 |
| Tonsil, surface epithelium – Significant decrease of nuclear NFIX staining of squamous epithelium from the basal-suprabasal to the superficial cell layers |
|
 |
| Urinary bladder, muscular wall – Distinct nuclear staining of smooth muscle cells and of other cell types |
|
 |
| Urinary bladder, urothelium – Distinct nuclear NFIX staining of urothelial cells although there is a significant decrease of NFIX staining intensity from the basal to the superficial cell layers. Umbrella cells are largely NFIX negative |
|
 |
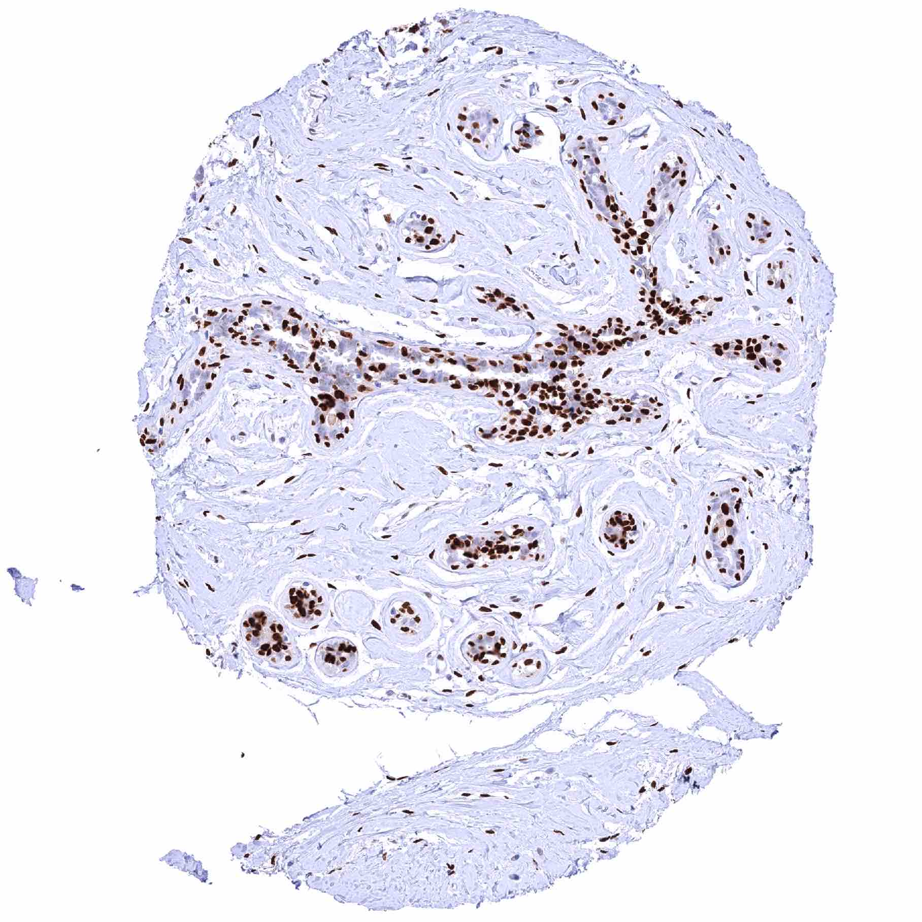
| Uterus, endocervix – Moderate nuclear NFIX staining of glandular cells. Strong nuclear NFIX staining of stromal cells |
|