromal tumor (GIST) showing a moderate to strong HMGA2 staining of tumor cells

       

Stomach – HMGA2 negative gastric adenocarcinoma (diffuse type)

Testis – HMGA2 negative Leydig cell tumor

Testis – HMGA2 negative seminoma

Testis – Yolk sack tumor showing strong HMGA2 staining of tumor cells. of tumor cells

       

Thymus – Thymoma with weak to moderate HMGA2 positivity of tumor cells

Thyroid – Anaplastic carcinoma with strong HMGA2 positivity of tumor cells

Thyroid – Anaplastic carcinoma with strong HMGA2 staining of most tumor cells

Thyroid – Follicular carcinoma with strong HMGA2 staining of all tumor cells

       

Thyroid – Medullary carcinoma with moderate to strong HMGA2 staining of tumor cells

Thyroid – Papillary carcinoma with strong HMGA2 staining of tumor cells

Urinary bladder – HMGA2 negative muscle-invasive urothelial carcinoma

Urinary bladder – Muscle-invasive urothelial carcinoma (pT2-4) with strong HMGA2 staining of tumor cells

       

Urinary bladder – Sarkomatoid carcinoma with strong HMGA2 positivity of tumor cells

Urinary bladder – Sarkomatoid carcinoma with weak to moderate HMGA2 staining of a fraction of tumor cells

Uterus, cervix – HMGA2 negative adenocarcinoma

Uterus, cervix – HMGA2 negative squamous cell carcinoma

       

 

| TOP |