Normal Tissue Gallery- GTX04970

MYH7 antibody [MSVA-464M] HistoMAX™

 

Go to Cancer Tissue Gallery
  
 Go back to product page
  

Go to HistoMAX page

 

Adrenal gland

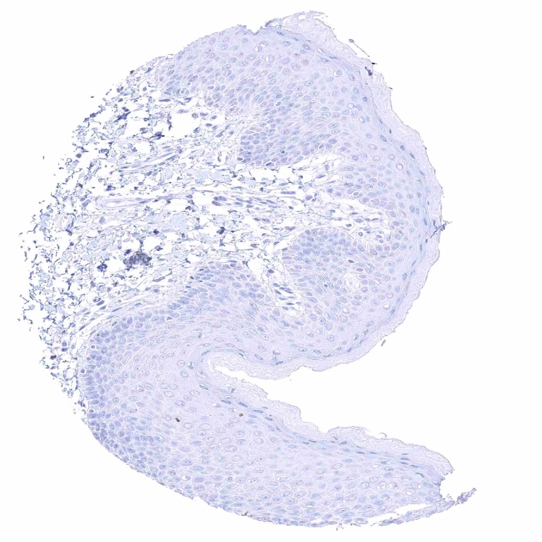
Anal canal, skin

Aorta, media

Appendix, mucosa

       

Appendix, muscular wall

Bone marrow

Breast

Bronchus, mucosa

       

Cerebellum (white matter)

Cerebellum, cortex (molecular layer, Purkinje cell layer, granule cell layer)

Cerebrum, grey matter

Cerebrum, white matter

       

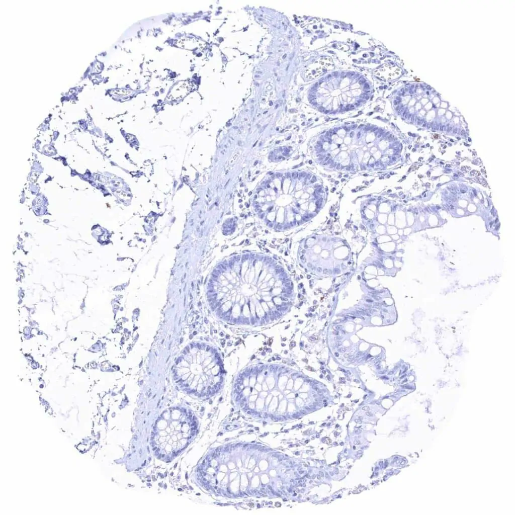
Colon descendens, mucosa

Colon descendens, muscular wall

Duodenum, Brunner gland

Duodenum, mucosa

       

Epididymis (Caput)

Fallopian tube, mucosa

Fat

Gallbladder, epithelium

       

Heart muscle – Strong cytoplasmic MYH7 staining of all muscular cells

Heart muscle – Strong cytoplasmic MYH7 staining of all muscular cells

Ileum, mucosa

Kidney, cortex

       

Kidney, medulla

Liver

Lung

Lymph node

       

Ovary, stroma

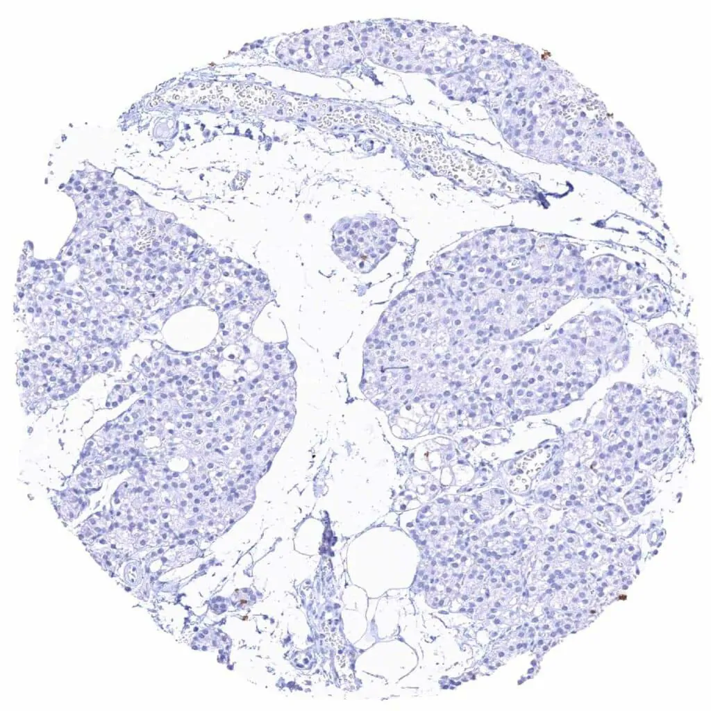
Pancreas

Parathyroid gland

Parotid gland

       

Pituitary gland, anterior lobe

Pituitary gland, posterior lobe

Placenta early, decidua (pregnancy)

Placenta early

       

Placenta, mature, amnion and chorion

Placenta, mature

Prostate

Rectum, mucosa

       

Seminal vesicle

Sinus paranasales

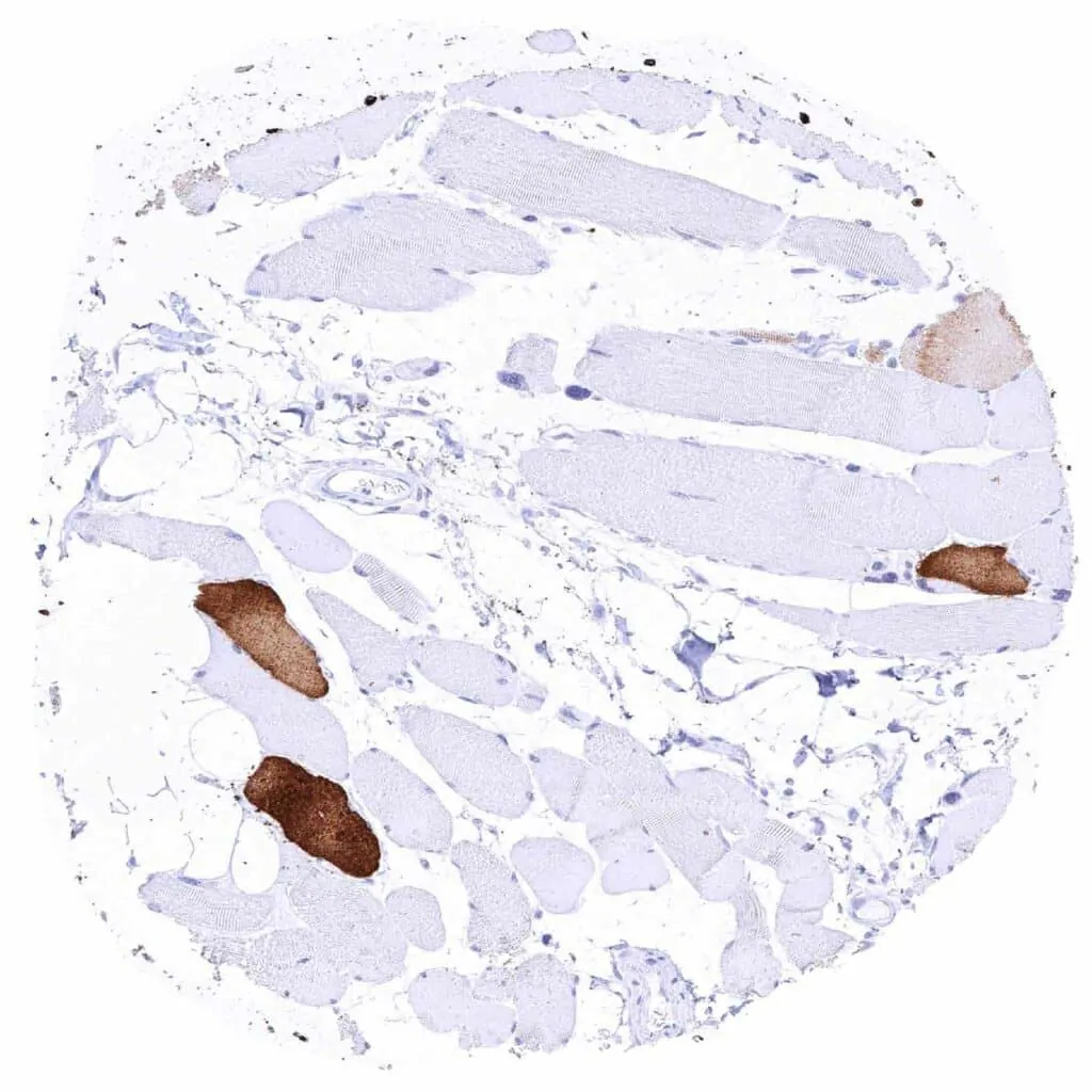
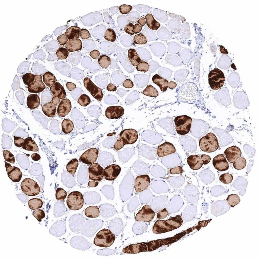
Skeletal muscle – Strong cytoplasmic MYH7 staining of a subset of muscular cells

Skeletal muscle – Strong cytoplasmic MYH7 staining of about half of muscular cells

       

Skeletal muscle – Strong cytoplasmic MYH7 staining of most muscular cells

Skeletal muscle – Variable intensity cytoplasmic MYH7 staining of a subset of muscular cells

Skin, hairfollicel and sebaceous gland

Skin

       

Spleen

Stomach, antrum

Stomach, corpus

Testis

       

Thymus

Thyroid gland

Tongue, muscle – Strong cytoplasmic MYH7 positivity of a fraction of muscular cells

Tongue, muscle – Strong cytoplasmic MYH7 positivity of a fraction of muscular cells

       

Tongue, muscle – Strong cytoplasmic MYH7 staining of about 40_ of muscular cells

Tonsil, surface epithelium

Tonsil

Urinary bladder, muscular wall

       

Urinary bladder, urothelium

Uterus, ectocervix

Uterus, endocervix

Uterus, endometrium, proliferation

       

Uterus, endometrium, proliferation

Uterus, myometrium

   

 

| TOP |