Cancer Tissue Gallery- GTX04970

MYH7 antibody [MSVA-464M] HistoMAX™

 

Go to Normal Tissue Gallery
  
 Go back to product page
  

Go to HistoMAX page

 

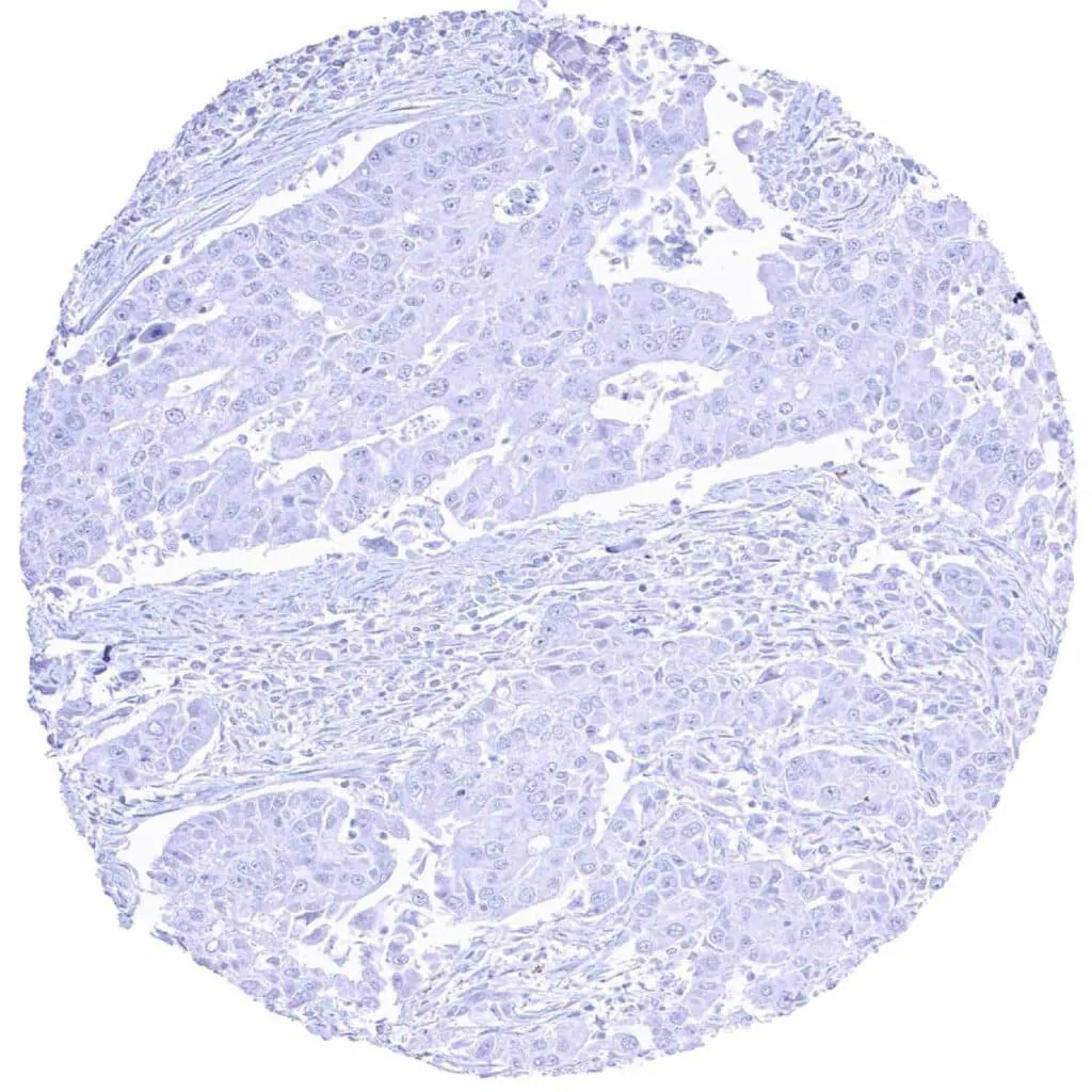
Breast – MYH7 negative invasive breast cancer of no special type (NST)

Breast – MYH7 negative invasive lobular breast cancer

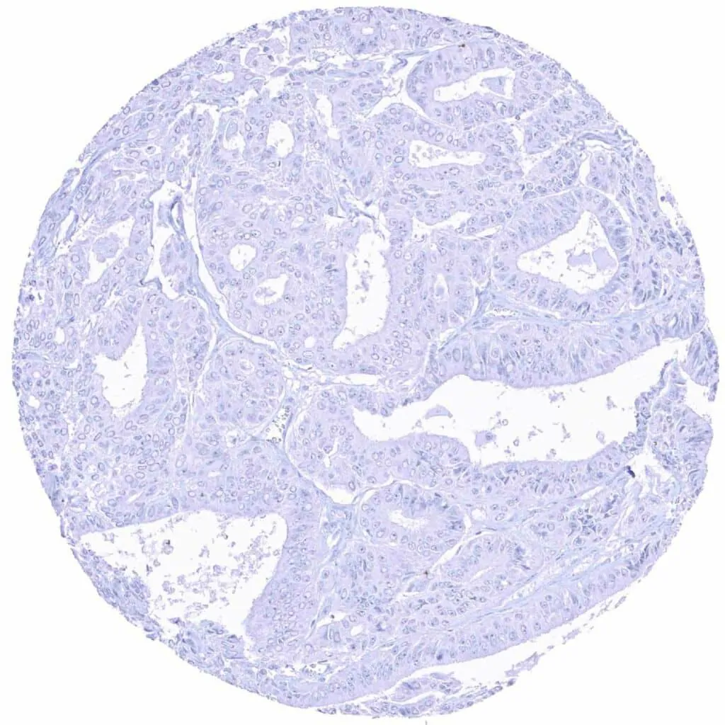
Colon – MYH7 negative colorectal adenocarcinoma

Esophagus – MYH7 negative adenocarcinoma

       

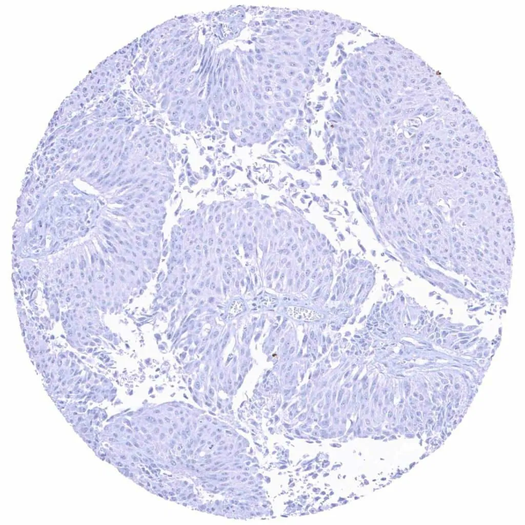
Esophagus – MYH7 negative squamous cell carcinoma

Kidney – MYH7 negative clear cell carcinoma

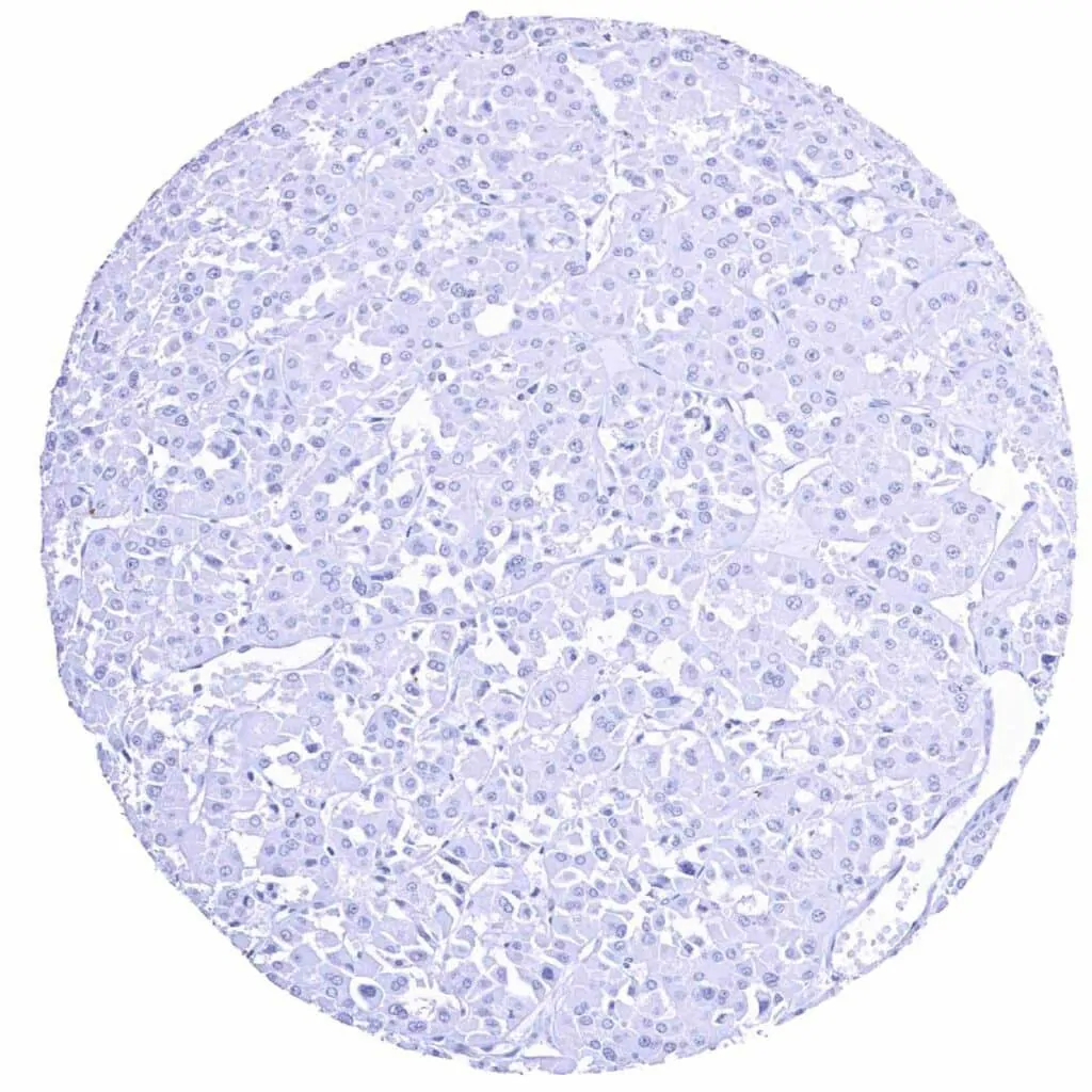
Kidney – MYH7 negative oncocytoma

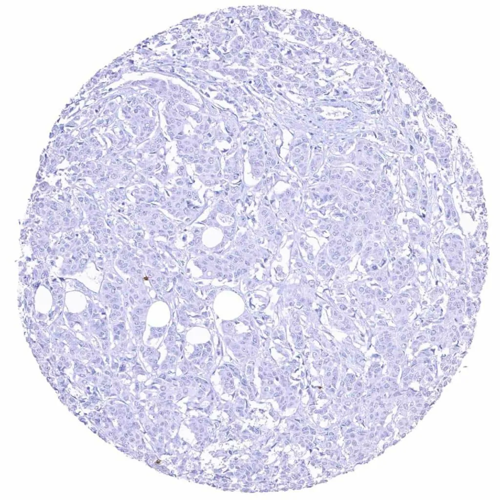
Kidney – MYH7 negative papillary renal cell carcinoma

       

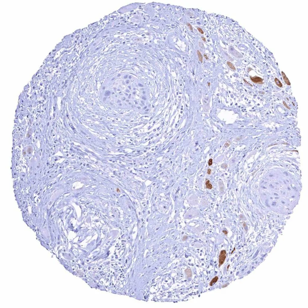
Oral cavity – MYH7 negative squamous cell carcinoma showing infiltration of degenerated MYH7 positive skeletal muscle fibres

Ovary – MYH7 negative clear cell carcinoma

Ovary – MYH7 negative endometroid carcinoma

Ovary – MYH7 negative serous high-grade carcinoma

       

Pharynx – MYH7 negative squamous cell carcinoma

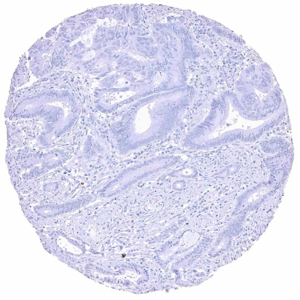
Prostate – MYH7 negative adenocarcinoma (Gleason 3+3=6)

Thyroid – MYH7 negative follicular carcinoma

Urinary bladder – MYH7 negative non-invasive papillary urothelial carcinoma (pTa G2_ low grade)

       

 

| TOP |