Cancer Tissue Gallery- GTX04416

MSH6 antibody [MSVA-906R] HistoMAX

 

Go to Normal Tissue Gallery
  
 Go back to product page
  

Go to HistoMAX page

 

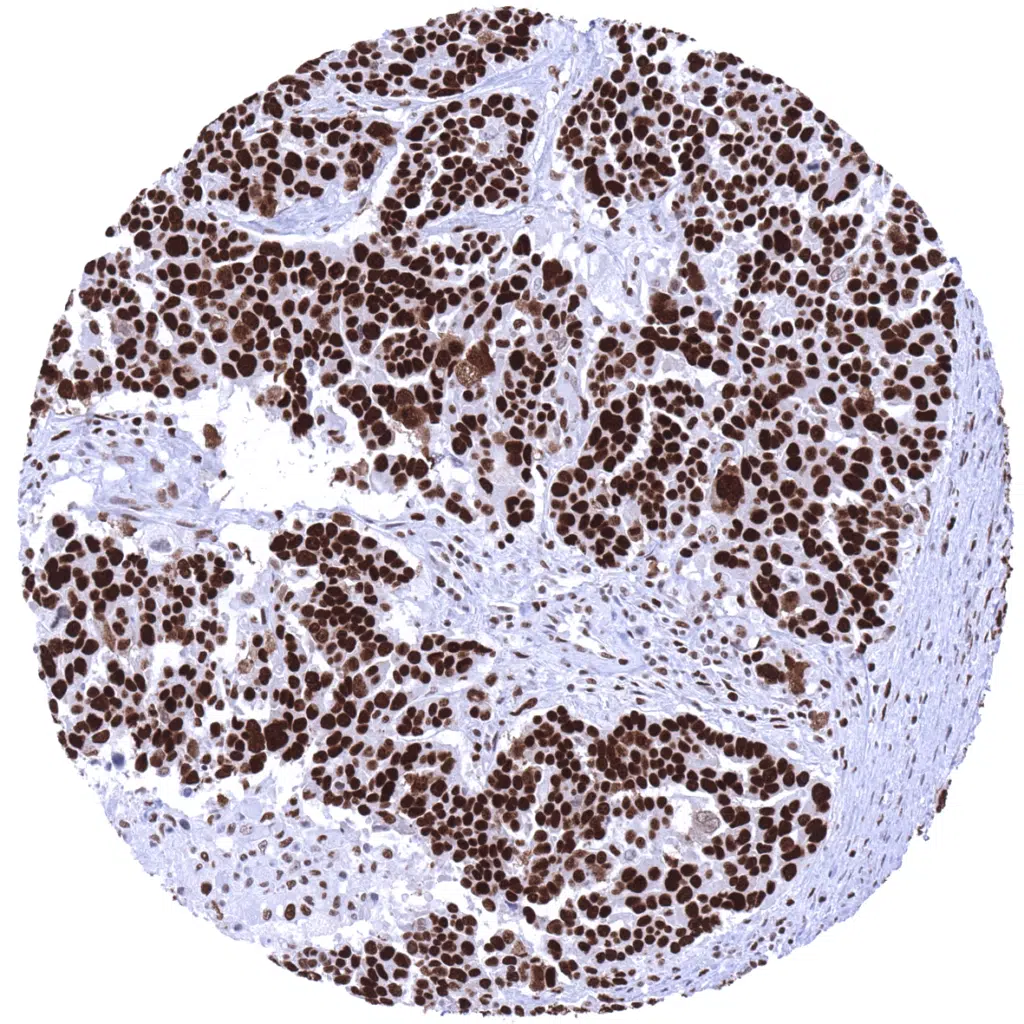
Breast – Invasive carcinoma of no special type (NST) showing strong MSH6 immunostaining in cancer cells.

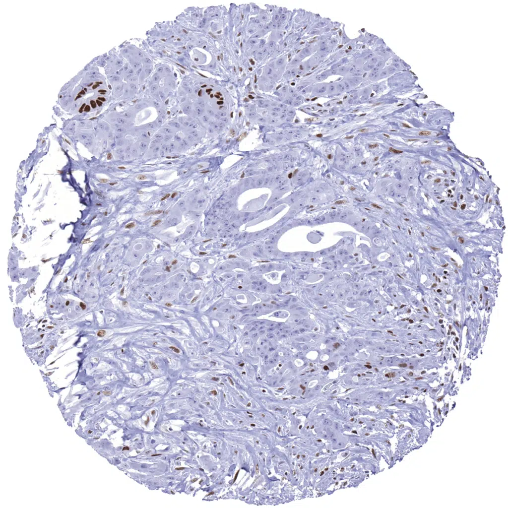
Breast – Invasive carcinoma of no special type (NST) with variable (weak to strong) MSH6 immunostaining in cancer cells and moderate staining in stromal cells.

Breast – Invasive lobular breast cancer with strong MSH6 immunostaining in cancer cells. Stromal cells and adjacent normal glands also show moderate to strong MSH6 positivity.

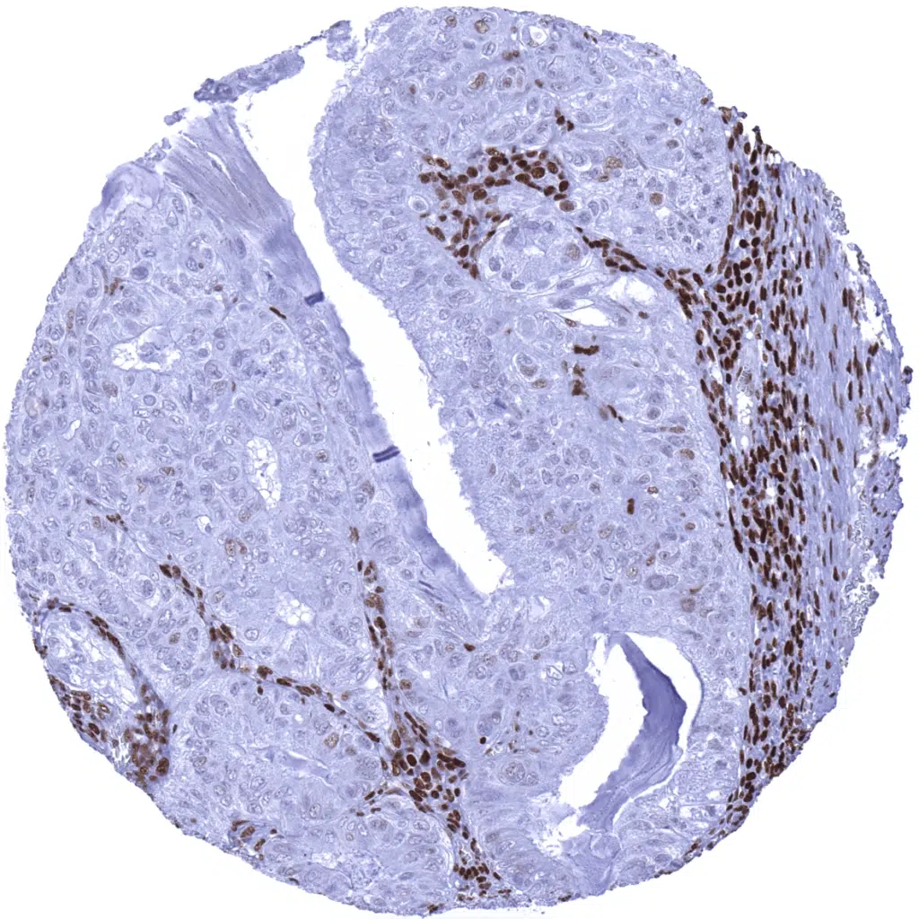
Colon – Colorectal adenocarcinoma lacking MSH6 immunostaining in cancer cells while a moderate intensity stining is seen in stromal and inflammatory cells.

       

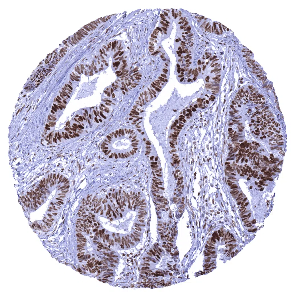
Colon – Colorectal adenocarcinoma showing strong MSH6 positivity in cancer cells and moderate staining in stromal cells.

Colon – Colorectal adenocarcinoma with moderate to strong MSH6 immunostaining in cancer cells and weak to moderate staining in stromal cells.

Colon – Colorectal adenocarcinoma with strong MSH6 immunostaining in cancer cells and in stromal cells.

Colon – Colorectal adenocarcinoma with strong MSH6 immunostaining in cancer cells and in stromal cells.

       

Colon – Colorectal adenocarcinoma with strong MSH6 immunostaining in cancer cells and moderate staining in stromal cells.

Colon – Colorectal adenocarcinoma with strong MSH6 immunostaining in stromal and inflammatory cells but absent MSH6 staining in cancer cells.

Lung – Adenocarcinoma with strong MSH6 immunostaining in cancer cells and weak to moderate staining in stromal cells.

Ovary – Clear cell carcinoma with weak to moderate MSH6 positivity in cancer cells and in stromal cells.

       

Ovary – Endometroid carcinoma with strong MSH6 positivity in cancer cells and in stromal cells.

Ovary – Malignant Mixed Mullerian tumor with strong MSH6 positivity in stromal and inflammatory cells but absence of staining in tumor cells.

Ovary – Mucinous carcinoma with moderate MSH6 positivity in cancer cells and in stromal cells.

Ovary – Serous high-grade carcinoma with strong MSH6 positivity in cancer cells and moderate staining in stromal cells.

       

Pancreas – Acinar cell carcinoma with strong MSH6 immunostaining in cancer cells and moderate positivity in stromal cells.

Pancreas – Adenocarcinoma of the ampulla Vaterii showing a strong MSH6 immunostaining in cancer cells and moderate positivity in stromal cells.

Pancreas – Ductal adenocarcinoma with moderate MSH6 positivity in cancer cells and in stromal cells.

Pancreas – Ductal adenocarcinoma with strong MSH6 immunostaining in cancer cells and moderate staining in stromal cells.

       

Pancreas – Ductal adenocarcinoma with strong MSH6 positivity in cancer cells and moderate staining in stromal cells.

Prostate – Adenocarcinoma (Gleason 3+3=6) with weak to moderate MSH6 immunostaining in cancer cells and in stromal cells.

Stomach – Gastric adenocarcinoma with strong MSH6 immunostaining in cancer cells and moderate staining in stromal cells.

Uterus – Malignant Mixed Mullerian tumor with strong MSH6 positivity in tumor cells and moderate staining in stromal cells.

       

 

| TOP |