Cancer Tissue Gallery- GTX640561

NFIX antibody [HMV329] HistoMAXTM

 

Go to Normal Tissue Gallery Go back to product page Go to HistoMAX page

 

Adrenal gland – NFIX negative adrenocortical adenoma
Adrenal gland – NFIX negative pheochromocytoma
Anal canal – Squamous cell carcinoma with strong nuclear NFIX staining of tumor cells
Breast – Invasive breast cancer of no special type (NST) with moderatenuclear NFIX staining of only few tumor cells
Breast – Invasive lobular breast cancer with strong nuclear NFIX staining of all tumor cells
Colon – Colorectal adenocarcinoma with moderate nuclear NFIX staining of most tumor cells
Colon – Colorectal adenocarcinoma with strong NFIX staining of tumor cells
Esophagus – Adenocarcinoma with a moderate nuclear NFIX staining ofa subset of tumor cells
Esophagus – Squamous cell carcinoma with strong nuclear NFIX staining of tumor cells
Kidney – NFIX negative clear cell carcinoma
Kidney – Papillary renal cell carcinoma with moderate nuclear NFIX staining of tumor cells
Larynx – Squamous cell carcinoma with strong nuclear NFIX staining of all tumor cells
Liver – Cholangiocellular carcinoma with strong nuclear NFIX staining of tumor cells
Liver – Hepatocellular carcinoma with strong NFIX staining of tumor cells
Lung – Adenocarcinoma with strong NFIX staining of tumor cells
Lymph node – NFIX negative diffuse large B-cell lymphoma. Strong NFIX staining of few interspersed non-neoplastic cells
Lymph node – NFIX negative follicular B-cell lymphoma. Strong NFIX staining of few interspersed non-neoplastic cells
Ovary – Malignant mixed Mullerian tumor with strong nuclear NFIX staining of mesenchymal tumor cells while staining is only faint in epithelial tumor cells
Ovary – NFIX negative clear cell carcinoma
Ovary – Serous high-grade carcinoma with strong nuclear NFIX staining of all tumor cells
Pancreas – Ductal adenocarcinoma showing a weak NFIX staining of a subset of tumor cells
Pancreas – NFIX negative neuroendocrine tumor
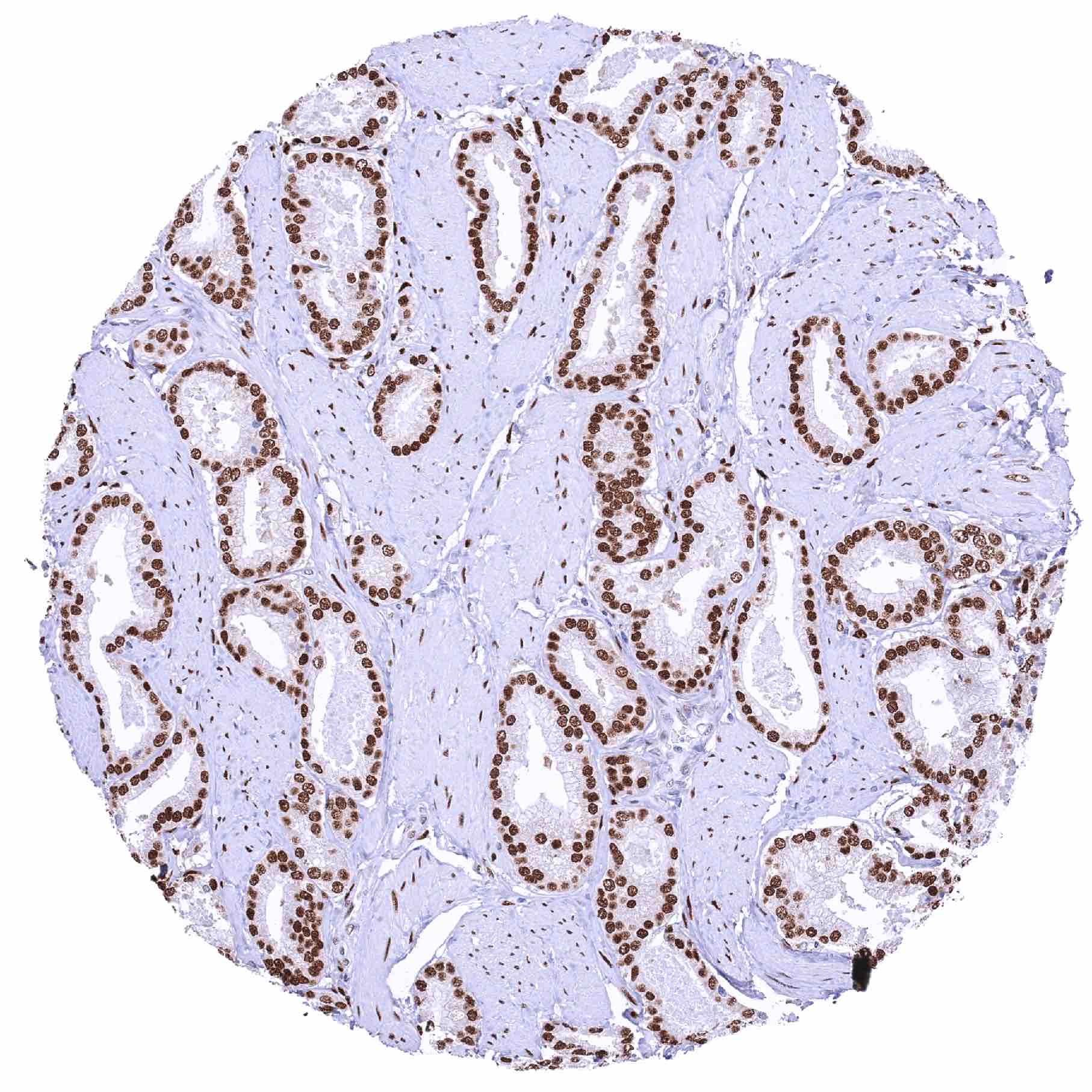
Prostate – Adenocarcinoma (Gleason 3+3=6) with strong NFIX staining of tumor cells
Salivary gland – Warthin tumor with strong NFIX positivity of epithelial tumor cells
Skin – Basal cell carcinoma with strong NFIX immunostaining of tumor cells
Skin – Squamous cell carcinoma with strong NFIX immunostaining of tumor cells
Soft tissue – Synovial sarcoma with strong nuclear NFIX staining of tumor cells
Stomach – Gastric adenocarcinoma (intestinal type) with moderate NFIX immunostaining of tumor cells
Stomach – Gastrointestinal stromal tumor (GIST) with strong nuclearNFIX positivity of tumor cells
Stomach – NFIX negative gastric adenocarcinoma (diffuse type)
Testis – Leydig cell tumor with strong nuclear NFIX staining of all tumor cells
Testis – NFIX negative seminoma
Urinary bladder – Non-invasive papillary urothelial carcinoma (pTa) with only a faint NFIX staining of few cells
Urinary bladder – Muscle-invasive urothelial carcinoma with strong NFIX staining of all tumor cells
Uterus – Leiomyoma with strong NFIX positivity of tumor cells
Uterus, cervix – Squamous cell carcinoma with strong NFIX immunostaining of tumor cells

| TOP |