Normal Tissue Gallery- GTX04415

Inhibin alpha antibody [MSVA-561R] HistoMAX

 

Go to Cancer Tissue Gallery
  
 Go back to product page
  

Go to HistoMAX page

 

Adrenal gland – A moderate to strong inhibin immunostaining occurs at variable intensity (weak to strong) in the adrenal cortex.

Aorta, media

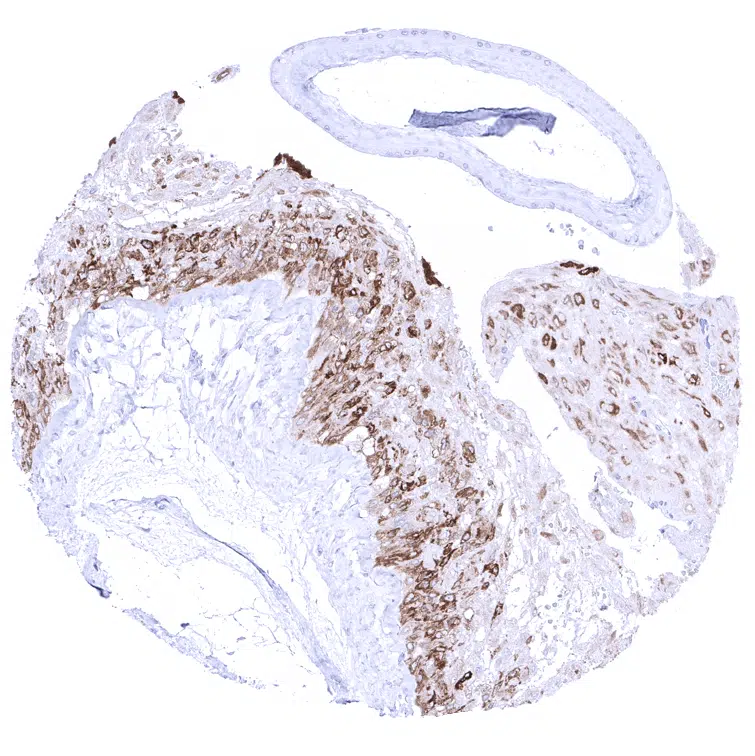
Appendix, mucosa

Appendix, muscular wall

       

Bone marrow

Breast

Bronchus, mucosa

Cerebellum (molecular layer, Purkinje cell layer, granule cell layer, white matter)

       

Cerebellum (white matter)

Cerebrum, grey matter

Cerebrum, white matter

Colon descendens, mucosa

       

Colon descendens, muscular wall

Duodenum, Brunner gland

Duodenum, mucosa

Ectocervix

       

Endocervix

Endometrium, proliferation

Endometrium, secretion

Epididymis

       

Esophagus, squamous epithelium

Fallopian tube, mucosa

Fat

Gallbladder, epithelium

       

Heart

Ileum, mucosa

Kidney, cortex

Kidney, medulla

       

Kidney, pelvis, muscular wall

Liver

Lung

Lymph node

       

Ovary, corpus luteum – A moderate inhibin alpha immunostaining is seen in granulosa cells surrounding primordial follicles in the ovary.

Ovary, corpus luteum – The strongest inhibin alpha immunostaining among normal tissues is seen in the corpus luteum of the ovary.

Ovary, stroma – In the ovarian stroma, inhibibin alpha positive granulosa cells and theca interna cells can be seen.

Pancreas – Occasionally, a weak to moderate INHA immunostaining can be seen in few pancreatic acinar cells.

       

Pancreas – Occasionally, a weak to moderate INHA immunostaining can be seen in pancreatic acinar cell.

Pancreas – INHA immunostaining is usually absent in the pancreas.

Pancreas

Parathyroid

       

Parotid gland

Pituitary gland, anterior lobe

Pituitary gland, posterior lobe

Pregnant uterus (decidua) – Decidua cells in the uterus of pregnancy can show a weak to moderate inhibin alpha positivity.

       

Placenta early, decidua

Placenta, early – A strong inhibin immunostaining is seen in the cyto- and syncytiotrophoblast of the placenta of the first trimenon.

Placenta, mature – Inhibin immunostaining is is only weak in trophoblastic cells of the mature placenta.

placenta (amnion and chorion) – In the placenta, chorion cells show a moderate inhibin immunostaining.

       

Prostate

Rectum, mucosa

Seminal vesicle

Sinus paranasales

       

Skin

Spleen

Stomach, antrum

Stomach, corpus

       

Striated muscle

Testis – In the testis, a strong inhibin alpha positivity occurs in in Sertoli and Leydig cells.

Thymus

Thyroid gland

       

Tonsil, surface epithelium

Tonsil

Urinary bladder, urothelium

Uterus, myometrium

       

 

| TOP |