Cancer Tissue Gallery- GTX04423

INSM1 antibody [MSVA-456R] HistoMAX

 

Go to Normal Tissue Gallery
  
 Go back to product page
  

Go to HistoMAX page

 

Adrenal gland – INSM1 negative adrenocortical adenoma.

Adrenal gland – INSM1 negative adrenocortical carcinoma.

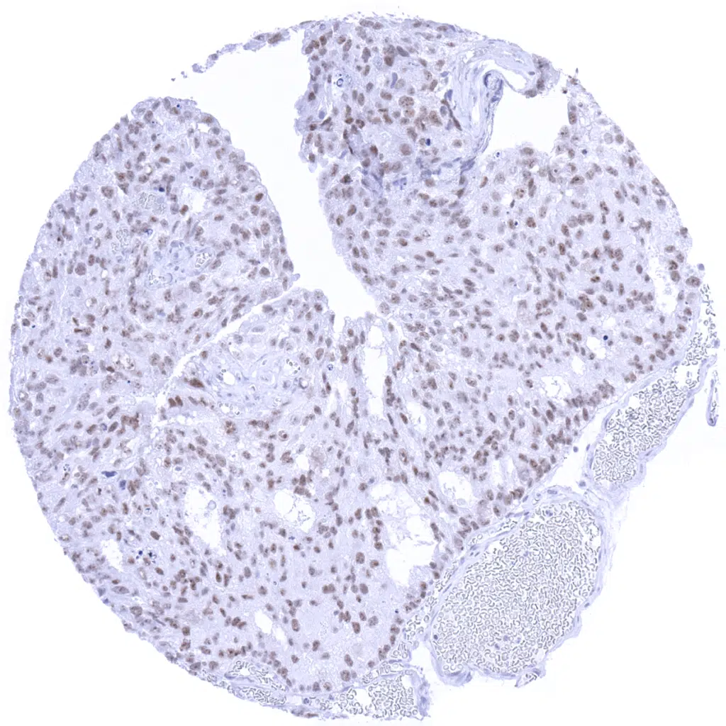
Adrenal gland – Pheochromocytoma showing moderate to strong INSM1 immunostaining in tumor cells.

Colon – Colorectal adenocarcinoma showing moderate to strong INSM1 immunostaining in a fraction of cells (30-50%).

       

Esophagus – INSM1 negative adenocarcinoma.

Esophagus – Squamous cell carcinoma showing weak INSM1 immunostaining in a small fraction of cells (<5%).

Ileum – Neuroendocrine tumor showing moderate INSM1 immunostaining in tumor cells.

Kidney – INSM1 negative clear cell renal cell carcinoma.

       

Kidney – INSM1 negative papillary renal cell carcinoma.

Larynx – INSM1 negative squamous cell carcinoma.

Liver – INSM1 negative cholangiocellular carcinoma.

Liver – INSM1 negative hepatocellular carcinoma.

       

Lung – INSM1 negative adenocarcinoma.

Lung – Neuroendocrine tumor with strong INSM1 positivity of tumor cells.

Lung – Small cell neuroendocrine carcinoma showing strong INSM1 immunostaining in most tumor cells.

Lung – Small cell neuroendocrine carcinoma showing strong INSM1 immunostaining in most tumor cells.

       

Ovary – Endomeroid carcinoma showing a weak to moderate INSM1 immunostaining in tumor cells.

Pancreas – INSM1 negative acinar cell carcinoma.

Pancreas – Neuroendocrine tumor showing strong INSM1 immunostaining in tumor cells.

Pharynx – Squamous cell carcinoma showing moderate INSM1 immunostaining in a fraction of tumor cells (20-30%).

       

Pharynx – Squamous cell carcinoma showing moderate to strong INSM1 immunostaining in a fraction of tumor cells (30-50%).

Prostate – INSM1 negative adenocarcinoma (Gleason 3+3=6).

Prostate – Small cell neuroendocrine carcinoma exhibiting strong INSM1 immunostaining in tumor cells.

Salivary gland – INSM1 negative pleomorphic adenoma.

       

Skin – INSM1 negative malignant melanoma.

Skin – Merkel cell carcinoma with strong INSM1 positivity of tumor cells.

Stomach – INSM1 negative gastric adenocarcinoma.

Stomach – INSM1 negative gastrointestinal stromal tumor (GIST).

       

Testis – INSM1 negative seminoma.

Thymus – INSM1 negative thymoma containing some residual INSM1 positive thymic epithelial cells.

Thyroid – INSM1 negative papillary carcinoma.

Thyroid – Medullary carcinoma showing moderate to strong INSM1 immunostaining. Adjacent normal thyroid follicles are INSM1 negative.

       

Urinary bladder – INSM1 negative muscle-invasive urothelial carcinoma.

Urinary bladder – Small cell neuroendocrine carcinoma exhibiting strong INSM1 positivity in tumor cells.

Uterus – INSM1 negative endometroid carcinoma of the endometrium.

     

 

| TOP |