Cancer Tissue Gallery- GTX04415

Inhibin alpha antibody [MSVA-561R] HistoMAX

 

Go to Normal Tissue Gallery
  
 Go back to product page
  

Go to HistoMAX page

 

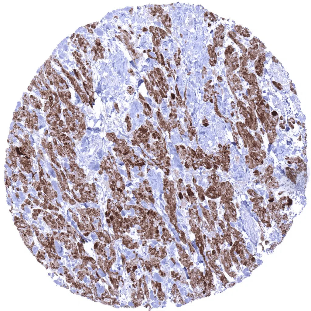
Adrenal gland – Strong INHA immunostaining in all cells of an adrenocortical adenoma.

Adrenal gland – Strong INHA immunostaining in an adrenocortical carcinoma. Immunostaining is reduced in an area of necrosis.

Adrenal gland – Strong INHA immunostaining in most cells of an adrenocortical adenoma. A fraction of cells do not stain, however (mosaic pattern).

Adrenal gland – Weak to moderate INHA immunostaining about 70% of the cells of an adrenocortical adenoma.

       

Breast – INHA negative invasive breast cancer of no special type (NST).

Colon – Colorectal adenocarcinoma with focal weak to moderat INHA immunostaining (<5% of cells).

Esophagus – INHA negative esophageal squamous cell carcinoma.

Kidney – INHA negative clear cell renal cell carcinoma.

       

Kidney – Moderate to strong INHA immunostaining in a clear cell renal cell carcinoma.

Larynx – INHA negative squamous cell carcinoma.

Liver – Moderate to strong INHA immunostaining in about 50% of the tumor cells of a cholangiocellular carcinoma.

Lung – Strong INHA positivity in an adenocarcinoma of the lung.

       

Ovary – INHA negative serous high-grade carcinoma. Scattered stroma cells show strong INHA positivity.

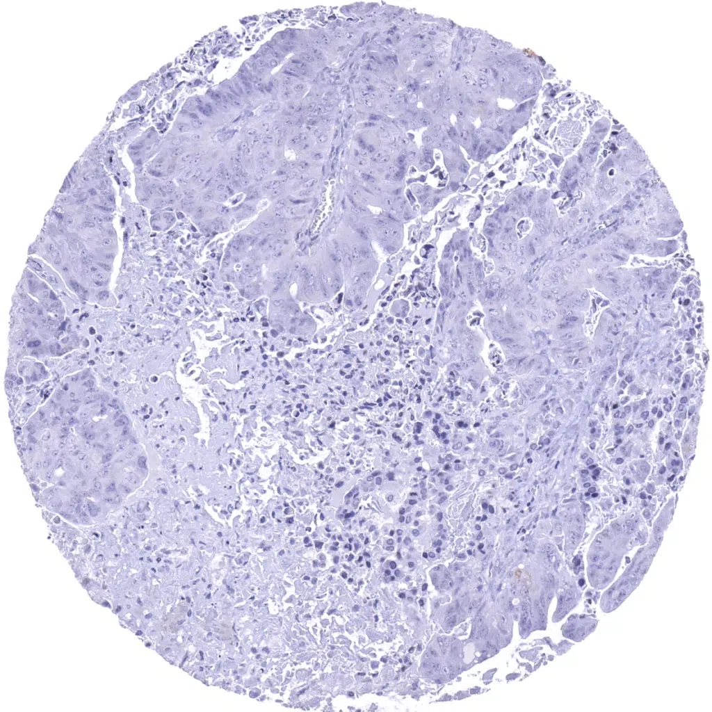
Pancreas – INHA negative adenocarcinoma.

Pancreas – Moderate to strong INHA immunostaining in a pancreatic acinar cell carcinoma.

Pancreas – Strong INHA immunostaining in the vast majority of the tumor cells of a neuroendocrine tumor.

       

Penis – INHA positivity of variable intensity (mosaic pattern) in a penile squamous cell carcinoma.

Prostate – INHA negative prostatic adenocarcinoma (Gleason 3+3=6).

Skin – INHA negative Merkel cell carcinoma.

Soft tissues – Granular cell tumor with strong INHA immunostaining.

       

Stomach – INHA negative gastric adenocarcinoma.

Testis – INHA negative seminoma.

Thyroid – INHA negative papillary carcinoma.

Urinary bladder – INHA negative muscle-invasive urothelial carcinoma.

       

Urinary bladder – Muscle-invasive urothelial carcinoma with focal strong INHA immunostaining (<5% of cells).

 

 

| TOP |