Cancer Tissue Gallery- GTX04373

Mesothelin antibody [MSVA-235M] HistoMAX

 

Go to Normal Tissue Gallery
  
 Go back to product page
  

Go to HistoMAX page

 

Breast – Adenoid-cystic breast cancer with strong membranous mesothelin immunostaining in a subset of cells.

Colon – Adenocarcinoma of the colon with weak to moderate, cytoplasmic and membranous mesothelin immunostaining.

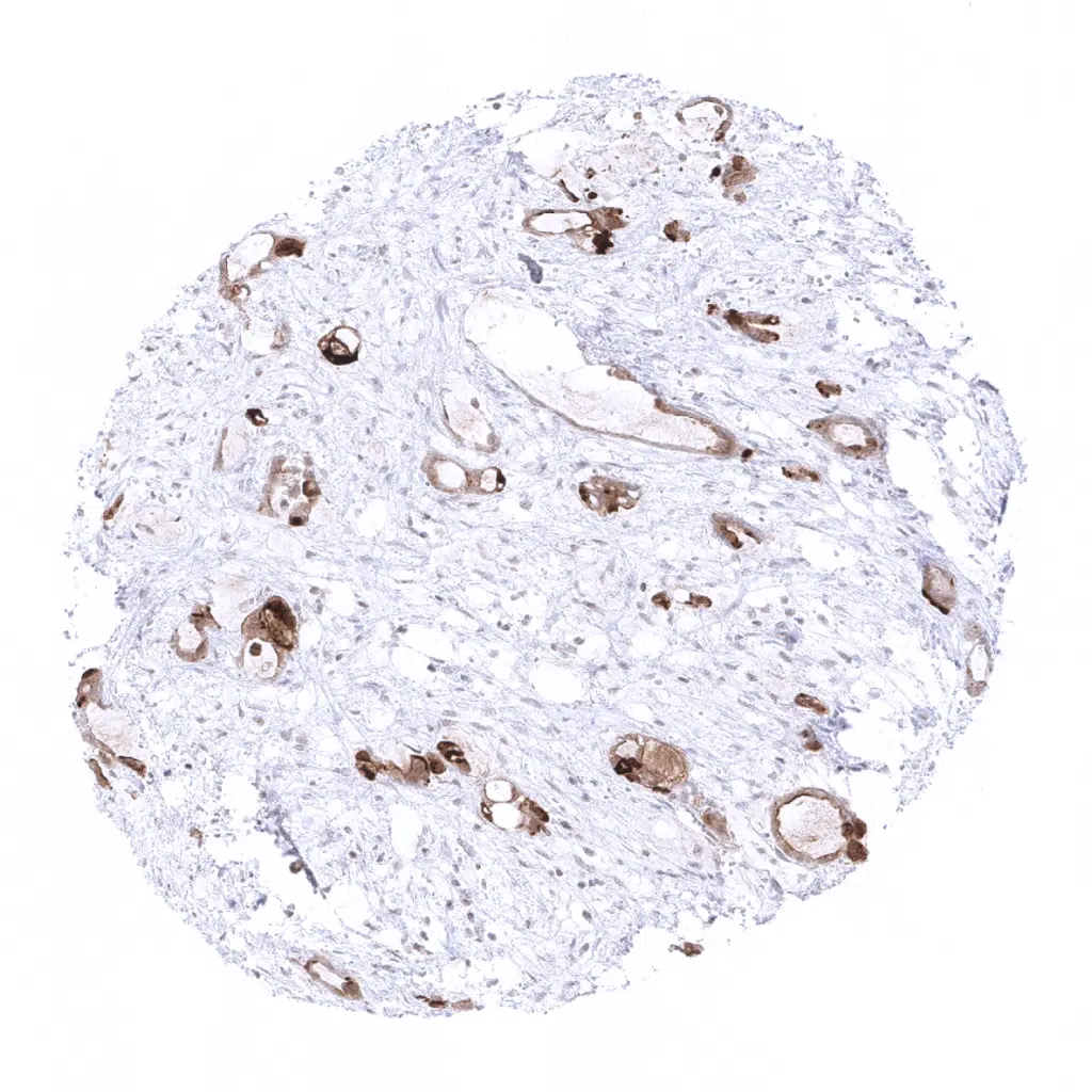
Kidney – Clear cell renal cell carcinoma with moderate to strong cytoplasmic mesothelin immunostaining.

Larynx – Squamous cell carcinoma of the larynx with moderate membranous mesothelin immunostaining in a small fraction of tumor cells.

       

Larynx – Squamous cell carcinoma of the larynx with strong membranous and cytoplasmic mesothelin immunostaining in the vast majority of cells.

Liver – Cholangiocellular carcinoma with cytoplasmic and membranous mesothelin positivity.

Ovary – Intense, predominantly cytoplasmic mesothelin staining in a serous ovarian cancer.

Ovary – Mesothelin negative endometroid ovarian cancer.

       

Ovary – Strong, predominantly membranous mesothelin staining in an endometroid ovarian cancer.

Pancreas – Strong cytoplasmic and membranous mesothelin immunostaining of all cells of an adenocarcinoma of the pancreas.

Pancreas – Strong cytoplasmic and membranous mesothelin immunostaining with apical predominance in an adenocarcinoma of the pancreas.

Pancreas – Weak to moderate cytoplasmic and membranous mesothelin positivity with apical predominance in an adenocarcinoma of the pancreas.

       

Pleura – Malignant mesothelioma with strong membranous and cytoplasmic mesothelin immunostaining in epithelial and mesenchymal cells.

Stomach – Strong, predominantly cytoplasmic mesothelin immunostaining in a stomach cancer with diffuse growth pattern.

   

 

| TOP |