Cancer Tissue Gallery- GTX04489

NKX2.1 antibody [MSVA-312R] HistoMAXTM

 

Go to Normal Tissue Gallery
  
 Go back to product page
  

Go to HistoMAX page

 

Colon – Colorectal adenocarcinoma with strong NKX21 positivity of a large fraction of tumor cells

Kidney – NKX21 negative chromophobe carcinoma

Kidney – NKX21 negative clear cell carcinoma

Kidney – NKX21 negative papillary carcinoma

       

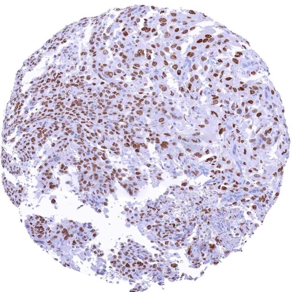
Lung – Adenocarcinoma with strong NKX21 staining of tumor cells

Lung – Adenocarcinoma with strong NKX21 staining of tumor cells

Lung – Neuroendocrine tumor with strong NKX21 positivity of tumor cells

Lung – NKX21 negative malignant mesothelioma (epitheloid).

       

Lung – NKX21 negative malignant mesothelioma (epitheloid). Strong NKX21 positivity is seen in interspersed normal cells

Lung – NKX21 negative malignant mesothelioma (epitheloid)

Lung – NKX21 negative squamous cell carcinoma

Pancreas – Neuroendocrine tumor with NKX21 staining of variable intensity in tumor cells

       

Pancreas – NKX21 negative neuroendocrine tumor

Soft tissue – Schwannoma with strong NKX21 immunostaining of tumor cells

Stomach – Gastric adenocarcinoma (intestinal type) with strong NKX21 staining of a subset of tumor cells

Testis – NKX21 negative seminoma

       

Thymus – Thymoma with strong NKX21 immunostaining of epithelial tumor cells

Thyroid – Anaplastic carcinoma with strong NKX21 immunostaining of tumor cells

Thyroid – Follicular carcinoma displaying strong NKX21 staining of tumor cells

Thyroid – Medullary cancer with strong NKX21 immunostaining of tumor cells

       

Thyroid – Papillary carcinoma with strong NKX21 positivity of all tumor cells

Urinary bladder – Muscle-invasive urothelial carcinoma with strong NKX21 immunostaining of a large subset of tumor cells

   

 

| TOP |