Cancer Tissue Gallery- GTX04968

MCM2 antibody [MSVA-502R] HistoMAX™

 

Go to Normal Tissue Gallery
  
 Go back to product page
  

Go to HistoMAX page

 

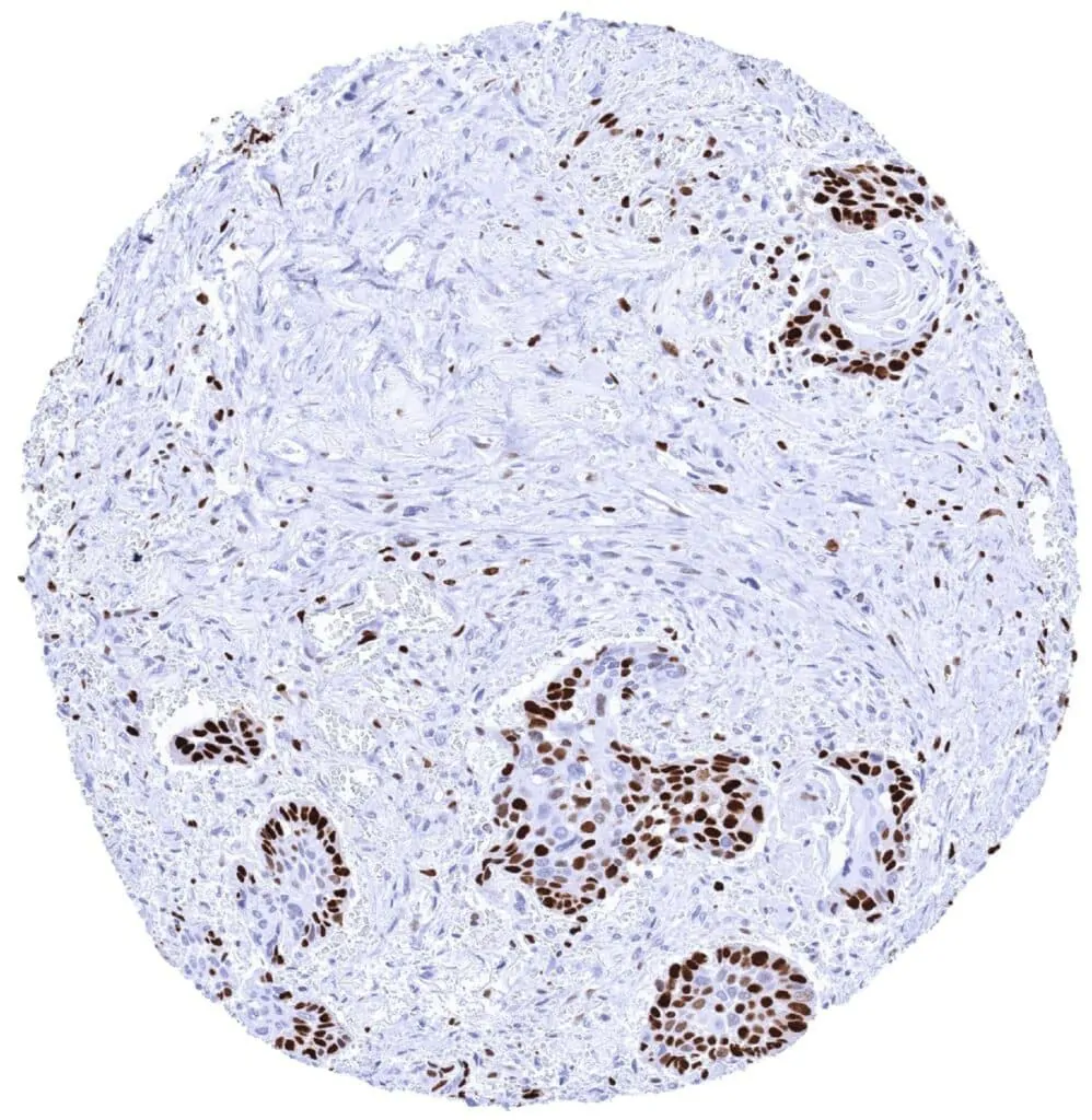
Breast – Invasive breast cancer of no special type (NST) with variable MCM2 staining of a fraction of tumor cells

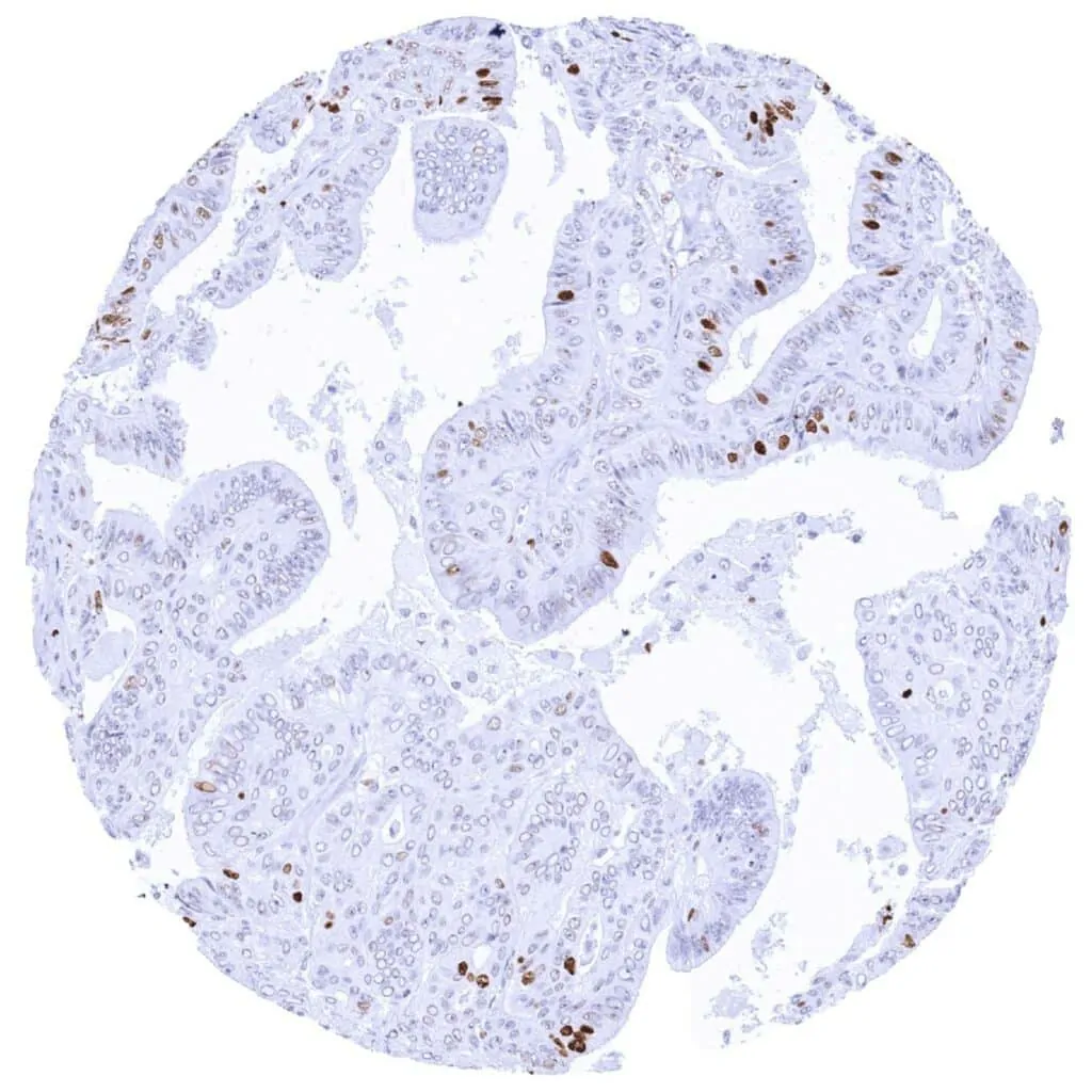
Colon – Colorectal adenocarcinoma with moderate to strong MCM2 staining of most tumor cells

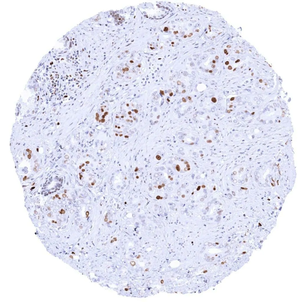
Esophagus – Adenocarcinoma with moderate to strong MCM2 positivity of a fraction of tumor cells

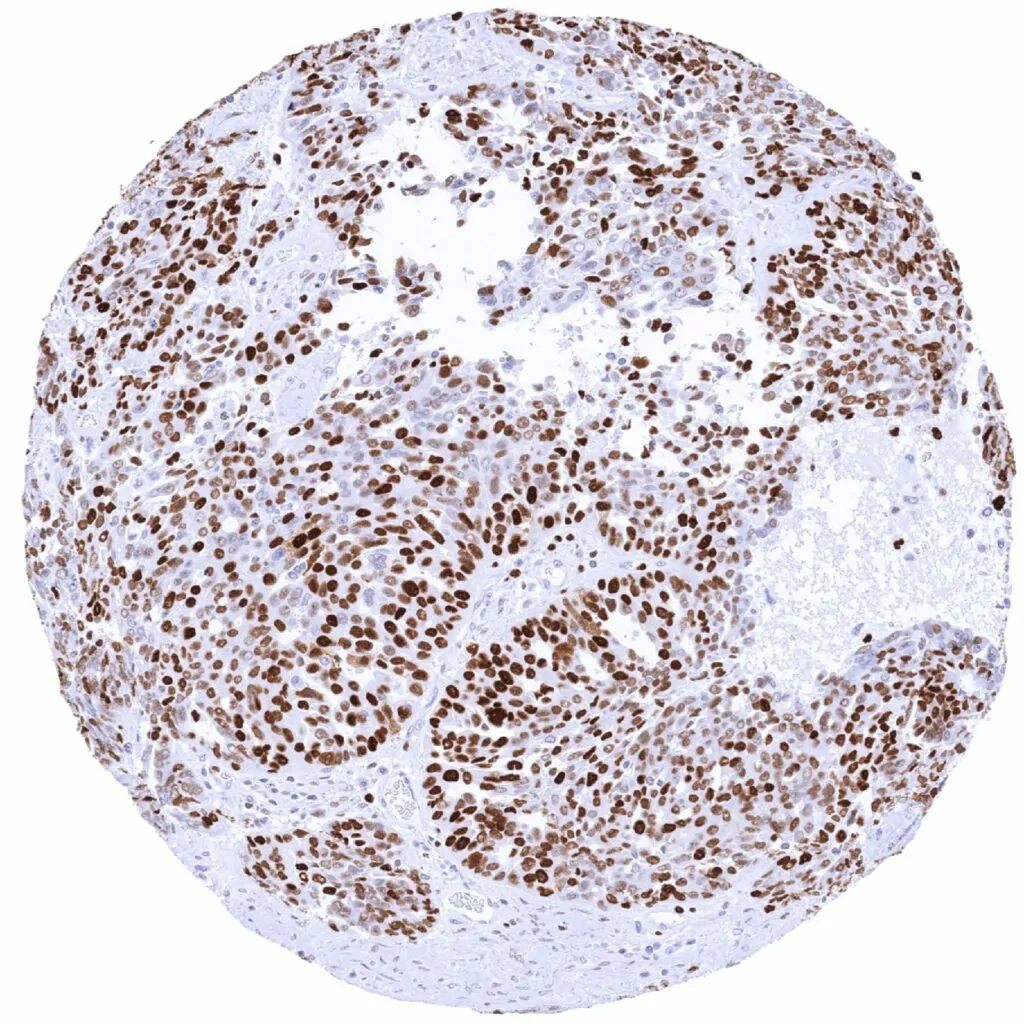
Esophagus – Squamous cell carcinoma with strong MCM2 immunostaining of the majority of tumor cells

       

Esophagus – Squamous cell carcinoma with strong MCM2 staining of peripheral tumor cells

Kidney – Clear cell renal cell carcinoma with variable MCM2 positivity of a fraction of tumor cells

Kidney – Oncocytoma with variable MCM2 staining of the majority of tumor cells

Kidney – Papillary renal cell carcinoma with with variable MCM2 staining of a fraction of tumor cells

       

Oral cavity – Squamous cell carcinoma showing strong MCM2 positivity of a large fraction of tumor cells

Ovary – Endometroid carcinoma with variable MCM2 staining of a subset of tumor cells

Ovary – Serous high-grade carcinoma with variable MCM2 staining of most tumor cells

Pharynx – Squamous cell carcinoma with strong MCM2 staining of almost all tumor cells

       

Prostate – Adenocarcinoma (Gleason 3+3=6) with moderate to strong MCM2 staining of a significant fraction of tumor cells

Prostate – Adenocarcinoma (Gleason 3+3=6) with weak to moderate MCM2 positivity of fewtumor cells

Thyroid – Follicular adenoma with variable MCM2 staining of a fraction of tumor cells

Thyroid – Papillary cancer with variable MCM2 staining of a fraction of tumor cells

       

Urinary bladder – Muscle-invasive urothelial carcinoma with strong MCM2 staining of all tumor cells

Urinary bladder – Non-invasive urothelial carcinoma (low grade, pTaG2) with variable MCM2 staining of a small fraction of tumor cells

   

 

| TOP |