Normal Tissue Gallery- GTX04968

MCM2 antibody [MSVA-502R] HistoMAX™

 

Go to Cancer Tissue Gallery
  
 Go back to product page
  

Go to HistoMAX page

 

Adrenal gland – A variable MCM2 staining occurs in a small fraction of adrenocortical cells

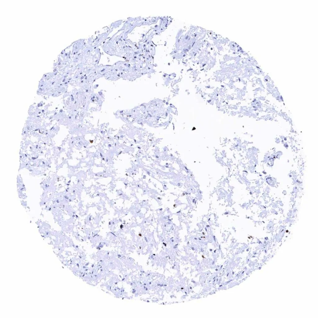
Aorta, media

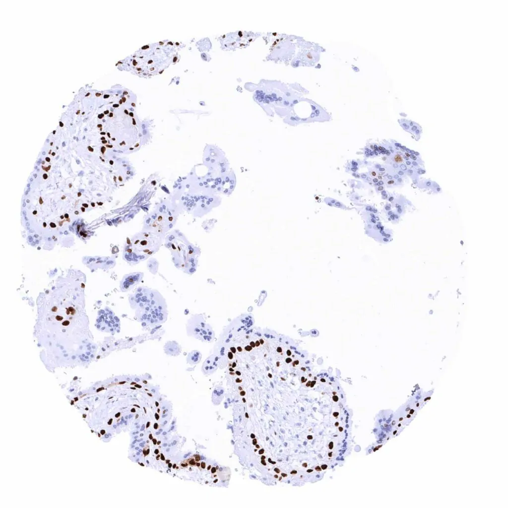
Appendix, mucosa – MCM2 staining predominates in in epithelial cells of the crypts. Some lymphocytes are also positive

Appendix, muscular wall – Faint MCM2 staining in some muscle cells

       

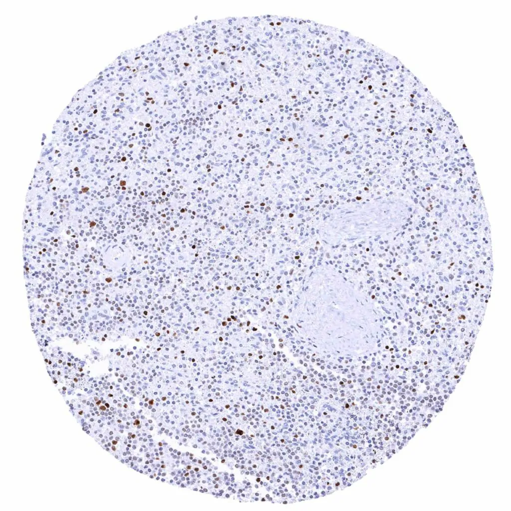
Bone marrow – Moderate to strong MCM2 staining in most bone marrow cells

Breast – Strong MCM2 staining of almost all luminal cells

Bronchus, mucosa – Significant MCM2 staining in a fraction of (mostly basal-suprabasal) respiratory epithelial cells

Cerebellum, cortex (Stratum moleculare)

       

Cerebellum, grey (Stratum neuronorum)

Cerebrum, grey

Cerebrum, white

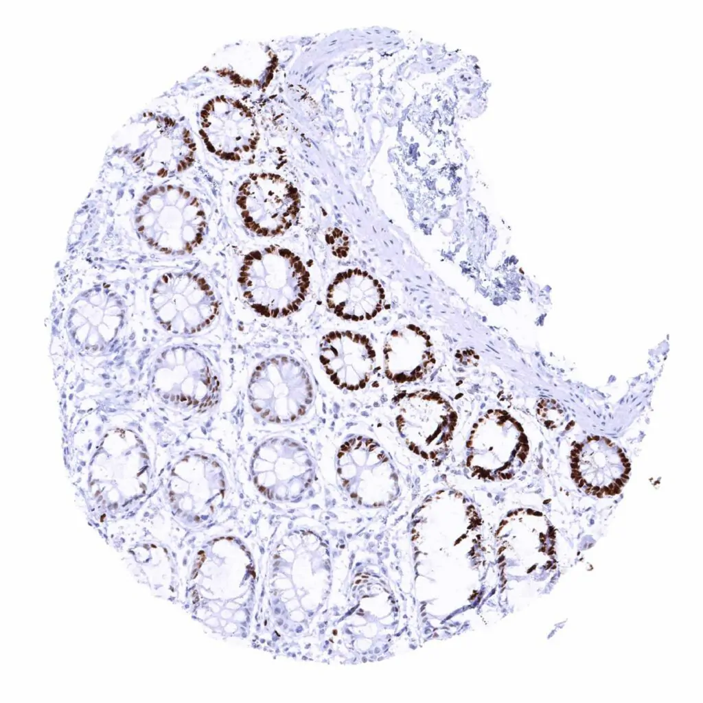
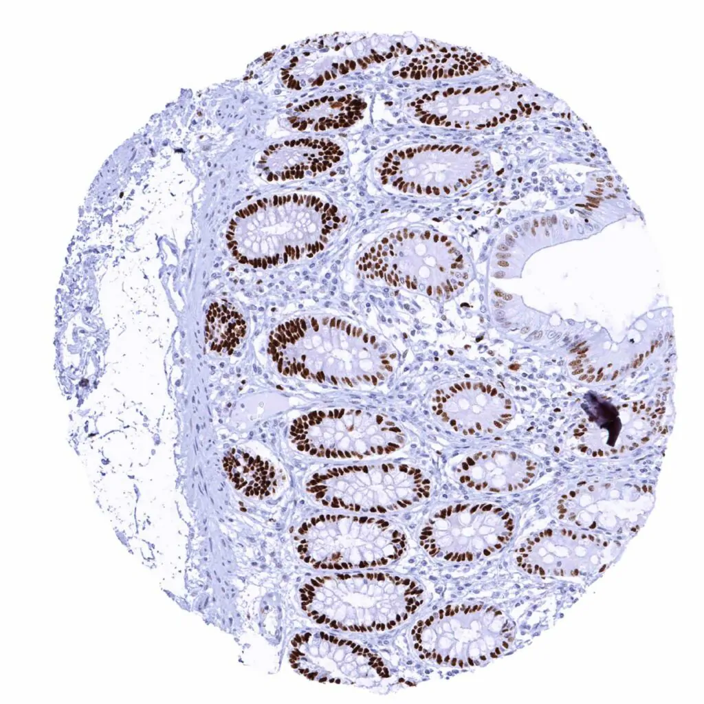
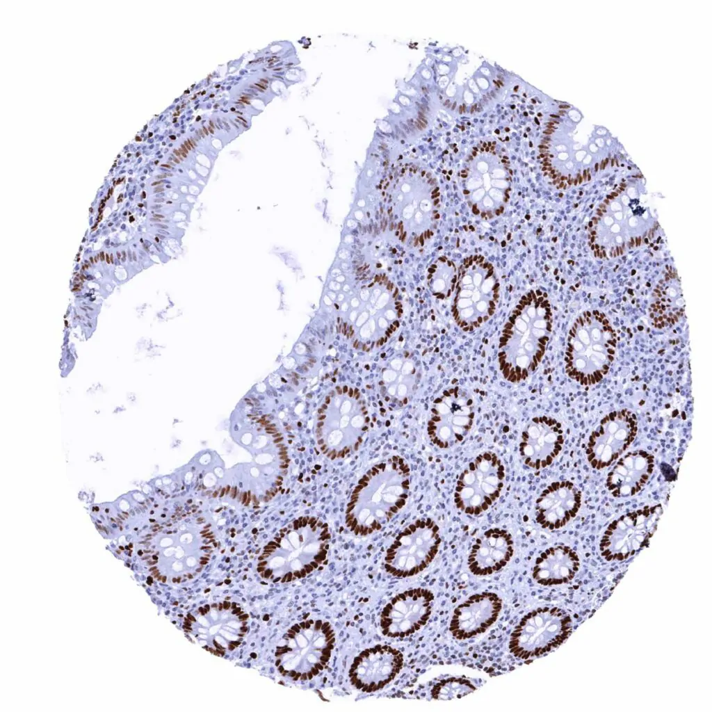
Colon descendens, mucosa – MCM2 staining predominates in epithelial cells of the crypts

       

Colon descendens, muscular wall – Faint MCM2 staining in some muscle cells

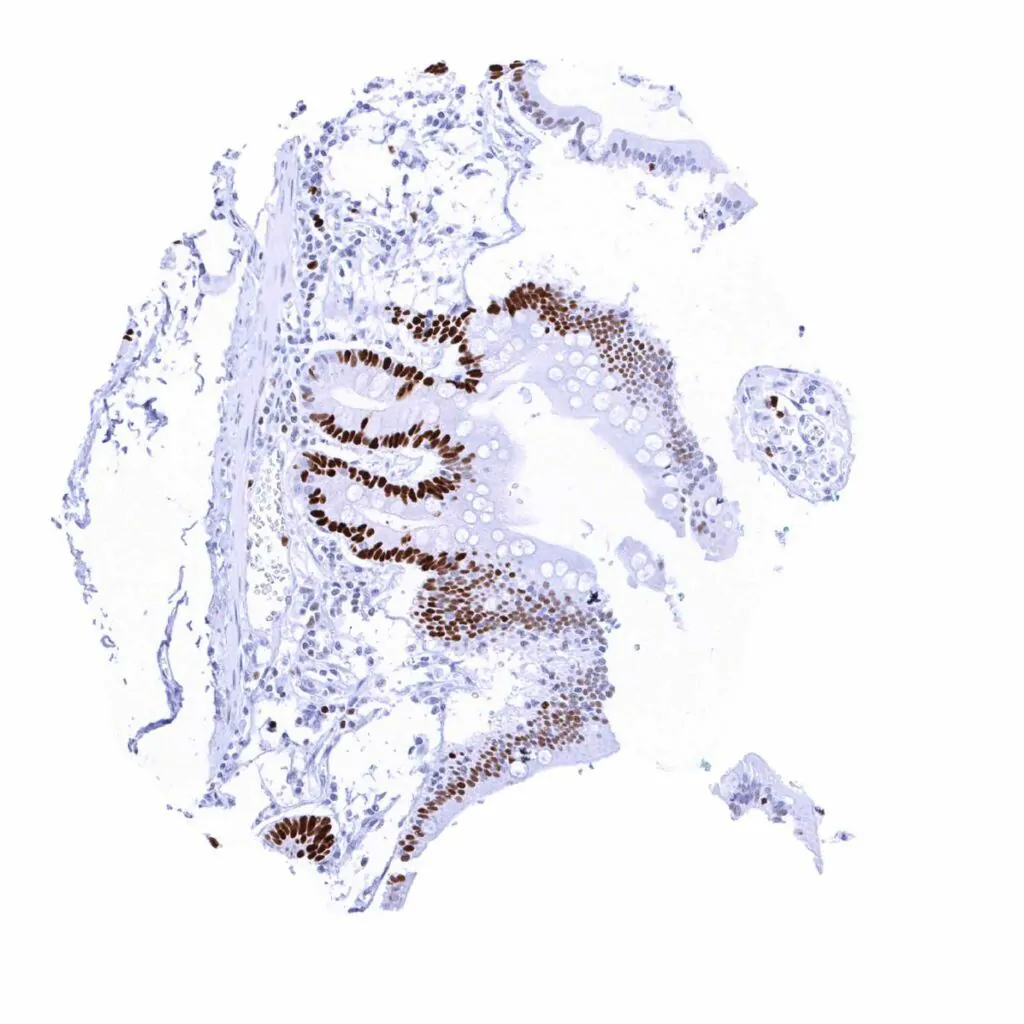
Duodenum, Brunner gland – Weak MCM2 staining in a fraction of epithelial cells

Duodenum, mucosa – MCM2 staining predominates in epithelial cells of the crypts

Epididymis – Significant MCM2 staining in a fraction of epithelial cells

       

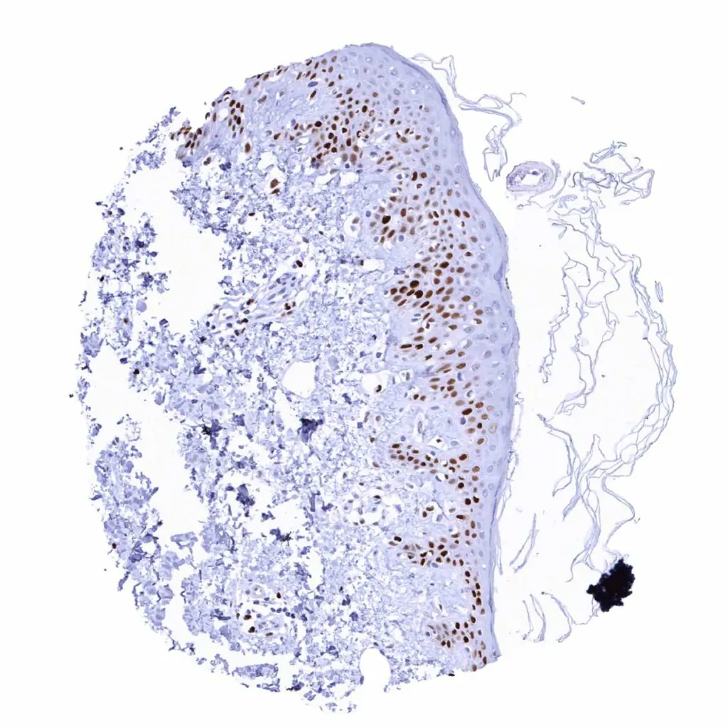
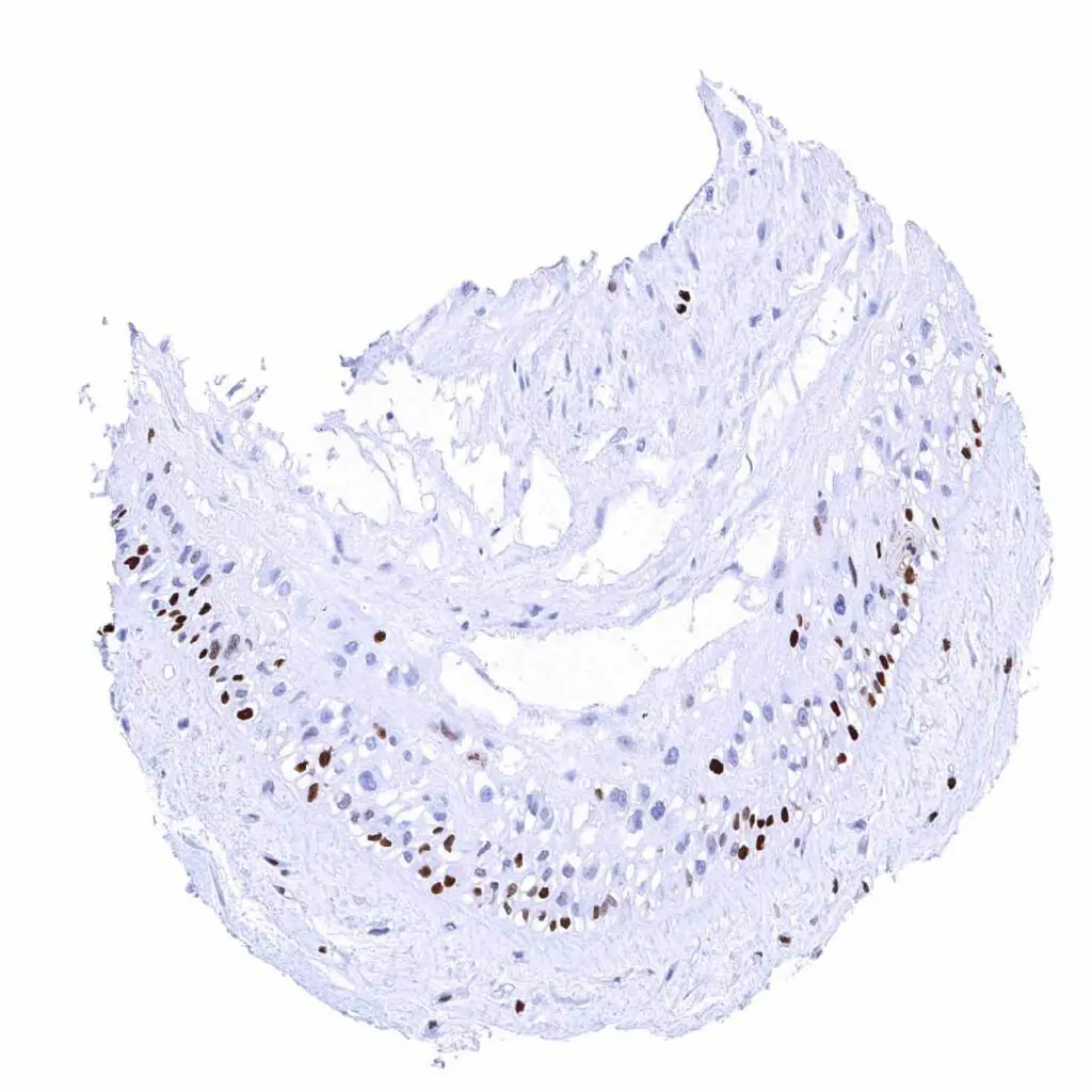
Esophagus, squamous epithelium – Esophageal squamous epithelium shows a moderate to strong MCM2 staining of suprabasal and basal cells

Fallopian tube, mucosa – Strong MCM2 staining of a significant subset of epithelial cells

Fat

Gallbladder, epithelium – A variable number of MCM2 positive cells can be seen in the gallbladder epithelium

       

Heart muscle – Faint MCM2 staining in some muscle cells

Ileum, mucosa – MCM2 staining predominates in epithelial cells of the crypts

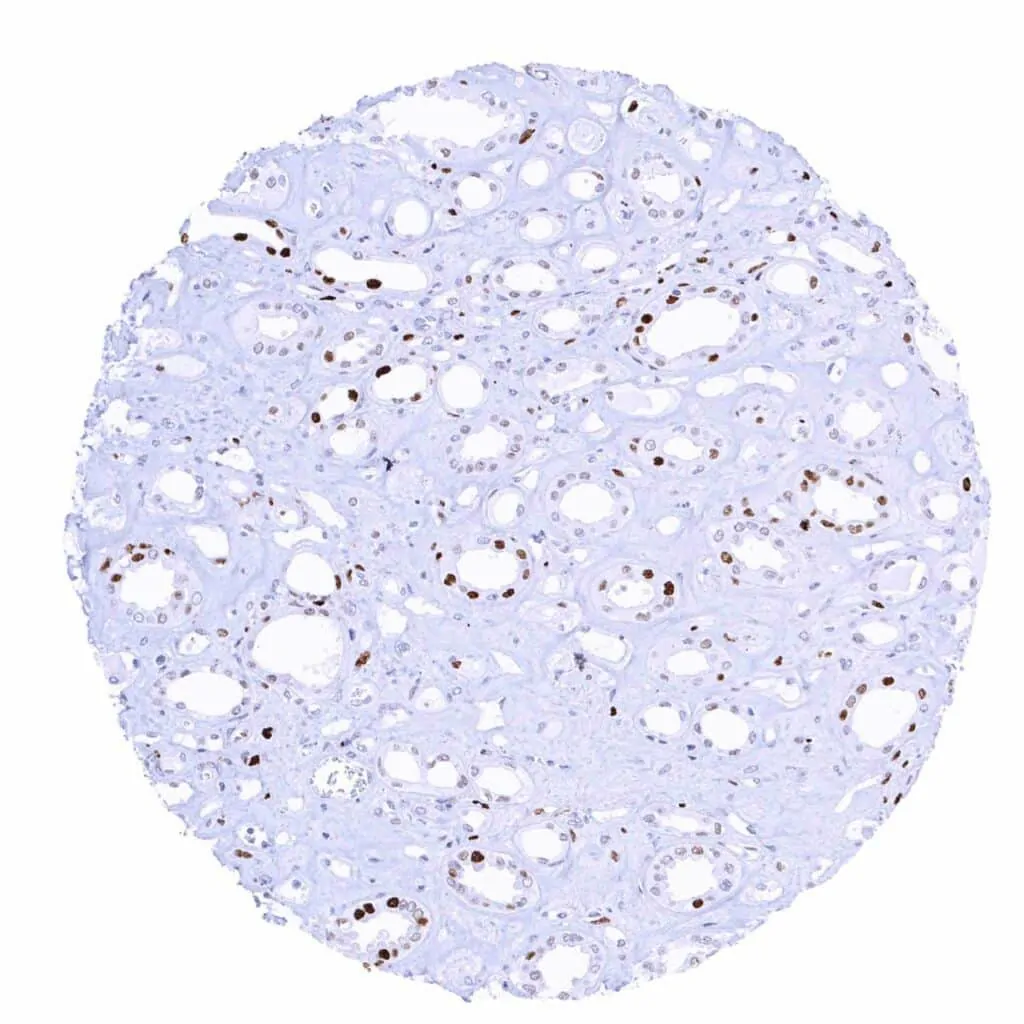
Kidney, cortex – Few epithelial cells are MCM2 positive

Kidney, medulla – Significant MCM2 staining in a fraction of collecting duct cells

       

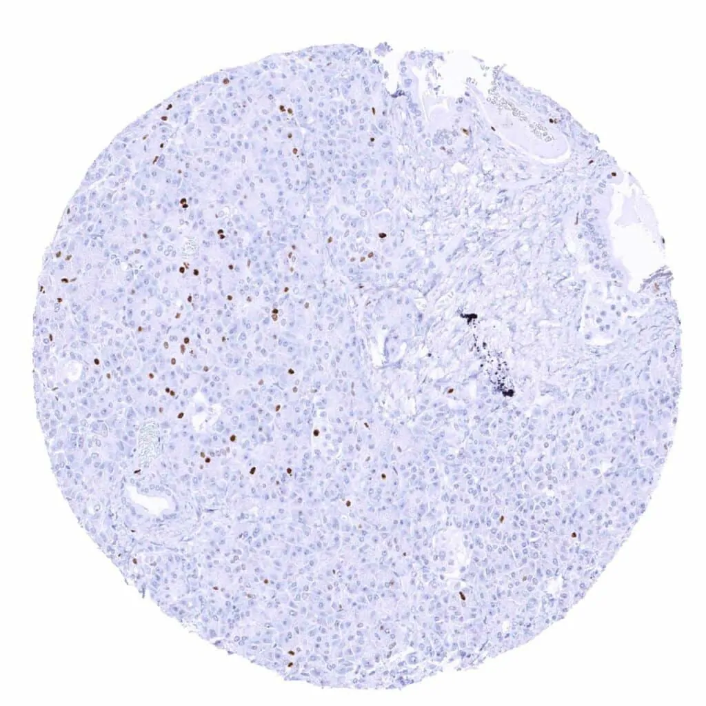
Liver – MCM2 staining of variable intensity in a small fraction of hepatocytes

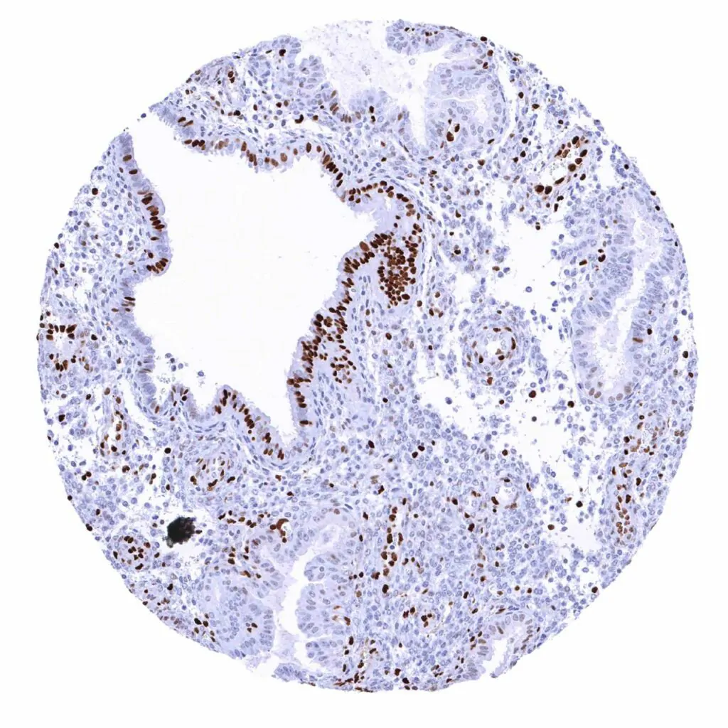
Lung – Strong MCM2 staining of a large subset of pneumocytes

Lymph node – Many lymphocytes are MCM2 positive. Strongest MCM2 staining occurs in most cells of germinal centres and in scattered individual cells of the interfollicular zone

Ovary (corpus luteum) – Weak MCM2 staining of corpus luteum cells

       

Ovary (follicular cyst) – Strong MCM2 staining of a large fraction of granulosa and theca interna cells

Ovary, stroma – Weak to moderate MCM2 staining of stroma cells

Pancreas – Moderate to strong MCM2 staining in a small fraction of pancreatic epithelial cells

Parathyroid gland – MCM2 staining in a small fraction of epithelial cells

       

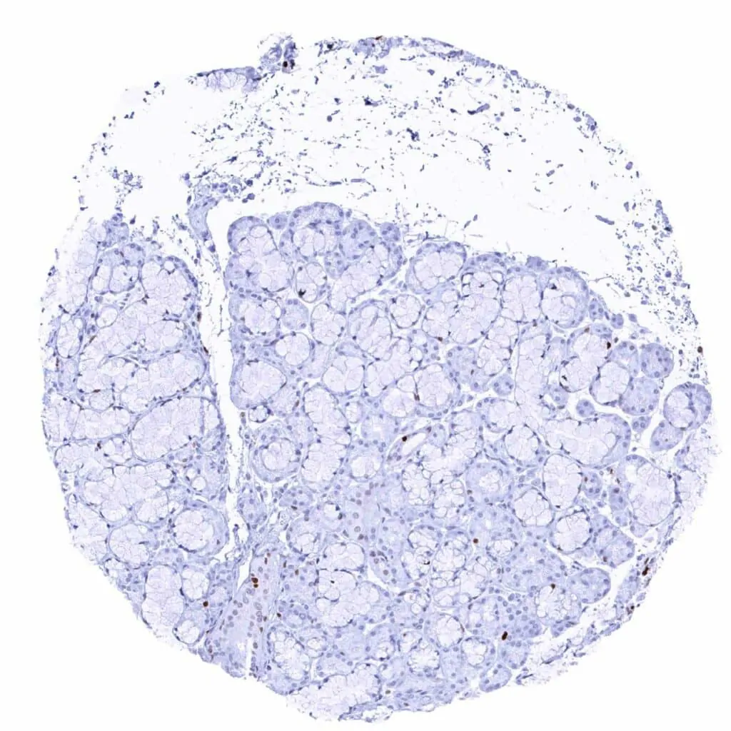
Parotid gland – Weak to moderate MCM2 staining in a fraction of epithelial cells

Pituitary, posterior lobe- infundibulum – Weak MCM2 staining in a small fraction of cells

Pituitary, posterior lobe- infundibulum – Weak MCM2 staining in a small fraction of epithelial cells

Placenta (amnion) – Absence of MCM2 staining in amnion cells

       

Placenta (chorion) – Moderate to strong MCM2 staining in a fraction of chorion cells

Placenta, early – Strong MCM2 staining of a large fraction of cytotrophoblast cells

Placenta, mature – Strong MCM2 staining of a fraction of cytotrophoblast cells

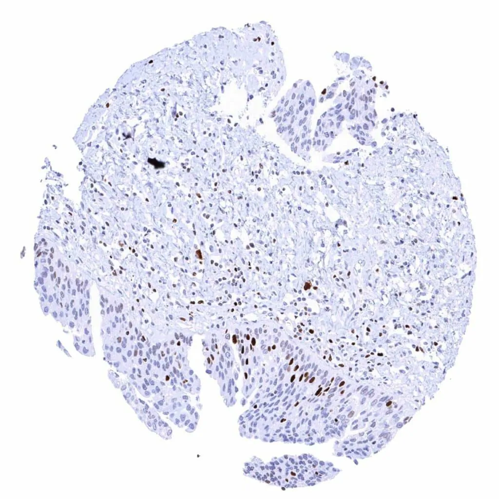
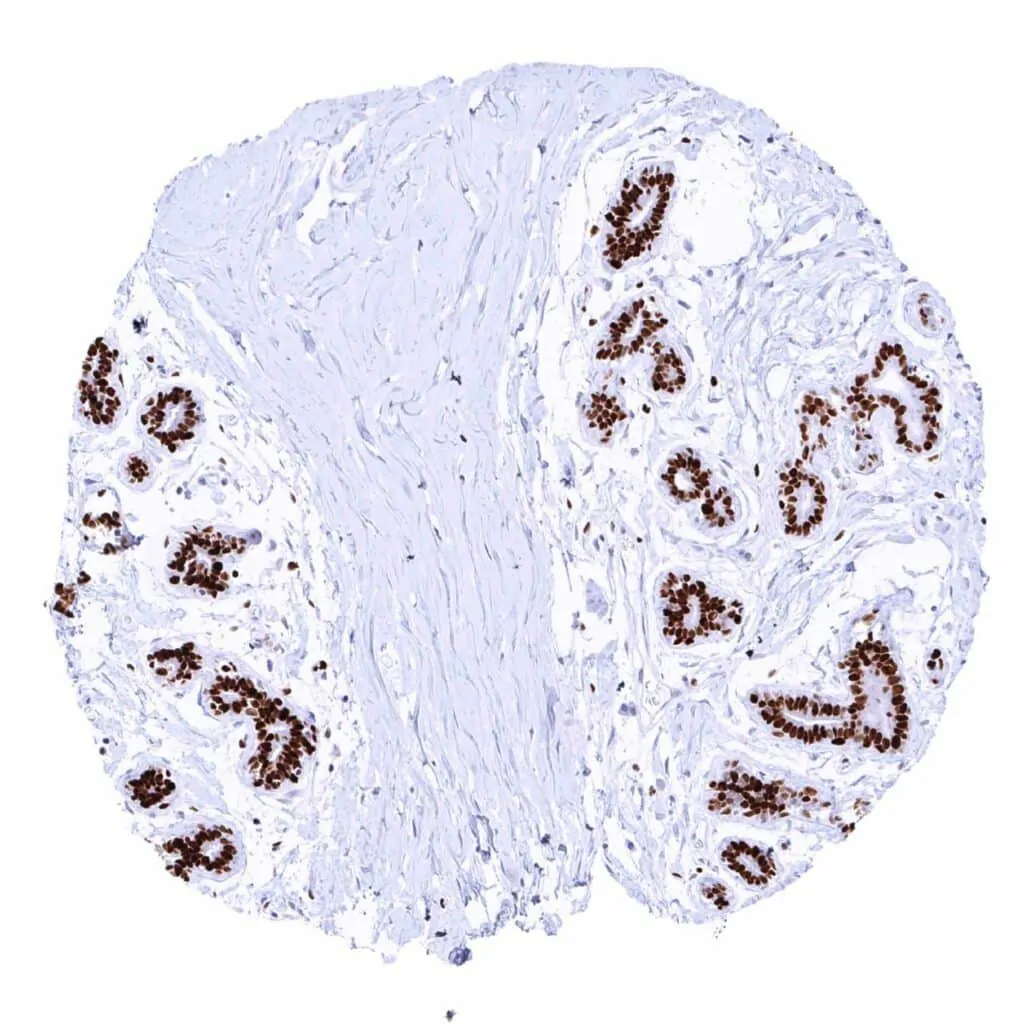
Prostate – MCM2 staining is more common in basal than in acinar epithelial cells

       

Rectum, mucosa – The strongest MCM2 staining occurs in the deepest epithelial cells of the crypts

Seminal vesicle – MCM2 staining of variable intensity in a fraction of epithelial cells

Sinus paranasales – Significant MCM2 staining in a fraction of (mostly suprabasal) respiratory epithelial cells

Skeletal muscle – Significant MCM2 staining in a large fraction of skeletal muscle cells

       

Skin – Suprabasal and basal cell layers (weaker) of the squamous epithelium show a distinct MCM2 positivity

Skin, hairfollicel and sebaceous glands – Intense MCM2 positivity of peripheral germinative cells

Spleen – A strong MCM2 positivity occurs in scattered cells of all compartments

Stomach, antrum – Strong MCM2 immunostaining in many mucous neck cells

       

Stomach, corpus – Strong MCM2 immunostaining in many mucous neck cells

Sublingual gland – Weak MCM2 staining in a fraction of epithelial cells

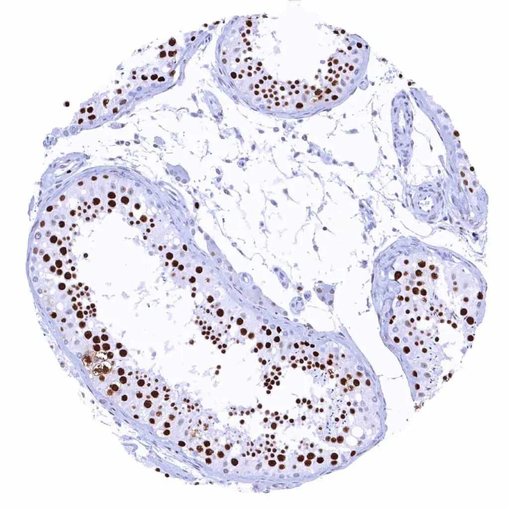
Testis – Most spermatogonia and spermatocytes show strong MCM2 positivity

Thymus – Strong MCM2 positivity of most cells of the thymic cortex

       

Thyroid gland – Weak to moderate MCM2 staining of a small fraction of follicular cells

Tonsil – A large fraction of lymphocytes is at least weakly MCM2 positive. In the tonsil crypts, many epithelial cells (basal-suprabasal) are MCM2 positive

Tonsil – Many lymphocytes are MCM2 positive. Strongest MCM2 staining occurs in most cells of germinal centres and in scattered individual cells of the interfollicular zone

Urinary bladder, muscular wall – Faint MCM2 staining in some muscle cells

       

Urinary bladder, urothelium – Some (suprabasal) urothelial cells show a MCM2 staining

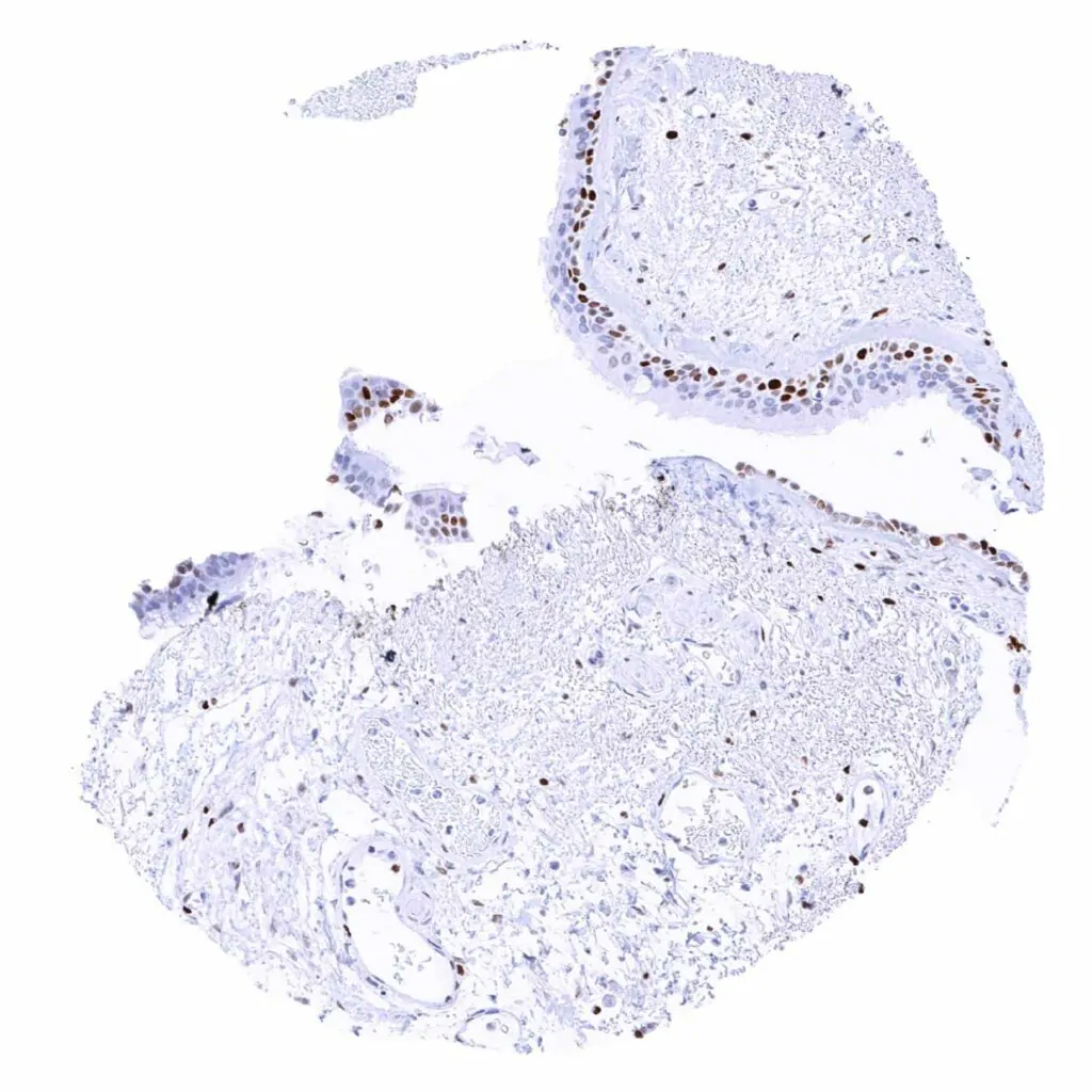
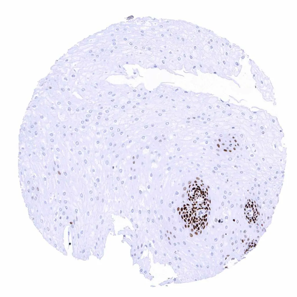
Uterus, ectocervix – The squamous epithelium shows a moderate MCM2 immunostaining of (mostly) suprabasal cells

Uterus, endocervix – Only few epithelial cells show MCM2 staining

Uterus, endometrium (pregnancy)

       

Uterus, endometrium (proliferation) – Almost all epithelial cells and a fraction of stromal cells are MCM2 positive

Uterus, endometrium (secretion) – The fraction of MCM2 positive epithelial cells is lower in the secretion phase

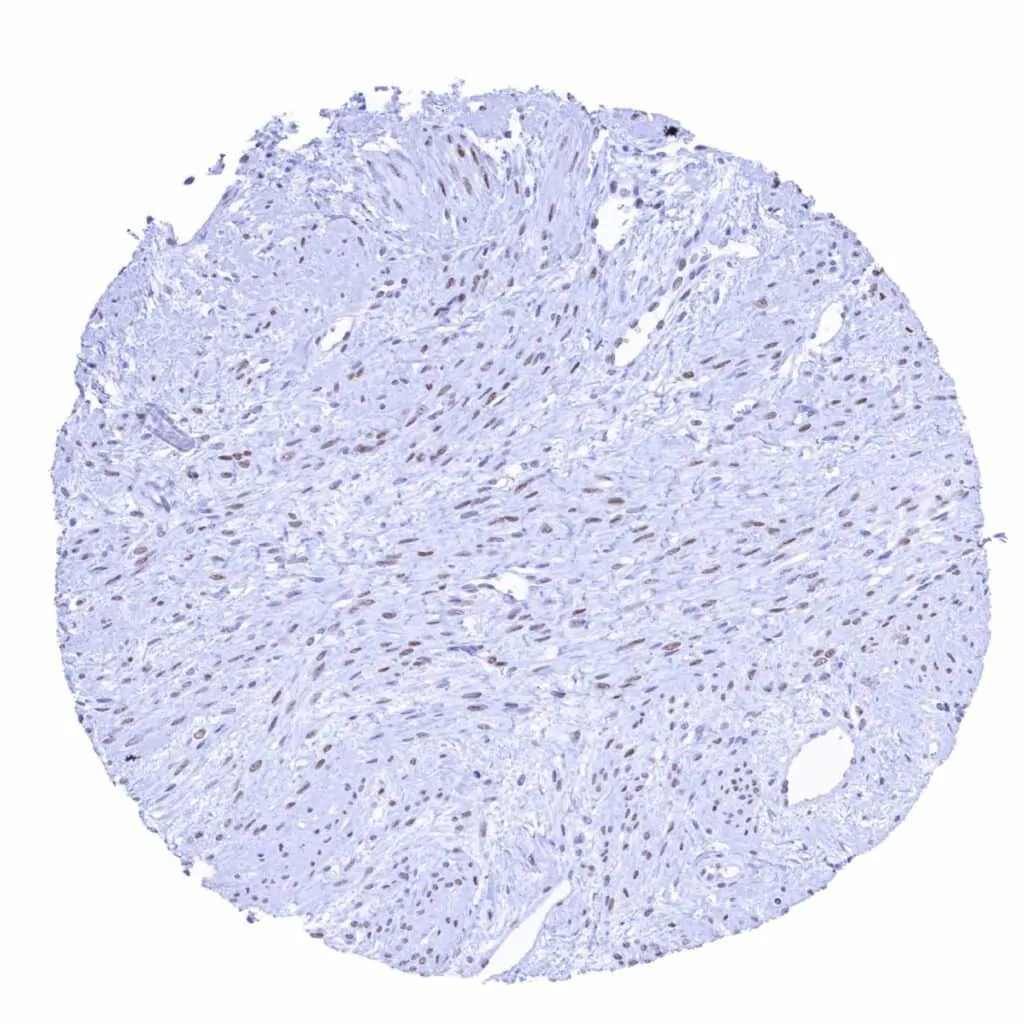
Uterus, myometrium – Weak MCM2 staining in some muscle cells

     

 

| TOP |