Cancer Tissue Gallery- GTX04964

MTAP antibody [MSVA-741R] HistoMAX™

 

Go to Normal Tissue Gallery
  
 Go back to product page
  

Go to HistoMAX page

 

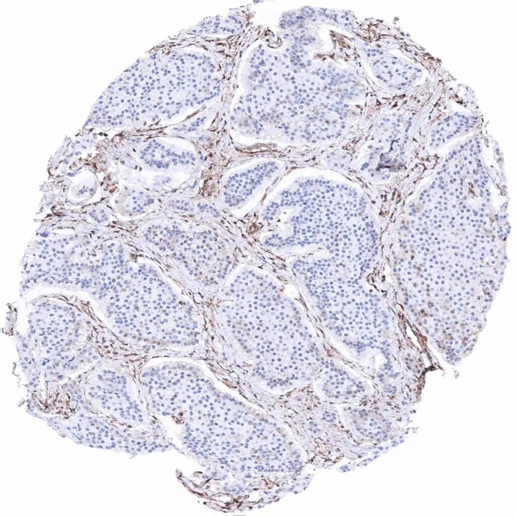
Appendix – Neuroendocrine tumor with complete absence of MTAP staining in tumor cells

Breast – Invasive breast cancer of no special type (NST) with complete absence of MTAP staining in tumor cells. Distinct MTAP staining of inflammatory and stromal cells

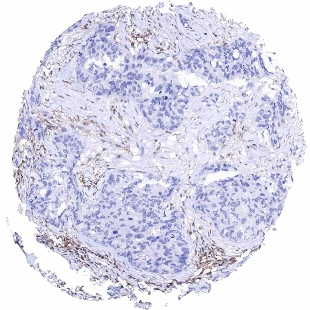
Breast – Invasive breast cancer of no special type (NST) with complete absence of MTAP staining in tumor cells

Colon – Colorectal adenocarcinoma with complete absence of MTAP staining in tumor cells. Intense MTAP staining of inflammatory and stromal cells

       

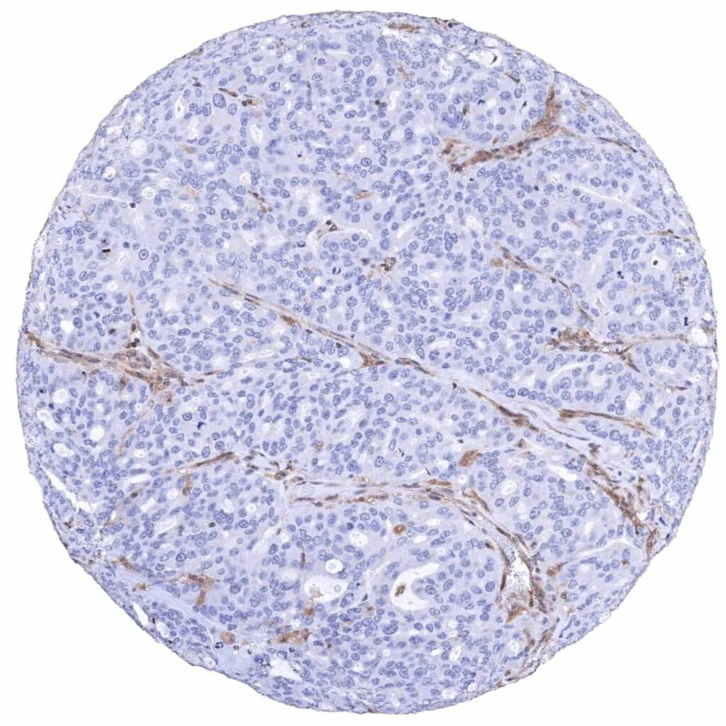
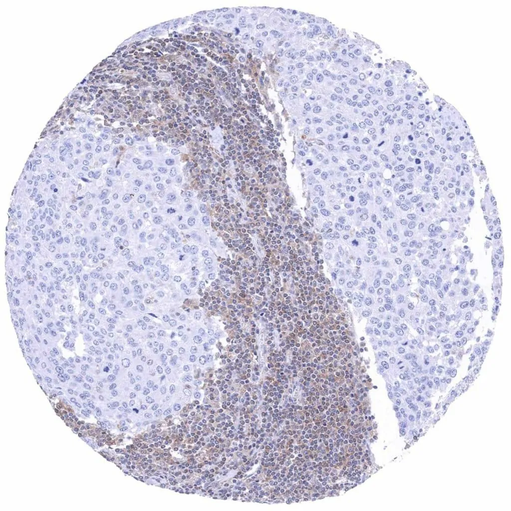
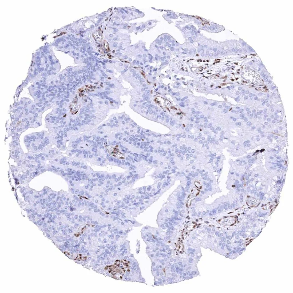
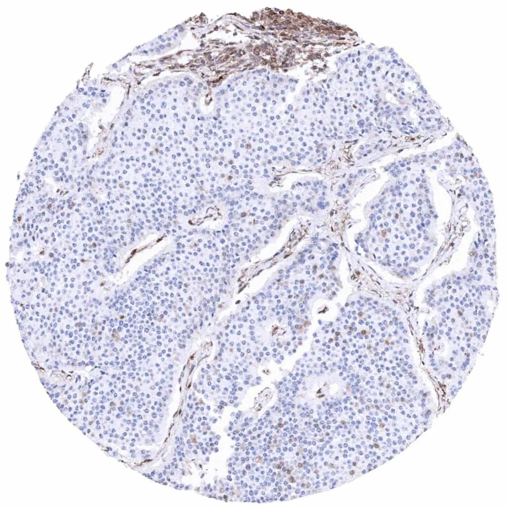
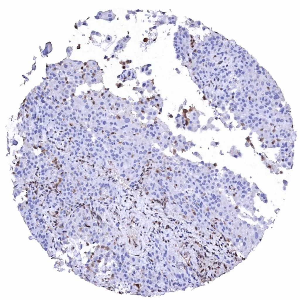
Colon – Neuroendocrine tumor with complete absence of MTAP staining in tumor cells

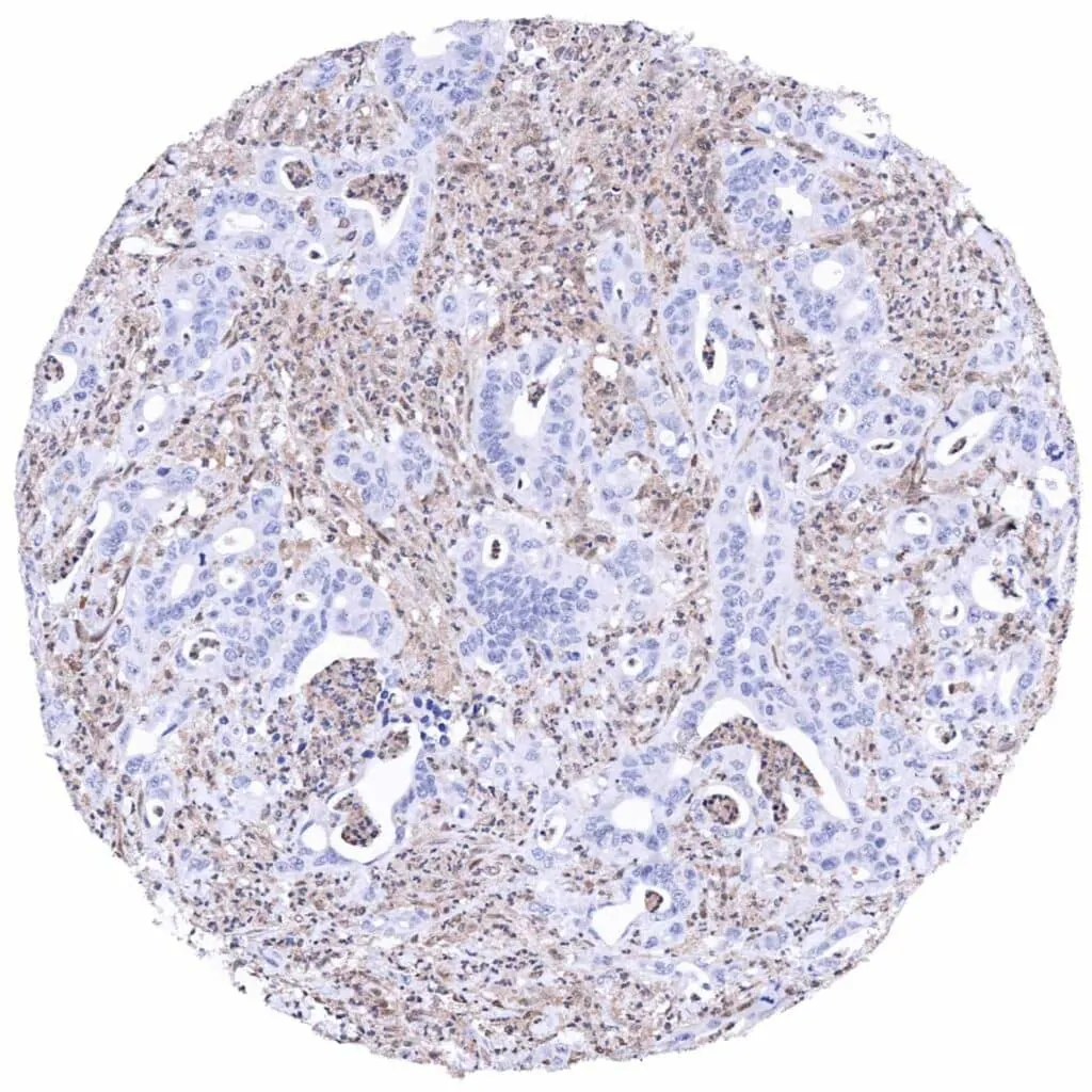
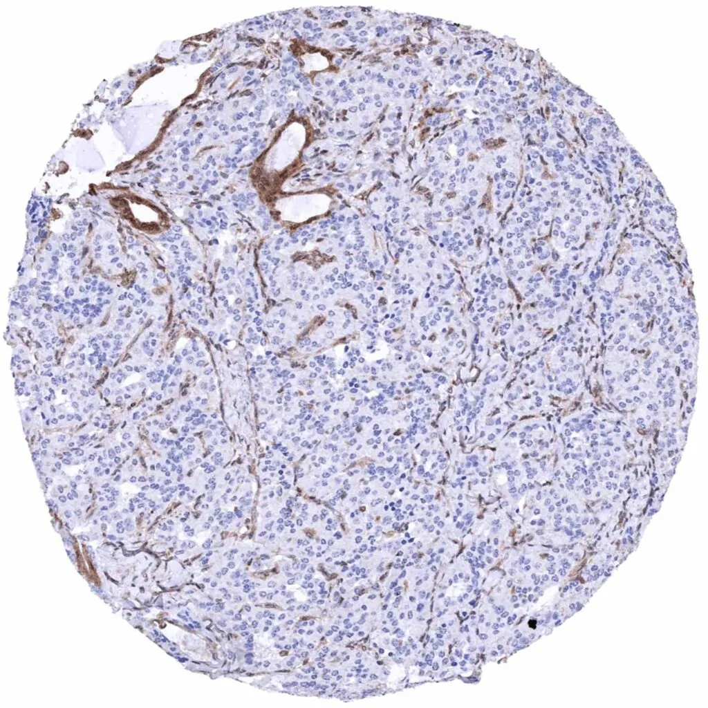
Gallbladder – Adenocarcinoma with complete absence of MTAP staining in tumor cells

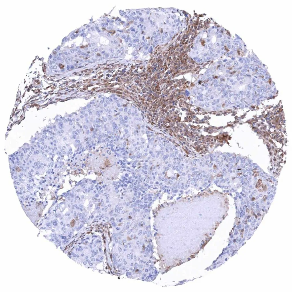
Ileum – Neuroendocrine tumor with complete absence of MTAP staining in tumor cells. Distinct MTAP staining of stromal cells

Kidney – Clear cell renal cell carcinoma with complete absence of MTAP staining in tumor cells

       

Kidney, pelvis – Invasive urothelial carcinoma with complete absence of MTAP staining in tumor cells. Strong MTAP staining of inflammatory and stromal cells including vessel walls

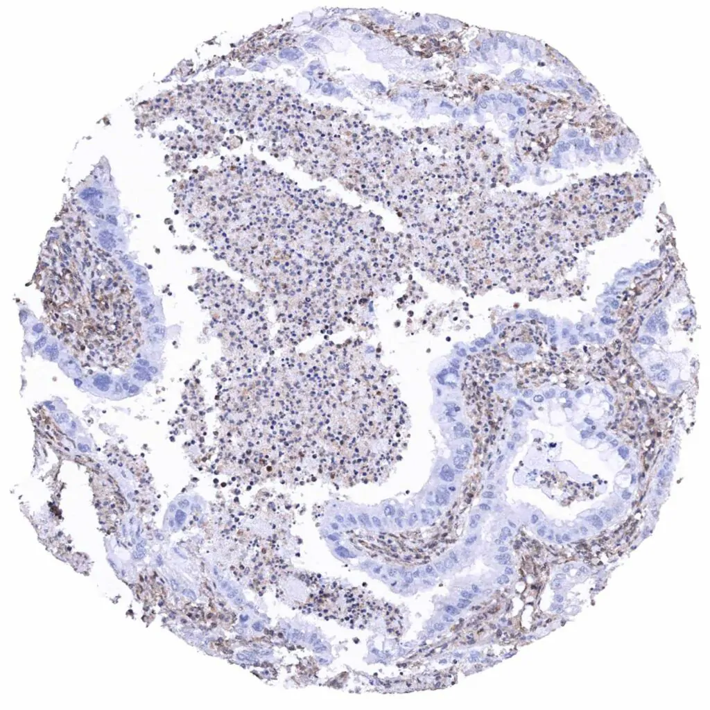
Lung – Adenocarcinoma with complete absence of MTAP staining in tumor cells

Lung – Malignant mesothelioma with complete absence of MTAP staining in tumor cells. Intense MTAP staining of intermingled inflammatory and stromal cells

Lung – Malignant mesothelioma with complete absence of MTAP staining in tumor cells

       

Lung – Neuroendocrine tumor lacking MTAP staining in tumor cells

Lung – Squamous cell carcinoma with complete absence of MTAP staining in tumor cells. Significant MTAP staining of inflammatory and stromal cells

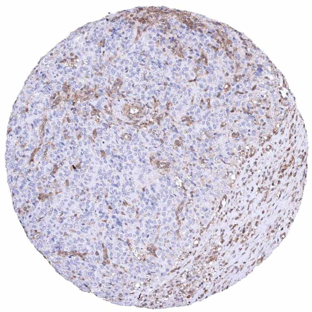
Lymph node – Hodgkin's lymphoma with complete absence of MTAP staining in tumor cells. Intense MTAP staining of associated non-neoplassic cells.

Lymph node – Hodgkin's lymphoma with complete absence of MTAP staining in tumor cells. Intense MTAP staining of associated non-neoplassic cells

       

Lymph node – Metastatic malignant melanoma with complete absence of MTAP staining in tumor cells. Distinct MTAP staining of lymphocytes

Ovary – Brenner tumor with complete absence of MTAP staining in tumor cells. Intense MTAP staining of ovarian stromal cells

Ovary – Endometroid carcinoma with complete absence of MTAP staining in tumor cells. Distinct MTAP staining of stromal cells

Ovary – Granulosa cell tumor with complete absence of MTAP staining in tumor cells

       

Ovary – Mucinous carcinoma with complete absence of MTAP staining in tumor cells. Intense MTAP staining of inflammatory and stromal cells

Ovary – Serous high-grade carcinoma with complete absence of MTAP staining in tumor cells. Significant MTAP staining of inflammatory and stromal cells

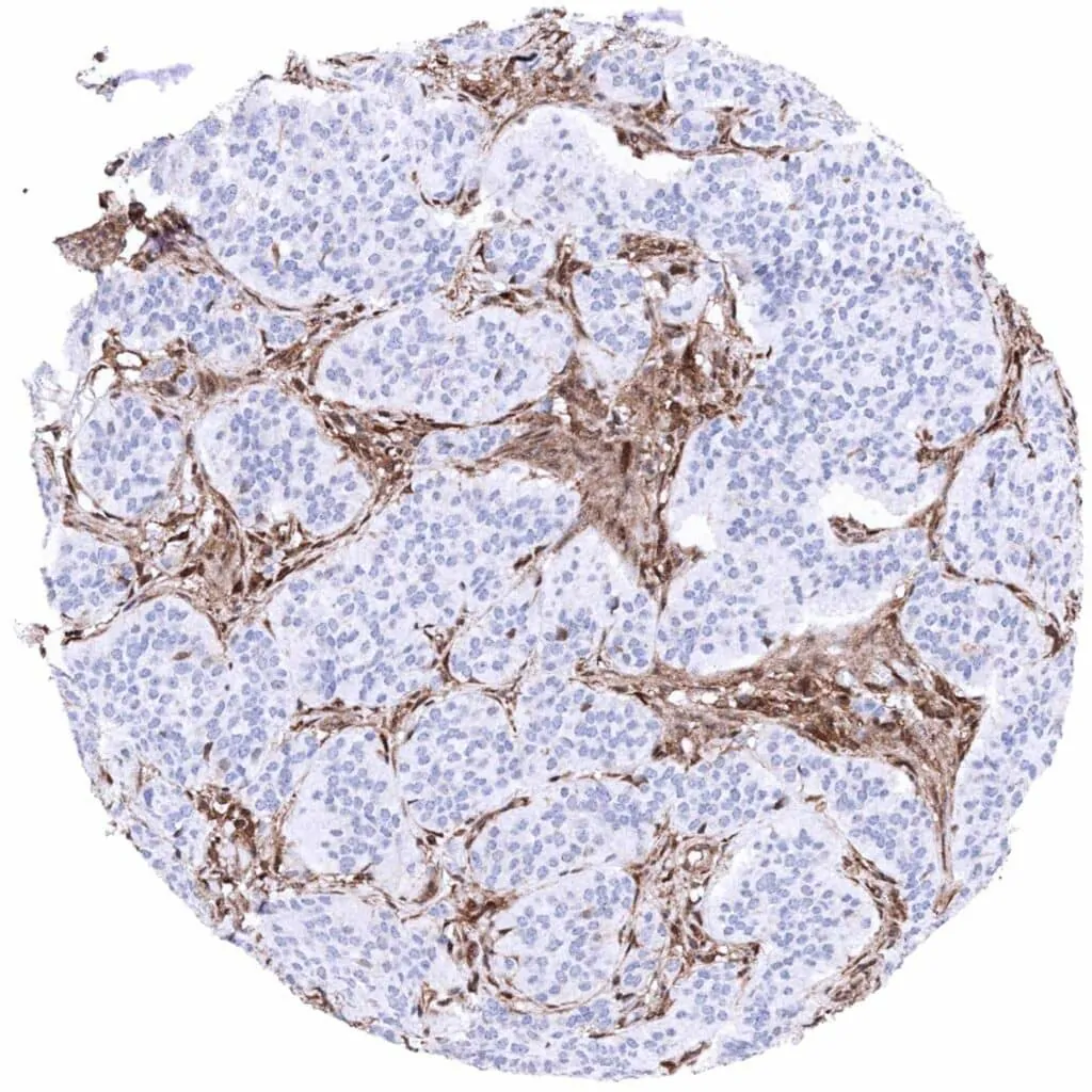
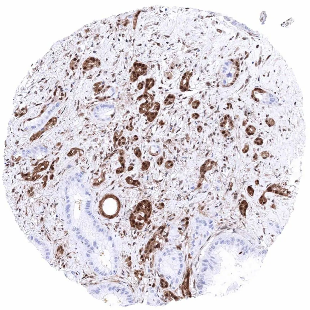
Pancreas – Few glands of a ductal adenocarcinoma with complete absence of MTAP staining in tumor cells. Intense MTAP staining of non-neoplastic epithelial and of stromal cells

Prostate – Adenocarcinoma (Gleason 4+4=8) with complete absence of MTAP staining in tumor cells. Intense MTAP staining of inflammatory and stromal cells

       

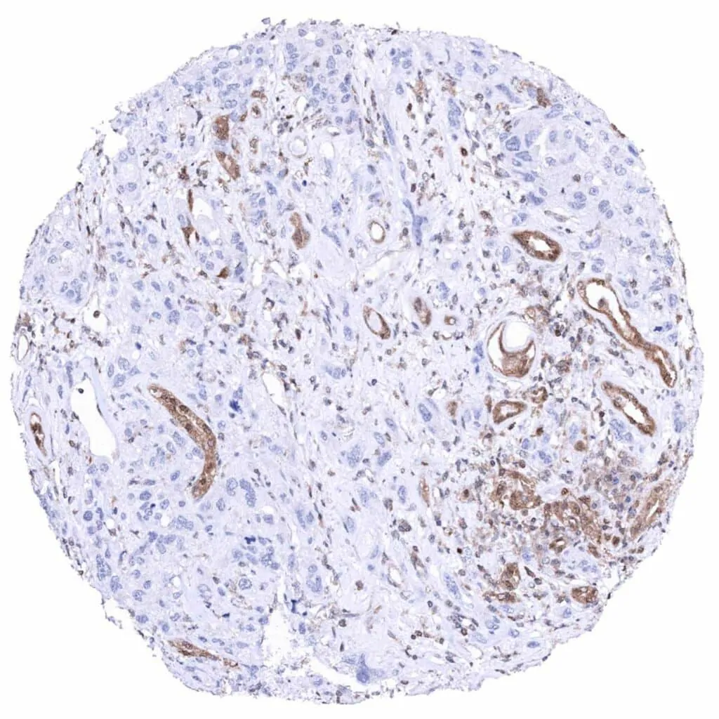
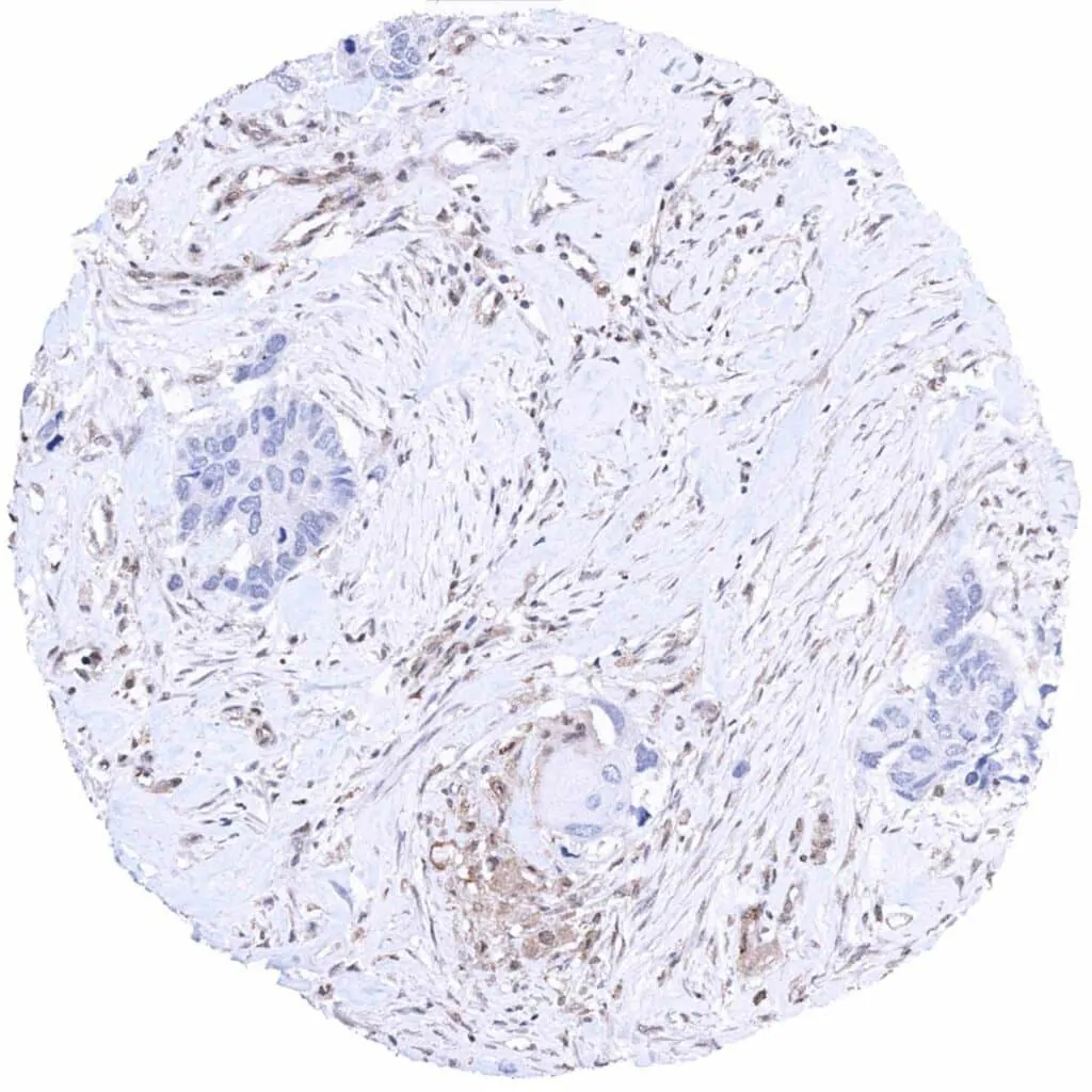
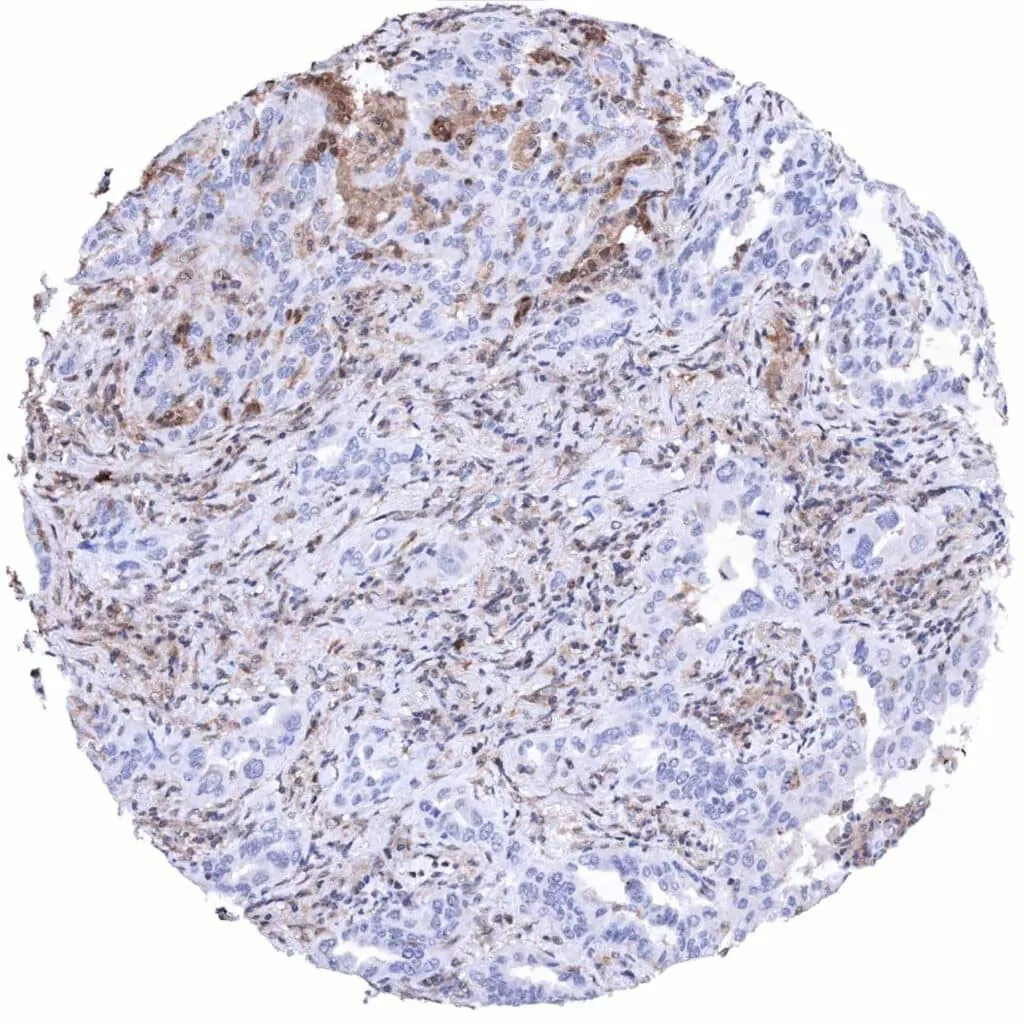
Salivary gland – Salivary duct carcinoma with complete absence of MTAP staining in tumor cells. Strong MTAP staining of inflammatory and stromal cells

Skin – Malignant melanoma lacking MTAP staining in tumor cells. Distinct MTAP staining of inflammatory and stromal cells

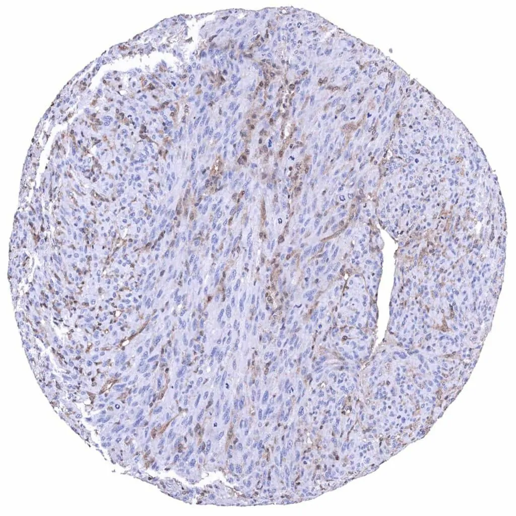
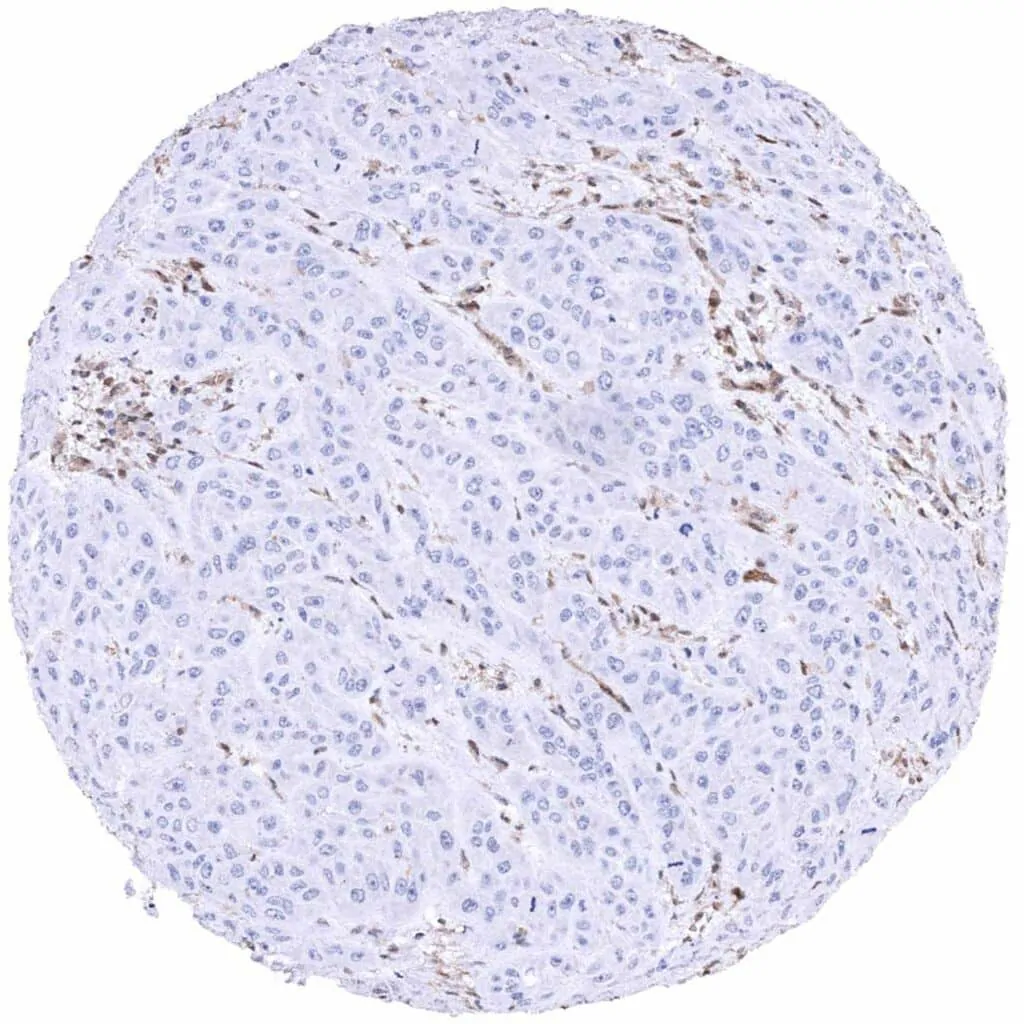
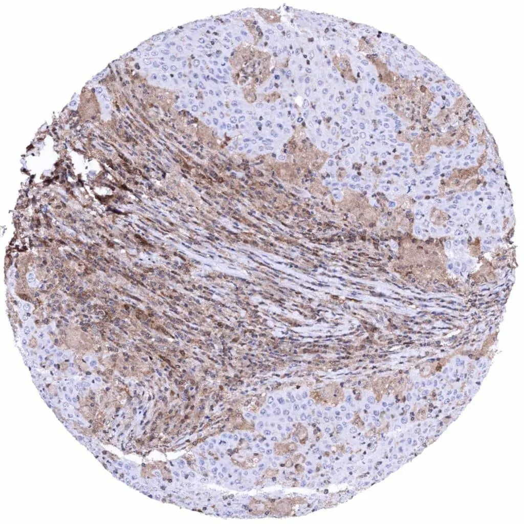
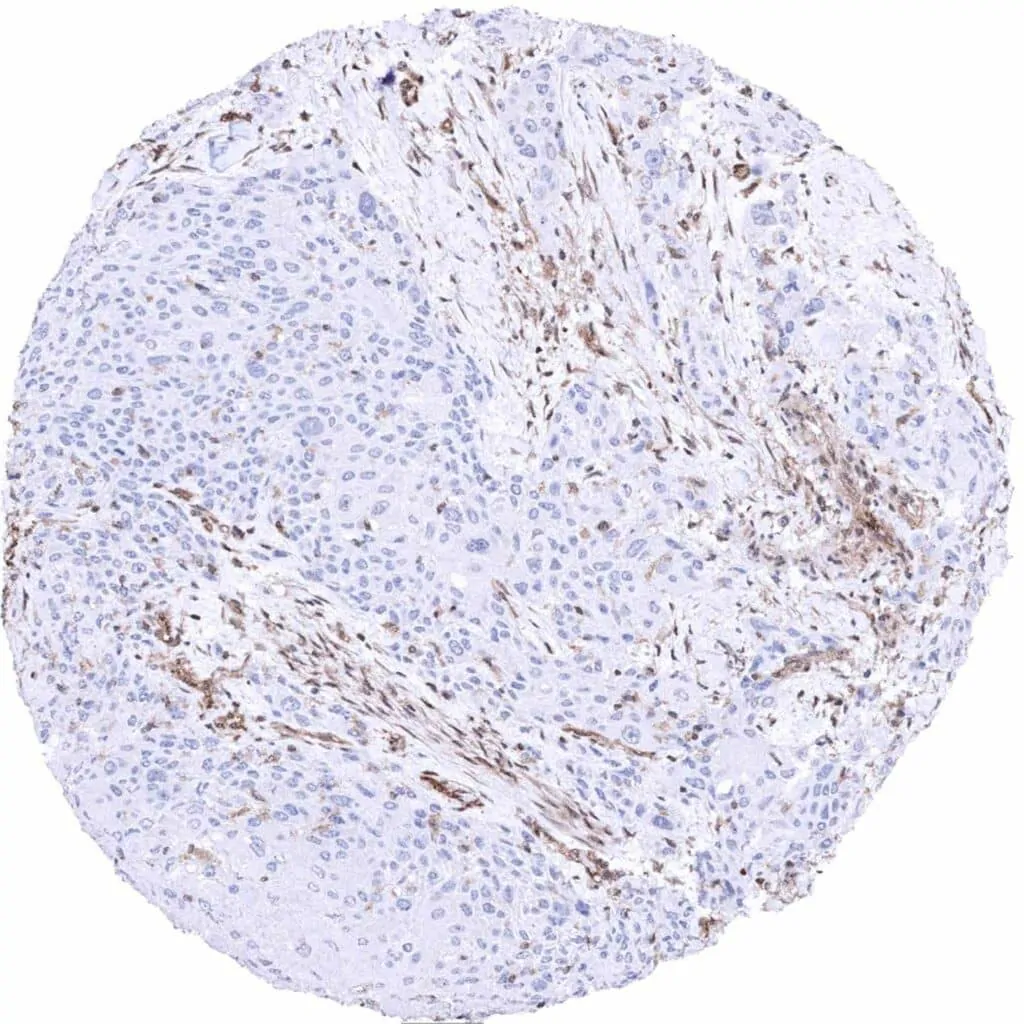
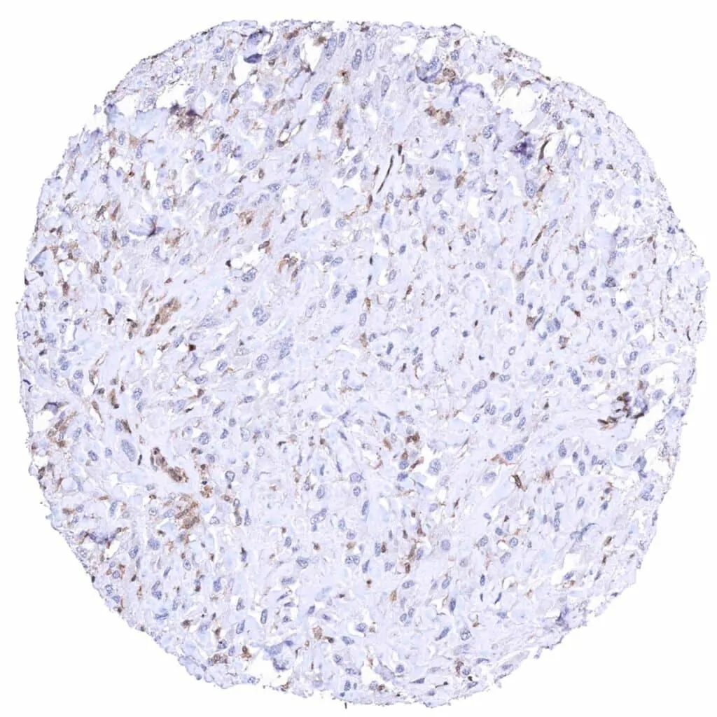
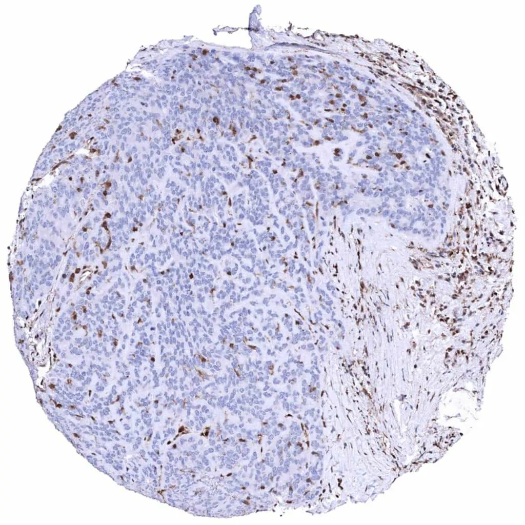
Soft tissue – Malignant peripheral nerve sheath tumor (MPNST) with complete absence of MTAP staining in tumor cells

Soft tissue – Sarcoma, not otherwise specified (NOS) with complete absence of MTAP staining in tumor cells

       

Soft tissue – Sarcoma, not otherwise specified (NOS) with complete absence of MTAP staining in tumor cells

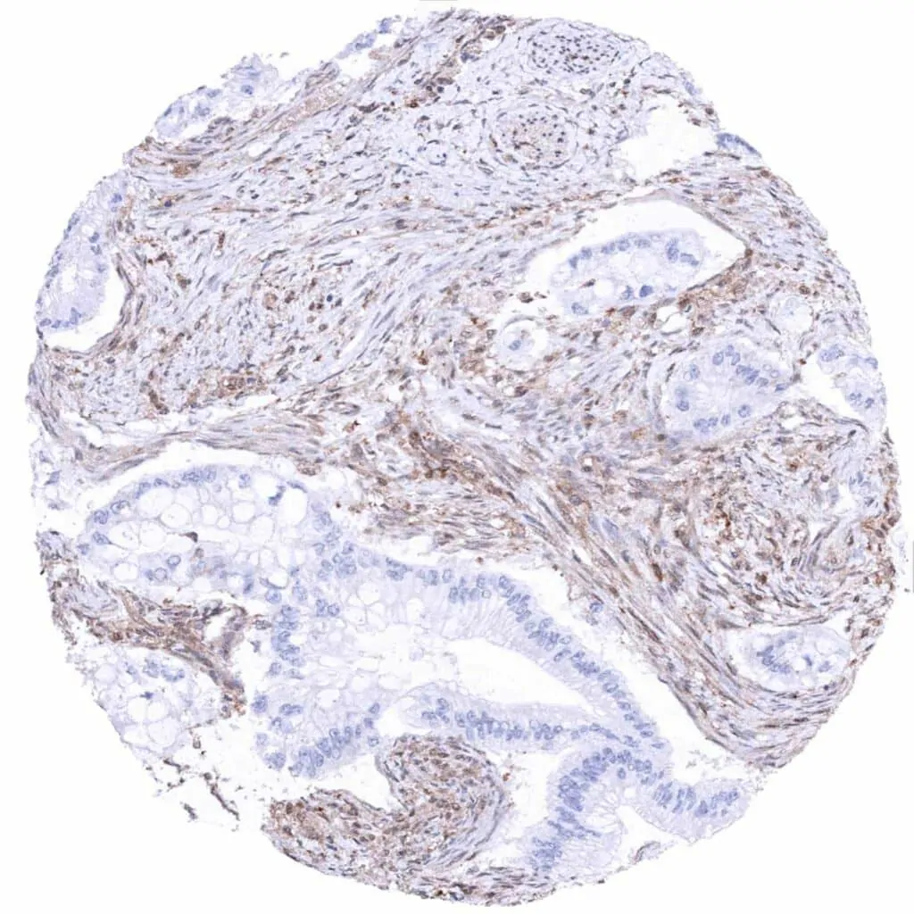
Stomach – Gastric adenocarcinoma (diffuse type) with complete absence of MTAP staining in tumor cells

Stomach – Gastric adenocarcinoma (intestinal type) with complete absence of MTAP staining in tumor cells

Stomach – Gastric adenocarcinoma (intestinal type) with complete absence of MTAP staining in tumor cells

       

Stomach – Gastric adenocarcinoma (intestinal type) with complete absence of MTAP staining in tumor cells

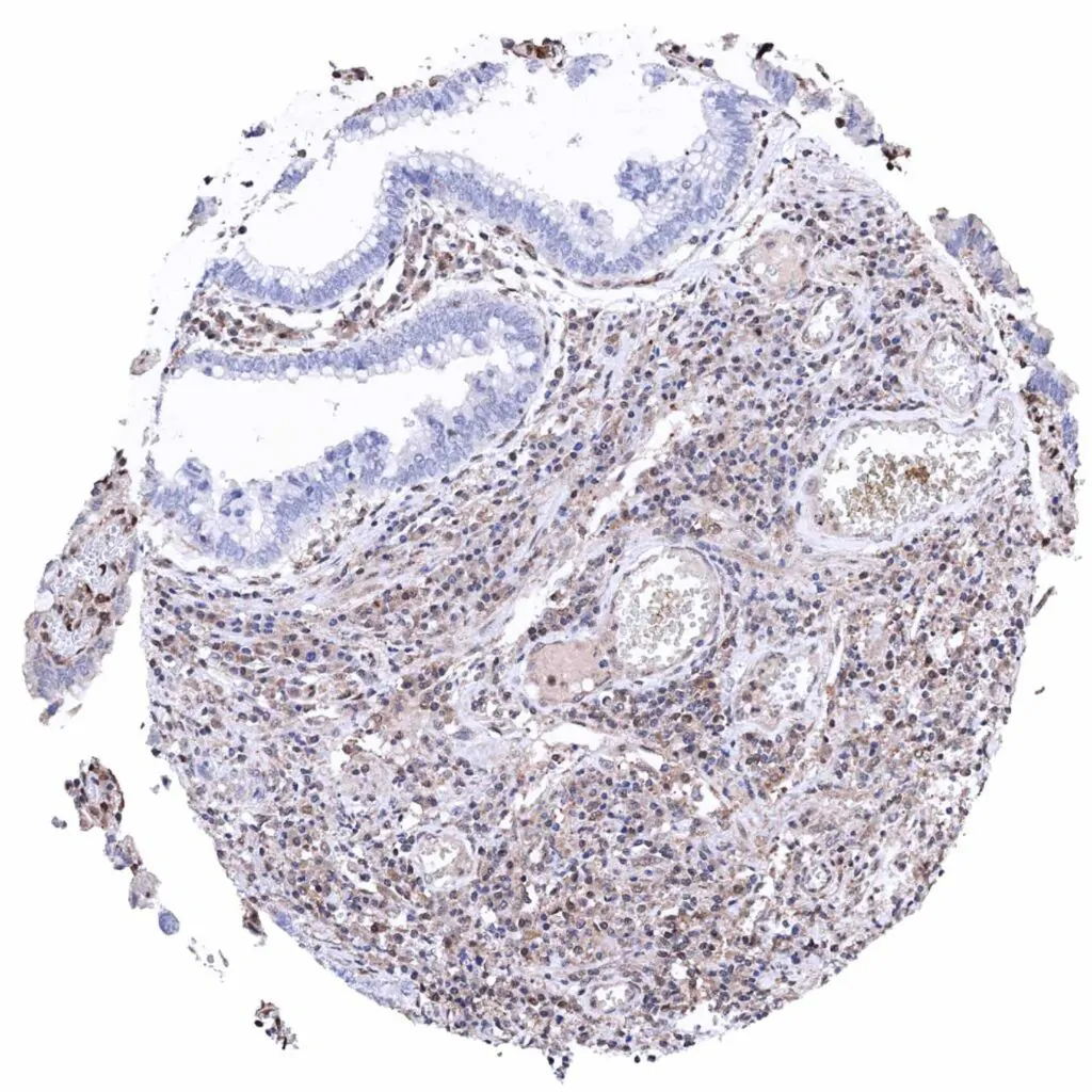
Uterus, cervix – Adenocarcinoma with complete absence of MTAP staining in tumor cells

Vagina – Squamous cell carcinoma with complete absence of MTAP staining in tumor cells

Vulva – Squamous cell carcinoma lacking MTAP staining in tumor cells. Distinct MTAP staining of inflammatory and stromal cells

       

Vulva – Squamous cell carcinoma with complete absence of MTAP staining in tumor cells. Distinct MTAP staining of inflammatory and stromal cells

 

 

| TOP |